基于乳腺植入物形态变化的计算机体层摄影技术评价乳房植入物包膜挛缩。

IF 1.5 Q3 SURGERY
Archives of Plastic Surgery-APS Pub Date : 2025-07-23 eCollection Date: 2025-07-01 DOI:10.1055/a-2620-3350
Won Seok Oh, Seung Hoon Lee, Jae Woo Lee, Jung Yeol Seo, Choong Rak Kim, Su Bong Nam
{"title":"基于乳腺植入物形态变化的计算机体层摄影技术评价乳房植入物包膜挛缩。","authors":"Won Seok Oh, Seung Hoon Lee, Jae Woo Lee, Jung Yeol Seo, Choong Rak Kim, Su Bong Nam","doi":"10.1055/a-2620-3350","DOIUrl":null,"url":null,"abstract":"<p><strong>Background: </strong>Capsular contracture is a common complication following implant-based breast reconstruction. Current assessment methods, primarily relying on the subjective Baker grading system, lack objectivity and quantitative data, which hinders large-scale studies and the development of treatment guidelines. To solve these problems, we conducted a study using computed tomography (CT) scans to quantitatively evaluate morphological changes in breast implants associated with capsular contracture.</p><p><strong>Methods: </strong>We enrolled 94 patients who underwent breast reconstruction using implants and underwent periodic chest CT scans. We categorized them into two groups: Baker grade I or II ( <i>n</i>  = 72) and Baker grade III or IV ( <i>n</i>  = 22). We analyzed the CT scans to assess changes in the implant base and projection.</p><p><strong>Results: </strong>In the Baker grade III or IV groups, it was confirmed that the ratio of projection to base increased after capsular contracture compared with before contracture. On the other hand, there was no significant change in the ratio of projection to base in the Baker grade I or II groups.</p><p><strong>Conclusion: </strong>This study highlights the potential of CT scans as a reproducible method for evaluating capsular contracture. The ratio of projection to base could serve as a new quantitative index alongside the Baker grades for clinical assessment, treatment planning, and research on capsular contracture. When comparing the ratio of projection to base before and after capsular contracture, if the ratio of projection to base increases by more than 1.233 times, it can be considered Baker grade III or IV.</p>","PeriodicalId":47543,"journal":{"name":"Archives of Plastic Surgery-APS","volume":"52 4","pages":"217-224"},"PeriodicalIF":1.5000,"publicationDate":"2025-07-23","publicationTypes":"Journal Article","fieldsOfStudy":null,"isOpenAccess":false,"openAccessPdf":"https://www.ncbi.nlm.nih.gov/pmc/articles/PMC12286679/pdf/","citationCount":"0","resultStr":"{\"title\":\"Assessment of Capsular Contracture Based on Morphological Change of Breast Implant Using Computed Tomography.\",\"authors\":\"Won Seok Oh, Seung Hoon Lee, Jae Woo Lee, Jung Yeol Seo, Choong Rak Kim, Su Bong Nam\",\"doi\":\"10.1055/a-2620-3350\",\"DOIUrl\":null,\"url\":null,\"abstract\":\"<p><strong>Background: </strong>Capsular contracture is a common complication following implant-based breast reconstruction. Current assessment methods, primarily relying on the subjective Baker grading system, lack objectivity and quantitative data, which hinders large-scale studies and the development of treatment guidelines. To solve these problems, we conducted a study using computed tomography (CT) scans to quantitatively evaluate morphological changes in breast implants associated with capsular contracture.</p><p><strong>Methods: </strong>We enrolled 94 patients who underwent breast reconstruction using implants and underwent periodic chest CT scans. We categorized them into two groups: Baker grade I or II ( <i>n</i>  = 72) and Baker grade III or IV ( <i>n</i>  = 22). We analyzed the CT scans to assess changes in the implant base and projection.</p><p><strong>Results: </strong>In the Baker grade III or IV groups, it was confirmed that the ratio of projection to base increased after capsular contracture compared with before contracture. On the other hand, there was no significant change in the ratio of projection to base in the Baker grade I or II groups.</p><p><strong>Conclusion: </strong>This study highlights the potential of CT scans as a reproducible method for evaluating capsular contracture. The ratio of projection to base could serve as a new quantitative index alongside the Baker grades for clinical assessment, treatment planning, and research on capsular contracture. When comparing the ratio of projection to base before and after capsular contracture, if the ratio of projection to base increases by more than 1.233 times, it can be considered Baker grade III or IV.</p>\",\"PeriodicalId\":47543,\"journal\":{\"name\":\"Archives of Plastic Surgery-APS\",\"volume\":\"52 4\",\"pages\":\"217-224\"},\"PeriodicalIF\":1.5000,\"publicationDate\":\"2025-07-23\",\"publicationTypes\":\"Journal Article\",\"fieldsOfStudy\":null,\"isOpenAccess\":false,\"openAccessPdf\":\"https://www.ncbi.nlm.nih.gov/pmc/articles/PMC12286679/pdf/\",\"citationCount\":\"0\",\"resultStr\":null,\"platform\":\"Semanticscholar\",\"paperid\":null,\"PeriodicalName\":\"Archives of Plastic Surgery-APS\",\"FirstCategoryId\":\"1085\",\"ListUrlMain\":\"https://doi.org/10.1055/a-2620-3350\",\"RegionNum\":0,\"RegionCategory\":null,\"ArticlePicture\":[],\"TitleCN\":null,\"AbstractTextCN\":null,\"PMCID\":null,\"EPubDate\":\"2025/7/1 0:00:00\",\"PubModel\":\"eCollection\",\"JCR\":\"Q3\",\"JCRName\":\"SURGERY\",\"Score\":null,\"Total\":0}","platform":"Semanticscholar","paperid":null,"PeriodicalName":"Archives of Plastic Surgery-APS","FirstCategoryId":"1085","ListUrlMain":"https://doi.org/10.1055/a-2620-3350","RegionNum":0,"RegionCategory":null,"ArticlePicture":[],"TitleCN":null,"AbstractTextCN":null,"PMCID":null,"EPubDate":"2025/7/1 0:00:00","PubModel":"eCollection","JCR":"Q3","JCRName":"SURGERY","Score":null,"Total":0}
引用次数: 0

摘要

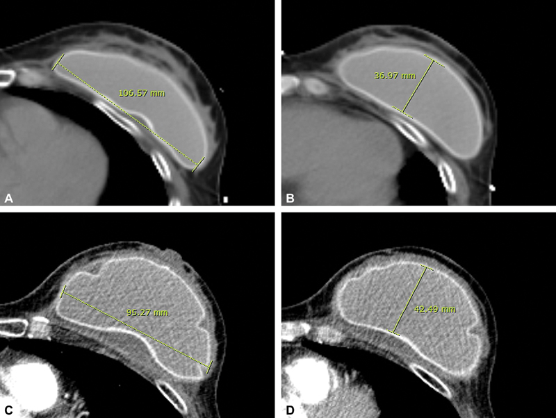
背景:乳房包膜挛缩是假体乳房重建术后常见的并发症。目前的评估方法主要依靠主观的Baker评分系统,缺乏客观性和定量数据,阻碍了大规模研究和治疗指南的制定。为了解决这些问题,我们进行了一项研究,使用计算机断层扫描(CT)来定量评估乳房植入物与包膜挛缩相关的形态学变化。方法:我们招募了94例使用假体进行乳房重建并定期进行胸部CT扫描的患者。我们将他们分为两组:Baker I级或II级(n = 72)和Baker III级或IV级(n = 22)。我们分析了CT扫描来评估种植体基部和投影的变化。结果:在Baker III级或IV级组中,证实了包膜挛缩后与挛缩前相比,凸底比增加。另一方面,在Baker I级和II级组中,投影与基数的比率没有显著变化。结论:本研究强调了CT扫描作为一种评估包膜挛缩的可重复性方法的潜力。投影底比可与贝克评分一起作为一种新的定量指标,用于包膜挛缩的临床评估、治疗计划和研究。在比较包膜挛缩前后的凸基比时,如果凸基比增加超过1.233倍,可考虑为Baker III级或IV级。
本文章由计算机程序翻译,如有差异,请以英文原文为准。

Assessment of Capsular Contracture Based on Morphological Change of Breast Implant Using Computed Tomography.

Assessment of Capsular Contracture Based on Morphological Change of Breast Implant Using Computed Tomography.

Assessment of Capsular Contracture Based on Morphological Change of Breast Implant Using Computed Tomography.

Assessment of Capsular Contracture Based on Morphological Change of Breast Implant Using Computed Tomography.

Background: Capsular contracture is a common complication following implant-based breast reconstruction. Current assessment methods, primarily relying on the subjective Baker grading system, lack objectivity and quantitative data, which hinders large-scale studies and the development of treatment guidelines. To solve these problems, we conducted a study using computed tomography (CT) scans to quantitatively evaluate morphological changes in breast implants associated with capsular contracture.

Methods: We enrolled 94 patients who underwent breast reconstruction using implants and underwent periodic chest CT scans. We categorized them into two groups: Baker grade I or II ( n  = 72) and Baker grade III or IV ( n  = 22). We analyzed the CT scans to assess changes in the implant base and projection.

Results: In the Baker grade III or IV groups, it was confirmed that the ratio of projection to base increased after capsular contracture compared with before contracture. On the other hand, there was no significant change in the ratio of projection to base in the Baker grade I or II groups.

Conclusion: This study highlights the potential of CT scans as a reproducible method for evaluating capsular contracture. The ratio of projection to base could serve as a new quantitative index alongside the Baker grades for clinical assessment, treatment planning, and research on capsular contracture. When comparing the ratio of projection to base before and after capsular contracture, if the ratio of projection to base increases by more than 1.233 times, it can be considered Baker grade III or IV.

求助全文
通过发布文献求助,成功后即可免费获取论文全文。 去求助
来源期刊
CiteScore
2.10
自引率
6.70%
发文量
131
审稿时长
10 weeks
×
引用
GB/T 7714-2015
复制
MLA
复制
APA
复制
导出至
BibTeX EndNote RefMan NoteFirst NoteExpress
×
提示
您的信息不完整,为了账户安全,请先补充。
现在去补充
×
提示
您因"违规操作"
具体请查看互助需知
我知道了
×
提示
确定
请完成安全验证×
copy
已复制链接
快去分享给好友吧!
我知道了
右上角分享
点击右上角分享
0
联系我们:info@booksci.cn Book学术提供免费学术资源搜索服务,方便国内外学者检索中英文文献。致力于提供最便捷和优质的服务体验。 Copyright © 2023 布克学术 All rights reserved.
京ICP备2023020795号-1
ghs 京公网安备 11010802042870号
Book学术文献互助
Book学术文献互助群
群 号:604180095
Book学术官方微信