有或无先兆偏头痛的敏感性加权成像:一项病例对照研究。

IF 3 Q2 CLINICAL NEUROLOGY
Adrian Scutelnic, Tomas Klail, Diego Moor, Nedelina Slavova, Valentina Petroulia, Simon Jung, Mattia Branca, Urs Fischer, Franz Riederer, Roland Wiest, Christoph J Schankin
{"title":"有或无先兆偏头痛的敏感性加权成像:一项病例对照研究。","authors":"Adrian Scutelnic, Tomas Klail, Diego Moor, Nedelina Slavova, Valentina Petroulia, Simon Jung, Mattia Branca, Urs Fischer, Franz Riederer, Roland Wiest, Christoph J Schankin","doi":"10.3390/neurolint17070104","DOIUrl":null,"url":null,"abstract":"<p><strong>Background: </strong>The asymmetry of cortical veins in susceptibility weighted imaging (SWI) in MRI might be a biomarker for migraine auras and cortical spreading depression (CSD). The aim of this study was to assess in humans if SWI asymmetry can be found in patients who have migraine attacks without auras.</p><p><strong>Methods: </strong>We included patients (<i>n</i> = 100 per group) from the emergency room setting when they (i) presented with an acute neurological deficit or headache; (ii) had a discharge diagnosis of a migraine aura, a migraine without an aura, or neither (controls without stroke or epilepsy); and (iii) had a brain MRI with SWI in the acute setting.</p><p><strong>Results: </strong>In the migraines with auras group, SWI asymmetry was found in 26% (95% CI 18-35) compared to patients with migraines without auras (3%, [95% CI 1-8], <i>p</i> < 0.001) and controls 7% [95% CI 3-14], <i>p</i> < 0.001). There was no difference between patients with migraines without auras and controls (<i>p</i> = 0.19).</p><p><strong>Conclusions: </strong>The distinct SWI changes in migraines with and without auras suggest that CSD might not be involved in the pathophysiology of migraines without auras.</p>","PeriodicalId":19130,"journal":{"name":"Neurology International","volume":"17 7","pages":""},"PeriodicalIF":3.0000,"publicationDate":"2025-07-08","publicationTypes":"Journal Article","fieldsOfStudy":null,"isOpenAccess":false,"openAccessPdf":"https://www.ncbi.nlm.nih.gov/pmc/articles/PMC12300388/pdf/","citationCount":"0","resultStr":"{\"title\":\"Susceptibility Weighted Imaging in Migraines with and Without Aura: A Case-Control Study.\",\"authors\":\"Adrian Scutelnic, Tomas Klail, Diego Moor, Nedelina Slavova, Valentina Petroulia, Simon Jung, Mattia Branca, Urs Fischer, Franz Riederer, Roland Wiest, Christoph J Schankin\",\"doi\":\"10.3390/neurolint17070104\",\"DOIUrl\":null,\"url\":null,\"abstract\":\"<p><strong>Background: </strong>The asymmetry of cortical veins in susceptibility weighted imaging (SWI) in MRI might be a biomarker for migraine auras and cortical spreading depression (CSD). The aim of this study was to assess in humans if SWI asymmetry can be found in patients who have migraine attacks without auras.</p><p><strong>Methods: </strong>We included patients (<i>n</i> = 100 per group) from the emergency room setting when they (i) presented with an acute neurological deficit or headache; (ii) had a discharge diagnosis of a migraine aura, a migraine without an aura, or neither (controls without stroke or epilepsy); and (iii) had a brain MRI with SWI in the acute setting.</p><p><strong>Results: </strong>In the migraines with auras group, SWI asymmetry was found in 26% (95% CI 18-35) compared to patients with migraines without auras (3%, [95% CI 1-8], <i>p</i> < 0.001) and controls 7% [95% CI 3-14], <i>p</i> < 0.001). There was no difference between patients with migraines without auras and controls (<i>p</i> = 0.19).</p><p><strong>Conclusions: </strong>The distinct SWI changes in migraines with and without auras suggest that CSD might not be involved in the pathophysiology of migraines without auras.</p>\",\"PeriodicalId\":19130,\"journal\":{\"name\":\"Neurology International\",\"volume\":\"17 7\",\"pages\":\"\"},\"PeriodicalIF\":3.0000,\"publicationDate\":\"2025-07-08\",\"publicationTypes\":\"Journal Article\",\"fieldsOfStudy\":null,\"isOpenAccess\":false,\"openAccessPdf\":\"https://www.ncbi.nlm.nih.gov/pmc/articles/PMC12300388/pdf/\",\"citationCount\":\"0\",\"resultStr\":null,\"platform\":\"Semanticscholar\",\"paperid\":null,\"PeriodicalName\":\"Neurology International\",\"FirstCategoryId\":\"1085\",\"ListUrlMain\":\"https://doi.org/10.3390/neurolint17070104\",\"RegionNum\":0,\"RegionCategory\":null,\"ArticlePicture\":[],\"TitleCN\":null,\"AbstractTextCN\":null,\"PMCID\":null,\"EPubDate\":\"\",\"PubModel\":\"\",\"JCR\":\"Q2\",\"JCRName\":\"CLINICAL NEUROLOGY\",\"Score\":null,\"Total\":0}","platform":"Semanticscholar","paperid":null,"PeriodicalName":"Neurology International","FirstCategoryId":"1085","ListUrlMain":"https://doi.org/10.3390/neurolint17070104","RegionNum":0,"RegionCategory":null,"ArticlePicture":[],"TitleCN":null,"AbstractTextCN":null,"PMCID":null,"EPubDate":"","PubModel":"","JCR":"Q2","JCRName":"CLINICAL NEUROLOGY","Score":null,"Total":0}
引用次数: 0

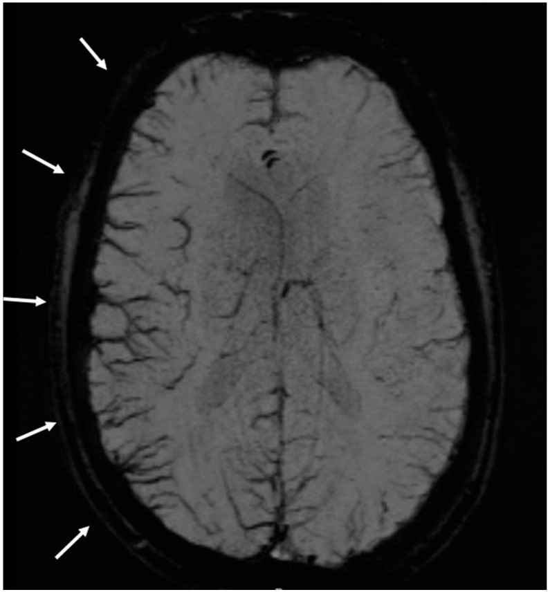
摘要

背景:MRI敏感性加权成像(SWI)显示的皮质静脉不对称可能是偏头痛先兆和皮质扩张性抑制(CSD)的生物标志物。这项研究的目的是评估人类是否可以在没有先兆的偏头痛发作患者中发现SWI不对称。方法:我们纳入了来自急诊室的患者(每组n = 100),当他们(i)出现急性神经功能障碍或头痛;(ii)有偏头痛先兆、无先兆偏头痛或两者均无的出院诊断(没有中风或癫痫的对照组);(iii)在急性情况下进行SWI脑MRI。结果:与无先兆偏头痛患者(3%,[95% CI 1-8], p < 0.001)和对照组(7% [95% CI 3-14], p < 0.001)相比,有先兆偏头痛组的SWI不对称发生率为26% (95% CI 18-35)。无先兆偏头痛患者与对照组之间无差异(p = 0.19)。结论:伴有和不伴有先兆的偏头痛患者SWI的明显变化提示CSD可能与无先兆偏头痛的病理生理无关。
本文章由计算机程序翻译,如有差异,请以英文原文为准。

Susceptibility Weighted Imaging in Migraines with and Without Aura: A Case-Control Study.

Susceptibility Weighted Imaging in Migraines with and Without Aura: A Case-Control Study.

Background: The asymmetry of cortical veins in susceptibility weighted imaging (SWI) in MRI might be a biomarker for migraine auras and cortical spreading depression (CSD). The aim of this study was to assess in humans if SWI asymmetry can be found in patients who have migraine attacks without auras.

Methods: We included patients (n = 100 per group) from the emergency room setting when they (i) presented with an acute neurological deficit or headache; (ii) had a discharge diagnosis of a migraine aura, a migraine without an aura, or neither (controls without stroke or epilepsy); and (iii) had a brain MRI with SWI in the acute setting.

Results: In the migraines with auras group, SWI asymmetry was found in 26% (95% CI 18-35) compared to patients with migraines without auras (3%, [95% CI 1-8], p < 0.001) and controls 7% [95% CI 3-14], p < 0.001). There was no difference between patients with migraines without auras and controls (p = 0.19).

Conclusions: The distinct SWI changes in migraines with and without auras suggest that CSD might not be involved in the pathophysiology of migraines without auras.

求助全文
通过发布文献求助,成功后即可免费获取论文全文。 去求助
来源期刊
Neurology International
Neurology International CLINICAL NEUROLOGY-
CiteScore
3.70
自引率
3.30%
发文量
69
审稿时长
11 weeks
×
引用
GB/T 7714-2015
复制
MLA
复制
APA
复制
导出至
BibTeX EndNote RefMan NoteFirst NoteExpress
×
提示
您的信息不完整,为了账户安全,请先补充。
现在去补充
×
提示
您因"违规操作"
具体请查看互助需知
我知道了
×
提示
确定
请完成安全验证×
copy
已复制链接
快去分享给好友吧!
我知道了
右上角分享
点击右上角分享
0
联系我们:info@booksci.cn Book学术提供免费学术资源搜索服务,方便国内外学者检索中英文文献。致力于提供最便捷和优质的服务体验。 Copyright © 2023 布克学术 All rights reserved.
京ICP备2023020795号-1
ghs 京公网安备 11010802042870号
Book学术文献互助
Book学术文献互助群
群 号:604180095
Book学术官方微信