经皮螺钉与开放空心螺钉固定治疗成人脱位孤立内踝骨折:一项随机对照临床试验。

IF 2.1 3区 医学 Q2 ORTHOPEDICS
Khalaf Fathy Elsayed Ahmed
{"title":"经皮螺钉与开放空心螺钉固定治疗成人脱位孤立内踝骨折:一项随机对照临床试验。","authors":"Khalaf Fathy Elsayed Ahmed","doi":"10.1007/s00402-025-06000-w","DOIUrl":null,"url":null,"abstract":"<p><strong>Introduction: </strong>Isolated medial malleolar (MM) fractures are infrequent injuries. Studies focused on their treatment are scarce. The aim of this study was to compare functional and radiographic outcomes of two surgical techniques for treatment of displaced isolated MM fractures in adults: closed reduction and percutaneous fixation (CRPF), and open reduction and internal fixation (ORIF) by using same implant; two partially-threaded cannulated cancellous screws.</p><p><strong>Materials and methods: </strong>A prospective randomized controlled clinical trial (RCT) was conducted on 50 patients with isolated displaced MM fractures, treated with CRPF (group A) or ORIF (group B), at orthopaedics department of university hospital, from April 2021 to April 2023. Fractures were classified by Herscovici classification. The primary outcomes were incidence of complications and time to union based on radiographic assessment by plain radiographs of ankle. The secondary outcomes were functional assessment by Foot and Ankle Ability Measure (FAAM) for activities of daily living (ADLs) and sports, American Orthopaedic Foot and Ankle Society (AOFAS) score, and VAS.</p><p><strong>Results: </strong>No significant differences were noticed among two groups regarding age, sex, side affected, mechanism of injury, smoking, Herscovici classification, or follow-up duration. Mean final FAAM-ADLs was 97.6 ± 2 in group A, and 95 ± 3.4 in group B, (P = 0.155). Mean final FAAM-sports was 87 ± 11.4 in group A, and 73.4 ± 15.6 in group B, (P = 0.312). Mean final AOFAS score was 95.9 ± 8.4 in group A, and 94.6 ± 9.5 in group B, (P = 0.237). Mean final VAS for pain was 0.9 ± 0.5in group A, and 1.5 ± 0.9 in group B, (P = 0.453). Mean time of solid radiographic union was 9.5 ± 2 weeks in group A, and 10.4 ± 3 weeks in group B, (P = 0.026).</p><p><strong>Conclusion: </strong>CRPF of displaced isolated MM fractures is an efficient method with comparable radiographic and functional outcomes to ORIF. Based on these results, percutaneous fixation could be a good alternative for managing displaced isolated MM fractures.</p><p><strong>Level of evidence: </strong>Level II therapeutic: Prospective randomized controlled clinical trial.</p><p><strong>Trial registration: </strong>The trial was registered at www.</p><p><strong>Clinicaltrials: </strong>gov (Trial Registration Number: NCT06883435).</p>","PeriodicalId":8326,"journal":{"name":"Archives of Orthopaedic and Trauma Surgery","volume":"145 1","pages":"385"},"PeriodicalIF":2.1000,"publicationDate":"2025-07-25","publicationTypes":"Journal Article","fieldsOfStudy":null,"isOpenAccess":false,"openAccessPdf":"https://www.ncbi.nlm.nih.gov/pmc/articles/PMC12296974/pdf/","citationCount":"0","resultStr":"{\"title\":\"Percutaneous versus open cannulated screws fixation for displaced isolated medial malleolar fractures in adults: a randomized controlled clinical trial.\",\"authors\":\"Khalaf Fathy Elsayed Ahmed\",\"doi\":\"10.1007/s00402-025-06000-w\",\"DOIUrl\":null,\"url\":null,\"abstract\":\"<p><strong>Introduction: </strong>Isolated medial malleolar (MM) fractures are infrequent injuries. Studies focused on their treatment are scarce. The aim of this study was to compare functional and radiographic outcomes of two surgical techniques for treatment of displaced isolated MM fractures in adults: closed reduction and percutaneous fixation (CRPF), and open reduction and internal fixation (ORIF) by using same implant; two partially-threaded cannulated cancellous screws.</p><p><strong>Materials and methods: </strong>A prospective randomized controlled clinical trial (RCT) was conducted on 50 patients with isolated displaced MM fractures, treated with CRPF (group A) or ORIF (group B), at orthopaedics department of university hospital, from April 2021 to April 2023. Fractures were classified by Herscovici classification. The primary outcomes were incidence of complications and time to union based on radiographic assessment by plain radiographs of ankle. The secondary outcomes were functional assessment by Foot and Ankle Ability Measure (FAAM) for activities of daily living (ADLs) and sports, American Orthopaedic Foot and Ankle Society (AOFAS) score, and VAS.</p><p><strong>Results: </strong>No significant differences were noticed among two groups regarding age, sex, side affected, mechanism of injury, smoking, Herscovici classification, or follow-up duration. Mean final FAAM-ADLs was 97.6 ± 2 in group A, and 95 ± 3.4 in group B, (P = 0.155). Mean final FAAM-sports was 87 ± 11.4 in group A, and 73.4 ± 15.6 in group B, (P = 0.312). Mean final AOFAS score was 95.9 ± 8.4 in group A, and 94.6 ± 9.5 in group B, (P = 0.237). Mean final VAS for pain was 0.9 ± 0.5in group A, and 1.5 ± 0.9 in group B, (P = 0.453). Mean time of solid radiographic union was 9.5 ± 2 weeks in group A, and 10.4 ± 3 weeks in group B, (P = 0.026).</p><p><strong>Conclusion: </strong>CRPF of displaced isolated MM fractures is an efficient method with comparable radiographic and functional outcomes to ORIF. Based on these results, percutaneous fixation could be a good alternative for managing displaced isolated MM fractures.</p><p><strong>Level of evidence: </strong>Level II therapeutic: Prospective randomized controlled clinical trial.</p><p><strong>Trial registration: </strong>The trial was registered at www.</p><p><strong>Clinicaltrials: </strong>gov (Trial Registration Number: NCT06883435).</p>\",\"PeriodicalId\":8326,\"journal\":{\"name\":\"Archives of Orthopaedic and Trauma Surgery\",\"volume\":\"145 1\",\"pages\":\"385\"},\"PeriodicalIF\":2.1000,\"publicationDate\":\"2025-07-25\",\"publicationTypes\":\"Journal Article\",\"fieldsOfStudy\":null,\"isOpenAccess\":false,\"openAccessPdf\":\"https://www.ncbi.nlm.nih.gov/pmc/articles/PMC12296974/pdf/\",\"citationCount\":\"0\",\"resultStr\":null,\"platform\":\"Semanticscholar\",\"paperid\":null,\"PeriodicalName\":\"Archives of Orthopaedic and Trauma Surgery\",\"FirstCategoryId\":\"3\",\"ListUrlMain\":\"https://doi.org/10.1007/s00402-025-06000-w\",\"RegionNum\":3,\"RegionCategory\":\"医学\",\"ArticlePicture\":[],\"TitleCN\":null,\"AbstractTextCN\":null,\"PMCID\":null,\"EPubDate\":\"\",\"PubModel\":\"\",\"JCR\":\"Q2\",\"JCRName\":\"ORTHOPEDICS\",\"Score\":null,\"Total\":0}","platform":"Semanticscholar","paperid":null,"PeriodicalName":"Archives of Orthopaedic and Trauma Surgery","FirstCategoryId":"3","ListUrlMain":"https://doi.org/10.1007/s00402-025-06000-w","RegionNum":3,"RegionCategory":"医学","ArticlePicture":[],"TitleCN":null,"AbstractTextCN":null,"PMCID":null,"EPubDate":"","PubModel":"","JCR":"Q2","JCRName":"ORTHOPEDICS","Score":null,"Total":0}
引用次数: 0

摘要

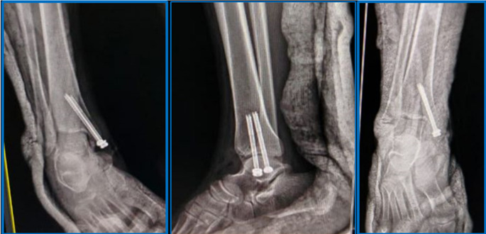
孤立性内踝骨折是一种罕见的损伤。专注于治疗的研究很少。本研究的目的是比较两种手术技术治疗成人移位孤立MM骨折的功能和影像学结果:闭合复位经皮固定(CRPF)和使用相同植入物的切开复位内固定(ORIF);两个半螺纹空心松质螺钉。材料与方法:于2021年4月至2023年4月在大学医院骨科对50例孤立移位MM骨折患者进行前瞻性随机对照临床试验(RCT),分别采用CRPF (A组)或ORIF (B组)治疗。骨折采用Herscovici分型。主要观察指标为并发症发生率和踝关节x线平片评估的愈合时间。次要结果为日常生活活动(ADLs)和运动的足踝能力量表(FAAM)功能评估、美国骨科足踝学会(AOFAS)评分和VAS评分。结果:两组患者在年龄、性别、副反应、损伤机制、吸烟、Herscovici分类、随访时间等方面无显著差异。A组平均最终FAAM-ADLs为97.6±2,B组为95±3.4,差异有统计学意义(P = 0.155)。A组FAAM-sports终末平均为87±11.4,B组为73.4±15.6,P = 0.312。A组最终平均AOFAS评分为95.9±8.4分,B组为94.6±9.5分,差异有统计学意义(P = 0.237)。A组疼痛评分平均为0.9±0.5,B组为1.5±0.9,差异有统计学意义(P = 0.453)。A组平均x线实愈合时间9.5±2周,B组平均10.4±3周,差异有统计学意义(P = 0.026)。结论:CRPF治疗移位的孤立性MM骨折是一种有效的方法,其影像学和功能效果与ORIF相当。基于这些结果,经皮内固定可能是治疗移位的孤立性MM骨折的良好选择。证据水平:II级治疗:前瞻性随机对照临床试验。试验注册:该试验在www.Clinicaltrials: gov上注册(试验注册号:NCT06883435)。
本文章由计算机程序翻译,如有差异,请以英文原文为准。

Percutaneous versus open cannulated screws fixation for displaced isolated medial malleolar fractures in adults: a randomized controlled clinical trial.

Percutaneous versus open cannulated screws fixation for displaced isolated medial malleolar fractures in adults: a randomized controlled clinical trial.

Percutaneous versus open cannulated screws fixation for displaced isolated medial malleolar fractures in adults: a randomized controlled clinical trial.

Percutaneous versus open cannulated screws fixation for displaced isolated medial malleolar fractures in adults: a randomized controlled clinical trial.

Introduction: Isolated medial malleolar (MM) fractures are infrequent injuries. Studies focused on their treatment are scarce. The aim of this study was to compare functional and radiographic outcomes of two surgical techniques for treatment of displaced isolated MM fractures in adults: closed reduction and percutaneous fixation (CRPF), and open reduction and internal fixation (ORIF) by using same implant; two partially-threaded cannulated cancellous screws.

Materials and methods: A prospective randomized controlled clinical trial (RCT) was conducted on 50 patients with isolated displaced MM fractures, treated with CRPF (group A) or ORIF (group B), at orthopaedics department of university hospital, from April 2021 to April 2023. Fractures were classified by Herscovici classification. The primary outcomes were incidence of complications and time to union based on radiographic assessment by plain radiographs of ankle. The secondary outcomes were functional assessment by Foot and Ankle Ability Measure (FAAM) for activities of daily living (ADLs) and sports, American Orthopaedic Foot and Ankle Society (AOFAS) score, and VAS.

Results: No significant differences were noticed among two groups regarding age, sex, side affected, mechanism of injury, smoking, Herscovici classification, or follow-up duration. Mean final FAAM-ADLs was 97.6 ± 2 in group A, and 95 ± 3.4 in group B, (P = 0.155). Mean final FAAM-sports was 87 ± 11.4 in group A, and 73.4 ± 15.6 in group B, (P = 0.312). Mean final AOFAS score was 95.9 ± 8.4 in group A, and 94.6 ± 9.5 in group B, (P = 0.237). Mean final VAS for pain was 0.9 ± 0.5in group A, and 1.5 ± 0.9 in group B, (P = 0.453). Mean time of solid radiographic union was 9.5 ± 2 weeks in group A, and 10.4 ± 3 weeks in group B, (P = 0.026).

Conclusion: CRPF of displaced isolated MM fractures is an efficient method with comparable radiographic and functional outcomes to ORIF. Based on these results, percutaneous fixation could be a good alternative for managing displaced isolated MM fractures.

Level of evidence: Level II therapeutic: Prospective randomized controlled clinical trial.

Trial registration: The trial was registered at www.

Clinicaltrials: gov (Trial Registration Number: NCT06883435).

求助全文
通过发布文献求助,成功后即可免费获取论文全文。 去求助
来源期刊
CiteScore
4.30
自引率
13.00%
发文量
424
审稿时长
2 months
期刊介绍: "Archives of Orthopaedic and Trauma Surgery" is a rich source of instruction and information for physicians in clinical practice and research in the extensive field of orthopaedics and traumatology. The journal publishes papers that deal with diseases and injuries of the musculoskeletal system from all fields and aspects of medicine. The journal is particularly interested in papers that satisfy the information needs of orthopaedic clinicians and practitioners. The journal places special emphasis on clinical relevance. "Archives of Orthopaedic and Trauma Surgery" is the official journal of the German Speaking Arthroscopy Association (AGA).
×
引用
GB/T 7714-2015
复制
MLA
复制
APA
复制
导出至
BibTeX EndNote RefMan NoteFirst NoteExpress
×
提示
您的信息不完整,为了账户安全,请先补充。
现在去补充
×
提示
您因"违规操作"
具体请查看互助需知
我知道了
×
提示
确定
请完成安全验证×
copy
已复制链接
快去分享给好友吧!
我知道了
右上角分享
点击右上角分享
0
联系我们:info@booksci.cn Book学术提供免费学术资源搜索服务,方便国内外学者检索中英文文献。致力于提供最便捷和优质的服务体验。 Copyright © 2023 布克学术 All rights reserved.
京ICP备2023020795号-1
ghs 京公网安备 11010802042870号
Book学术文献互助
Book学术文献互助群
群 号:604180095
Book学术官方微信