比较标记-基于蛋白质组学的ecis ocellatus, Naja nigricollis和Bitis arieans毒液。

IF 3.6 Q2 BIOCHEMISTRY & MOLECULAR BIOLOGY
Abdulbaki Alfa-Ibrahim Adio, Samuel Odo Uko, Jiddah Muhammad Lawal, Ibrahim Malami, Nafiu Lawal, Amina Jega Yusuf Jega, Bilyaminu Abubakar, Muhammad Bashir Bello, Kasimu Ghandi Ibrahim, Murtala Bello Abubakar, Abdussamad Muhammad Abdussamad, Mujtaba Sulaiman Abubakar, Mustapha Umar Imam
{"title":"比较标记-基于蛋白质组学的ecis ocellatus, Naja nigricollis和Bitis arieans毒液。","authors":"Abdulbaki Alfa-Ibrahim Adio, Samuel Odo Uko, Jiddah Muhammad Lawal, Ibrahim Malami, Nafiu Lawal, Amina Jega Yusuf Jega, Bilyaminu Abubakar, Muhammad Bashir Bello, Kasimu Ghandi Ibrahim, Murtala Bello Abubakar, Abdussamad Muhammad Abdussamad, Mujtaba Sulaiman Abubakar, Mustapha Umar Imam","doi":"10.3390/proteomes13030031","DOIUrl":null,"url":null,"abstract":"<p><p><b>Background:</b> Snake envenomation is a major public health issue in Nigeria, primarily due to bites from <i>Echis ocellatus</i>, <i>Naja nigricollis</i>, and Bitis arietans. Understanding their venom composition is essential for effective antivenom development. This study characterizes and compares the venom proteomes of these snakes using iTRAQ-based proteomics, focusing on key toxin families and their relative abundances. <b>Methods:</b> Venom samples were ethically collected from adult snakes, pooled by species, lyophilized, and stored for proteomic analysis. Proteins were extracted, digested with trypsin, and labeled with iTRAQ. Peptides were analyzed via mass spectrometry, and data were processed using Mascot and IQuant for protein identification and quantification. <b>Results:</b><i>E. ocellatus</i> and <i>B. arietans</i> venoms had similar profiles, rich in C-type lectins, serine proteases, and phospholipase A<sub>2</sub>s. These comprised 17%, 11%, and 5% in <i>E. ocellatus</i> and 47%, 10%, and 7% in <i>B. arietans</i>, with metalloproteinases dominating both (53% and 47%). In <i>N. nigricollis</i>, three-finger toxins (9%) were most abundant, followed by metalloproteinases (3%). All species shared four core protein families, with <i>N. nigricollis</i> also containing four uncharacterized proteins. <b>Conclusions:</b> This study highlights venom compositional differences, advancing snake venom biology and informing targeted antivenom development.</p>","PeriodicalId":20877,"journal":{"name":"Proteomes","volume":"13 3","pages":""},"PeriodicalIF":3.6000,"publicationDate":"2025-07-02","publicationTypes":"Journal Article","fieldsOfStudy":null,"isOpenAccess":false,"openAccessPdf":"https://www.ncbi.nlm.nih.gov/pmc/articles/PMC12286013/pdf/","citationCount":"0","resultStr":"{\"title\":\"Comparative Label-Based Proteomics of Venoms from <i>Echis ocellatus</i>, <i>Naja nigricollis</i>, and <i>Bitis arietans</i>.\",\"authors\":\"Abdulbaki Alfa-Ibrahim Adio, Samuel Odo Uko, Jiddah Muhammad Lawal, Ibrahim Malami, Nafiu Lawal, Amina Jega Yusuf Jega, Bilyaminu Abubakar, Muhammad Bashir Bello, Kasimu Ghandi Ibrahim, Murtala Bello Abubakar, Abdussamad Muhammad Abdussamad, Mujtaba Sulaiman Abubakar, Mustapha Umar Imam\",\"doi\":\"10.3390/proteomes13030031\",\"DOIUrl\":null,\"url\":null,\"abstract\":\"<p><p><b>Background:</b> Snake envenomation is a major public health issue in Nigeria, primarily due to bites from <i>Echis ocellatus</i>, <i>Naja nigricollis</i>, and Bitis arietans. Understanding their venom composition is essential for effective antivenom development. This study characterizes and compares the venom proteomes of these snakes using iTRAQ-based proteomics, focusing on key toxin families and their relative abundances. <b>Methods:</b> Venom samples were ethically collected from adult snakes, pooled by species, lyophilized, and stored for proteomic analysis. Proteins were extracted, digested with trypsin, and labeled with iTRAQ. Peptides were analyzed via mass spectrometry, and data were processed using Mascot and IQuant for protein identification and quantification. <b>Results:</b><i>E. ocellatus</i> and <i>B. arietans</i> venoms had similar profiles, rich in C-type lectins, serine proteases, and phospholipase A<sub>2</sub>s. These comprised 17%, 11%, and 5% in <i>E. ocellatus</i> and 47%, 10%, and 7% in <i>B. arietans</i>, with metalloproteinases dominating both (53% and 47%). In <i>N. nigricollis</i>, three-finger toxins (9%) were most abundant, followed by metalloproteinases (3%). All species shared four core protein families, with <i>N. nigricollis</i> also containing four uncharacterized proteins. <b>Conclusions:</b> This study highlights venom compositional differences, advancing snake venom biology and informing targeted antivenom development.</p>\",\"PeriodicalId\":20877,\"journal\":{\"name\":\"Proteomes\",\"volume\":\"13 3\",\"pages\":\"\"},\"PeriodicalIF\":3.6000,\"publicationDate\":\"2025-07-02\",\"publicationTypes\":\"Journal Article\",\"fieldsOfStudy\":null,\"isOpenAccess\":false,\"openAccessPdf\":\"https://www.ncbi.nlm.nih.gov/pmc/articles/PMC12286013/pdf/\",\"citationCount\":\"0\",\"resultStr\":null,\"platform\":\"Semanticscholar\",\"paperid\":null,\"PeriodicalName\":\"Proteomes\",\"FirstCategoryId\":\"1085\",\"ListUrlMain\":\"https://doi.org/10.3390/proteomes13030031\",\"RegionNum\":0,\"RegionCategory\":null,\"ArticlePicture\":[],\"TitleCN\":null,\"AbstractTextCN\":null,\"PMCID\":null,\"EPubDate\":\"\",\"PubModel\":\"\",\"JCR\":\"Q2\",\"JCRName\":\"BIOCHEMISTRY & MOLECULAR BIOLOGY\",\"Score\":null,\"Total\":0}","platform":"Semanticscholar","paperid":null,"PeriodicalName":"Proteomes","FirstCategoryId":"1085","ListUrlMain":"https://doi.org/10.3390/proteomes13030031","RegionNum":0,"RegionCategory":null,"ArticlePicture":[],"TitleCN":null,"AbstractTextCN":null,"PMCID":null,"EPubDate":"","PubModel":"","JCR":"Q2","JCRName":"BIOCHEMISTRY & MOLECULAR BIOLOGY","Score":null,"Total":0}
引用次数: 0

摘要

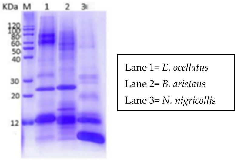
背景:蛇的中毒是尼日利亚的一个主要公共卫生问题,主要是由于被青斑伊蚊、黑斑奈贾和白斑比特虫叮咬所致。了解它们的毒液成分对有效的抗蛇毒血清开发至关重要。本研究利用基于itraq的蛋白质组学方法对这些蛇的毒液蛋白质组学进行了表征和比较,重点研究了关键毒素家族及其相对丰度。方法:采集成年蛇毒标本,按种类分类,冷冻干燥保存,用于蛋白质组学分析。提取蛋白质,用胰蛋白酶消化,并用iTRAQ标记。通过质谱分析多肽,并使用Mascot和IQuant对数据进行蛋白质鉴定和定量。结果:E。cellatus和B. arietans的毒液具有相似的特征,富含c型凝集素、丝氨酸蛋白酶和磷脂酶A2s。这些酶在牛眼绦虫中分别占17%、11%和5%,在牛眼绦虫中占47%、10%和7%,金属蛋白酶在两者中占主导地位(53%和47%)。在黑毛线虫中,三指毒素含量最多(9%),其次是金属蛋白酶(3%)。所有物种共有4个核心蛋白家族,其中黑线虫也含有4个未鉴定的蛋白。结论:该研究突出了蛇毒成分的差异,促进了蛇毒生物学的发展,并为靶向抗蛇毒血清的开发提供了信息。
本文章由计算机程序翻译,如有差异,请以英文原文为准。

Comparative Label-Based Proteomics of Venoms from <i>Echis ocellatus</i>, <i>Naja nigricollis</i>, and <i>Bitis arietans</i>.

Comparative Label-Based Proteomics of Venoms from <i>Echis ocellatus</i>, <i>Naja nigricollis</i>, and <i>Bitis arietans</i>.

Comparative Label-Based Proteomics of Venoms from <i>Echis ocellatus</i>, <i>Naja nigricollis</i>, and <i>Bitis arietans</i>.

Comparative Label-Based Proteomics of Venoms from Echis ocellatus, Naja nigricollis, and Bitis arietans.

Background: Snake envenomation is a major public health issue in Nigeria, primarily due to bites from Echis ocellatus, Naja nigricollis, and Bitis arietans. Understanding their venom composition is essential for effective antivenom development. This study characterizes and compares the venom proteomes of these snakes using iTRAQ-based proteomics, focusing on key toxin families and their relative abundances. Methods: Venom samples were ethically collected from adult snakes, pooled by species, lyophilized, and stored for proteomic analysis. Proteins were extracted, digested with trypsin, and labeled with iTRAQ. Peptides were analyzed via mass spectrometry, and data were processed using Mascot and IQuant for protein identification and quantification. Results:E. ocellatus and B. arietans venoms had similar profiles, rich in C-type lectins, serine proteases, and phospholipase A2s. These comprised 17%, 11%, and 5% in E. ocellatus and 47%, 10%, and 7% in B. arietans, with metalloproteinases dominating both (53% and 47%). In N. nigricollis, three-finger toxins (9%) were most abundant, followed by metalloproteinases (3%). All species shared four core protein families, with N. nigricollis also containing four uncharacterized proteins. Conclusions: This study highlights venom compositional differences, advancing snake venom biology and informing targeted antivenom development.

求助全文
通过发布文献求助,成功后即可免费获取论文全文。 去求助
来源期刊
Proteomes
Proteomes Biochemistry, Genetics and Molecular Biology-Clinical Biochemistry
CiteScore
6.50
自引率
3.00%
发文量
37
审稿时长
11 weeks
期刊介绍: Proteomes (ISSN 2227-7382) is an open access, peer reviewed journal on all aspects of proteome science. Proteomes covers the multi-disciplinary topics of structural and functional biology, protein chemistry, cell biology, methodology used for protein analysis, including mass spectrometry, protein arrays, bioinformatics, HTS assays, etc. Our aim is to encourage scientists to publish their experimental and theoretical results in as much detail as possible. Therefore, there is no restriction on the length of papers. Scope: -whole proteome analysis of any organism -disease/pharmaceutical studies -comparative proteomics -protein-ligand/protein interactions -structure/functional proteomics -gene expression -methodology -bioinformatics -applications of proteomics
×
引用
GB/T 7714-2015
复制
MLA
复制
APA
复制
导出至
BibTeX EndNote RefMan NoteFirst NoteExpress
×
提示
您的信息不完整,为了账户安全,请先补充。
现在去补充
×
提示
您因"违规操作"
具体请查看互助需知
我知道了
×
提示
确定
请完成安全验证×
copy
已复制链接
快去分享给好友吧!
我知道了
右上角分享
点击右上角分享
0
联系我们:info@booksci.cn Book学术提供免费学术资源搜索服务,方便国内外学者检索中英文文献。致力于提供最便捷和优质的服务体验。 Copyright © 2023 布克学术 All rights reserved.
京ICP备2023020795号-1
ghs 京公网安备 11010802042870号
Book学术文献互助
Book学术文献互助群
群 号:604180095
Book学术官方微信