炎性肠病的继发性噬血细胞淋巴细胞增多症。

IF 1.2 Q4 HEMATOLOGY
Jacob Boccucci, Ramalakshmi Thulluri, Chandini Kannan, Matthew Gold, Vamsi Kota
{"title":"炎性肠病的继发性噬血细胞淋巴细胞增多症。","authors":"Jacob Boccucci, Ramalakshmi Thulluri, Chandini Kannan, Matthew Gold, Vamsi Kota","doi":"10.3390/hematolrep17040033","DOIUrl":null,"url":null,"abstract":"<p><p>Background and Clinical Significance: Hemophagocytic lymphohistiocytosis (HLH) is a rare and life-threatening condition that can go underdiagnosed due to overlapping features with severe infections. While the use of thiopurine in inflammatory bowel disease (IBD) has been associated with HLH, the majority of these patients will have a concurrent Epstein-Barr virus (EBV) infection. Case Presentation: This report presents a case of HLH in a patient previously treated with aza-thioprine for IBD without concurrent viral infection.</p>","PeriodicalId":12829,"journal":{"name":"Hematology Reports","volume":"17 4","pages":""},"PeriodicalIF":1.2000,"publicationDate":"2025-06-30","publicationTypes":"Journal Article","fieldsOfStudy":null,"isOpenAccess":false,"openAccessPdf":"https://www.ncbi.nlm.nih.gov/pmc/articles/PMC12286110/pdf/","citationCount":"0","resultStr":"{\"title\":\"Secondary Hemophagocytic Lymphocytosis in Inflammatory Bowel Disease.\",\"authors\":\"Jacob Boccucci, Ramalakshmi Thulluri, Chandini Kannan, Matthew Gold, Vamsi Kota\",\"doi\":\"10.3390/hematolrep17040033\",\"DOIUrl\":null,\"url\":null,\"abstract\":\"<p><p>Background and Clinical Significance: Hemophagocytic lymphohistiocytosis (HLH) is a rare and life-threatening condition that can go underdiagnosed due to overlapping features with severe infections. While the use of thiopurine in inflammatory bowel disease (IBD) has been associated with HLH, the majority of these patients will have a concurrent Epstein-Barr virus (EBV) infection. Case Presentation: This report presents a case of HLH in a patient previously treated with aza-thioprine for IBD without concurrent viral infection.</p>\",\"PeriodicalId\":12829,\"journal\":{\"name\":\"Hematology Reports\",\"volume\":\"17 4\",\"pages\":\"\"},\"PeriodicalIF\":1.2000,\"publicationDate\":\"2025-06-30\",\"publicationTypes\":\"Journal Article\",\"fieldsOfStudy\":null,\"isOpenAccess\":false,\"openAccessPdf\":\"https://www.ncbi.nlm.nih.gov/pmc/articles/PMC12286110/pdf/\",\"citationCount\":\"0\",\"resultStr\":null,\"platform\":\"Semanticscholar\",\"paperid\":null,\"PeriodicalName\":\"Hematology Reports\",\"FirstCategoryId\":\"1085\",\"ListUrlMain\":\"https://doi.org/10.3390/hematolrep17040033\",\"RegionNum\":0,\"RegionCategory\":null,\"ArticlePicture\":[],\"TitleCN\":null,\"AbstractTextCN\":null,\"PMCID\":null,\"EPubDate\":\"\",\"PubModel\":\"\",\"JCR\":\"Q4\",\"JCRName\":\"HEMATOLOGY\",\"Score\":null,\"Total\":0}","platform":"Semanticscholar","paperid":null,"PeriodicalName":"Hematology Reports","FirstCategoryId":"1085","ListUrlMain":"https://doi.org/10.3390/hematolrep17040033","RegionNum":0,"RegionCategory":null,"ArticlePicture":[],"TitleCN":null,"AbstractTextCN":null,"PMCID":null,"EPubDate":"","PubModel":"","JCR":"Q4","JCRName":"HEMATOLOGY","Score":null,"Total":0}
引用次数: 0

摘要

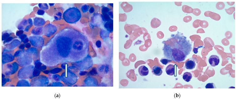
背景和临床意义:嗜血球性淋巴组织细胞增多症(HLH)是一种罕见且危及生命的疾病,由于其与严重感染的重叠特征而常被误诊。虽然在炎症性肠病(IBD)中使用硫嘌呤与HLH有关,但这些患者中的大多数将并发eb病毒(EBV)感染。病例介绍:本报告提出了一个病例的HLH患者以前用氮杂硫嘌呤治疗IBD没有并发病毒感染。
本文章由计算机程序翻译,如有差异,请以英文原文为准。

Secondary Hemophagocytic Lymphocytosis in Inflammatory Bowel Disease.

Secondary Hemophagocytic Lymphocytosis in Inflammatory Bowel Disease.

Background and Clinical Significance: Hemophagocytic lymphohistiocytosis (HLH) is a rare and life-threatening condition that can go underdiagnosed due to overlapping features with severe infections. While the use of thiopurine in inflammatory bowel disease (IBD) has been associated with HLH, the majority of these patients will have a concurrent Epstein-Barr virus (EBV) infection. Case Presentation: This report presents a case of HLH in a patient previously treated with aza-thioprine for IBD without concurrent viral infection.

求助全文
通过发布文献求助,成功后即可免费获取论文全文。 去求助
来源期刊
Hematology Reports
Hematology Reports HEMATOLOGY-
CiteScore
0.90
自引率
0.00%
发文量
47
审稿时长
10 weeks
×
引用
GB/T 7714-2015
复制
MLA
复制
APA
复制
导出至
BibTeX EndNote RefMan NoteFirst NoteExpress
×
提示
您的信息不完整,为了账户安全,请先补充。
现在去补充
×
提示
您因"违规操作"
具体请查看互助需知
我知道了
×
提示
确定
请完成安全验证×
copy
已复制链接
快去分享给好友吧!
我知道了
右上角分享
点击右上角分享
0
联系我们:info@booksci.cn Book学术提供免费学术资源搜索服务,方便国内外学者检索中英文文献。致力于提供最便捷和优质的服务体验。 Copyright © 2023 布克学术 All rights reserved.
京ICP备2023020795号-1
ghs 京公网安备 11010802042870号
Book学术文献互助
Book学术文献互助群
群 号:604180095
Book学术官方微信