经导管动脉栓塞治疗外伤性肝损伤合并腹腔轴狭窄出血的疗效观察。

IF 0.8 4区 医学 Q3 EMERGENCY MEDICINE
Emergency Medicine International Pub Date : 2025-07-02 eCollection Date: 2025-01-01 DOI:10.1155/emmi/5577388
Yook Kim, Younghoon Sul
{"title":"经导管动脉栓塞治疗外伤性肝损伤合并腹腔轴狭窄出血的疗效观察。","authors":"Yook Kim, Younghoon Sul","doi":"10.1155/emmi/5577388","DOIUrl":null,"url":null,"abstract":"<p><p><b>Purpose:</b> This study aimed to evaluate the safety and efficacy of transcatheter arterial embolization (TAE) for hemorrhage control in patients with traumatic liver injury complicated by celiac axis stenosis (CAS). <b>Methods:</b> Nine patients diagnosed with CAS who underwent TAE between January 2012 and December 2024 were included in this retrospective study. Imaging studies were used to assess the vascular anatomy, and clinical outcomes were analyzed, focusing on technical and clinical success rates and complications. <b>Results:</b> All patients achieved technical success with TAE, with a clinical success rate of 77%, and no 30-day mortality. Seven patients had medial arcuate ligament compression, which was identified as the cause of CAS, while two patients had atherosclerosis. <b>Conclusion:</b> TAE is a safe and effective intervention for managing hemorrhage in traumatic liver injury complicated by CAS. Thorough assessment of computed tomography images is crucial for diagnosing the underlying causes of CAS and optimizing catheterization strategies.</p>","PeriodicalId":11528,"journal":{"name":"Emergency Medicine International","volume":"2025 ","pages":"5577388"},"PeriodicalIF":0.8000,"publicationDate":"2025-07-02","publicationTypes":"Journal Article","fieldsOfStudy":null,"isOpenAccess":false,"openAccessPdf":"https://www.ncbi.nlm.nih.gov/pmc/articles/PMC12286661/pdf/","citationCount":"0","resultStr":"{\"title\":\"Efficacy of Transcatheter Arterial Embolization for Hemorrhage Control in Traumatic Hepatic Injury With Celiac Axis Stenosis.\",\"authors\":\"Yook Kim, Younghoon Sul\",\"doi\":\"10.1155/emmi/5577388\",\"DOIUrl\":null,\"url\":null,\"abstract\":\"<p><p><b>Purpose:</b> This study aimed to evaluate the safety and efficacy of transcatheter arterial embolization (TAE) for hemorrhage control in patients with traumatic liver injury complicated by celiac axis stenosis (CAS). <b>Methods:</b> Nine patients diagnosed with CAS who underwent TAE between January 2012 and December 2024 were included in this retrospective study. Imaging studies were used to assess the vascular anatomy, and clinical outcomes were analyzed, focusing on technical and clinical success rates and complications. <b>Results:</b> All patients achieved technical success with TAE, with a clinical success rate of 77%, and no 30-day mortality. Seven patients had medial arcuate ligament compression, which was identified as the cause of CAS, while two patients had atherosclerosis. <b>Conclusion:</b> TAE is a safe and effective intervention for managing hemorrhage in traumatic liver injury complicated by CAS. Thorough assessment of computed tomography images is crucial for diagnosing the underlying causes of CAS and optimizing catheterization strategies.</p>\",\"PeriodicalId\":11528,\"journal\":{\"name\":\"Emergency Medicine International\",\"volume\":\"2025 \",\"pages\":\"5577388\"},\"PeriodicalIF\":0.8000,\"publicationDate\":\"2025-07-02\",\"publicationTypes\":\"Journal Article\",\"fieldsOfStudy\":null,\"isOpenAccess\":false,\"openAccessPdf\":\"https://www.ncbi.nlm.nih.gov/pmc/articles/PMC12286661/pdf/\",\"citationCount\":\"0\",\"resultStr\":null,\"platform\":\"Semanticscholar\",\"paperid\":null,\"PeriodicalName\":\"Emergency Medicine International\",\"FirstCategoryId\":\"3\",\"ListUrlMain\":\"https://doi.org/10.1155/emmi/5577388\",\"RegionNum\":4,\"RegionCategory\":\"医学\",\"ArticlePicture\":[],\"TitleCN\":null,\"AbstractTextCN\":null,\"PMCID\":null,\"EPubDate\":\"2025/1/1 0:00:00\",\"PubModel\":\"eCollection\",\"JCR\":\"Q3\",\"JCRName\":\"EMERGENCY MEDICINE\",\"Score\":null,\"Total\":0}","platform":"Semanticscholar","paperid":null,"PeriodicalName":"Emergency Medicine International","FirstCategoryId":"3","ListUrlMain":"https://doi.org/10.1155/emmi/5577388","RegionNum":4,"RegionCategory":"医学","ArticlePicture":[],"TitleCN":null,"AbstractTextCN":null,"PMCID":null,"EPubDate":"2025/1/1 0:00:00","PubModel":"eCollection","JCR":"Q3","JCRName":"EMERGENCY MEDICINE","Score":null,"Total":0}
引用次数: 0

摘要

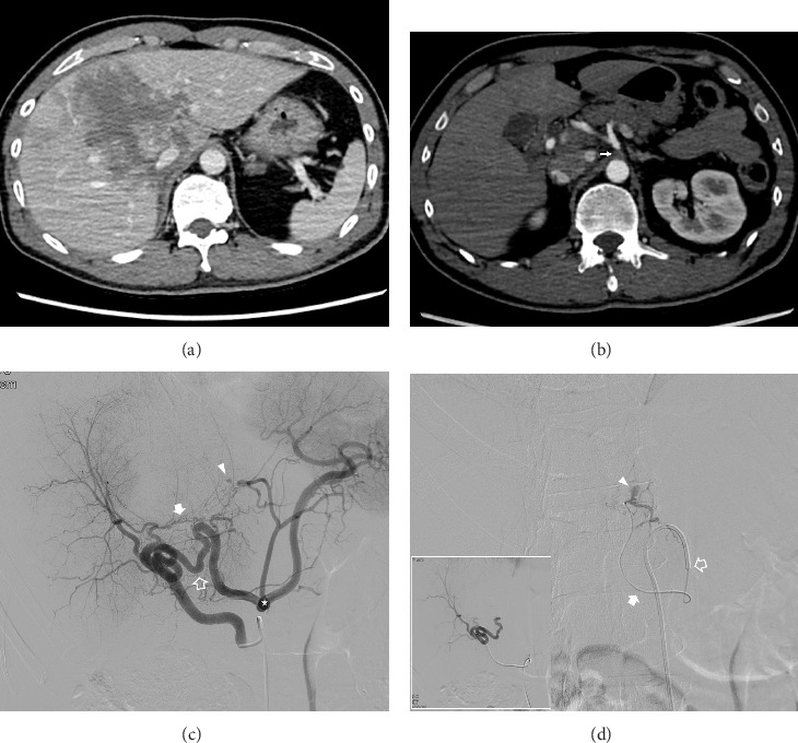
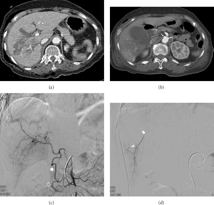
目的:本研究旨在评价经导管动脉栓塞(TAE)治疗外伤性肝损伤合并乳糜轴狭窄(CAS)患者出血的安全性和有效性。方法:回顾性研究2012年1月至2024年12月期间9例经TAE诊断为CAS的患者。影像学检查用于评估血管解剖,并分析临床结果,重点关注技术和临床成功率及并发症。结果:所有患者均获得TAE技术成功,临床成功率为77%,无30天死亡率。7例患者有内侧弓状韧带受压,确定为引起CAS的原因,2例患者有动脉粥样硬化。结论:TAE是一种安全有效的治疗外伤性肝损伤并发CAS出血的干预措施。全面评估计算机断层图像对于诊断CAS的潜在原因和优化导管策略至关重要。
本文章由计算机程序翻译,如有差异,请以英文原文为准。

Efficacy of Transcatheter Arterial Embolization for Hemorrhage Control in Traumatic Hepatic Injury With Celiac Axis Stenosis.

Efficacy of Transcatheter Arterial Embolization for Hemorrhage Control in Traumatic Hepatic Injury With Celiac Axis Stenosis.

Efficacy of Transcatheter Arterial Embolization for Hemorrhage Control in Traumatic Hepatic Injury With Celiac Axis Stenosis.

Efficacy of Transcatheter Arterial Embolization for Hemorrhage Control in Traumatic Hepatic Injury With Celiac Axis Stenosis.

Purpose: This study aimed to evaluate the safety and efficacy of transcatheter arterial embolization (TAE) for hemorrhage control in patients with traumatic liver injury complicated by celiac axis stenosis (CAS). Methods: Nine patients diagnosed with CAS who underwent TAE between January 2012 and December 2024 were included in this retrospective study. Imaging studies were used to assess the vascular anatomy, and clinical outcomes were analyzed, focusing on technical and clinical success rates and complications. Results: All patients achieved technical success with TAE, with a clinical success rate of 77%, and no 30-day mortality. Seven patients had medial arcuate ligament compression, which was identified as the cause of CAS, while two patients had atherosclerosis. Conclusion: TAE is a safe and effective intervention for managing hemorrhage in traumatic liver injury complicated by CAS. Thorough assessment of computed tomography images is crucial for diagnosing the underlying causes of CAS and optimizing catheterization strategies.

求助全文
通过发布文献求助,成功后即可免费获取论文全文。 去求助
来源期刊
Emergency Medicine International
Emergency Medicine International EMERGENCY MEDICINE-
CiteScore
0.10
自引率
0.00%
发文量
187
审稿时长
17 weeks
期刊介绍: Emergency Medicine International is a peer-reviewed, Open Access journal that provides a forum for doctors, nurses, paramedics and ambulance staff. The journal publishes original research articles, review articles, and clinical studies related to prehospital care, disaster preparedness and response, acute medical and paediatric emergencies, critical care, sports medicine, wound care, and toxicology.
×
引用
GB/T 7714-2015
复制
MLA
复制
APA
复制
导出至
BibTeX EndNote RefMan NoteFirst NoteExpress
×
提示
您的信息不完整,为了账户安全,请先补充。
现在去补充
×
提示
您因"违规操作"
具体请查看互助需知
我知道了
×
提示
确定
请完成安全验证×
copy
已复制链接
快去分享给好友吧!
我知道了
右上角分享
点击右上角分享
0
联系我们:info@booksci.cn Book学术提供免费学术资源搜索服务,方便国内外学者检索中英文文献。致力于提供最便捷和优质的服务体验。 Copyright © 2023 布克学术 All rights reserved.
京ICP备2023020795号-1
ghs 京公网安备 11010802042870号
Book学术文献互助
Book学术文献互助群
群 号:604180095
Book学术官方微信