高血压急诊引起的肾血栓性微血管病。

Case Reports in Nephrology Pub Date : 2025-07-16 eCollection Date: 2025-01-01 DOI:10.1155/crin/5096790
Evan Perona, Matthew Kornas, Adrian G Dumitrascu, Ricardo J Pagan, Tatjana Gavrancic, Melissa P Cortes, Aleksandra Murawska Baptista, Sam T Albadri, Lyle W Baker, Michael Smerina
{"title":"高血压急诊引起的肾血栓性微血管病。","authors":"Evan Perona, Matthew Kornas, Adrian G Dumitrascu, Ricardo J Pagan, Tatjana Gavrancic, Melissa P Cortes, Aleksandra Murawska Baptista, Sam T Albadri, Lyle W Baker, Michael Smerina","doi":"10.1155/crin/5096790","DOIUrl":null,"url":null,"abstract":"<p><p>Thrombotic microangiopathy (TMA) is characterized by microvascular thrombosis, microangiopathic hemolytic anemia (MAHA), and thrombocytopenia. TMA can lead to acute kidney injury (AKI) due to the formation of thrombi within the renal microvasculature causing ischemic injury. AKI in the setting of TMA requires early recognition, comprehensive serologic evaluation, and timely intervention due to the risk of irreversible renal damage. Due to many potential causes, both hereditary and acquired, the workup of renal TMA includes analysis of ADAMTS13 activity, genetic testing, and antibody analysis to rule out extraneous etiologies. Ultimately, renal pathology is used to confirm the diagnosis. Recommended treatment of renal TMA is dependent on the underlying etiology and varies from therapeutic plasma exchange and anticomplement therapy to renal replacement therapy and supportive care. This case report highlights an underrecognized cause of renal TMA: hypertensive emergency. Pathological histology imaging of renal tubules can be used to diagnose renal TMA due to evidence of schistocytes and tubular necrosis. Diagnosing TMA can have life-saving consequences as delayed hemodialysis can be fatal. Renal pathological imaging should be an important diagnostic tool when presented with hypertension cases, especially those associated with the aforementioned symptoms. Blood pressure control is the primary focus for management of hypertensive emergency-associated TMA. We present a case of TMA-associated AKI in a hypertensive patient that had a characteristic onion-skin lesion seen on renal pathology.</p>","PeriodicalId":9604,"journal":{"name":"Case Reports in Nephrology","volume":"2025 ","pages":"5096790"},"PeriodicalIF":0.0000,"publicationDate":"2025-07-16","publicationTypes":"Journal Article","fieldsOfStudy":null,"isOpenAccess":false,"openAccessPdf":"https://www.ncbi.nlm.nih.gov/pmc/articles/PMC12286664/pdf/","citationCount":"0","resultStr":"{\"title\":\"Renal Thrombotic Microangiopathy due to Hypertensive Emergency.\",\"authors\":\"Evan Perona, Matthew Kornas, Adrian G Dumitrascu, Ricardo J Pagan, Tatjana Gavrancic, Melissa P Cortes, Aleksandra Murawska Baptista, Sam T Albadri, Lyle W Baker, Michael Smerina\",\"doi\":\"10.1155/crin/5096790\",\"DOIUrl\":null,\"url\":null,\"abstract\":\"<p><p>Thrombotic microangiopathy (TMA) is characterized by microvascular thrombosis, microangiopathic hemolytic anemia (MAHA), and thrombocytopenia. TMA can lead to acute kidney injury (AKI) due to the formation of thrombi within the renal microvasculature causing ischemic injury. AKI in the setting of TMA requires early recognition, comprehensive serologic evaluation, and timely intervention due to the risk of irreversible renal damage. Due to many potential causes, both hereditary and acquired, the workup of renal TMA includes analysis of ADAMTS13 activity, genetic testing, and antibody analysis to rule out extraneous etiologies. Ultimately, renal pathology is used to confirm the diagnosis. Recommended treatment of renal TMA is dependent on the underlying etiology and varies from therapeutic plasma exchange and anticomplement therapy to renal replacement therapy and supportive care. This case report highlights an underrecognized cause of renal TMA: hypertensive emergency. Pathological histology imaging of renal tubules can be used to diagnose renal TMA due to evidence of schistocytes and tubular necrosis. Diagnosing TMA can have life-saving consequences as delayed hemodialysis can be fatal. Renal pathological imaging should be an important diagnostic tool when presented with hypertension cases, especially those associated with the aforementioned symptoms. Blood pressure control is the primary focus for management of hypertensive emergency-associated TMA. We present a case of TMA-associated AKI in a hypertensive patient that had a characteristic onion-skin lesion seen on renal pathology.</p>\",\"PeriodicalId\":9604,\"journal\":{\"name\":\"Case Reports in Nephrology\",\"volume\":\"2025 \",\"pages\":\"5096790\"},\"PeriodicalIF\":0.0000,\"publicationDate\":\"2025-07-16\",\"publicationTypes\":\"Journal Article\",\"fieldsOfStudy\":null,\"isOpenAccess\":false,\"openAccessPdf\":\"https://www.ncbi.nlm.nih.gov/pmc/articles/PMC12286664/pdf/\",\"citationCount\":\"0\",\"resultStr\":null,\"platform\":\"Semanticscholar\",\"paperid\":null,\"PeriodicalName\":\"Case Reports in Nephrology\",\"FirstCategoryId\":\"1085\",\"ListUrlMain\":\"https://doi.org/10.1155/crin/5096790\",\"RegionNum\":0,\"RegionCategory\":null,\"ArticlePicture\":[],\"TitleCN\":null,\"AbstractTextCN\":null,\"PMCID\":null,\"EPubDate\":\"2025/1/1 0:00:00\",\"PubModel\":\"eCollection\",\"JCR\":\"\",\"JCRName\":\"\",\"Score\":null,\"Total\":0}","platform":"Semanticscholar","paperid":null,"PeriodicalName":"Case Reports in Nephrology","FirstCategoryId":"1085","ListUrlMain":"https://doi.org/10.1155/crin/5096790","RegionNum":0,"RegionCategory":null,"ArticlePicture":[],"TitleCN":null,"AbstractTextCN":null,"PMCID":null,"EPubDate":"2025/1/1 0:00:00","PubModel":"eCollection","JCR":"","JCRName":"","Score":null,"Total":0}
引用次数: 0

摘要

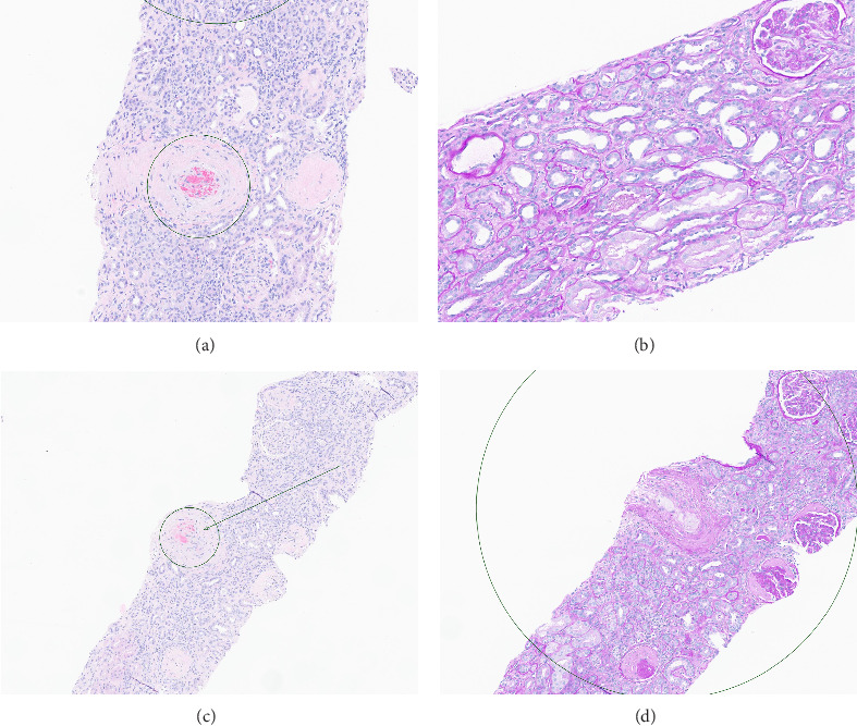
血栓性微血管病(TMA)以微血管血栓形成、微血管致病性溶血性贫血(MAHA)和血小板减少为特征。TMA可通过在肾微血管内形成血栓引起缺血性损伤而导致急性肾损伤(AKI)。TMA背景下的AKI需要早期识别,全面的血清学评估,并及时干预,因为存在不可逆肾损害的风险。由于许多潜在的原因,包括遗传和获得性,肾脏TMA的检查包括ADAMTS13活性分析,基因检测和抗体分析,以排除外来病因。最终,肾脏病理被用来确认诊断。肾TMA的推荐治疗取决于潜在的病因,从血浆交换治疗和抗补体治疗到肾脏替代治疗和支持治疗不等。本病例报告强调了一个未被认识的肾TMA的原因:高血压急症。肾小管的病理组织学成像可用于诊断肾TMA,因为有证据表明肾小管有分裂细胞和坏死。诊断TMA可以挽救生命,因为延迟血液透析可能是致命的。当出现高血压病例时,肾脏病理成像应该是一个重要的诊断工具,特别是那些与上述症状相关的病例。血压控制是高血压急诊相关TMA管理的主要重点。我们提出一例tma相关的AKI在高血压患者有一个特征性的洋葱皮病变看到肾脏病理。
本文章由计算机程序翻译,如有差异,请以英文原文为准。

Renal Thrombotic Microangiopathy due to Hypertensive Emergency.

Renal Thrombotic Microangiopathy due to Hypertensive Emergency.

Thrombotic microangiopathy (TMA) is characterized by microvascular thrombosis, microangiopathic hemolytic anemia (MAHA), and thrombocytopenia. TMA can lead to acute kidney injury (AKI) due to the formation of thrombi within the renal microvasculature causing ischemic injury. AKI in the setting of TMA requires early recognition, comprehensive serologic evaluation, and timely intervention due to the risk of irreversible renal damage. Due to many potential causes, both hereditary and acquired, the workup of renal TMA includes analysis of ADAMTS13 activity, genetic testing, and antibody analysis to rule out extraneous etiologies. Ultimately, renal pathology is used to confirm the diagnosis. Recommended treatment of renal TMA is dependent on the underlying etiology and varies from therapeutic plasma exchange and anticomplement therapy to renal replacement therapy and supportive care. This case report highlights an underrecognized cause of renal TMA: hypertensive emergency. Pathological histology imaging of renal tubules can be used to diagnose renal TMA due to evidence of schistocytes and tubular necrosis. Diagnosing TMA can have life-saving consequences as delayed hemodialysis can be fatal. Renal pathological imaging should be an important diagnostic tool when presented with hypertension cases, especially those associated with the aforementioned symptoms. Blood pressure control is the primary focus for management of hypertensive emergency-associated TMA. We present a case of TMA-associated AKI in a hypertensive patient that had a characteristic onion-skin lesion seen on renal pathology.

求助全文
通过发布文献求助,成功后即可免费获取论文全文。 去求助
来源期刊
Case Reports in Nephrology
Case Reports in Nephrology Medicine-Nephrology
CiteScore
1.70
自引率
0.00%
发文量
32
×
引用
GB/T 7714-2015
复制
MLA
复制
APA
复制
导出至
BibTeX EndNote RefMan NoteFirst NoteExpress
×
提示
您的信息不完整,为了账户安全,请先补充。
现在去补充
×
提示
您因"违规操作"
具体请查看互助需知
我知道了
×
提示
确定
请完成安全验证×
copy
已复制链接
快去分享给好友吧!
我知道了
右上角分享
点击右上角分享
0
联系我们:info@booksci.cn Book学术提供免费学术资源搜索服务,方便国内外学者检索中英文文献。致力于提供最便捷和优质的服务体验。 Copyright © 2023 布克学术 All rights reserved.
京ICP备2023020795号-1
ghs 京公网安备 11010802042870号
Book学术文献互助
Book学术文献互助群
群 号:604180095
Book学术官方微信