轻链变异对HEK293和CHO细胞治疗性单克隆抗体表达的影响

IF 2.7 Q3 IMMUNOLOGY
Antibodies Pub Date : 2025-06-24 DOI:10.3390/antib14030053
Alexander Veber, Dennis Lenau, Polyniki Gkragkopoulou, David Kornblüh Bauer, Ingo Focken, Wulf Dirk Leuschner, Christian Beil, Sandra Weil, Ercole Rao, Thomas Langer
{"title":"轻链变异对HEK293和CHO细胞治疗性单克隆抗体表达的影响","authors":"Alexander Veber, Dennis Lenau, Polyniki Gkragkopoulou, David Kornblüh Bauer, Ingo Focken, Wulf Dirk Leuschner, Christian Beil, Sandra Weil, Ercole Rao, Thomas Langer","doi":"10.3390/antib14030053","DOIUrl":null,"url":null,"abstract":"<p><p>Recombinantly produced monoclonal antibodies (mabs) belong to the fastest growing class of biotherapeutics. In humans, antibodies are classified into five different classes: IgA, IgD, IgE, IgG and IgM. Most of the therapeutic mabs used in the clinic belong to the IgG class, albeit other antibody classes, e.g., IgM, have been evaluated in clinical stages. Antibodies are composed of heavy chains paired with a light chain. In IgM and IgA, an additional chain, the J-chain, is present. Two types of light chains exist in humans: the κ-light chain and the λ-light chain. The κ-light chain predominates in humans and is used in the vast majority of therapeutic IgG. The reason for the preference of the κ-light chain in humans is not known. Our study investigates whether light-chain selection influences the productivity of the clinically validated mabs adalimumab and trastuzumab. Both mabs were expressed as IgG and IgM with a κ- or a λ-light chain in HEK293 cells. Besides comparing the expression levels of the different mabs, we also evaluated whether the passage number of the cell line has an impact on product yield. In addition, the expressions of adalimumab, trastuzumab, an anti-CD38 and an anti-PD-L1-antibody were analyzed in HEK293 and CHO cells when both the κ- and λ-light chains are present. In summary, IgG outperformed IgM variants in expression efficacy, while light-chain selection had minimal impact on the overall expression levels. The yields of all mab variants were higher in fresh cells, despite cell cultures with a high cell passage number having higher cell densities and cell numbers at the time of harvest. The incorporation of a particular light chain occurred at similar rates in HEK293 and CHO cells.</p>","PeriodicalId":8188,"journal":{"name":"Antibodies","volume":"14 3","pages":""},"PeriodicalIF":2.7000,"publicationDate":"2025-06-24","publicationTypes":"Journal Article","fieldsOfStudy":null,"isOpenAccess":false,"openAccessPdf":"https://www.ncbi.nlm.nih.gov/pmc/articles/PMC12286288/pdf/","citationCount":"0","resultStr":"{\"title\":\"Impact of Light-Chain Variants on the Expression of Therapeutic Monoclonal Antibodies in HEK293 and CHO Cells.\",\"authors\":\"Alexander Veber, Dennis Lenau, Polyniki Gkragkopoulou, David Kornblüh Bauer, Ingo Focken, Wulf Dirk Leuschner, Christian Beil, Sandra Weil, Ercole Rao, Thomas Langer\",\"doi\":\"10.3390/antib14030053\",\"DOIUrl\":null,\"url\":null,\"abstract\":\"<p><p>Recombinantly produced monoclonal antibodies (mabs) belong to the fastest growing class of biotherapeutics. In humans, antibodies are classified into five different classes: IgA, IgD, IgE, IgG and IgM. Most of the therapeutic mabs used in the clinic belong to the IgG class, albeit other antibody classes, e.g., IgM, have been evaluated in clinical stages. Antibodies are composed of heavy chains paired with a light chain. In IgM and IgA, an additional chain, the J-chain, is present. Two types of light chains exist in humans: the κ-light chain and the λ-light chain. The κ-light chain predominates in humans and is used in the vast majority of therapeutic IgG. The reason for the preference of the κ-light chain in humans is not known. Our study investigates whether light-chain selection influences the productivity of the clinically validated mabs adalimumab and trastuzumab. Both mabs were expressed as IgG and IgM with a κ- or a λ-light chain in HEK293 cells. Besides comparing the expression levels of the different mabs, we also evaluated whether the passage number of the cell line has an impact on product yield. In addition, the expressions of adalimumab, trastuzumab, an anti-CD38 and an anti-PD-L1-antibody were analyzed in HEK293 and CHO cells when both the κ- and λ-light chains are present. In summary, IgG outperformed IgM variants in expression efficacy, while light-chain selection had minimal impact on the overall expression levels. The yields of all mab variants were higher in fresh cells, despite cell cultures with a high cell passage number having higher cell densities and cell numbers at the time of harvest. The incorporation of a particular light chain occurred at similar rates in HEK293 and CHO cells.</p>\",\"PeriodicalId\":8188,\"journal\":{\"name\":\"Antibodies\",\"volume\":\"14 3\",\"pages\":\"\"},\"PeriodicalIF\":2.7000,\"publicationDate\":\"2025-06-24\",\"publicationTypes\":\"Journal Article\",\"fieldsOfStudy\":null,\"isOpenAccess\":false,\"openAccessPdf\":\"https://www.ncbi.nlm.nih.gov/pmc/articles/PMC12286288/pdf/\",\"citationCount\":\"0\",\"resultStr\":null,\"platform\":\"Semanticscholar\",\"paperid\":null,\"PeriodicalName\":\"Antibodies\",\"FirstCategoryId\":\"1085\",\"ListUrlMain\":\"https://doi.org/10.3390/antib14030053\",\"RegionNum\":0,\"RegionCategory\":null,\"ArticlePicture\":[],\"TitleCN\":null,\"AbstractTextCN\":null,\"PMCID\":null,\"EPubDate\":\"\",\"PubModel\":\"\",\"JCR\":\"Q3\",\"JCRName\":\"IMMUNOLOGY\",\"Score\":null,\"Total\":0}","platform":"Semanticscholar","paperid":null,"PeriodicalName":"Antibodies","FirstCategoryId":"1085","ListUrlMain":"https://doi.org/10.3390/antib14030053","RegionNum":0,"RegionCategory":null,"ArticlePicture":[],"TitleCN":null,"AbstractTextCN":null,"PMCID":null,"EPubDate":"","PubModel":"","JCR":"Q3","JCRName":"IMMUNOLOGY","Score":null,"Total":0}
引用次数: 0

摘要

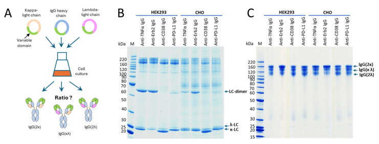
重组生产的单克隆抗体(mabs)属于发展最快的一类生物治疗药物。人体内的抗体分为五类:IgA、IgD、IgE、IgG和IgM。临床使用的大多数治疗性单克隆抗体属于IgG类,尽管其他抗体类,如IgM,已在临床阶段进行了评估。抗体由重链和轻链配对组成。在IgM和IgA中,存在一个额外的链,j链。人体存在两种轻链:κ-轻链和λ-轻链。κ-轻链在人类中占主导地位,在绝大多数治疗性IgG中使用。人类偏好κ-轻链的原因尚不清楚。我们的研究探讨了轻链选择是否会影响临床验证的单抗阿达木单抗和曲妥珠单抗的生产效率。这两个单抗在HEK293细胞中表达为IgG和IgM,具有κ-或λ-轻链。除了比较不同单克隆抗体的表达水平外,我们还评估了细胞系的传代数是否对产物产量有影响。此外,当κ-和λ-轻链同时存在时,我们分析了阿达木单抗、曲妥珠单抗、抗cd38和抗pd - l1抗体在HEK293和CHO细胞中的表达。综上所述,IgG的表达效率优于IgM变体,而轻链选择对整体表达水平的影响最小。所有单抗变体在新鲜细胞中的产量都较高,尽管高细胞传代数的细胞培养在收获时具有较高的细胞密度和细胞数量。在HEK293和CHO细胞中,特定轻链的掺入率相似。
本文章由计算机程序翻译,如有差异,请以英文原文为准。

Impact of Light-Chain Variants on the Expression of Therapeutic Monoclonal Antibodies in HEK293 and CHO Cells.

Impact of Light-Chain Variants on the Expression of Therapeutic Monoclonal Antibodies in HEK293 and CHO Cells.

Impact of Light-Chain Variants on the Expression of Therapeutic Monoclonal Antibodies in HEK293 and CHO Cells.

Impact of Light-Chain Variants on the Expression of Therapeutic Monoclonal Antibodies in HEK293 and CHO Cells.

Recombinantly produced monoclonal antibodies (mabs) belong to the fastest growing class of biotherapeutics. In humans, antibodies are classified into five different classes: IgA, IgD, IgE, IgG and IgM. Most of the therapeutic mabs used in the clinic belong to the IgG class, albeit other antibody classes, e.g., IgM, have been evaluated in clinical stages. Antibodies are composed of heavy chains paired with a light chain. In IgM and IgA, an additional chain, the J-chain, is present. Two types of light chains exist in humans: the κ-light chain and the λ-light chain. The κ-light chain predominates in humans and is used in the vast majority of therapeutic IgG. The reason for the preference of the κ-light chain in humans is not known. Our study investigates whether light-chain selection influences the productivity of the clinically validated mabs adalimumab and trastuzumab. Both mabs were expressed as IgG and IgM with a κ- or a λ-light chain in HEK293 cells. Besides comparing the expression levels of the different mabs, we also evaluated whether the passage number of the cell line has an impact on product yield. In addition, the expressions of adalimumab, trastuzumab, an anti-CD38 and an anti-PD-L1-antibody were analyzed in HEK293 and CHO cells when both the κ- and λ-light chains are present. In summary, IgG outperformed IgM variants in expression efficacy, while light-chain selection had minimal impact on the overall expression levels. The yields of all mab variants were higher in fresh cells, despite cell cultures with a high cell passage number having higher cell densities and cell numbers at the time of harvest. The incorporation of a particular light chain occurred at similar rates in HEK293 and CHO cells.

求助全文
通过发布文献求助,成功后即可免费获取论文全文。 去求助
来源期刊
Antibodies
Antibodies IMMUNOLOGY-
CiteScore
7.10
自引率
6.40%
发文量
68
审稿时长
11 weeks
期刊介绍: Antibodies (ISSN 2073-4468), an international, peer-reviewed open access journal which provides an advanced forum for studies related to antibodies and antigens. It publishes reviews, research articles, communications and short notes. Our aim is to encourage scientists to publish their experimental and theoretical results in as much detail as possible. There is no restriction on the length of the papers. Full experimental and/or methodical details must be provided. Electronic files or software regarding the full details of the calculation and experimental procedure - if unable to be published in a normal way - can be deposited as supplementary material. This journal covers all topics related to antibodies and antigens, topics of interest include (but are not limited to): antibody-producing cells (including B cells), antibody structure and function, antibody-antigen interactions, Fc receptors, antibody manufacturing antibody engineering, antibody therapy, immunoassays, antibody diagnosis, tissue antigens, exogenous antigens, endogenous antigens, autoantigens, monoclonal antibodies, natural antibodies, humoral immune responses, immunoregulatory molecules.
×
引用
GB/T 7714-2015
复制
MLA
复制
APA
复制
导出至
BibTeX EndNote RefMan NoteFirst NoteExpress
×
提示
您的信息不完整,为了账户安全,请先补充。
现在去补充
×
提示
您因"违规操作"
具体请查看互助需知
我知道了
×
提示
确定
请完成安全验证×
copy
已复制链接
快去分享给好友吧!
我知道了
右上角分享
点击右上角分享
0
联系我们:info@booksci.cn Book学术提供免费学术资源搜索服务,方便国内外学者检索中英文文献。致力于提供最便捷和优质的服务体验。 Copyright © 2023 布克学术 All rights reserved.
京ICP备2023020795号-1
ghs 京公网安备 11010802042870号
Book学术文献互助
Book学术文献互助群
群 号:604180095
Book学术官方微信