睾丸附睾炎作为TURP的罕见并发症,在前列腺癌的高剂量近距离治疗后4周进行。

IF 1.1 4区 医学 Q4 ONCOLOGY
Journal of Contemporary Brachytherapy Pub Date : 2025-06-01 Epub Date: 2025-06-30 DOI:10.5114/jcb.2025.152544
Justyna Rembak-Szynkiewicz, Patrycja Mazgaj, Tomasz Szopin'ski, Arkadiusz Badzin'ski, Anna Hebda, Piotr Wojcieszek
{"title":"睾丸附睾炎作为TURP的罕见并发症,在前列腺癌的高剂量近距离治疗后4周进行。","authors":"Justyna Rembak-Szynkiewicz, Patrycja Mazgaj, Tomasz Szopin'ski, Arkadiusz Badzin'ski, Anna Hebda, Piotr Wojcieszek","doi":"10.5114/jcb.2025.152544","DOIUrl":null,"url":null,"abstract":"<p><p>The aim of this paper was to present a rare complication of orchiepididymitis in a patient treated with brachytherapy (BT) for prostate cancer, who underwent trans-ureteral resection of the prostate (TURP) four weeks after BT. A 73-year-old patient with prostate cancer (intermediate-risk group) was eligible for high-dose-rate (HDR) BT combined with androgen deprivation therapy (ADT) for 6 months (leuprorelin). Due to increased symptoms, such as urinary retention after BT, the patient required catheterization. Additionally, bacterial inflammation in the lower urinary tract and prostate was present. Due to prolonged micturition disorders, TURP was performed, leading to chronic orchiepididymitis four months after completion of BT and three months after catheter removal following TURP. Due to long-term inflammation, which was resistant to treatment, the left testicle with left epididymis was removed. Unfortunately, inflammatory symptoms occurred post-operatively in the bed and the left groin. Since these symptoms of varying severity continued, anti-inflammatory drugs and analgesics were introduced. TURP performed too quickly after HDR-BT might cause severe complications. Extreme caution regarding TURP should be exercised in patients undergoing BT. Conservative and pharmacological treatment must be introduced in the occurrence of urinary disorders after BT, and any intervention (TURP) should be performed at least 3-6 months after BT. This is especially crucial because of the development of radiation effect over time.</p>","PeriodicalId":51305,"journal":{"name":"Journal of Contemporary Brachytherapy","volume":"17 3","pages":"202-212"},"PeriodicalIF":1.1000,"publicationDate":"2025-06-01","publicationTypes":"Journal Article","fieldsOfStudy":null,"isOpenAccess":false,"openAccessPdf":"https://www.ncbi.nlm.nih.gov/pmc/articles/PMC12277955/pdf/","citationCount":"0","resultStr":"{\"title\":\"Orchiepididymitis as a rare complication of TURP performed four weeks after high-dose-rate brachytherapy for prostate cancer.\",\"authors\":\"Justyna Rembak-Szynkiewicz, Patrycja Mazgaj, Tomasz Szopin'ski, Arkadiusz Badzin'ski, Anna Hebda, Piotr Wojcieszek\",\"doi\":\"10.5114/jcb.2025.152544\",\"DOIUrl\":null,\"url\":null,\"abstract\":\"<p><p>The aim of this paper was to present a rare complication of orchiepididymitis in a patient treated with brachytherapy (BT) for prostate cancer, who underwent trans-ureteral resection of the prostate (TURP) four weeks after BT. A 73-year-old patient with prostate cancer (intermediate-risk group) was eligible for high-dose-rate (HDR) BT combined with androgen deprivation therapy (ADT) for 6 months (leuprorelin). Due to increased symptoms, such as urinary retention after BT, the patient required catheterization. Additionally, bacterial inflammation in the lower urinary tract and prostate was present. Due to prolonged micturition disorders, TURP was performed, leading to chronic orchiepididymitis four months after completion of BT and three months after catheter removal following TURP. Due to long-term inflammation, which was resistant to treatment, the left testicle with left epididymis was removed. Unfortunately, inflammatory symptoms occurred post-operatively in the bed and the left groin. Since these symptoms of varying severity continued, anti-inflammatory drugs and analgesics were introduced. TURP performed too quickly after HDR-BT might cause severe complications. Extreme caution regarding TURP should be exercised in patients undergoing BT. Conservative and pharmacological treatment must be introduced in the occurrence of urinary disorders after BT, and any intervention (TURP) should be performed at least 3-6 months after BT. This is especially crucial because of the development of radiation effect over time.</p>\",\"PeriodicalId\":51305,\"journal\":{\"name\":\"Journal of Contemporary Brachytherapy\",\"volume\":\"17 3\",\"pages\":\"202-212\"},\"PeriodicalIF\":1.1000,\"publicationDate\":\"2025-06-01\",\"publicationTypes\":\"Journal Article\",\"fieldsOfStudy\":null,\"isOpenAccess\":false,\"openAccessPdf\":\"https://www.ncbi.nlm.nih.gov/pmc/articles/PMC12277955/pdf/\",\"citationCount\":\"0\",\"resultStr\":null,\"platform\":\"Semanticscholar\",\"paperid\":null,\"PeriodicalName\":\"Journal of Contemporary Brachytherapy\",\"FirstCategoryId\":\"3\",\"ListUrlMain\":\"https://doi.org/10.5114/jcb.2025.152544\",\"RegionNum\":4,\"RegionCategory\":\"医学\",\"ArticlePicture\":[],\"TitleCN\":null,\"AbstractTextCN\":null,\"PMCID\":null,\"EPubDate\":\"2025/6/30 0:00:00\",\"PubModel\":\"Epub\",\"JCR\":\"Q4\",\"JCRName\":\"ONCOLOGY\",\"Score\":null,\"Total\":0}","platform":"Semanticscholar","paperid":null,"PeriodicalName":"Journal of Contemporary Brachytherapy","FirstCategoryId":"3","ListUrlMain":"https://doi.org/10.5114/jcb.2025.152544","RegionNum":4,"RegionCategory":"医学","ArticlePicture":[],"TitleCN":null,"AbstractTextCN":null,"PMCID":null,"EPubDate":"2025/6/30 0:00:00","PubModel":"Epub","JCR":"Q4","JCRName":"ONCOLOGY","Score":null,"Total":0}
引用次数: 0

摘要

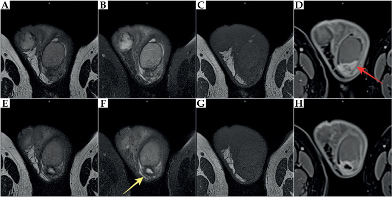
本文的目的是报道一例前列腺癌近距离放射治疗(BT)患者罕见的睾丸附睾炎并发症,该患者在BT治疗4周后行经输尿管前列腺切除术(TURP)。一位73岁的前列腺癌患者(中危组)符合高剂量率(HDR) BT联合雄激素剥夺治疗(ADT) 6个月(leuprorelin)的条件。由于BT术后尿潴留等症状加重,患者需要导尿。此外,下尿路和前列腺存在细菌性炎症。由于排尿障碍延长,行TURP,在BT完成4个月和TURP后拔管3个月后导致慢性睾丸附睾炎。由于长期炎症,治疗无效,切除左睾丸及左附睾。不幸的是,术后在床和左腹股沟出现炎症症状。由于这些不同程度的症状持续存在,因此引入了抗炎药和镇痛药。在HDR-BT后进行TURP过快可能会导致严重的并发症。对于接受BT治疗的患者,应慎用TURP,在BT后发生泌尿系统疾病时,必须采取保守和药物治疗,任何干预(TURP)应在BT后至少3-6个月进行,这一点尤其重要,因为随着时间的推移,辐射效应会逐渐发展。
本文章由计算机程序翻译,如有差异,请以英文原文为准。

Orchiepididymitis as a rare complication of TURP performed four weeks after high-dose-rate brachytherapy for prostate cancer.

Orchiepididymitis as a rare complication of TURP performed four weeks after high-dose-rate brachytherapy for prostate cancer.

Orchiepididymitis as a rare complication of TURP performed four weeks after high-dose-rate brachytherapy for prostate cancer.

Orchiepididymitis as a rare complication of TURP performed four weeks after high-dose-rate brachytherapy for prostate cancer.

The aim of this paper was to present a rare complication of orchiepididymitis in a patient treated with brachytherapy (BT) for prostate cancer, who underwent trans-ureteral resection of the prostate (TURP) four weeks after BT. A 73-year-old patient with prostate cancer (intermediate-risk group) was eligible for high-dose-rate (HDR) BT combined with androgen deprivation therapy (ADT) for 6 months (leuprorelin). Due to increased symptoms, such as urinary retention after BT, the patient required catheterization. Additionally, bacterial inflammation in the lower urinary tract and prostate was present. Due to prolonged micturition disorders, TURP was performed, leading to chronic orchiepididymitis four months after completion of BT and three months after catheter removal following TURP. Due to long-term inflammation, which was resistant to treatment, the left testicle with left epididymis was removed. Unfortunately, inflammatory symptoms occurred post-operatively in the bed and the left groin. Since these symptoms of varying severity continued, anti-inflammatory drugs and analgesics were introduced. TURP performed too quickly after HDR-BT might cause severe complications. Extreme caution regarding TURP should be exercised in patients undergoing BT. Conservative and pharmacological treatment must be introduced in the occurrence of urinary disorders after BT, and any intervention (TURP) should be performed at least 3-6 months after BT. This is especially crucial because of the development of radiation effect over time.

求助全文
通过发布文献求助,成功后即可免费获取论文全文。 去求助
来源期刊
Journal of Contemporary Brachytherapy
Journal of Contemporary Brachytherapy ONCOLOGY-RADIOLOGY, NUCLEAR MEDICINE & MEDICAL IMAGING
CiteScore
2.40
自引率
14.30%
发文量
54
审稿时长
16 weeks
期刊介绍: The “Journal of Contemporary Brachytherapy” is an international and multidisciplinary journal that will publish papers of original research as well as reviews of articles. Main subjects of the journal include: clinical brachytherapy, combined modality treatment, advances in radiobiology, hyperthermia and tumour biology, as well as physical aspects relevant to brachytherapy, particularly in the field of imaging, dosimetry and radiation therapy planning. Original contributions will include experimental studies of combined modality treatment, tumor sensitization and normal tissue protection, molecular radiation biology, and clinical investigations of cancer treatment in brachytherapy. Another field of interest will be the educational part of the journal.
×
引用
GB/T 7714-2015
复制
MLA
复制
APA
复制
导出至
BibTeX EndNote RefMan NoteFirst NoteExpress
×
提示
您的信息不完整,为了账户安全,请先补充。
现在去补充
×
提示
您因"违规操作"
具体请查看互助需知
我知道了
×
提示
确定
请完成安全验证×
copy
已复制链接
快去分享给好友吧!
我知道了
右上角分享
点击右上角分享
0
联系我们:info@booksci.cn Book学术提供免费学术资源搜索服务,方便国内外学者检索中英文文献。致力于提供最便捷和优质的服务体验。 Copyright © 2023 布克学术 All rights reserved.
京ICP备2023020795号-1
ghs 京公网安备 11010802042870号
Book学术文献互助
Book学术文献互助群
群 号:604180095
Book学术官方微信