局部晚期宫颈癌放化疗和近距离放疗后的近致死性鞍状肺栓塞:一个病例系列。

IF 1.1 4区 医学 Q4 ONCOLOGY
Journal of Contemporary Brachytherapy Pub Date : 2025-06-01 Epub Date: 2025-06-30 DOI:10.5114/jcb.2025.152543
Lisa Leijtens, Jurgen Piek, Marlijn Kamps, Ada Oele-Egelmeer, Alette Daniëls-Gooszen, Ruud Bekkers, Jeltsje Cnossen
{"title":"局部晚期宫颈癌放化疗和近距离放疗后的近致死性鞍状肺栓塞:一个病例系列。","authors":"Lisa Leijtens, Jurgen Piek, Marlijn Kamps, Ada Oele-Egelmeer, Alette Daniëls-Gooszen, Ruud Bekkers, Jeltsje Cnossen","doi":"10.5114/jcb.2025.152543","DOIUrl":null,"url":null,"abstract":"<p><strong>Purpose: </strong>Women with locally advanced cervical cancer treated with chemoradiotherapy followed by brachytherapy are at increased risk of venous thromboembolic events.</p><p><strong>Case presentation: </strong>This case series reported three women, who experienced near-fatal saddle pulmonary embolisms shortly after undergoing high-dose-rate brachytherapy for locally advanced cervical cancer. In one patient, pulmonary saddle embolism led to hypovolemic shock due to intra-abdominal hemorrhage post-resuscitation, necessitating emergency decompressive laparotomy. Another case was complicated by neurological symptoms consistent with a stuttering stroke, following mechanical pulmonary thrombectomy.</p><p><strong>Conclusions: </strong>Pulmonary embolism represents a severe complication of chemoradiotherapy and brachytherapy. Given the high morbidity and mortality rates associated with this condition, routine thromboprophylaxis may be warranted.</p>","PeriodicalId":51305,"journal":{"name":"Journal of Contemporary Brachytherapy","volume":"17 3","pages":"197-201"},"PeriodicalIF":1.1000,"publicationDate":"2025-06-01","publicationTypes":"Journal Article","fieldsOfStudy":null,"isOpenAccess":false,"openAccessPdf":"https://www.ncbi.nlm.nih.gov/pmc/articles/PMC12277952/pdf/","citationCount":"0","resultStr":"{\"title\":\"Near-fatal saddle pulmonary embolism following chemoradiotherapy and brachytherapy for locally advanced cervical cancer: A case series.\",\"authors\":\"Lisa Leijtens, Jurgen Piek, Marlijn Kamps, Ada Oele-Egelmeer, Alette Daniëls-Gooszen, Ruud Bekkers, Jeltsje Cnossen\",\"doi\":\"10.5114/jcb.2025.152543\",\"DOIUrl\":null,\"url\":null,\"abstract\":\"<p><strong>Purpose: </strong>Women with locally advanced cervical cancer treated with chemoradiotherapy followed by brachytherapy are at increased risk of venous thromboembolic events.</p><p><strong>Case presentation: </strong>This case series reported three women, who experienced near-fatal saddle pulmonary embolisms shortly after undergoing high-dose-rate brachytherapy for locally advanced cervical cancer. In one patient, pulmonary saddle embolism led to hypovolemic shock due to intra-abdominal hemorrhage post-resuscitation, necessitating emergency decompressive laparotomy. Another case was complicated by neurological symptoms consistent with a stuttering stroke, following mechanical pulmonary thrombectomy.</p><p><strong>Conclusions: </strong>Pulmonary embolism represents a severe complication of chemoradiotherapy and brachytherapy. Given the high morbidity and mortality rates associated with this condition, routine thromboprophylaxis may be warranted.</p>\",\"PeriodicalId\":51305,\"journal\":{\"name\":\"Journal of Contemporary Brachytherapy\",\"volume\":\"17 3\",\"pages\":\"197-201\"},\"PeriodicalIF\":1.1000,\"publicationDate\":\"2025-06-01\",\"publicationTypes\":\"Journal Article\",\"fieldsOfStudy\":null,\"isOpenAccess\":false,\"openAccessPdf\":\"https://www.ncbi.nlm.nih.gov/pmc/articles/PMC12277952/pdf/\",\"citationCount\":\"0\",\"resultStr\":null,\"platform\":\"Semanticscholar\",\"paperid\":null,\"PeriodicalName\":\"Journal of Contemporary Brachytherapy\",\"FirstCategoryId\":\"3\",\"ListUrlMain\":\"https://doi.org/10.5114/jcb.2025.152543\",\"RegionNum\":4,\"RegionCategory\":\"医学\",\"ArticlePicture\":[],\"TitleCN\":null,\"AbstractTextCN\":null,\"PMCID\":null,\"EPubDate\":\"2025/6/30 0:00:00\",\"PubModel\":\"Epub\",\"JCR\":\"Q4\",\"JCRName\":\"ONCOLOGY\",\"Score\":null,\"Total\":0}","platform":"Semanticscholar","paperid":null,"PeriodicalName":"Journal of Contemporary Brachytherapy","FirstCategoryId":"3","ListUrlMain":"https://doi.org/10.5114/jcb.2025.152543","RegionNum":4,"RegionCategory":"医学","ArticlePicture":[],"TitleCN":null,"AbstractTextCN":null,"PMCID":null,"EPubDate":"2025/6/30 0:00:00","PubModel":"Epub","JCR":"Q4","JCRName":"ONCOLOGY","Score":null,"Total":0}
引用次数: 0

摘要

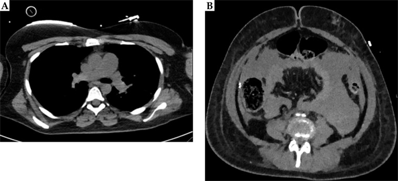
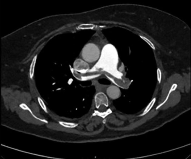
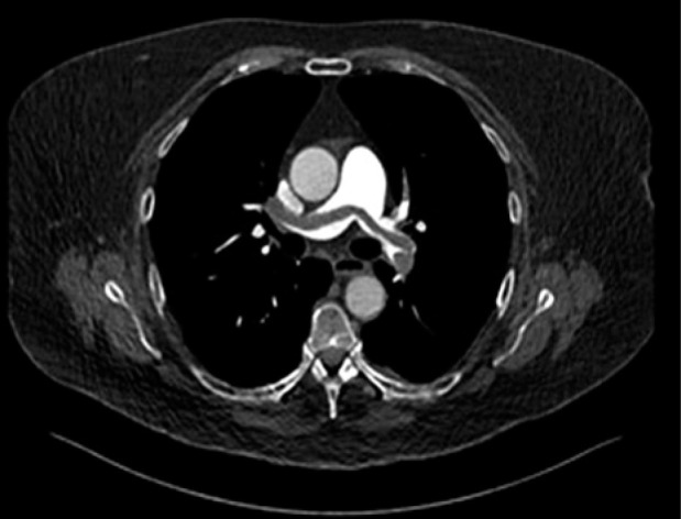
目的:局部晚期宫颈癌患者接受放化疗和近距离放疗后发生静脉血栓栓塞事件的风险增加。病例介绍:本病例系列报道了三名妇女,她们在接受高剂量近距离治疗局部晚期宫颈癌后不久经历了几乎致命的鞍状肺栓塞。在一个病人中,肺鞍栓塞导致复苏后腹部出血导致低血容量性休克,需要紧急剖腹减压。另一个病例在机械肺血栓切除术后并发与结巴性中风一致的神经系统症状。结论:肺栓塞是放化疗和近距离放疗的严重并发症。鉴于与这种疾病相关的高发病率和死亡率,常规的血栓预防可能是必要的。
本文章由计算机程序翻译,如有差异,请以英文原文为准。

Near-fatal saddle pulmonary embolism following chemoradiotherapy and brachytherapy for locally advanced cervical cancer: A case series.

Near-fatal saddle pulmonary embolism following chemoradiotherapy and brachytherapy for locally advanced cervical cancer: A case series.

Near-fatal saddle pulmonary embolism following chemoradiotherapy and brachytherapy for locally advanced cervical cancer: A case series.

Near-fatal saddle pulmonary embolism following chemoradiotherapy and brachytherapy for locally advanced cervical cancer: A case series.

Purpose: Women with locally advanced cervical cancer treated with chemoradiotherapy followed by brachytherapy are at increased risk of venous thromboembolic events.

Case presentation: This case series reported three women, who experienced near-fatal saddle pulmonary embolisms shortly after undergoing high-dose-rate brachytherapy for locally advanced cervical cancer. In one patient, pulmonary saddle embolism led to hypovolemic shock due to intra-abdominal hemorrhage post-resuscitation, necessitating emergency decompressive laparotomy. Another case was complicated by neurological symptoms consistent with a stuttering stroke, following mechanical pulmonary thrombectomy.

Conclusions: Pulmonary embolism represents a severe complication of chemoradiotherapy and brachytherapy. Given the high morbidity and mortality rates associated with this condition, routine thromboprophylaxis may be warranted.

求助全文
通过发布文献求助,成功后即可免费获取论文全文。 去求助
来源期刊
Journal of Contemporary Brachytherapy
Journal of Contemporary Brachytherapy ONCOLOGY-RADIOLOGY, NUCLEAR MEDICINE & MEDICAL IMAGING
CiteScore
2.40
自引率
14.30%
发文量
54
审稿时长
16 weeks
期刊介绍: The “Journal of Contemporary Brachytherapy” is an international and multidisciplinary journal that will publish papers of original research as well as reviews of articles. Main subjects of the journal include: clinical brachytherapy, combined modality treatment, advances in radiobiology, hyperthermia and tumour biology, as well as physical aspects relevant to brachytherapy, particularly in the field of imaging, dosimetry and radiation therapy planning. Original contributions will include experimental studies of combined modality treatment, tumor sensitization and normal tissue protection, molecular radiation biology, and clinical investigations of cancer treatment in brachytherapy. Another field of interest will be the educational part of the journal.
×
引用
GB/T 7714-2015
复制
MLA
复制
APA
复制
导出至
BibTeX EndNote RefMan NoteFirst NoteExpress
×
提示
您的信息不完整,为了账户安全,请先补充。
现在去补充
×
提示
您因"违规操作"
具体请查看互助需知
我知道了
×
提示
确定
请完成安全验证×
copy
已复制链接
快去分享给好友吧!
我知道了
右上角分享
点击右上角分享
0
联系我们:info@booksci.cn Book学术提供免费学术资源搜索服务,方便国内外学者检索中英文文献。致力于提供最便捷和优质的服务体验。 Copyright © 2023 布克学术 All rights reserved.
京ICP备2023020795号-1
ghs 京公网安备 11010802042870号
Book学术文献互助
Book学术文献互助群
群 号:604180095
Book学术官方微信