2型糖尿病患者第一跖趾关节滑膜肥大与维生素D水平相关:超声分级研究

IF 4.6 3区 医学 Q1 ENDOCRINOLOGY & METABOLISM
Qing-Shan Li, Xiao-Hui Xiao, Yu-Ying Cai, Xiao-Peng Xiao, Ping-Xiang Hu, Hong Li
{"title":"2型糖尿病患者第一跖趾关节滑膜肥大与维生素D水平相关:超声分级研究","authors":"Qing-Shan Li, Xiao-Hui Xiao, Yu-Ying Cai, Xiao-Peng Xiao, Ping-Xiang Hu, Hong Li","doi":"10.4239/wjd.v16.i7.107019","DOIUrl":null,"url":null,"abstract":"<p><strong>Background: </strong>The existing semi-quantitative ultrasound grading system inadequately evaluates synovial hypertrophy at the dorsal recess of the first metatarsophalangeal joint (MTPJ). Vitamin D deficiency is prevalent in type 2 diabetes mellitus (T2DM) and may influence joint inflammation. This study hypothesizes that serum 25-hydroxyvitamin D [25(OH)D] levels are inversely associated with synovial hypertrophy severity of the first MTPJ in patients with T2DM.</p><p><strong>Aim: </strong>To refine ultrasound grading for the first MTPJ synovial hypertrophy and investigate its association with vitamin D in T2DM.</p><p><strong>Methods: </strong>This cross-sectional study included 56 patients (112 MTPJs) with T2DM from Shenzhen Traditional Chinese Medicine Hospital. Synovial hypertrophy was evaluated using a refined semi-quantitative ultrasound grading system focusing on the dorsal recess overlying the metatarsal bone. Serum 25(OH)D levels were measured. Logistic regression and threshold analyses assessed associations between vitamin D status and hypertrophy severity.</p><p><strong>Results: </strong>Of 112 joints assessed, 98 exhibited synovial hypertrophy (grade 1: 40; grade 2: 50; grade 3: 8). The refined grading system demonstrated strong intra- and inter-observer reliability (intraclass correlation coefficients = 0.79 and 0.73, respectively). Lower serum 25(OH)D (< 24.3 ng/mL) was independently associated with moderate-to-severe hypertrophy [odds ratio (OR) = 0.83; <i>P</i> = 0.0163]. Vitamin D deficiency significantly increased the likelihood of moderate-to-severe hypertrophy compared with non-deficiency (OR = 3.86; <i>P</i> = 0.0422). Threshold analysis identified 23.8 ng/mL as a critical serum 25(OH)D level, below which each increment reduced moderate-to-severe hypertrophy risk by 21% (OR = 0.79; <i>P</i> = 0.0078).</p><p><strong>Conclusion: </strong>The refined ultrasound grading system demonstrated strong reliability. Serum 25(OH)D may serve as a protective factor against the severity of synovial hypertrophy in T2DM patients with lower 25(OH)D levels.</p>","PeriodicalId":48607,"journal":{"name":"World Journal of Diabetes","volume":"16 7","pages":"107019"},"PeriodicalIF":4.6000,"publicationDate":"2025-07-15","publicationTypes":"Journal Article","fieldsOfStudy":null,"isOpenAccess":false,"openAccessPdf":"https://www.ncbi.nlm.nih.gov/pmc/articles/PMC12278095/pdf/","citationCount":"0","resultStr":"{\"title\":\"First metatarsophalangeal joint synovial hypertrophy associated with vitamin D status in type 2 diabetes mellitus: An ultrasound-graded study.\",\"authors\":\"Qing-Shan Li, Xiao-Hui Xiao, Yu-Ying Cai, Xiao-Peng Xiao, Ping-Xiang Hu, Hong Li\",\"doi\":\"10.4239/wjd.v16.i7.107019\",\"DOIUrl\":null,\"url\":null,\"abstract\":\"<p><strong>Background: </strong>The existing semi-quantitative ultrasound grading system inadequately evaluates synovial hypertrophy at the dorsal recess of the first metatarsophalangeal joint (MTPJ). Vitamin D deficiency is prevalent in type 2 diabetes mellitus (T2DM) and may influence joint inflammation. This study hypothesizes that serum 25-hydroxyvitamin D [25(OH)D] levels are inversely associated with synovial hypertrophy severity of the first MTPJ in patients with T2DM.</p><p><strong>Aim: </strong>To refine ultrasound grading for the first MTPJ synovial hypertrophy and investigate its association with vitamin D in T2DM.</p><p><strong>Methods: </strong>This cross-sectional study included 56 patients (112 MTPJs) with T2DM from Shenzhen Traditional Chinese Medicine Hospital. Synovial hypertrophy was evaluated using a refined semi-quantitative ultrasound grading system focusing on the dorsal recess overlying the metatarsal bone. Serum 25(OH)D levels were measured. Logistic regression and threshold analyses assessed associations between vitamin D status and hypertrophy severity.</p><p><strong>Results: </strong>Of 112 joints assessed, 98 exhibited synovial hypertrophy (grade 1: 40; grade 2: 50; grade 3: 8). The refined grading system demonstrated strong intra- and inter-observer reliability (intraclass correlation coefficients = 0.79 and 0.73, respectively). Lower serum 25(OH)D (< 24.3 ng/mL) was independently associated with moderate-to-severe hypertrophy [odds ratio (OR) = 0.83; <i>P</i> = 0.0163]. Vitamin D deficiency significantly increased the likelihood of moderate-to-severe hypertrophy compared with non-deficiency (OR = 3.86; <i>P</i> = 0.0422). Threshold analysis identified 23.8 ng/mL as a critical serum 25(OH)D level, below which each increment reduced moderate-to-severe hypertrophy risk by 21% (OR = 0.79; <i>P</i> = 0.0078).</p><p><strong>Conclusion: </strong>The refined ultrasound grading system demonstrated strong reliability. Serum 25(OH)D may serve as a protective factor against the severity of synovial hypertrophy in T2DM patients with lower 25(OH)D levels.</p>\",\"PeriodicalId\":48607,\"journal\":{\"name\":\"World Journal of Diabetes\",\"volume\":\"16 7\",\"pages\":\"107019\"},\"PeriodicalIF\":4.6000,\"publicationDate\":\"2025-07-15\",\"publicationTypes\":\"Journal Article\",\"fieldsOfStudy\":null,\"isOpenAccess\":false,\"openAccessPdf\":\"https://www.ncbi.nlm.nih.gov/pmc/articles/PMC12278095/pdf/\",\"citationCount\":\"0\",\"resultStr\":null,\"platform\":\"Semanticscholar\",\"paperid\":null,\"PeriodicalName\":\"World Journal of Diabetes\",\"FirstCategoryId\":\"3\",\"ListUrlMain\":\"https://doi.org/10.4239/wjd.v16.i7.107019\",\"RegionNum\":3,\"RegionCategory\":\"医学\",\"ArticlePicture\":[],\"TitleCN\":null,\"AbstractTextCN\":null,\"PMCID\":null,\"EPubDate\":\"\",\"PubModel\":\"\",\"JCR\":\"Q1\",\"JCRName\":\"ENDOCRINOLOGY & METABOLISM\",\"Score\":null,\"Total\":0}","platform":"Semanticscholar","paperid":null,"PeriodicalName":"World Journal of Diabetes","FirstCategoryId":"3","ListUrlMain":"https://doi.org/10.4239/wjd.v16.i7.107019","RegionNum":3,"RegionCategory":"医学","ArticlePicture":[],"TitleCN":null,"AbstractTextCN":null,"PMCID":null,"EPubDate":"","PubModel":"","JCR":"Q1","JCRName":"ENDOCRINOLOGY & METABOLISM","Score":null,"Total":0}
引用次数: 0

摘要

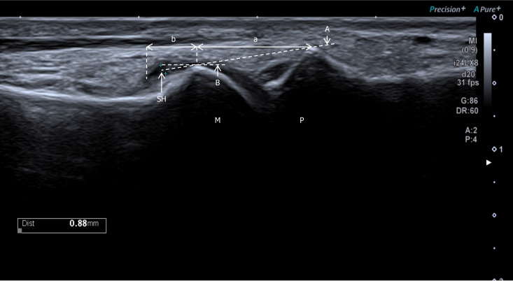
背景:现有的半定量超声分级系统不能充分评估第一跖趾关节(MTPJ)背隐窝滑膜肥大。维生素D缺乏在2型糖尿病(T2DM)中很普遍,并可能影响关节炎症。本研究假设血清25-羟基维生素D [25(OH)D]水平与T2DM患者首MTPJ滑膜肥大严重程度呈负相关。目的:完善T2DM患者首次MTPJ滑膜肥大的超声分级,探讨其与维生素D的关系。方法:横断面研究纳入深圳中医院T2DM患者56例(112例MTPJs)。滑膜肥大的评估使用精细的半定量超声分级系统,聚焦于覆盖在跖骨上的背隐窝。测定血清25(OH)D水平。逻辑回归和阈值分析评估了维生素D状态与肥厚严重程度之间的关系。结果:在评估的112个关节中,98个表现为滑膜肥大(1级:40;二级:50分;3年级:8)。精细化的分级系统显示出很强的观察者内部和观察者之间的信度(类内相关系数分别为0.79和0.73)。较低的血清25(OH)D (< 24.3 ng/mL)与中重度肥厚独立相关[优势比(OR) = 0.83;P = 0.0163]。与不缺乏维生素D相比,缺乏维生素D显著增加了中度至重度肥厚的可能性(OR = 3.86;P = 0.0422)。阈值分析确定23.8 ng/mL为临界血清25(OH)D水平,低于该水平时,每升高一次,中重度肥厚风险降低21% (OR = 0.79;P = 0.0078)。结论:改进的超声分级系统具有较强的可靠性。血清25(OH)D可能对25(OH)D水平较低的T2DM患者滑膜肥大的严重程度起保护作用。
本文章由计算机程序翻译,如有差异,请以英文原文为准。

First metatarsophalangeal joint synovial hypertrophy associated with vitamin D status in type 2 diabetes mellitus: An ultrasound-graded study.

First metatarsophalangeal joint synovial hypertrophy associated with vitamin D status in type 2 diabetes mellitus: An ultrasound-graded study.

First metatarsophalangeal joint synovial hypertrophy associated with vitamin D status in type 2 diabetes mellitus: An ultrasound-graded study.

Background: The existing semi-quantitative ultrasound grading system inadequately evaluates synovial hypertrophy at the dorsal recess of the first metatarsophalangeal joint (MTPJ). Vitamin D deficiency is prevalent in type 2 diabetes mellitus (T2DM) and may influence joint inflammation. This study hypothesizes that serum 25-hydroxyvitamin D [25(OH)D] levels are inversely associated with synovial hypertrophy severity of the first MTPJ in patients with T2DM.

Aim: To refine ultrasound grading for the first MTPJ synovial hypertrophy and investigate its association with vitamin D in T2DM.

Methods: This cross-sectional study included 56 patients (112 MTPJs) with T2DM from Shenzhen Traditional Chinese Medicine Hospital. Synovial hypertrophy was evaluated using a refined semi-quantitative ultrasound grading system focusing on the dorsal recess overlying the metatarsal bone. Serum 25(OH)D levels were measured. Logistic regression and threshold analyses assessed associations between vitamin D status and hypertrophy severity.

Results: Of 112 joints assessed, 98 exhibited synovial hypertrophy (grade 1: 40; grade 2: 50; grade 3: 8). The refined grading system demonstrated strong intra- and inter-observer reliability (intraclass correlation coefficients = 0.79 and 0.73, respectively). Lower serum 25(OH)D (< 24.3 ng/mL) was independently associated with moderate-to-severe hypertrophy [odds ratio (OR) = 0.83; P = 0.0163]. Vitamin D deficiency significantly increased the likelihood of moderate-to-severe hypertrophy compared with non-deficiency (OR = 3.86; P = 0.0422). Threshold analysis identified 23.8 ng/mL as a critical serum 25(OH)D level, below which each increment reduced moderate-to-severe hypertrophy risk by 21% (OR = 0.79; P = 0.0078).

Conclusion: The refined ultrasound grading system demonstrated strong reliability. Serum 25(OH)D may serve as a protective factor against the severity of synovial hypertrophy in T2DM patients with lower 25(OH)D levels.

求助全文
通过发布文献求助,成功后即可免费获取论文全文。 去求助
来源期刊
World Journal of Diabetes
World Journal of Diabetes ENDOCRINOLOGY & METABOLISM-
自引率
2.40%
发文量
909
期刊介绍: The WJD is a high-quality, peer reviewed, open-access journal. The primary task of WJD is to rapidly publish high-quality original articles, reviews, editorials, and case reports in the field of diabetes. In order to promote productive academic communication, the peer review process for the WJD is transparent; to this end, all published manuscripts are accompanied by the anonymized reviewers’ comments as well as the authors’ responses. The primary aims of the WJD are to improve diagnostic, therapeutic and preventive modalities and the skills of clinicians and to guide clinical practice in diabetes. Scope: Diabetes Complications, Experimental Diabetes Mellitus, Type 1 Diabetes Mellitus, Type 2 Diabetes Mellitus, Diabetes, Gestational, Diabetic Angiopathies, Diabetic Cardiomyopathies, Diabetic Coma, Diabetic Ketoacidosis, Diabetic Nephropathies, Diabetic Neuropathies, Donohue Syndrome, Fetal Macrosomia, and Prediabetic State.
×
引用
GB/T 7714-2015
复制
MLA
复制
APA
复制
导出至
BibTeX EndNote RefMan NoteFirst NoteExpress
×
提示
您的信息不完整,为了账户安全,请先补充。
现在去补充
×
提示
您因"违规操作"
具体请查看互助需知
我知道了
×
提示
确定
请完成安全验证×
copy
已复制链接
快去分享给好友吧!
我知道了
右上角分享
点击右上角分享
0
联系我们:info@booksci.cn Book学术提供免费学术资源搜索服务,方便国内外学者检索中英文文献。致力于提供最便捷和优质的服务体验。 Copyright © 2023 布克学术 All rights reserved.
京ICP备2023020795号-1
ghs 京公网安备 11010802042870号
Book学术文献互助
Book学术文献互助群
群 号:604180095
Book学术官方微信