Peutz-Jeghers综合征患儿的马赛克STK11致病变异携带者以胃型宫颈内膜原位腺癌为表现特征

IF 2 4区 医学 Q3 GENETICS & HEREDITY
Anqi Jiang, Yingfei Ye, Haowen Tan, Xiang Tao, Fenghua Ma, Hui Wang, Congjian Xu, Yu Kang
{"title":"Peutz-Jeghers综合征患儿的马赛克STK11致病变异携带者以胃型宫颈内膜原位腺癌为表现特征","authors":"Anqi Jiang, Yingfei Ye, Haowen Tan, Xiang Tao, Fenghua Ma, Hui Wang, Congjian Xu, Yu Kang","doi":"10.1007/s10689-025-00485-5","DOIUrl":null,"url":null,"abstract":"<p><p>We present the first documented case of gastric-type endocervical adenocarcinoma in situ in a mosaic STK11 pathogenic variant carrier, who delivered a child with classic Peutz-Jeghers syndrome (PJS). A 53-year-old woman presented with persistent watery vaginal discharge for 2 years. Histopathology confirmed gastric-type endocervical adenocarcinoma in situ. Familial genetic investigation was initiated after her son's diagnosis of PJS with an apparent de novo STK11 germline variant [NM_000455.4:c.842del (p.Pro281Argfs*6)]. Comprehensive STK11 screening via Sanger sequencing of peripheral blood from both parents showed no pathogenic variants. Following multidisciplinary tumor board review, ultra-deep next-generation sequencing was performed on multiple tissue specimens. Molecular analysis revealed low-level mosaicism for the familial STK11 variant in cervical tissue with no detectable mutations in blood, saliva, urine, or ovarian stroma. This case demonstrates three key clinical insights: (1) parental mosaicism may underlie apparent de novo PJS cases, (2) tissue-specific STK11 mosaicism can manifest as localized neoplastic transformation without classic PJS manifestations, and (3) ultra-deep sequencing may be considered in genetic counseling paradigms for parents of children with \"de novo\" cancer predisposition syndromes. These findings highlight the importance of considering mosaic phenomena in tumor prevention for hereditary cancer syndrome families.</p>","PeriodicalId":12336,"journal":{"name":"Familial Cancer","volume":"24 3","pages":"58"},"PeriodicalIF":2.0000,"publicationDate":"2025-07-23","publicationTypes":"Journal Article","fieldsOfStudy":null,"isOpenAccess":false,"openAccessPdf":"https://www.ncbi.nlm.nih.gov/pmc/articles/PMC12287200/pdf/","citationCount":"0","resultStr":"{\"title\":\"Gastric-type endocervical adenocarcinoma in situ as the presenting feature in a mosaic STK11 pathogenic variant carrier with a Peutz-Jeghers syndrome child.\",\"authors\":\"Anqi Jiang, Yingfei Ye, Haowen Tan, Xiang Tao, Fenghua Ma, Hui Wang, Congjian Xu, Yu Kang\",\"doi\":\"10.1007/s10689-025-00485-5\",\"DOIUrl\":null,\"url\":null,\"abstract\":\"<p><p>We present the first documented case of gastric-type endocervical adenocarcinoma in situ in a mosaic STK11 pathogenic variant carrier, who delivered a child with classic Peutz-Jeghers syndrome (PJS). A 53-year-old woman presented with persistent watery vaginal discharge for 2 years. Histopathology confirmed gastric-type endocervical adenocarcinoma in situ. Familial genetic investigation was initiated after her son's diagnosis of PJS with an apparent de novo STK11 germline variant [NM_000455.4:c.842del (p.Pro281Argfs*6)]. Comprehensive STK11 screening via Sanger sequencing of peripheral blood from both parents showed no pathogenic variants. Following multidisciplinary tumor board review, ultra-deep next-generation sequencing was performed on multiple tissue specimens. Molecular analysis revealed low-level mosaicism for the familial STK11 variant in cervical tissue with no detectable mutations in blood, saliva, urine, or ovarian stroma. This case demonstrates three key clinical insights: (1) parental mosaicism may underlie apparent de novo PJS cases, (2) tissue-specific STK11 mosaicism can manifest as localized neoplastic transformation without classic PJS manifestations, and (3) ultra-deep sequencing may be considered in genetic counseling paradigms for parents of children with \\\"de novo\\\" cancer predisposition syndromes. These findings highlight the importance of considering mosaic phenomena in tumor prevention for hereditary cancer syndrome families.</p>\",\"PeriodicalId\":12336,\"journal\":{\"name\":\"Familial Cancer\",\"volume\":\"24 3\",\"pages\":\"58\"},\"PeriodicalIF\":2.0000,\"publicationDate\":\"2025-07-23\",\"publicationTypes\":\"Journal Article\",\"fieldsOfStudy\":null,\"isOpenAccess\":false,\"openAccessPdf\":\"https://www.ncbi.nlm.nih.gov/pmc/articles/PMC12287200/pdf/\",\"citationCount\":\"0\",\"resultStr\":null,\"platform\":\"Semanticscholar\",\"paperid\":null,\"PeriodicalName\":\"Familial Cancer\",\"FirstCategoryId\":\"3\",\"ListUrlMain\":\"https://doi.org/10.1007/s10689-025-00485-5\",\"RegionNum\":4,\"RegionCategory\":\"医学\",\"ArticlePicture\":[],\"TitleCN\":null,\"AbstractTextCN\":null,\"PMCID\":null,\"EPubDate\":\"\",\"PubModel\":\"\",\"JCR\":\"Q3\",\"JCRName\":\"GENETICS & HEREDITY\",\"Score\":null,\"Total\":0}","platform":"Semanticscholar","paperid":null,"PeriodicalName":"Familial Cancer","FirstCategoryId":"3","ListUrlMain":"https://doi.org/10.1007/s10689-025-00485-5","RegionNum":4,"RegionCategory":"医学","ArticlePicture":[],"TitleCN":null,"AbstractTextCN":null,"PMCID":null,"EPubDate":"","PubModel":"","JCR":"Q3","JCRName":"GENETICS & HEREDITY","Score":null,"Total":0}
引用次数: 0

摘要

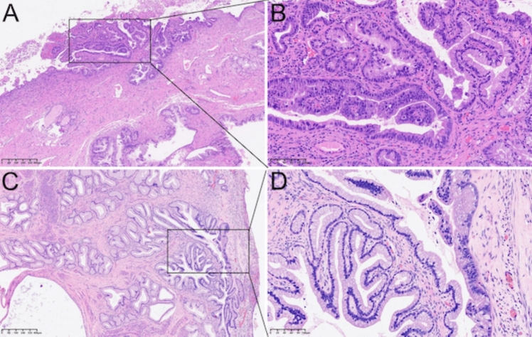
我们报告了第一例记录在案的胃型宫颈内腺癌原位嵌合STK11致病变异携带者,她生了一个患有经典Peutz-Jeghers综合征(PJS)的孩子。一名53岁女性,持续阴道水样分泌物2年。组织病理学证实为胃型宫颈内膜原位腺癌。在她的儿子被诊断为PJS并伴有明显的新生STK11种系变异后,开始了家族遗传调查[NM_000455.4:c]。842德尔(p.Pro281Argfs * 6)]。通过Sanger测序对父母外周血进行全面STK11筛查,未发现致病变异。在多学科肿瘤委员会审查后,对多个组织标本进行了超深下一代测序。分子分析显示,家族性STK11变异在宫颈组织中具有低水平的嵌合性,在血液、唾液、尿液或卵巢基质中没有可检测到的突变。该病例展示了三个关键的临床见解:(1)亲代嵌嵌性可能是明显的新生PJS病例的基础;(2)组织特异性STK11嵌嵌性可以表现为局部肿瘤转化,而没有典型的PJS表现;(3)超深度测序可能被考虑用于“新生”癌症易感综合征患儿父母的遗传咨询范例。这些发现强调了考虑镶嵌现象在遗传性癌症综合征家族肿瘤预防中的重要性。
本文章由计算机程序翻译,如有差异,请以英文原文为准。

Gastric-type endocervical adenocarcinoma in situ as the presenting feature in a mosaic STK11 pathogenic variant carrier with a Peutz-Jeghers syndrome child.

Gastric-type endocervical adenocarcinoma in situ as the presenting feature in a mosaic STK11 pathogenic variant carrier with a Peutz-Jeghers syndrome child.

Gastric-type endocervical adenocarcinoma in situ as the presenting feature in a mosaic STK11 pathogenic variant carrier with a Peutz-Jeghers syndrome child.

Gastric-type endocervical adenocarcinoma in situ as the presenting feature in a mosaic STK11 pathogenic variant carrier with a Peutz-Jeghers syndrome child.

We present the first documented case of gastric-type endocervical adenocarcinoma in situ in a mosaic STK11 pathogenic variant carrier, who delivered a child with classic Peutz-Jeghers syndrome (PJS). A 53-year-old woman presented with persistent watery vaginal discharge for 2 years. Histopathology confirmed gastric-type endocervical adenocarcinoma in situ. Familial genetic investigation was initiated after her son's diagnosis of PJS with an apparent de novo STK11 germline variant [NM_000455.4:c.842del (p.Pro281Argfs*6)]. Comprehensive STK11 screening via Sanger sequencing of peripheral blood from both parents showed no pathogenic variants. Following multidisciplinary tumor board review, ultra-deep next-generation sequencing was performed on multiple tissue specimens. Molecular analysis revealed low-level mosaicism for the familial STK11 variant in cervical tissue with no detectable mutations in blood, saliva, urine, or ovarian stroma. This case demonstrates three key clinical insights: (1) parental mosaicism may underlie apparent de novo PJS cases, (2) tissue-specific STK11 mosaicism can manifest as localized neoplastic transformation without classic PJS manifestations, and (3) ultra-deep sequencing may be considered in genetic counseling paradigms for parents of children with "de novo" cancer predisposition syndromes. These findings highlight the importance of considering mosaic phenomena in tumor prevention for hereditary cancer syndrome families.

求助全文
通过发布文献求助,成功后即可免费获取论文全文。 去求助
来源期刊
Familial Cancer
Familial Cancer 医学-遗传学
CiteScore
4.10
自引率
4.50%
发文量
36
审稿时长
6-12 weeks
期刊介绍: In recent years clinical cancer genetics has become increasingly important. Several events, in particular the developments in DNA-based technology, have contributed to this evolution. Clinical cancer genetics has now matured to a medical discipline which is truly multidisciplinary in which clinical and molecular geneticists work together with clinical and medical oncologists as well as with psycho-social workers. Due to the multidisciplinary nature of clinical cancer genetics most papers are currently being published in a wide variety of journals on epidemiology, oncology and genetics. Familial Cancer provides a forum bringing these topics together focusing on the interests and needs of the clinician. The journal mainly concentrates on clinical cancer genetics. Most major areas in the field shall be included, such as epidemiology of familial cancer, molecular analysis and diagnosis, clinical expression, treatment and prevention, counselling and the health economics of familial cancer.
×
引用
GB/T 7714-2015
复制
MLA
复制
APA
复制
导出至
BibTeX EndNote RefMan NoteFirst NoteExpress
×
提示
您的信息不完整,为了账户安全,请先补充。
现在去补充
×
提示
您因"违规操作"
具体请查看互助需知
我知道了
×
提示
确定
请完成安全验证×
copy
已复制链接
快去分享给好友吧!
我知道了
右上角分享
点击右上角分享
0
联系我们:info@booksci.cn Book学术提供免费学术资源搜索服务,方便国内外学者检索中英文文献。致力于提供最便捷和优质的服务体验。 Copyright © 2023 布克学术 All rights reserved.
京ICP备2023020795号-1
ghs 京公网安备 11010802042870号
Book学术文献互助
Book学术文献互助群
群 号:604180095
Book学术官方微信