利用FEPPA-PET/MRI研究缺血性卒中急性期后脑白质损伤与神经炎症的关系[18F]。

IF 3.1 3区 医学 Q1 RADIOLOGY, NUCLEAR MEDICINE & MEDICAL IMAGING
Stefan E Poirier, Rachel Wagner, Linshan Liu, Pavlo Ohorodnyk, Michael T Jurkiewicz, Alexander Thiel, Jonathan D Thiessen, Alexander V Khaw, Udunna C Anazodo
{"title":"利用FEPPA-PET/MRI研究缺血性卒中急性期后脑白质损伤与神经炎症的关系[18F]。","authors":"Stefan E Poirier, Rachel Wagner, Linshan Liu, Pavlo Ohorodnyk, Michael T Jurkiewicz, Alexander Thiel, Jonathan D Thiessen, Alexander V Khaw, Udunna C Anazodo","doi":"10.1186/s13550-025-01288-6","DOIUrl":null,"url":null,"abstract":"<p><strong>Background: </strong>Cerebral white matter (WM) injury after ischemic stroke is associated with post-stroke cognitive impairment (PSCI), however, the interaction between sustained neuroinflammation and post-stroke WM injury is not well understood. Hybrid PET/MRI can provide insight into pathophysiological mechanisms linking chronic neuroinflammation, ischemic WM injury, and PSCI. Using PET/MRI, this study investigated the relationship between [<sup>18</sup>F]FEPPA standardized uptake value ratio (SUVr) measurements of glial activation and diffusion tensor imaging (DTI) measurements of microstructure integrity in brain WM regions in the chronic phase at 6-months after acute ischemic stroke.</p><p><strong>Results: </strong>[<sup>18</sup>F]FEPPA-PET, DTI, and T2-weighted FLAIR were acquired at 6-months post-stroke in 19 elderly humans (seven females; mean age = 76 ± 5 years) with confirmed first-ever acute ischemic stroke using hybrid PET/3T-MRI. Index infarcts, chronic (incidental, covert) infarcts, and WM hyperintensities were manually segmented on FLAIR and excluded from the imaging analysis. Pearson correlation was conducted to assess the association between [<sup>18</sup>F]FEPPA-SUVr and DTI measurements in WM regions commonly implicated in PSCI. [<sup>18</sup>F]FEPPA-SUVr was elevated in brain regions ipsilateral to the index infarct at 6-months post-stroke, and these increases correlated with decreases in fractional anisotropy in several WM pathways linked to PSCI, including right superior longitudinal fasciculus (SLF) III (r = -0.82, p < 0.0001), right anterior thalamic radiation (r = -0.61, p = 0.006), and right arcuate fasciculus (r = -0.56, p = 0.01). Elevated [<sup>18</sup>F]FEPPA-SUVr was also associated with increased mean diffusivity (r = 0.69, p < 0.001), axial diffusivity (r = 0.55, p = 0.02), and radial diffusivity (r = 0.74, p < 0.001) in right SLF III.</p><p><strong>Conclusions: </strong>This study found an association between elevated post-acute glial activation (neuroinflammation) and reduced microstructure integrity in brain WM pathways ipsilateral to ischemic infarcts and remote from WM lesions at 6-months post-stroke. Hybrid PET/MRI is promising to be a valuable tool for probing post-acute neuroinflammation and associated changes in cerebral WM pathways following ischemic stroke.</p>","PeriodicalId":11611,"journal":{"name":"EJNMMI Research","volume":"15 1","pages":"91"},"PeriodicalIF":3.1000,"publicationDate":"2025-07-23","publicationTypes":"Journal Article","fieldsOfStudy":null,"isOpenAccess":false,"openAccessPdf":"https://www.ncbi.nlm.nih.gov/pmc/articles/PMC12287493/pdf/","citationCount":"0","resultStr":"{\"title\":\"Association of white matter injury and neuroinflammation in the post-acute phase after ischemic stroke using [<sup>18</sup>F]FEPPA-PET/MRI.\",\"authors\":\"Stefan E Poirier, Rachel Wagner, Linshan Liu, Pavlo Ohorodnyk, Michael T Jurkiewicz, Alexander Thiel, Jonathan D Thiessen, Alexander V Khaw, Udunna C Anazodo\",\"doi\":\"10.1186/s13550-025-01288-6\",\"DOIUrl\":null,\"url\":null,\"abstract\":\"<p><strong>Background: </strong>Cerebral white matter (WM) injury after ischemic stroke is associated with post-stroke cognitive impairment (PSCI), however, the interaction between sustained neuroinflammation and post-stroke WM injury is not well understood. Hybrid PET/MRI can provide insight into pathophysiological mechanisms linking chronic neuroinflammation, ischemic WM injury, and PSCI. Using PET/MRI, this study investigated the relationship between [<sup>18</sup>F]FEPPA standardized uptake value ratio (SUVr) measurements of glial activation and diffusion tensor imaging (DTI) measurements of microstructure integrity in brain WM regions in the chronic phase at 6-months after acute ischemic stroke.</p><p><strong>Results: </strong>[<sup>18</sup>F]FEPPA-PET, DTI, and T2-weighted FLAIR were acquired at 6-months post-stroke in 19 elderly humans (seven females; mean age = 76 ± 5 years) with confirmed first-ever acute ischemic stroke using hybrid PET/3T-MRI. Index infarcts, chronic (incidental, covert) infarcts, and WM hyperintensities were manually segmented on FLAIR and excluded from the imaging analysis. Pearson correlation was conducted to assess the association between [<sup>18</sup>F]FEPPA-SUVr and DTI measurements in WM regions commonly implicated in PSCI. [<sup>18</sup>F]FEPPA-SUVr was elevated in brain regions ipsilateral to the index infarct at 6-months post-stroke, and these increases correlated with decreases in fractional anisotropy in several WM pathways linked to PSCI, including right superior longitudinal fasciculus (SLF) III (r = -0.82, p < 0.0001), right anterior thalamic radiation (r = -0.61, p = 0.006), and right arcuate fasciculus (r = -0.56, p = 0.01). Elevated [<sup>18</sup>F]FEPPA-SUVr was also associated with increased mean diffusivity (r = 0.69, p < 0.001), axial diffusivity (r = 0.55, p = 0.02), and radial diffusivity (r = 0.74, p < 0.001) in right SLF III.</p><p><strong>Conclusions: </strong>This study found an association between elevated post-acute glial activation (neuroinflammation) and reduced microstructure integrity in brain WM pathways ipsilateral to ischemic infarcts and remote from WM lesions at 6-months post-stroke. Hybrid PET/MRI is promising to be a valuable tool for probing post-acute neuroinflammation and associated changes in cerebral WM pathways following ischemic stroke.</p>\",\"PeriodicalId\":11611,\"journal\":{\"name\":\"EJNMMI Research\",\"volume\":\"15 1\",\"pages\":\"91\"},\"PeriodicalIF\":3.1000,\"publicationDate\":\"2025-07-23\",\"publicationTypes\":\"Journal Article\",\"fieldsOfStudy\":null,\"isOpenAccess\":false,\"openAccessPdf\":\"https://www.ncbi.nlm.nih.gov/pmc/articles/PMC12287493/pdf/\",\"citationCount\":\"0\",\"resultStr\":null,\"platform\":\"Semanticscholar\",\"paperid\":null,\"PeriodicalName\":\"EJNMMI Research\",\"FirstCategoryId\":\"3\",\"ListUrlMain\":\"https://doi.org/10.1186/s13550-025-01288-6\",\"RegionNum\":3,\"RegionCategory\":\"医学\",\"ArticlePicture\":[],\"TitleCN\":null,\"AbstractTextCN\":null,\"PMCID\":null,\"EPubDate\":\"\",\"PubModel\":\"\",\"JCR\":\"Q1\",\"JCRName\":\"RADIOLOGY, NUCLEAR MEDICINE & MEDICAL IMAGING\",\"Score\":null,\"Total\":0}","platform":"Semanticscholar","paperid":null,"PeriodicalName":"EJNMMI Research","FirstCategoryId":"3","ListUrlMain":"https://doi.org/10.1186/s13550-025-01288-6","RegionNum":3,"RegionCategory":"医学","ArticlePicture":[],"TitleCN":null,"AbstractTextCN":null,"PMCID":null,"EPubDate":"","PubModel":"","JCR":"Q1","JCRName":"RADIOLOGY, NUCLEAR MEDICINE & MEDICAL IMAGING","Score":null,"Total":0}
引用次数: 0

摘要

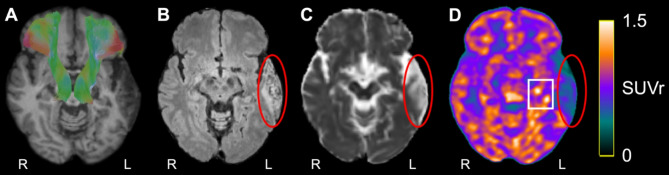
背景:缺血性脑卒中后脑白质(WM)损伤与脑卒中后认知功能障碍(PSCI)相关,然而,持续神经炎症与脑卒中后脑白质损伤之间的相互作用尚不清楚。混合PET/MRI可以深入了解慢性神经炎症、缺血性WM损伤和PSCI之间的病理生理机制。本研究利用PET/MRI研究了[18F]FEPPA标准化摄取值比(SUVr)测量神经胶质活化与弥散张量成像(DTI)测量急性缺血性脑卒中后6个月慢性期脑WM区微结构完整性之间的关系。结果:[18F] 19例老年人中风后6个月获得FEPPA-PET、DTI和t2加权FLAIR(7例女性;平均年龄= 76±5岁),经PET/3T-MRI证实首次急性缺血性脑卒中。指数梗死、慢性(偶发的、隐蔽的)梗死和WM高信号在FLAIR上被人工分割,并从成像分析中排除。采用Pearson相关性来评估[18F]FEPPA-SUVr与PSCI中常见WM区域DTI测量之间的相关性。[18F]脑卒中后6个月,指数梗死同侧脑区FEPPA-SUVr升高,这些升高与与PSCI相关的几种WM通路的分数各向异性降低相关,包括右上纵束(SLF) III (r = -0.82, p 18F) FEPPA-SUVr还与平均弥漫性增加相关(r = 0.69, p)。该研究发现,在脑卒中后6个月,急性后神经胶质激活(神经炎症)升高与缺血性梗死同侧脑WM通路微观结构完整性降低之间存在关联。混合PET/MRI有望成为探测缺血性卒中后急性神经炎症和脑WM通路相关变化的有价值的工具。
本文章由计算机程序翻译,如有差异,请以英文原文为准。

Association of white matter injury and neuroinflammation in the post-acute phase after ischemic stroke using [<sup>18</sup>F]FEPPA-PET/MRI.

Association of white matter injury and neuroinflammation in the post-acute phase after ischemic stroke using [<sup>18</sup>F]FEPPA-PET/MRI.

Association of white matter injury and neuroinflammation in the post-acute phase after ischemic stroke using [<sup>18</sup>F]FEPPA-PET/MRI.

Association of white matter injury and neuroinflammation in the post-acute phase after ischemic stroke using [18F]FEPPA-PET/MRI.

Background: Cerebral white matter (WM) injury after ischemic stroke is associated with post-stroke cognitive impairment (PSCI), however, the interaction between sustained neuroinflammation and post-stroke WM injury is not well understood. Hybrid PET/MRI can provide insight into pathophysiological mechanisms linking chronic neuroinflammation, ischemic WM injury, and PSCI. Using PET/MRI, this study investigated the relationship between [18F]FEPPA standardized uptake value ratio (SUVr) measurements of glial activation and diffusion tensor imaging (DTI) measurements of microstructure integrity in brain WM regions in the chronic phase at 6-months after acute ischemic stroke.

Results: [18F]FEPPA-PET, DTI, and T2-weighted FLAIR were acquired at 6-months post-stroke in 19 elderly humans (seven females; mean age = 76 ± 5 years) with confirmed first-ever acute ischemic stroke using hybrid PET/3T-MRI. Index infarcts, chronic (incidental, covert) infarcts, and WM hyperintensities were manually segmented on FLAIR and excluded from the imaging analysis. Pearson correlation was conducted to assess the association between [18F]FEPPA-SUVr and DTI measurements in WM regions commonly implicated in PSCI. [18F]FEPPA-SUVr was elevated in brain regions ipsilateral to the index infarct at 6-months post-stroke, and these increases correlated with decreases in fractional anisotropy in several WM pathways linked to PSCI, including right superior longitudinal fasciculus (SLF) III (r = -0.82, p < 0.0001), right anterior thalamic radiation (r = -0.61, p = 0.006), and right arcuate fasciculus (r = -0.56, p = 0.01). Elevated [18F]FEPPA-SUVr was also associated with increased mean diffusivity (r = 0.69, p < 0.001), axial diffusivity (r = 0.55, p = 0.02), and radial diffusivity (r = 0.74, p < 0.001) in right SLF III.

Conclusions: This study found an association between elevated post-acute glial activation (neuroinflammation) and reduced microstructure integrity in brain WM pathways ipsilateral to ischemic infarcts and remote from WM lesions at 6-months post-stroke. Hybrid PET/MRI is promising to be a valuable tool for probing post-acute neuroinflammation and associated changes in cerebral WM pathways following ischemic stroke.

求助全文
通过发布文献求助,成功后即可免费获取论文全文。 去求助
来源期刊
EJNMMI Research
EJNMMI Research RADIOLOGY, NUCLEAR MEDICINE & MEDICAL IMAGING&nb-
CiteScore
5.90
自引率
3.10%
发文量
72
审稿时长
13 weeks
期刊介绍: EJNMMI Research publishes new basic, translational and clinical research in the field of nuclear medicine and molecular imaging. Regular features include original research articles, rapid communication of preliminary data on innovative research, interesting case reports, editorials, and letters to the editor. Educational articles on basic sciences, fundamental aspects and controversy related to pre-clinical and clinical research or ethical aspects of research are also welcome. Timely reviews provide updates on current applications, issues in imaging research and translational aspects of nuclear medicine and molecular imaging technologies. The main emphasis is placed on the development of targeted imaging with radiopharmaceuticals within the broader context of molecular probes to enhance understanding and characterisation of the complex biological processes underlying disease and to develop, test and guide new treatment modalities, including radionuclide therapy.
×
引用
GB/T 7714-2015
复制
MLA
复制
APA
复制
导出至
BibTeX EndNote RefMan NoteFirst NoteExpress
×
提示
您的信息不完整,为了账户安全,请先补充。
现在去补充
×
提示
您因"违规操作"
具体请查看互助需知
我知道了
×
提示
确定
请完成安全验证×
copy
已复制链接
快去分享给好友吧!
我知道了
右上角分享
点击右上角分享
0
联系我们:info@booksci.cn Book学术提供免费学术资源搜索服务,方便国内外学者检索中英文文献。致力于提供最便捷和优质的服务体验。 Copyright © 2023 布克学术 All rights reserved.
京ICP备2023020795号-1
ghs 京公网安备 11010802042870号
Book学术文献互助
Book学术文献互助群
群 号:604180095
Book学术官方微信