病例报告:中毒性小管间质肾病伴脂褐质沉积-职业性双酚a暴露的潜在原因。

IF 2.3 4区 医学 Q3 ONCOLOGY
Pathology & Oncology Research Pub Date : 2025-07-07 eCollection Date: 2025-01-01 DOI:10.3389/pore.2025.1612046
László Bidiga, Tamás Csonka, Gábor Méhes, Csilla Markóth, Dávid Hutkai, János Mátyus
{"title":"病例报告:中毒性小管间质肾病伴脂褐质沉积-职业性双酚a暴露的潜在原因。","authors":"László Bidiga, Tamás Csonka, Gábor Méhes, Csilla Markóth, Dávid Hutkai, János Mátyus","doi":"10.3389/pore.2025.1612046","DOIUrl":null,"url":null,"abstract":"<p><p>This case study delves into the link, between exposure to Bisphenol A (BPA) and kidney issues filling a gap in human focused research found in studies. The individual, a 72-year man with a history of BPA exposure in a plastics manufacturing facility experienced a gradual decline in kidney function over 18 months. Medical tests showed kidney disease with a buildup of lipofuscin in renal tubular cells upon examination. This discovery suggests a connection between BPA exposure and kidney damage underscoring the need for investigation. The lack of human based evidence highlights the importance of research to understand the toxic effects of BPA on the kidneys. In addition, to its implications this case emphasizes the importance of improving safety protocols and raising awareness among healthcare professionals in relevant work environments to reduce potential health risks associated with BPA exposure.</p>","PeriodicalId":19981,"journal":{"name":"Pathology & Oncology Research","volume":"31 ","pages":"1612046"},"PeriodicalIF":2.3000,"publicationDate":"2025-07-07","publicationTypes":"Journal Article","fieldsOfStudy":null,"isOpenAccess":false,"openAccessPdf":"https://www.ncbi.nlm.nih.gov/pmc/articles/PMC12277192/pdf/","citationCount":"0","resultStr":"{\"title\":\"Case Report: Toxic tubulointerstitial nephropathy with lipofuscin deposition - the potential cause of occupational Bisphenol-A exposition.\",\"authors\":\"László Bidiga, Tamás Csonka, Gábor Méhes, Csilla Markóth, Dávid Hutkai, János Mátyus\",\"doi\":\"10.3389/pore.2025.1612046\",\"DOIUrl\":null,\"url\":null,\"abstract\":\"<p><p>This case study delves into the link, between exposure to Bisphenol A (BPA) and kidney issues filling a gap in human focused research found in studies. The individual, a 72-year man with a history of BPA exposure in a plastics manufacturing facility experienced a gradual decline in kidney function over 18 months. Medical tests showed kidney disease with a buildup of lipofuscin in renal tubular cells upon examination. This discovery suggests a connection between BPA exposure and kidney damage underscoring the need for investigation. The lack of human based evidence highlights the importance of research to understand the toxic effects of BPA on the kidneys. In addition, to its implications this case emphasizes the importance of improving safety protocols and raising awareness among healthcare professionals in relevant work environments to reduce potential health risks associated with BPA exposure.</p>\",\"PeriodicalId\":19981,\"journal\":{\"name\":\"Pathology & Oncology Research\",\"volume\":\"31 \",\"pages\":\"1612046\"},\"PeriodicalIF\":2.3000,\"publicationDate\":\"2025-07-07\",\"publicationTypes\":\"Journal Article\",\"fieldsOfStudy\":null,\"isOpenAccess\":false,\"openAccessPdf\":\"https://www.ncbi.nlm.nih.gov/pmc/articles/PMC12277192/pdf/\",\"citationCount\":\"0\",\"resultStr\":null,\"platform\":\"Semanticscholar\",\"paperid\":null,\"PeriodicalName\":\"Pathology & Oncology Research\",\"FirstCategoryId\":\"3\",\"ListUrlMain\":\"https://doi.org/10.3389/pore.2025.1612046\",\"RegionNum\":4,\"RegionCategory\":\"医学\",\"ArticlePicture\":[],\"TitleCN\":null,\"AbstractTextCN\":null,\"PMCID\":null,\"EPubDate\":\"2025/1/1 0:00:00\",\"PubModel\":\"eCollection\",\"JCR\":\"Q3\",\"JCRName\":\"ONCOLOGY\",\"Score\":null,\"Total\":0}","platform":"Semanticscholar","paperid":null,"PeriodicalName":"Pathology & Oncology Research","FirstCategoryId":"3","ListUrlMain":"https://doi.org/10.3389/pore.2025.1612046","RegionNum":4,"RegionCategory":"医学","ArticlePicture":[],"TitleCN":null,"AbstractTextCN":null,"PMCID":null,"EPubDate":"2025/1/1 0:00:00","PubModel":"eCollection","JCR":"Q3","JCRName":"ONCOLOGY","Score":null,"Total":0}
引用次数: 0

摘要

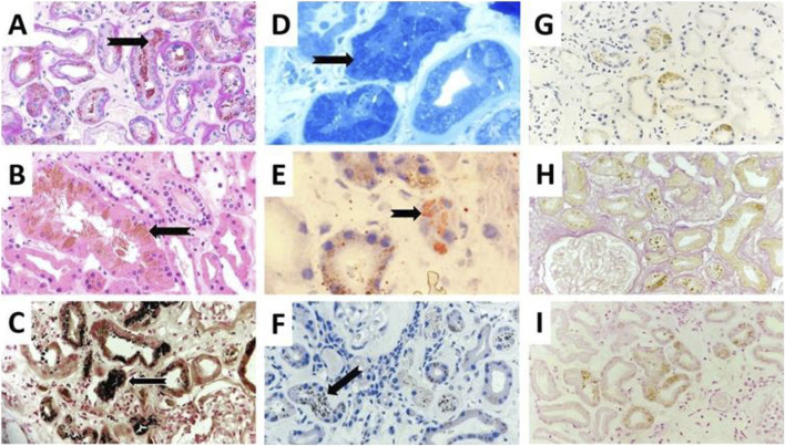
本案例研究深入探讨了双酚A (BPA)暴露与肾脏问题之间的联系,填补了研究中以人类为中心的研究的空白。该患者是一名72岁的男性,曾在一家塑料制造工厂接触过双酚a,在18个月的时间里肾功能逐渐下降。医学检查显示肾脏疾病伴肾小管细胞脂褐素积聚。这一发现表明BPA暴露与肾脏损伤之间存在联系,强调了研究的必要性。人体证据的缺乏凸显了研究了解双酚a对肾脏的毒性作用的重要性。此外,除了其影响外,本案例还强调了在相关工作环境中改进安全规程和提高卫生保健专业人员意识的重要性,以减少与BPA暴露相关的潜在健康风险。
本文章由计算机程序翻译,如有差异,请以英文原文为准。

Case Report: Toxic tubulointerstitial nephropathy with lipofuscin deposition - the potential cause of occupational Bisphenol-A exposition.

Case Report: Toxic tubulointerstitial nephropathy with lipofuscin deposition - the potential cause of occupational Bisphenol-A exposition.

Case Report: Toxic tubulointerstitial nephropathy with lipofuscin deposition - the potential cause of occupational Bisphenol-A exposition.

Case Report: Toxic tubulointerstitial nephropathy with lipofuscin deposition - the potential cause of occupational Bisphenol-A exposition.

This case study delves into the link, between exposure to Bisphenol A (BPA) and kidney issues filling a gap in human focused research found in studies. The individual, a 72-year man with a history of BPA exposure in a plastics manufacturing facility experienced a gradual decline in kidney function over 18 months. Medical tests showed kidney disease with a buildup of lipofuscin in renal tubular cells upon examination. This discovery suggests a connection between BPA exposure and kidney damage underscoring the need for investigation. The lack of human based evidence highlights the importance of research to understand the toxic effects of BPA on the kidneys. In addition, to its implications this case emphasizes the importance of improving safety protocols and raising awareness among healthcare professionals in relevant work environments to reduce potential health risks associated with BPA exposure.

求助全文
通过发布文献求助,成功后即可免费获取论文全文。 去求助
来源期刊
CiteScore
6.30
自引率
0.00%
发文量
134
审稿时长
4-8 weeks
期刊介绍: Pathology & Oncology Research (POR) is an interdisciplinary Journal at the interface of pathology and oncology including the preclinical and translational research, diagnostics and therapy. Furthermore, POR is an international forum for the rapid communication of reviews, original research, critical and topical reports with excellence and novelty. Published quarterly, POR is dedicated to keeping scientists informed of developments on the selected biomedical fields bridging the gap between basic research and clinical medicine. It is a special aim for POR to promote pathological and oncological publishing activity of colleagues in the Central and East European region. The journal will be of interest to pathologists, and a broad range of experimental and clinical oncologists, and related experts. POR is supported by an acknowledged international advisory board and the Arányi Fundation for modern pathology.
×
引用
GB/T 7714-2015
复制
MLA
复制
APA
复制
导出至
BibTeX EndNote RefMan NoteFirst NoteExpress
×
提示
您的信息不完整,为了账户安全,请先补充。
现在去补充
×
提示
您因"违规操作"
具体请查看互助需知
我知道了
×
提示
确定
请完成安全验证×
copy
已复制链接
快去分享给好友吧!
我知道了
右上角分享
点击右上角分享
0
联系我们:info@booksci.cn Book学术提供免费学术资源搜索服务,方便国内外学者检索中英文文献。致力于提供最便捷和优质的服务体验。 Copyright © 2023 布克学术 All rights reserved.
京ICP备2023020795号-1
ghs 京公网安备 11010802042870号
Book学术文献互助
Book学术文献互助群
群 号:604180095
Book学术官方微信