后凸或后凸患者后路脊柱切除术后椎间融合器匹配不良的危险因素。

IF 2.1 2区 医学 Q2 ORTHOPEDICS
Orthopaedic Surgery Pub Date : 2025-09-01 Epub Date: 2025-07-21 DOI:10.1111/os.70116
Xin Xin, Jiajun Ni, Shi Yan, Lei Yuan, Zhongqiang Chen, Yan Zeng
{"title":"后凸或后凸患者后路脊柱切除术后椎间融合器匹配不良的危险因素。","authors":"Xin Xin, Jiajun Ni, Shi Yan, Lei Yuan, Zhongqiang Chen, Yan Zeng","doi":"10.1111/os.70116","DOIUrl":null,"url":null,"abstract":"<p><strong>Objectives: </strong>Numerous studies have reported the manifestations and influencing factors of poor matching of intervertebral fusion devices (IFDs) in patients with cervical and lumbar degenerative diseases. However, there is currently no research addressing the use of IFDs matching in posterior vertebral column resection (PVCR) procedures. The purpose of this retrospective radiographic study was to analyze the risk factors associated with poor matching of IFDs following PVCR.</p><p><strong>Methods: </strong>Data from 92 patients using IFDs following PVCR between June 2006 and July 2024 were reviewed. IFDs implantation failure, adjacent vertebral fractures, subsidence greater than 5 mm, angle formation exceeding 10°, and malposition (defined as one-third of the IFDs exceeding the outer edge of the matching interface) were used as screening indicators to divide patients into poor matching and matching groups. Potential risk factors of poor matching were assessed through univariate and multivariate logistic regression analysis. The multiple regression model was evaluated by the area under the receiver operating characteristic curve (AUC).</p><p><strong>Results: </strong>Among the 92 patients, 37 (40.2%) experienced poor matching. Univariate logistic regression analysis revealed that the preoperative and postoperative sagittal Cobb angles, the angle between osteotomy surfaces, total instrumented vertebrae, the number of vertebrae resected, the height of IFDs, and the use of titanium mesh or artificial vertebral bodies were potential risk factors for poor matching. Backward stepwise multivariate logistic regression analysis indicated that the preoperative sagittal Cobb angle (OR = 1.053, p = 0.001), the angle between osteotomy surfaces (OR = 1.152, p = 0.003), and the height of IFDs (OR = 1.058, p = 0.033) were independent risk factors for poor matching. The overall predictive performance of this multiple regression model (AUC = 0.872) for poor matching was deemed satisfactory.</p><p><strong>Conclusion: </strong>The use of IFDs in PVCR was associated with a high rate of immediate poor matching. The preoperative sagittal Cobb angle, the angle between osteotomy surfaces, and the height of IFDs are independent risk factors for poor matching.</p>","PeriodicalId":19566,"journal":{"name":"Orthopaedic Surgery","volume":" ","pages":"2579-2587"},"PeriodicalIF":2.1000,"publicationDate":"2025-09-01","publicationTypes":"Journal Article","fieldsOfStudy":null,"isOpenAccess":false,"openAccessPdf":"https://www.ncbi.nlm.nih.gov/pmc/articles/PMC12404876/pdf/","citationCount":"0","resultStr":"{\"title\":\"Risk Factors for Poor Matching of Intervertebral Fusion Devices After Posterior Vertebral Column Resection in Patients With Kyphosis or Kyphoscoliosis.\",\"authors\":\"Xin Xin, Jiajun Ni, Shi Yan, Lei Yuan, Zhongqiang Chen, Yan Zeng\",\"doi\":\"10.1111/os.70116\",\"DOIUrl\":null,\"url\":null,\"abstract\":\"<p><strong>Objectives: </strong>Numerous studies have reported the manifestations and influencing factors of poor matching of intervertebral fusion devices (IFDs) in patients with cervical and lumbar degenerative diseases. However, there is currently no research addressing the use of IFDs matching in posterior vertebral column resection (PVCR) procedures. The purpose of this retrospective radiographic study was to analyze the risk factors associated with poor matching of IFDs following PVCR.</p><p><strong>Methods: </strong>Data from 92 patients using IFDs following PVCR between June 2006 and July 2024 were reviewed. IFDs implantation failure, adjacent vertebral fractures, subsidence greater than 5 mm, angle formation exceeding 10°, and malposition (defined as one-third of the IFDs exceeding the outer edge of the matching interface) were used as screening indicators to divide patients into poor matching and matching groups. Potential risk factors of poor matching were assessed through univariate and multivariate logistic regression analysis. The multiple regression model was evaluated by the area under the receiver operating characteristic curve (AUC).</p><p><strong>Results: </strong>Among the 92 patients, 37 (40.2%) experienced poor matching. Univariate logistic regression analysis revealed that the preoperative and postoperative sagittal Cobb angles, the angle between osteotomy surfaces, total instrumented vertebrae, the number of vertebrae resected, the height of IFDs, and the use of titanium mesh or artificial vertebral bodies were potential risk factors for poor matching. Backward stepwise multivariate logistic regression analysis indicated that the preoperative sagittal Cobb angle (OR = 1.053, p = 0.001), the angle between osteotomy surfaces (OR = 1.152, p = 0.003), and the height of IFDs (OR = 1.058, p = 0.033) were independent risk factors for poor matching. The overall predictive performance of this multiple regression model (AUC = 0.872) for poor matching was deemed satisfactory.</p><p><strong>Conclusion: </strong>The use of IFDs in PVCR was associated with a high rate of immediate poor matching. The preoperative sagittal Cobb angle, the angle between osteotomy surfaces, and the height of IFDs are independent risk factors for poor matching.</p>\",\"PeriodicalId\":19566,\"journal\":{\"name\":\"Orthopaedic Surgery\",\"volume\":\" \",\"pages\":\"2579-2587\"},\"PeriodicalIF\":2.1000,\"publicationDate\":\"2025-09-01\",\"publicationTypes\":\"Journal Article\",\"fieldsOfStudy\":null,\"isOpenAccess\":false,\"openAccessPdf\":\"https://www.ncbi.nlm.nih.gov/pmc/articles/PMC12404876/pdf/\",\"citationCount\":\"0\",\"resultStr\":null,\"platform\":\"Semanticscholar\",\"paperid\":null,\"PeriodicalName\":\"Orthopaedic Surgery\",\"FirstCategoryId\":\"3\",\"ListUrlMain\":\"https://doi.org/10.1111/os.70116\",\"RegionNum\":2,\"RegionCategory\":\"医学\",\"ArticlePicture\":[],\"TitleCN\":null,\"AbstractTextCN\":null,\"PMCID\":null,\"EPubDate\":\"2025/7/21 0:00:00\",\"PubModel\":\"Epub\",\"JCR\":\"Q2\",\"JCRName\":\"ORTHOPEDICS\",\"Score\":null,\"Total\":0}","platform":"Semanticscholar","paperid":null,"PeriodicalName":"Orthopaedic Surgery","FirstCategoryId":"3","ListUrlMain":"https://doi.org/10.1111/os.70116","RegionNum":2,"RegionCategory":"医学","ArticlePicture":[],"TitleCN":null,"AbstractTextCN":null,"PMCID":null,"EPubDate":"2025/7/21 0:00:00","PubModel":"Epub","JCR":"Q2","JCRName":"ORTHOPEDICS","Score":null,"Total":0}
引用次数: 0

摘要

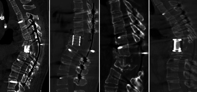
目的:大量研究报道了颈腰椎退行性疾病患者椎间融合器(IFDs)匹配不良的表现及影响因素。然而,目前还没有研究解决在后路脊柱切除术(PVCR)手术中使用ifd匹配的问题。本回顾性影像学研究的目的是分析PVCR后ifd匹配不良的相关危险因素。方法:回顾了2006年6月至2024年7月期间92例PVCR后使用ifd的患者的数据。将ifd植入失败、相邻椎体骨折、沉降大于5mm、角度形成超过10°、错位(定义为超过匹配界面外缘的ifd的三分之一)作为筛选指标,将患者分为匹配不良组和匹配组。通过单因素和多因素logistic回归分析评估匹配不良的潜在危险因素。以受试者工作特征曲线下面积(AUC)评价多元回归模型。结果:92例患者中37例(40.2%)匹配不良。单因素logistic回归分析显示,术前、术后矢状Cobb角、截骨面夹角、置入椎体总数、切除椎体数、ifd高度、钛网或人工椎体的使用是导致匹配不良的潜在危险因素。多因素逐步回归分析显示,术前矢状Cobb角(OR = 1.053, p = 0.001)、截骨面夹角(OR = 1.152, p = 0.003)、ifd高度(OR = 1.058, p = 0.033)是吻合不良的独立危险因素。对于匹配差的情况,该多元回归模型的总体预测性能(AUC = 0.872)令人满意。结论:在PVCR中使用ifd与高的即时匹配不良率相关。术前矢状Cobb角、截骨面夹角、ifd高度是吻合不良的独立危险因素。
本文章由计算机程序翻译,如有差异,请以英文原文为准。

Risk Factors for Poor Matching of Intervertebral Fusion Devices After Posterior Vertebral Column Resection in Patients With Kyphosis or Kyphoscoliosis.

Risk Factors for Poor Matching of Intervertebral Fusion Devices After Posterior Vertebral Column Resection in Patients With Kyphosis or Kyphoscoliosis.

Risk Factors for Poor Matching of Intervertebral Fusion Devices After Posterior Vertebral Column Resection in Patients With Kyphosis or Kyphoscoliosis.

Risk Factors for Poor Matching of Intervertebral Fusion Devices After Posterior Vertebral Column Resection in Patients With Kyphosis or Kyphoscoliosis.

Objectives: Numerous studies have reported the manifestations and influencing factors of poor matching of intervertebral fusion devices (IFDs) in patients with cervical and lumbar degenerative diseases. However, there is currently no research addressing the use of IFDs matching in posterior vertebral column resection (PVCR) procedures. The purpose of this retrospective radiographic study was to analyze the risk factors associated with poor matching of IFDs following PVCR.

Methods: Data from 92 patients using IFDs following PVCR between June 2006 and July 2024 were reviewed. IFDs implantation failure, adjacent vertebral fractures, subsidence greater than 5 mm, angle formation exceeding 10°, and malposition (defined as one-third of the IFDs exceeding the outer edge of the matching interface) were used as screening indicators to divide patients into poor matching and matching groups. Potential risk factors of poor matching were assessed through univariate and multivariate logistic regression analysis. The multiple regression model was evaluated by the area under the receiver operating characteristic curve (AUC).

Results: Among the 92 patients, 37 (40.2%) experienced poor matching. Univariate logistic regression analysis revealed that the preoperative and postoperative sagittal Cobb angles, the angle between osteotomy surfaces, total instrumented vertebrae, the number of vertebrae resected, the height of IFDs, and the use of titanium mesh or artificial vertebral bodies were potential risk factors for poor matching. Backward stepwise multivariate logistic regression analysis indicated that the preoperative sagittal Cobb angle (OR = 1.053, p = 0.001), the angle between osteotomy surfaces (OR = 1.152, p = 0.003), and the height of IFDs (OR = 1.058, p = 0.033) were independent risk factors for poor matching. The overall predictive performance of this multiple regression model (AUC = 0.872) for poor matching was deemed satisfactory.

Conclusion: The use of IFDs in PVCR was associated with a high rate of immediate poor matching. The preoperative sagittal Cobb angle, the angle between osteotomy surfaces, and the height of IFDs are independent risk factors for poor matching.

求助全文
通过发布文献求助,成功后即可免费获取论文全文。 去求助
来源期刊
Orthopaedic Surgery
Orthopaedic Surgery ORTHOPEDICS-
CiteScore
3.40
自引率
14.30%
发文量
374
审稿时长
20 weeks
期刊介绍: Orthopaedic Surgery (OS) is the official journal of the Chinese Orthopaedic Association, focusing on all aspects of orthopaedic technique and surgery. The journal publishes peer-reviewed articles in the following categories: Original Articles, Clinical Articles, Review Articles, Guidelines, Editorials, Commentaries, Surgical Techniques, Case Reports and Meeting Reports.
×
引用
GB/T 7714-2015
复制
MLA
复制
APA
复制
导出至
BibTeX EndNote RefMan NoteFirst NoteExpress
×
提示
您的信息不完整,为了账户安全,请先补充。
现在去补充
×
提示
您因"违规操作"
具体请查看互助需知
我知道了
×
提示
确定
请完成安全验证×
copy
已复制链接
快去分享给好友吧!
我知道了
右上角分享
点击右上角分享
0
联系我们:info@booksci.cn Book学术提供免费学术资源搜索服务,方便国内外学者检索中英文文献。致力于提供最便捷和优质的服务体验。 Copyright © 2023 布克学术 All rights reserved.
京ICP备2023020795号-1
ghs 京公网安备 11010802042870号
Book学术文献互助
Book学术文献互助群
群 号:604180095
Book学术官方微信