IgG4在寄生虫感染和IgG4相关疾病的十字路口的升高困境:来自儿童肺吸虫病伴持续性心包积液病例报告的见解

IF 1.7 4区 医学 Q2 PEDIATRICS
Translational pediatrics Pub Date : 2025-06-27 Epub Date: 2025-06-25 DOI:10.21037/tp-2024-531
Zhan Zhang, Hua Zhou, Feng Fang, Guo Ai
{"title":"IgG4在寄生虫感染和IgG4相关疾病的十字路口的升高困境:来自儿童肺吸虫病伴持续性心包积液病例报告的见解","authors":"Zhan Zhang, Hua Zhou, Feng Fang, Guo Ai","doi":"10.21037/tp-2024-531","DOIUrl":null,"url":null,"abstract":"<p><strong>Background: </strong>Immunoglobulin G4 (IgG4)-related disease (IgG4-RD) is a systemic fibroinflammatory disorder defined by elevated serum IgG4, tissue IgG4+ plasma cell infiltration, and multi-organ involvement. Paradoxically, helminth infections may also trigger IgG4 elevation through Th2-polarized immune responses, creating diagnostic ambiguity when overlapping features occur. Critically, no studies have addressed whether IgG4-RD with helminthiasis can coexist in children or how to differentiate them when histopathology is unavailable.</p><p><strong>Case description: </strong>A 10-year-old boy with confirmed pulmonary paragonimiasis developed refractory pericardial effusion and markedly elevated IgG4 [11 g/L, 8.1× upper limit of normal (ULN)]. Despite five courses of praziquantel (75 mg/kg/day), effusions persisted for 8 weeks. Subsequent glucocorticoids (methylprednisolone 2 mg/kg/day) achieved rapid clinical resolution, though lacked histopathology IgG4-RD hallmarks. Longitudinal monitoring revealed a dynamic IgG4 decline (from 11 to 5.25 g/L) post-methylprednisolone therapy. However, residual IgG4 elevation (5.25 g/L, >3× ULN) and absent histopathological features of IgG4-RD left the diagnosis unresolved. Therapeutic monitoring revealed normalized eosinophils and imaging improvement, yet persistent IgG4 suggested potential immune dysregulation beyond parasitic clearance.</p><p><strong>Conclusions: </strong>This case highlights a critical diagnostic dilemma: IgG4 elevation in parasitic infections may mimic or coexist with IgG4-RD. The rapid glucocorticoid response argues against simple parasitic infections, yet incomplete IgG4 normalization post-treatment leaves coexistence unresolved. Clinicians must weigh these possibilities when anti-helminthic therapy fails, particularly when histopathology is absent. Prospective studies should define pediatric-specific IgG4 thresholds to disentangle infection from autoimmunity.</p>","PeriodicalId":23294,"journal":{"name":"Translational pediatrics","volume":"14 6","pages":"1362-1369"},"PeriodicalIF":1.7000,"publicationDate":"2025-06-27","publicationTypes":"Journal Article","fieldsOfStudy":null,"isOpenAccess":false,"openAccessPdf":"https://www.ncbi.nlm.nih.gov/pmc/articles/PMC12268758/pdf/","citationCount":"0","resultStr":"{\"title\":\"IgG4 elevation dilemma at the crossroads of helminth infection and IgG4-related disease: insights from a case report of pediatric paragonimiasis with persistent pericardial effusion.\",\"authors\":\"Zhan Zhang, Hua Zhou, Feng Fang, Guo Ai\",\"doi\":\"10.21037/tp-2024-531\",\"DOIUrl\":null,\"url\":null,\"abstract\":\"<p><strong>Background: </strong>Immunoglobulin G4 (IgG4)-related disease (IgG4-RD) is a systemic fibroinflammatory disorder defined by elevated serum IgG4, tissue IgG4+ plasma cell infiltration, and multi-organ involvement. Paradoxically, helminth infections may also trigger IgG4 elevation through Th2-polarized immune responses, creating diagnostic ambiguity when overlapping features occur. Critically, no studies have addressed whether IgG4-RD with helminthiasis can coexist in children or how to differentiate them when histopathology is unavailable.</p><p><strong>Case description: </strong>A 10-year-old boy with confirmed pulmonary paragonimiasis developed refractory pericardial effusion and markedly elevated IgG4 [11 g/L, 8.1× upper limit of normal (ULN)]. Despite five courses of praziquantel (75 mg/kg/day), effusions persisted for 8 weeks. Subsequent glucocorticoids (methylprednisolone 2 mg/kg/day) achieved rapid clinical resolution, though lacked histopathology IgG4-RD hallmarks. Longitudinal monitoring revealed a dynamic IgG4 decline (from 11 to 5.25 g/L) post-methylprednisolone therapy. However, residual IgG4 elevation (5.25 g/L, >3× ULN) and absent histopathological features of IgG4-RD left the diagnosis unresolved. Therapeutic monitoring revealed normalized eosinophils and imaging improvement, yet persistent IgG4 suggested potential immune dysregulation beyond parasitic clearance.</p><p><strong>Conclusions: </strong>This case highlights a critical diagnostic dilemma: IgG4 elevation in parasitic infections may mimic or coexist with IgG4-RD. The rapid glucocorticoid response argues against simple parasitic infections, yet incomplete IgG4 normalization post-treatment leaves coexistence unresolved. Clinicians must weigh these possibilities when anti-helminthic therapy fails, particularly when histopathology is absent. Prospective studies should define pediatric-specific IgG4 thresholds to disentangle infection from autoimmunity.</p>\",\"PeriodicalId\":23294,\"journal\":{\"name\":\"Translational pediatrics\",\"volume\":\"14 6\",\"pages\":\"1362-1369\"},\"PeriodicalIF\":1.7000,\"publicationDate\":\"2025-06-27\",\"publicationTypes\":\"Journal Article\",\"fieldsOfStudy\":null,\"isOpenAccess\":false,\"openAccessPdf\":\"https://www.ncbi.nlm.nih.gov/pmc/articles/PMC12268758/pdf/\",\"citationCount\":\"0\",\"resultStr\":null,\"platform\":\"Semanticscholar\",\"paperid\":null,\"PeriodicalName\":\"Translational pediatrics\",\"FirstCategoryId\":\"3\",\"ListUrlMain\":\"https://doi.org/10.21037/tp-2024-531\",\"RegionNum\":4,\"RegionCategory\":\"医学\",\"ArticlePicture\":[],\"TitleCN\":null,\"AbstractTextCN\":null,\"PMCID\":null,\"EPubDate\":\"2025/6/25 0:00:00\",\"PubModel\":\"Epub\",\"JCR\":\"Q2\",\"JCRName\":\"PEDIATRICS\",\"Score\":null,\"Total\":0}","platform":"Semanticscholar","paperid":null,"PeriodicalName":"Translational pediatrics","FirstCategoryId":"3","ListUrlMain":"https://doi.org/10.21037/tp-2024-531","RegionNum":4,"RegionCategory":"医学","ArticlePicture":[],"TitleCN":null,"AbstractTextCN":null,"PMCID":null,"EPubDate":"2025/6/25 0:00:00","PubModel":"Epub","JCR":"Q2","JCRName":"PEDIATRICS","Score":null,"Total":0}
引用次数: 0

摘要

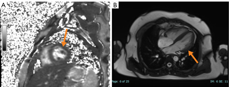
背景:免疫球蛋白G4 (IgG4)相关疾病(IgG4- rd)是一种全身性纤维炎性疾病,其特征是血清IgG4升高、组织IgG4+浆细胞浸润和多器官受累。矛盾的是,蠕虫感染也可能通过th2极化免疫反应触发IgG4升高,当重叠特征发生时,产生诊断歧义。至关重要的是,没有研究表明IgG4-RD是否可以在儿童中与蛔虫病共存,或者在没有组织病理学证据的情况下如何区分它们。病例描述:1例确诊为肺吸虫病的10岁男童出现难治性心包积液,IgG4明显升高[11 g/L,正常上限(ULN)的8.1倍]。尽管给予吡喹酮(75 mg/kg/天)5个疗程,积液仍持续8周。随后的糖皮质激素(甲基强的松龙2mg /kg/天)获得了快速的临床解决,尽管缺乏组织病理学上的IgG4-RD标志。纵向监测显示,甲基强的松龙治疗后IgG4动态下降(从11 g/L降至5.25 g/L)。然而,残留的IgG4升高(5.25 g/L, bb0.3 × ULN)和缺乏IgG4- rd的组织病理学特征使诊断无法确定。治疗监测显示嗜酸性粒细胞正常化和影像学改善,但持续的IgG4表明潜在的免疫失调超出了寄生虫清除。结论:该病例突出了一个关键的诊断困境:寄生虫感染中的IgG4升高可能与IgG4- rd相似或共存。糖皮质激素的快速反应反对简单的寄生虫感染,但治疗后IgG4的不完全正常化使共存问题悬而未决。当抗蠕虫治疗失败时,临床医生必须权衡这些可能性,特别是当没有组织病理学检查时。前瞻性研究应确定儿童特异性IgG4阈值,以区分自身免疫感染。
本文章由计算机程序翻译,如有差异,请以英文原文为准。

IgG4 elevation dilemma at the crossroads of helminth infection and IgG4-related disease: insights from a case report of pediatric paragonimiasis with persistent pericardial effusion.

IgG4 elevation dilemma at the crossroads of helminth infection and IgG4-related disease: insights from a case report of pediatric paragonimiasis with persistent pericardial effusion.

IgG4 elevation dilemma at the crossroads of helminth infection and IgG4-related disease: insights from a case report of pediatric paragonimiasis with persistent pericardial effusion.

Background: Immunoglobulin G4 (IgG4)-related disease (IgG4-RD) is a systemic fibroinflammatory disorder defined by elevated serum IgG4, tissue IgG4+ plasma cell infiltration, and multi-organ involvement. Paradoxically, helminth infections may also trigger IgG4 elevation through Th2-polarized immune responses, creating diagnostic ambiguity when overlapping features occur. Critically, no studies have addressed whether IgG4-RD with helminthiasis can coexist in children or how to differentiate them when histopathology is unavailable.

Case description: A 10-year-old boy with confirmed pulmonary paragonimiasis developed refractory pericardial effusion and markedly elevated IgG4 [11 g/L, 8.1× upper limit of normal (ULN)]. Despite five courses of praziquantel (75 mg/kg/day), effusions persisted for 8 weeks. Subsequent glucocorticoids (methylprednisolone 2 mg/kg/day) achieved rapid clinical resolution, though lacked histopathology IgG4-RD hallmarks. Longitudinal monitoring revealed a dynamic IgG4 decline (from 11 to 5.25 g/L) post-methylprednisolone therapy. However, residual IgG4 elevation (5.25 g/L, >3× ULN) and absent histopathological features of IgG4-RD left the diagnosis unresolved. Therapeutic monitoring revealed normalized eosinophils and imaging improvement, yet persistent IgG4 suggested potential immune dysregulation beyond parasitic clearance.

Conclusions: This case highlights a critical diagnostic dilemma: IgG4 elevation in parasitic infections may mimic or coexist with IgG4-RD. The rapid glucocorticoid response argues against simple parasitic infections, yet incomplete IgG4 normalization post-treatment leaves coexistence unresolved. Clinicians must weigh these possibilities when anti-helminthic therapy fails, particularly when histopathology is absent. Prospective studies should define pediatric-specific IgG4 thresholds to disentangle infection from autoimmunity.

求助全文
通过发布文献求助,成功后即可免费获取论文全文。 去求助
来源期刊
Translational pediatrics
Translational pediatrics Medicine-Pediatrics, Perinatology and Child Health
CiteScore
4.50
自引率
5.00%
发文量
108
期刊介绍: Information not localized
×
引用
GB/T 7714-2015
复制
MLA
复制
APA
复制
导出至
BibTeX EndNote RefMan NoteFirst NoteExpress
×
提示
您的信息不完整,为了账户安全,请先补充。
现在去补充
×
提示
您因"违规操作"
具体请查看互助需知
我知道了
×
提示
确定
请完成安全验证×
copy
已复制链接
快去分享给好友吧!
我知道了
右上角分享
点击右上角分享
0
联系我们:info@booksci.cn Book学术提供免费学术资源搜索服务,方便国内外学者检索中英文文献。致力于提供最便捷和优质的服务体验。 Copyright © 2023 布克学术 All rights reserved.
京ICP备2023020795号-1
ghs 京公网安备 11010802042870号
Book学术文献互助
Book学术文献互助群
群 号:604180095
Book学术官方微信