骨髓源性抑制细胞对早产儿视网膜病变模型视网膜上皮细胞的影响。

IF 1.7 4区 医学 Q2 PEDIATRICS
Translational pediatrics Pub Date : 2025-06-27 Epub Date: 2025-06-13 DOI:10.21037/tp-2024-578
Wanyi Huang, Qiaoqun Ou, Yuanchun Liu, Jiaqi Hu, Lina Wang
{"title":"骨髓源性抑制细胞对早产儿视网膜病变模型视网膜上皮细胞的影响。","authors":"Wanyi Huang, Qiaoqun Ou, Yuanchun Liu, Jiaqi Hu, Lina Wang","doi":"10.21037/tp-2024-578","DOIUrl":null,"url":null,"abstract":"<p><strong>Background: </strong>Retinopathy of prematurity (ROP) is a proliferative vascular disease with a high incidence rate. Myeloid-derived suppressor cells (MDSCs) are a type of stem cell that possesses remarkable regenerative and reparative capabilities. However, the role of MDSCs as a stem cell therapy in the treatment of ROP remains unclear. Therefore, this study aimed to explore the effects of MDSC therapy on the expression of glial fibrillary acidic protein (GFAP) and vascular endothelial growth factor (VEGF) in a model of ROP, thereby preliminarily assessing the therapeutic potential of MDSCs in ROP.</p><p><strong>Methods: </strong>Bone marrow-derived MDSCs were obtained from an 8-week-old male C57BL/6J mouse, which served as the cell donor. The cells were divided into the model group, which was established by culturing hydrogen peroxide (H<sub>2</sub>O<sub>2</sub>; 300 µM) with adult retinal pigment epithelial cell line-19 (ARPE-19) alone to create the ROP model; the model + medium group having ARPE-19 and medium; and the model + MDSCs group, having ARPE-19 and MDSCs.</p><p><strong>Results: </strong>The expression levels of GFAP and VEGF in the model + MDSCs group were significantly lower compared to the model group. In the model + MDSCs group, GFAP and VEGF expression levels were significantly reduced. Immunofluorescence analysis revealed a significant increase in GFAP and VEGF expression in the model + medium group. In contrast, the expression levels of GFAP and VEGF in the model + MDSCs group were markedly decreased.</p><p><strong>Conclusions: </strong>Co-culturing with MDSCs significantly reduces the expression levels of GFAP and VEGF in the model group, thereby inhibiting pathological neovascularization, inflammatory responses, and immune-mediated damage. This intervention subsequently improves the pathological processes associated with ROP.</p>","PeriodicalId":23294,"journal":{"name":"Translational pediatrics","volume":"14 6","pages":"1147-1155"},"PeriodicalIF":1.7000,"publicationDate":"2025-06-27","publicationTypes":"Journal Article","fieldsOfStudy":null,"isOpenAccess":false,"openAccessPdf":"https://www.ncbi.nlm.nih.gov/pmc/articles/PMC12268656/pdf/","citationCount":"0","resultStr":"{\"title\":\"Effect of myeloid-derived suppressor cells on retinal epithelial cells in retinopathy of prematurity model.\",\"authors\":\"Wanyi Huang, Qiaoqun Ou, Yuanchun Liu, Jiaqi Hu, Lina Wang\",\"doi\":\"10.21037/tp-2024-578\",\"DOIUrl\":null,\"url\":null,\"abstract\":\"<p><strong>Background: </strong>Retinopathy of prematurity (ROP) is a proliferative vascular disease with a high incidence rate. Myeloid-derived suppressor cells (MDSCs) are a type of stem cell that possesses remarkable regenerative and reparative capabilities. However, the role of MDSCs as a stem cell therapy in the treatment of ROP remains unclear. Therefore, this study aimed to explore the effects of MDSC therapy on the expression of glial fibrillary acidic protein (GFAP) and vascular endothelial growth factor (VEGF) in a model of ROP, thereby preliminarily assessing the therapeutic potential of MDSCs in ROP.</p><p><strong>Methods: </strong>Bone marrow-derived MDSCs were obtained from an 8-week-old male C57BL/6J mouse, which served as the cell donor. The cells were divided into the model group, which was established by culturing hydrogen peroxide (H<sub>2</sub>O<sub>2</sub>; 300 µM) with adult retinal pigment epithelial cell line-19 (ARPE-19) alone to create the ROP model; the model + medium group having ARPE-19 and medium; and the model + MDSCs group, having ARPE-19 and MDSCs.</p><p><strong>Results: </strong>The expression levels of GFAP and VEGF in the model + MDSCs group were significantly lower compared to the model group. In the model + MDSCs group, GFAP and VEGF expression levels were significantly reduced. Immunofluorescence analysis revealed a significant increase in GFAP and VEGF expression in the model + medium group. In contrast, the expression levels of GFAP and VEGF in the model + MDSCs group were markedly decreased.</p><p><strong>Conclusions: </strong>Co-culturing with MDSCs significantly reduces the expression levels of GFAP and VEGF in the model group, thereby inhibiting pathological neovascularization, inflammatory responses, and immune-mediated damage. This intervention subsequently improves the pathological processes associated with ROP.</p>\",\"PeriodicalId\":23294,\"journal\":{\"name\":\"Translational pediatrics\",\"volume\":\"14 6\",\"pages\":\"1147-1155\"},\"PeriodicalIF\":1.7000,\"publicationDate\":\"2025-06-27\",\"publicationTypes\":\"Journal Article\",\"fieldsOfStudy\":null,\"isOpenAccess\":false,\"openAccessPdf\":\"https://www.ncbi.nlm.nih.gov/pmc/articles/PMC12268656/pdf/\",\"citationCount\":\"0\",\"resultStr\":null,\"platform\":\"Semanticscholar\",\"paperid\":null,\"PeriodicalName\":\"Translational pediatrics\",\"FirstCategoryId\":\"3\",\"ListUrlMain\":\"https://doi.org/10.21037/tp-2024-578\",\"RegionNum\":4,\"RegionCategory\":\"医学\",\"ArticlePicture\":[],\"TitleCN\":null,\"AbstractTextCN\":null,\"PMCID\":null,\"EPubDate\":\"2025/6/13 0:00:00\",\"PubModel\":\"Epub\",\"JCR\":\"Q2\",\"JCRName\":\"PEDIATRICS\",\"Score\":null,\"Total\":0}","platform":"Semanticscholar","paperid":null,"PeriodicalName":"Translational pediatrics","FirstCategoryId":"3","ListUrlMain":"https://doi.org/10.21037/tp-2024-578","RegionNum":4,"RegionCategory":"医学","ArticlePicture":[],"TitleCN":null,"AbstractTextCN":null,"PMCID":null,"EPubDate":"2025/6/13 0:00:00","PubModel":"Epub","JCR":"Q2","JCRName":"PEDIATRICS","Score":null,"Total":0}
引用次数: 0

摘要

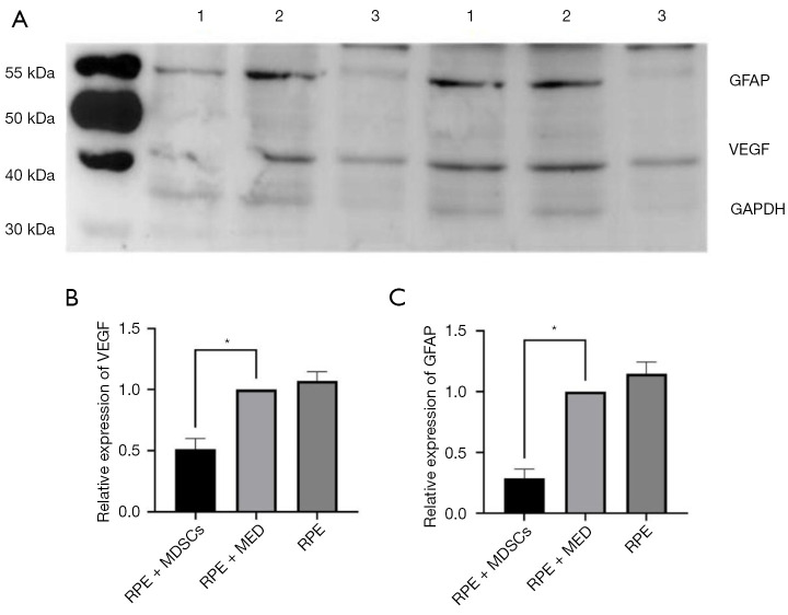
背景:早产儿视网膜病变(Retinopathy of prematurity, ROP)是一种高发的增生性血管疾病。髓源性抑制细胞(Myeloid-derived suppressor cells, MDSCs)是一种具有显著再生和修复能力的干细胞。然而,MDSCs作为干细胞疗法在ROP治疗中的作用尚不清楚。因此,本研究旨在探讨MDSC治疗对ROP模型中胶质纤维酸性蛋白(GFAP)和血管内皮生长因子(VEGF)表达的影响,从而初步评估MDSCs在ROP中的治疗潜力。方法:以8周龄雄性C57BL/6J小鼠为供体,获得骨髓源性MDSCs。将细胞分为模型组,采用双氧水(H2O2)培养;300µM)单独用成人视网膜色素上皮细胞系19 (ARPE-19)建立ROP模型;模型+培养基组有ARPE-19和培养基;模型+ MDSCs组,有ARPE-19和MDSCs。结果:模型+ MDSCs组GFAP、VEGF表达水平明显低于模型组。在模型+ MDSCs组,GFAP和VEGF表达水平显著降低。免疫荧光分析显示,模型+培养基组GFAP和VEGF表达明显升高。相比之下,模型+ MDSCs组GFAP和VEGF的表达水平明显降低。结论:与MDSCs共培养可显著降低模型组GFAP和VEGF的表达水平,从而抑制病理性新生血管、炎症反应和免疫介导的损伤。这种干预随后改善了与ROP相关的病理过程。
本文章由计算机程序翻译,如有差异,请以英文原文为准。

Effect of myeloid-derived suppressor cells on retinal epithelial cells in retinopathy of prematurity model.

Effect of myeloid-derived suppressor cells on retinal epithelial cells in retinopathy of prematurity model.

Effect of myeloid-derived suppressor cells on retinal epithelial cells in retinopathy of prematurity model.

Effect of myeloid-derived suppressor cells on retinal epithelial cells in retinopathy of prematurity model.

Background: Retinopathy of prematurity (ROP) is a proliferative vascular disease with a high incidence rate. Myeloid-derived suppressor cells (MDSCs) are a type of stem cell that possesses remarkable regenerative and reparative capabilities. However, the role of MDSCs as a stem cell therapy in the treatment of ROP remains unclear. Therefore, this study aimed to explore the effects of MDSC therapy on the expression of glial fibrillary acidic protein (GFAP) and vascular endothelial growth factor (VEGF) in a model of ROP, thereby preliminarily assessing the therapeutic potential of MDSCs in ROP.

Methods: Bone marrow-derived MDSCs were obtained from an 8-week-old male C57BL/6J mouse, which served as the cell donor. The cells were divided into the model group, which was established by culturing hydrogen peroxide (H2O2; 300 µM) with adult retinal pigment epithelial cell line-19 (ARPE-19) alone to create the ROP model; the model + medium group having ARPE-19 and medium; and the model + MDSCs group, having ARPE-19 and MDSCs.

Results: The expression levels of GFAP and VEGF in the model + MDSCs group were significantly lower compared to the model group. In the model + MDSCs group, GFAP and VEGF expression levels were significantly reduced. Immunofluorescence analysis revealed a significant increase in GFAP and VEGF expression in the model + medium group. In contrast, the expression levels of GFAP and VEGF in the model + MDSCs group were markedly decreased.

Conclusions: Co-culturing with MDSCs significantly reduces the expression levels of GFAP and VEGF in the model group, thereby inhibiting pathological neovascularization, inflammatory responses, and immune-mediated damage. This intervention subsequently improves the pathological processes associated with ROP.

求助全文
通过发布文献求助,成功后即可免费获取论文全文。 去求助
来源期刊
Translational pediatrics
Translational pediatrics Medicine-Pediatrics, Perinatology and Child Health
CiteScore
4.50
自引率
5.00%
发文量
108
期刊介绍: Information not localized
×
引用
GB/T 7714-2015
复制
MLA
复制
APA
复制
导出至
BibTeX EndNote RefMan NoteFirst NoteExpress
×
提示
您的信息不完整,为了账户安全,请先补充。
现在去补充
×
提示
您因"违规操作"
具体请查看互助需知
我知道了
×
提示
确定
请完成安全验证×
copy
已复制链接
快去分享给好友吧!
我知道了
右上角分享
点击右上角分享
0
联系我们:info@booksci.cn Book学术提供免费学术资源搜索服务,方便国内外学者检索中英文文献。致力于提供最便捷和优质的服务体验。 Copyright © 2023 布克学术 All rights reserved.
京ICP备2023020795号-1
ghs 京公网安备 11010802042870号
Book学术文献互助
Book学术文献互助群
群 号:604180095
Book学术官方微信