机器人辅助、腹腔镜肾盂成形术与柔性输尿管镜治疗儿童肾盂输尿管连接处梗阻及肾结石的比较。

IF 1.7 4区 医学 Q2 PEDIATRICS
Translational pediatrics Pub Date : 2025-06-27 Epub Date: 2025-06-24 DOI:10.21037/tp-2024-557
Hongshuai Jia, Guang Yue, Yuandong Tao, Pin Li, Yangyang Wu, Hualin Cao, Xiaowei Zhang, Lifei Ma, Tian Tao, Huixia Zhou
{"title":"机器人辅助、腹腔镜肾盂成形术与柔性输尿管镜治疗儿童肾盂输尿管连接处梗阻及肾结石的比较。","authors":"Hongshuai Jia, Guang Yue, Yuandong Tao, Pin Li, Yangyang Wu, Hualin Cao, Xiaowei Zhang, Lifei Ma, Tian Tao, Huixia Zhou","doi":"10.21037/tp-2024-557","DOIUrl":null,"url":null,"abstract":"<p><strong>Background: </strong>Ureteropelvic junction obstruction (UPJO) with renal calculi is a common cause of renal impairment in pediatric patients. Surgical intervention, including laparoscopic pyeloplasty (LP) and robot-assisted laparoscopic pyeloplasty (RALP) combined with flexible ureteroscopy, are frequently employed to address both the obstruction and stones. This study aims to compare the safety and efficacy of RALP and LP combined with flexible ureteroscopy in treating pediatric UPJO with renal calculi.</p><p><strong>Methods: </strong>We conducted a retrospective study of pediatric patients with UPJO and renal calculi treated between March 2018 and June 2023. All patients underwent either RALP or conventional LP combined with flexible ureteroscopy. Preoperative imaging and standardized postoperative follow-up were used to assess surgical outcomes.</p><p><strong>Results: </strong>A total of 25 patients were included, with 11 undergoing RALP and 14 undergoing LP. Stone clearance rates were 90.9% for RALP and 85.7% for LP (P=0.25), and both groups achieved a 100% success rate in obstruction resolution. RALP was associated with a longer operative time (212.7±15.4 <i>vs</i>. 185.0±13.8 min, P=0.03) but less blood loss (48.2±9.5 <i>vs</i>. 60.2±11.3 mL, P=0.01). The RALP group also had a trend toward shorter hospital stays (6.5±1.2 <i>vs</i>. 7.7±1.6 days, P=0.07).</p><p><strong>Conclusions: </strong>Both RALP and LP combined with flexible ureteroscopy are effective for treating pediatric UPJO with renal calculi. RALP offers benefits in terms of reduced blood loss and hospital stay, while LP remains a cost-effective alternative. Further studies with larger samples and longer follow-up are needed to validate these findings.</p>","PeriodicalId":23294,"journal":{"name":"Translational pediatrics","volume":"14 6","pages":"1129-1136"},"PeriodicalIF":1.7000,"publicationDate":"2025-06-27","publicationTypes":"Journal Article","fieldsOfStudy":null,"isOpenAccess":false,"openAccessPdf":"https://www.ncbi.nlm.nih.gov/pmc/articles/PMC12268701/pdf/","citationCount":"0","resultStr":"{\"title\":\"Comparison of robot-assisted and laparoscopic pyeloplasty with flexible ureteroscopy for managing concomitant ureteropelvic junction obstruction and renal calculi in children.\",\"authors\":\"Hongshuai Jia, Guang Yue, Yuandong Tao, Pin Li, Yangyang Wu, Hualin Cao, Xiaowei Zhang, Lifei Ma, Tian Tao, Huixia Zhou\",\"doi\":\"10.21037/tp-2024-557\",\"DOIUrl\":null,\"url\":null,\"abstract\":\"<p><strong>Background: </strong>Ureteropelvic junction obstruction (UPJO) with renal calculi is a common cause of renal impairment in pediatric patients. Surgical intervention, including laparoscopic pyeloplasty (LP) and robot-assisted laparoscopic pyeloplasty (RALP) combined with flexible ureteroscopy, are frequently employed to address both the obstruction and stones. This study aims to compare the safety and efficacy of RALP and LP combined with flexible ureteroscopy in treating pediatric UPJO with renal calculi.</p><p><strong>Methods: </strong>We conducted a retrospective study of pediatric patients with UPJO and renal calculi treated between March 2018 and June 2023. All patients underwent either RALP or conventional LP combined with flexible ureteroscopy. Preoperative imaging and standardized postoperative follow-up were used to assess surgical outcomes.</p><p><strong>Results: </strong>A total of 25 patients were included, with 11 undergoing RALP and 14 undergoing LP. Stone clearance rates were 90.9% for RALP and 85.7% for LP (P=0.25), and both groups achieved a 100% success rate in obstruction resolution. RALP was associated with a longer operative time (212.7±15.4 <i>vs</i>. 185.0±13.8 min, P=0.03) but less blood loss (48.2±9.5 <i>vs</i>. 60.2±11.3 mL, P=0.01). The RALP group also had a trend toward shorter hospital stays (6.5±1.2 <i>vs</i>. 7.7±1.6 days, P=0.07).</p><p><strong>Conclusions: </strong>Both RALP and LP combined with flexible ureteroscopy are effective for treating pediatric UPJO with renal calculi. RALP offers benefits in terms of reduced blood loss and hospital stay, while LP remains a cost-effective alternative. Further studies with larger samples and longer follow-up are needed to validate these findings.</p>\",\"PeriodicalId\":23294,\"journal\":{\"name\":\"Translational pediatrics\",\"volume\":\"14 6\",\"pages\":\"1129-1136\"},\"PeriodicalIF\":1.7000,\"publicationDate\":\"2025-06-27\",\"publicationTypes\":\"Journal Article\",\"fieldsOfStudy\":null,\"isOpenAccess\":false,\"openAccessPdf\":\"https://www.ncbi.nlm.nih.gov/pmc/articles/PMC12268701/pdf/\",\"citationCount\":\"0\",\"resultStr\":null,\"platform\":\"Semanticscholar\",\"paperid\":null,\"PeriodicalName\":\"Translational pediatrics\",\"FirstCategoryId\":\"3\",\"ListUrlMain\":\"https://doi.org/10.21037/tp-2024-557\",\"RegionNum\":4,\"RegionCategory\":\"医学\",\"ArticlePicture\":[],\"TitleCN\":null,\"AbstractTextCN\":null,\"PMCID\":null,\"EPubDate\":\"2025/6/24 0:00:00\",\"PubModel\":\"Epub\",\"JCR\":\"Q2\",\"JCRName\":\"PEDIATRICS\",\"Score\":null,\"Total\":0}","platform":"Semanticscholar","paperid":null,"PeriodicalName":"Translational pediatrics","FirstCategoryId":"3","ListUrlMain":"https://doi.org/10.21037/tp-2024-557","RegionNum":4,"RegionCategory":"医学","ArticlePicture":[],"TitleCN":null,"AbstractTextCN":null,"PMCID":null,"EPubDate":"2025/6/24 0:00:00","PubModel":"Epub","JCR":"Q2","JCRName":"PEDIATRICS","Score":null,"Total":0}
引用次数: 0

摘要

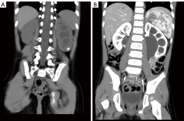
背景:肾盂输尿管交界处梗阻(UPJO)合并肾结石是儿童肾脏损害的常见原因。手术干预,包括腹腔镜肾盂成形术(LP)和机器人辅助腹腔镜肾盂成形术(RALP)联合柔性输尿管镜,经常被用于解决梗阻和结石。本研究旨在比较RALP与LP联合输尿管软镜治疗小儿UPJO合并肾结石的安全性和有效性。方法:我们对2018年3月至2023年6月期间接受UPJO和肾结石治疗的儿科患者进行了回顾性研究。所有患者均行RALP或常规LP联合输尿管软镜检查。术前影像学和术后标准化随访用于评估手术结果。结果:共纳入25例患者,其中RALP 11例,LP 14例。RALP组结石清除率为90.9%,LP组为85.7% (P=0.25),两组结石清除成功率均为100%。RALP组手术时间较长(212.7±15.4 min∶185.0±13.8 min, P=0.03),出血量较少(48.2±9.5 mL∶60.2±11.3 mL, P=0.01)。RALP组住院时间也有缩短的趋势(6.5±1.2∶7.7±1.6,P=0.07)。结论:RALP和LP联合输尿管软镜治疗小儿UPJO合并肾结石均有较好的疗效。RALP在减少失血和住院时间方面有好处,而LP仍然是一种具有成本效益的替代方案。进一步的研究需要更大的样本和更长的随访时间来验证这些发现。
本文章由计算机程序翻译,如有差异,请以英文原文为准。

Comparison of robot-assisted and laparoscopic pyeloplasty with flexible ureteroscopy for managing concomitant ureteropelvic junction obstruction and renal calculi in children.

Comparison of robot-assisted and laparoscopic pyeloplasty with flexible ureteroscopy for managing concomitant ureteropelvic junction obstruction and renal calculi in children.

Comparison of robot-assisted and laparoscopic pyeloplasty with flexible ureteroscopy for managing concomitant ureteropelvic junction obstruction and renal calculi in children.

Comparison of robot-assisted and laparoscopic pyeloplasty with flexible ureteroscopy for managing concomitant ureteropelvic junction obstruction and renal calculi in children.

Background: Ureteropelvic junction obstruction (UPJO) with renal calculi is a common cause of renal impairment in pediatric patients. Surgical intervention, including laparoscopic pyeloplasty (LP) and robot-assisted laparoscopic pyeloplasty (RALP) combined with flexible ureteroscopy, are frequently employed to address both the obstruction and stones. This study aims to compare the safety and efficacy of RALP and LP combined with flexible ureteroscopy in treating pediatric UPJO with renal calculi.

Methods: We conducted a retrospective study of pediatric patients with UPJO and renal calculi treated between March 2018 and June 2023. All patients underwent either RALP or conventional LP combined with flexible ureteroscopy. Preoperative imaging and standardized postoperative follow-up were used to assess surgical outcomes.

Results: A total of 25 patients were included, with 11 undergoing RALP and 14 undergoing LP. Stone clearance rates were 90.9% for RALP and 85.7% for LP (P=0.25), and both groups achieved a 100% success rate in obstruction resolution. RALP was associated with a longer operative time (212.7±15.4 vs. 185.0±13.8 min, P=0.03) but less blood loss (48.2±9.5 vs. 60.2±11.3 mL, P=0.01). The RALP group also had a trend toward shorter hospital stays (6.5±1.2 vs. 7.7±1.6 days, P=0.07).

Conclusions: Both RALP and LP combined with flexible ureteroscopy are effective for treating pediatric UPJO with renal calculi. RALP offers benefits in terms of reduced blood loss and hospital stay, while LP remains a cost-effective alternative. Further studies with larger samples and longer follow-up are needed to validate these findings.

求助全文
通过发布文献求助,成功后即可免费获取论文全文。 去求助
来源期刊
Translational pediatrics
Translational pediatrics Medicine-Pediatrics, Perinatology and Child Health
CiteScore
4.50
自引率
5.00%
发文量
108
期刊介绍: Information not localized
×
引用
GB/T 7714-2015
复制
MLA
复制
APA
复制
导出至
BibTeX EndNote RefMan NoteFirst NoteExpress
×
提示
您的信息不完整,为了账户安全,请先补充。
现在去补充
×
提示
您因"违规操作"
具体请查看互助需知
我知道了
×
提示
确定
请完成安全验证×
copy
已复制链接
快去分享给好友吧!
我知道了
右上角分享
点击右上角分享
0
联系我们:info@booksci.cn Book学术提供免费学术资源搜索服务,方便国内外学者检索中英文文献。致力于提供最便捷和优质的服务体验。 Copyright © 2023 布克学术 All rights reserved.
京ICP备2023020795号-1
ghs 京公网安备 11010802042870号
Book学术文献互助
Book学术文献互助群
群 号:604180095
Book学术官方微信