3岁儿童意外美沙酮中毒致严重小脑炎死亡1例

IF 0.5 Q4 PEDIATRICS
Case Reports in Pediatrics Pub Date : 2025-07-10 eCollection Date: 2025-01-01 DOI:10.1155/crpe/1045330
Jessie Pappin, Greg Hansen, Tanya Holt
{"title":"3岁儿童意外美沙酮中毒致严重小脑炎死亡1例","authors":"Jessie Pappin, Greg Hansen, Tanya Holt","doi":"10.1155/crpe/1045330","DOIUrl":null,"url":null,"abstract":"<p><p>Methadone is a synthetic opioid used to treat pain and opioid dependence. Despite its benefits, accidental ingestion of methadone in pediatric patients can lead to significant morbidity and mortality. Documented findings of acute toxicity secondary to methadone ingestion in children include leukoencephalopathy and cerebellitis. There is limited research into treatment and factors influencing clinical outcomes following methadone overdose in children. We report a 3-year-old child with severe brain injury and death following accidental ingestion of methadone. Our case is unique in that we were able to acquire a serum methadone level following ingestion, which was used to guide intervention and treatments. Using this case, we aim to contribute to the growing understanding of methadone toxicity while also advocating for the implementation of policies that protect our pediatric population.</p>","PeriodicalId":9623,"journal":{"name":"Case Reports in Pediatrics","volume":"2025 ","pages":"1045330"},"PeriodicalIF":0.5000,"publicationDate":"2025-07-10","publicationTypes":"Journal Article","fieldsOfStudy":null,"isOpenAccess":false,"openAccessPdf":"https://www.ncbi.nlm.nih.gov/pmc/articles/PMC12271709/pdf/","citationCount":"0","resultStr":"{\"title\":\"Accidental Methadone Toxicity in a 3-Year-Old Leading to Severe Cerebellitis and Death: A Case Report.\",\"authors\":\"Jessie Pappin, Greg Hansen, Tanya Holt\",\"doi\":\"10.1155/crpe/1045330\",\"DOIUrl\":null,\"url\":null,\"abstract\":\"<p><p>Methadone is a synthetic opioid used to treat pain and opioid dependence. Despite its benefits, accidental ingestion of methadone in pediatric patients can lead to significant morbidity and mortality. Documented findings of acute toxicity secondary to methadone ingestion in children include leukoencephalopathy and cerebellitis. There is limited research into treatment and factors influencing clinical outcomes following methadone overdose in children. We report a 3-year-old child with severe brain injury and death following accidental ingestion of methadone. Our case is unique in that we were able to acquire a serum methadone level following ingestion, which was used to guide intervention and treatments. Using this case, we aim to contribute to the growing understanding of methadone toxicity while also advocating for the implementation of policies that protect our pediatric population.</p>\",\"PeriodicalId\":9623,\"journal\":{\"name\":\"Case Reports in Pediatrics\",\"volume\":\"2025 \",\"pages\":\"1045330\"},\"PeriodicalIF\":0.5000,\"publicationDate\":\"2025-07-10\",\"publicationTypes\":\"Journal Article\",\"fieldsOfStudy\":null,\"isOpenAccess\":false,\"openAccessPdf\":\"https://www.ncbi.nlm.nih.gov/pmc/articles/PMC12271709/pdf/\",\"citationCount\":\"0\",\"resultStr\":null,\"platform\":\"Semanticscholar\",\"paperid\":null,\"PeriodicalName\":\"Case Reports in Pediatrics\",\"FirstCategoryId\":\"1085\",\"ListUrlMain\":\"https://doi.org/10.1155/crpe/1045330\",\"RegionNum\":0,\"RegionCategory\":null,\"ArticlePicture\":[],\"TitleCN\":null,\"AbstractTextCN\":null,\"PMCID\":null,\"EPubDate\":\"2025/1/1 0:00:00\",\"PubModel\":\"eCollection\",\"JCR\":\"Q4\",\"JCRName\":\"PEDIATRICS\",\"Score\":null,\"Total\":0}","platform":"Semanticscholar","paperid":null,"PeriodicalName":"Case Reports in Pediatrics","FirstCategoryId":"1085","ListUrlMain":"https://doi.org/10.1155/crpe/1045330","RegionNum":0,"RegionCategory":null,"ArticlePicture":[],"TitleCN":null,"AbstractTextCN":null,"PMCID":null,"EPubDate":"2025/1/1 0:00:00","PubModel":"eCollection","JCR":"Q4","JCRName":"PEDIATRICS","Score":null,"Total":0}
引用次数: 0

摘要

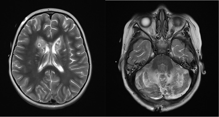
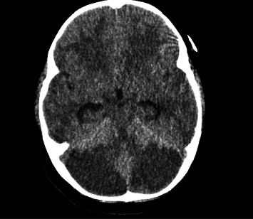
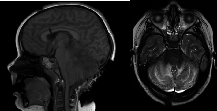
美沙酮是一种用于治疗疼痛和阿片类药物依赖的合成阿片类药物。尽管它的好处,意外摄入美沙酮在儿科患者可导致显著的发病率和死亡率。儿童摄入美沙酮引起的急性毒性包括脑白质病和小脑炎。对儿童美沙酮过量后的治疗和影响临床结果的因素的研究有限。我们报告一个3岁的儿童严重脑损伤和死亡后意外摄入美沙酮。我们的病例是独特的,因为我们能够获得摄取后的血清美沙酮水平,这是用来指导干预和治疗。通过这个案例,我们的目的是促进对美沙酮毒性的日益了解,同时也倡导实施保护我们儿科人口的政策。
本文章由计算机程序翻译,如有差异,请以英文原文为准。

Accidental Methadone Toxicity in a 3-Year-Old Leading to Severe Cerebellitis and Death: A Case Report.

Accidental Methadone Toxicity in a 3-Year-Old Leading to Severe Cerebellitis and Death: A Case Report.

Accidental Methadone Toxicity in a 3-Year-Old Leading to Severe Cerebellitis and Death: A Case Report.

Accidental Methadone Toxicity in a 3-Year-Old Leading to Severe Cerebellitis and Death: A Case Report.

Methadone is a synthetic opioid used to treat pain and opioid dependence. Despite its benefits, accidental ingestion of methadone in pediatric patients can lead to significant morbidity and mortality. Documented findings of acute toxicity secondary to methadone ingestion in children include leukoencephalopathy and cerebellitis. There is limited research into treatment and factors influencing clinical outcomes following methadone overdose in children. We report a 3-year-old child with severe brain injury and death following accidental ingestion of methadone. Our case is unique in that we were able to acquire a serum methadone level following ingestion, which was used to guide intervention and treatments. Using this case, we aim to contribute to the growing understanding of methadone toxicity while also advocating for the implementation of policies that protect our pediatric population.

求助全文
通过发布文献求助,成功后即可免费获取论文全文。 去求助
来源期刊
自引率
11.10%
发文量
48
审稿时长
13 weeks
×
引用
GB/T 7714-2015
复制
MLA
复制
APA
复制
导出至
BibTeX EndNote RefMan NoteFirst NoteExpress
×
提示
您的信息不完整,为了账户安全,请先补充。
现在去补充
×
提示
您因"违规操作"
具体请查看互助需知
我知道了
×
提示
确定
请完成安全验证×
copy
已复制链接
快去分享给好友吧!
我知道了
右上角分享
点击右上角分享
0
联系我们:info@booksci.cn Book学术提供免费学术资源搜索服务,方便国内外学者检索中英文文献。致力于提供最便捷和优质的服务体验。 Copyright © 2023 布克学术 All rights reserved.
京ICP备2023020795号-1
ghs 京公网安备 11010802042870号
Book学术文献互助
Book学术文献互助群
群 号:604180095
Book学术官方微信