探讨模拟周围性肺癌肉芽肿的关键临床和CT特征:一项病例对照研究。

IF 4.5 2区 医学 Q1 RADIOLOGY, NUCLEAR MEDICINE & MEDICAL IMAGING
Hong-Bo Xu, Can Ding, Min Zhao, Fa-Jin Lv, Zhi-Gang Chu
{"title":"探讨模拟周围性肺癌肉芽肿的关键临床和CT特征:一项病例对照研究。","authors":"Hong-Bo Xu, Can Ding, Min Zhao, Fa-Jin Lv, Zhi-Gang Chu","doi":"10.1186/s13244-025-02043-0","DOIUrl":null,"url":null,"abstract":"<p><strong>Objectives: </strong>Some granulomas exhibit CT manifestations similar to those of peripheral lung cancers (PLCs), often resulting in misdiagnosis. This study aimed to identify the key clinical and CT indicators for differentiating them.</p><p><strong>Materials and methods: </strong>From October 2019 to July 2024, 204 atypical granulomas (no calcification, satellite lesions, and/or halo sign) and 204 size-matched PLCs manifested as solid nodules (SNs) were retrospectively enrolled. Patients' clinical, as well as non-enhanced and contrast-enhanced CT data, were evaluated and compared. The enhancement patterns of lesions included no significant enhancement (▵CT value < 15 HU), rim enhancement, enhancement with well-defined necrosis, heterogeneous enhancement, and homogeneous enhancement. The latter two patterns were further divided into mild (15-29 HU), moderate (30-59 HU), and severe (≥ 60 HU) enhancement.</p><p><strong>Results: </strong>Multivariate analysis revealed that younger age (≤ 63 years) (odds ratio [OR], 5.237; 95% confidence interval [CI], 2.609-10.509; p < 0.001), history of diabetes (OR, 9.097; 95% CI: 3.056-27.077; p < 0.001), irregular shape (OR, 3.603; 95% CI: 1.594-8.142; p = 0.002), lower non-enhanced CT value (≤ 21 HU) (OR, 7.576; 95% CI: 3.720-15.431; p < 0.001), and non-moderate enhancement patterns (OR, 50.065; 95% CI: 20.293-123.517; p < 0.001) were independent predictors of granulomas. The sensitivity, specificity, and area under the curve of this model were 88.7%, 83.8%, and 0.941 (95% CI: 0.919-0.962) (p < 0.001), respectively.</p><p><strong>Conclusions: </strong>In younger (≤ 63 years) patients with diabetes, an irregular SN displaying lower density (≤ 21 HU) in non-enhanced CT and a non-moderate enhancement pattern should first be considered as a granuloma.</p><p><strong>Clinical relevance statement: </strong>Distinguishing atypical granulomas from PLCs can be effectively achieved by evaluating the patient's age, underlying diseases, and the lesion's shape, non-enhanced CT value, and enhancement pattern. This integrated clinical-CT diagnostic approach could provide crucial insights for guiding subsequent clinical management.</p><p><strong>Key points: </strong>Atypical granulomas and PLCs exhibit high morphological similarity. Enhancement patterns of lesions are crucial for differentiating atypical granulomas and PLCs. Atypical granulomas typically display irregular shape, lower non-enhanced CT value, and non-moderate enhancement pattern. Younger age and a history of diabetes are key clinical indicators of granulomas.</p>","PeriodicalId":13639,"journal":{"name":"Insights into Imaging","volume":"16 1","pages":"157"},"PeriodicalIF":4.5000,"publicationDate":"2025-07-19","publicationTypes":"Journal Article","fieldsOfStudy":null,"isOpenAccess":false,"openAccessPdf":"https://www.ncbi.nlm.nih.gov/pmc/articles/PMC12276186/pdf/","citationCount":"0","resultStr":"{\"title\":\"Exploring the key clinical and CT characteristics of granulomas mimicking peripheral lung cancers: a case-control study.\",\"authors\":\"Hong-Bo Xu, Can Ding, Min Zhao, Fa-Jin Lv, Zhi-Gang Chu\",\"doi\":\"10.1186/s13244-025-02043-0\",\"DOIUrl\":null,\"url\":null,\"abstract\":\"<p><strong>Objectives: </strong>Some granulomas exhibit CT manifestations similar to those of peripheral lung cancers (PLCs), often resulting in misdiagnosis. This study aimed to identify the key clinical and CT indicators for differentiating them.</p><p><strong>Materials and methods: </strong>From October 2019 to July 2024, 204 atypical granulomas (no calcification, satellite lesions, and/or halo sign) and 204 size-matched PLCs manifested as solid nodules (SNs) were retrospectively enrolled. Patients' clinical, as well as non-enhanced and contrast-enhanced CT data, were evaluated and compared. The enhancement patterns of lesions included no significant enhancement (▵CT value < 15 HU), rim enhancement, enhancement with well-defined necrosis, heterogeneous enhancement, and homogeneous enhancement. The latter two patterns were further divided into mild (15-29 HU), moderate (30-59 HU), and severe (≥ 60 HU) enhancement.</p><p><strong>Results: </strong>Multivariate analysis revealed that younger age (≤ 63 years) (odds ratio [OR], 5.237; 95% confidence interval [CI], 2.609-10.509; p < 0.001), history of diabetes (OR, 9.097; 95% CI: 3.056-27.077; p < 0.001), irregular shape (OR, 3.603; 95% CI: 1.594-8.142; p = 0.002), lower non-enhanced CT value (≤ 21 HU) (OR, 7.576; 95% CI: 3.720-15.431; p < 0.001), and non-moderate enhancement patterns (OR, 50.065; 95% CI: 20.293-123.517; p < 0.001) were independent predictors of granulomas. The sensitivity, specificity, and area under the curve of this model were 88.7%, 83.8%, and 0.941 (95% CI: 0.919-0.962) (p < 0.001), respectively.</p><p><strong>Conclusions: </strong>In younger (≤ 63 years) patients with diabetes, an irregular SN displaying lower density (≤ 21 HU) in non-enhanced CT and a non-moderate enhancement pattern should first be considered as a granuloma.</p><p><strong>Clinical relevance statement: </strong>Distinguishing atypical granulomas from PLCs can be effectively achieved by evaluating the patient's age, underlying diseases, and the lesion's shape, non-enhanced CT value, and enhancement pattern. This integrated clinical-CT diagnostic approach could provide crucial insights for guiding subsequent clinical management.</p><p><strong>Key points: </strong>Atypical granulomas and PLCs exhibit high morphological similarity. Enhancement patterns of lesions are crucial for differentiating atypical granulomas and PLCs. Atypical granulomas typically display irregular shape, lower non-enhanced CT value, and non-moderate enhancement pattern. Younger age and a history of diabetes are key clinical indicators of granulomas.</p>\",\"PeriodicalId\":13639,\"journal\":{\"name\":\"Insights into Imaging\",\"volume\":\"16 1\",\"pages\":\"157\"},\"PeriodicalIF\":4.5000,\"publicationDate\":\"2025-07-19\",\"publicationTypes\":\"Journal Article\",\"fieldsOfStudy\":null,\"isOpenAccess\":false,\"openAccessPdf\":\"https://www.ncbi.nlm.nih.gov/pmc/articles/PMC12276186/pdf/\",\"citationCount\":\"0\",\"resultStr\":null,\"platform\":\"Semanticscholar\",\"paperid\":null,\"PeriodicalName\":\"Insights into Imaging\",\"FirstCategoryId\":\"3\",\"ListUrlMain\":\"https://doi.org/10.1186/s13244-025-02043-0\",\"RegionNum\":2,\"RegionCategory\":\"医学\",\"ArticlePicture\":[],\"TitleCN\":null,\"AbstractTextCN\":null,\"PMCID\":null,\"EPubDate\":\"\",\"PubModel\":\"\",\"JCR\":\"Q1\",\"JCRName\":\"RADIOLOGY, NUCLEAR MEDICINE & MEDICAL IMAGING\",\"Score\":null,\"Total\":0}","platform":"Semanticscholar","paperid":null,"PeriodicalName":"Insights into Imaging","FirstCategoryId":"3","ListUrlMain":"https://doi.org/10.1186/s13244-025-02043-0","RegionNum":2,"RegionCategory":"医学","ArticlePicture":[],"TitleCN":null,"AbstractTextCN":null,"PMCID":null,"EPubDate":"","PubModel":"","JCR":"Q1","JCRName":"RADIOLOGY, NUCLEAR MEDICINE & MEDICAL IMAGING","Score":null,"Total":0}
引用次数: 0

摘要

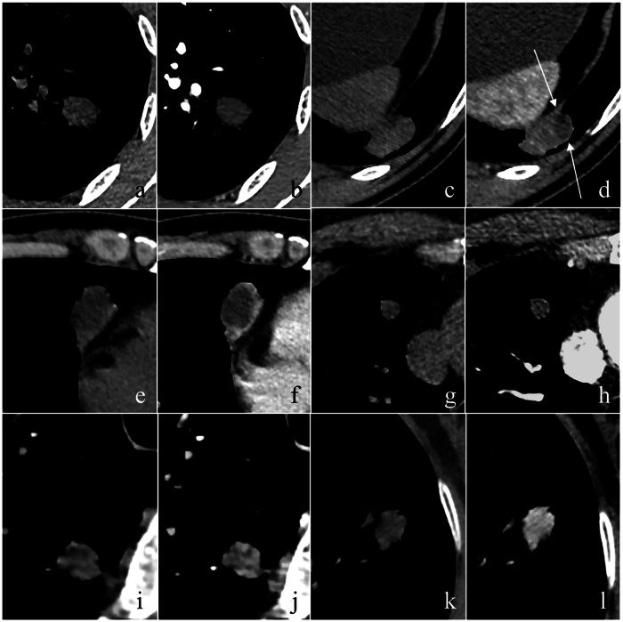
目的:一些肉芽肿表现出与周围性肺癌(plc)相似的CT表现,常导致误诊。本研究旨在确定鉴别其临床及CT的关键指标。材料与方法:回顾性分析2019年10月至2024年7月,204例非典型肉芽肿(无钙化、卫星病变和/或光环征)和204例大小匹配的实心结节(SNs) plc。对患者的临床、非增强和增强CT数据进行评估和比较。结果:多因素分析显示年龄较轻(≤63岁)(优势比[OR], 5.237;95%置信区间[CI], 2.609-10.509;p结论:在年轻(≤63岁)糖尿病患者中,非增强CT表现为低密度(≤21 HU)且非中度增强模式的不规则SN应首先考虑肉芽肿。临床相关性声明:通过评估患者的年龄、基础疾病、病变形状、非增强CT值和增强模式,可以有效地区分非典型肉芽肿和plc。这种综合临床- ct诊断方法可以为指导后续的临床管理提供重要的见解。重点:非典型肉芽肿和plc表现出高度的形态相似性。病灶强化模式是鉴别非典型肉芽肿和plc的关键。非典型肉芽肿典型表现为形状不规则,CT非增强值较低,非中度增强模式。年龄小、有糖尿病史是肉芽肿的关键临床指标。
本文章由计算机程序翻译,如有差异,请以英文原文为准。

Exploring the key clinical and CT characteristics of granulomas mimicking peripheral lung cancers: a case-control study.

Exploring the key clinical and CT characteristics of granulomas mimicking peripheral lung cancers: a case-control study.

Exploring the key clinical and CT characteristics of granulomas mimicking peripheral lung cancers: a case-control study.

Exploring the key clinical and CT characteristics of granulomas mimicking peripheral lung cancers: a case-control study.

Objectives: Some granulomas exhibit CT manifestations similar to those of peripheral lung cancers (PLCs), often resulting in misdiagnosis. This study aimed to identify the key clinical and CT indicators for differentiating them.

Materials and methods: From October 2019 to July 2024, 204 atypical granulomas (no calcification, satellite lesions, and/or halo sign) and 204 size-matched PLCs manifested as solid nodules (SNs) were retrospectively enrolled. Patients' clinical, as well as non-enhanced and contrast-enhanced CT data, were evaluated and compared. The enhancement patterns of lesions included no significant enhancement (▵CT value < 15 HU), rim enhancement, enhancement with well-defined necrosis, heterogeneous enhancement, and homogeneous enhancement. The latter two patterns were further divided into mild (15-29 HU), moderate (30-59 HU), and severe (≥ 60 HU) enhancement.

Results: Multivariate analysis revealed that younger age (≤ 63 years) (odds ratio [OR], 5.237; 95% confidence interval [CI], 2.609-10.509; p < 0.001), history of diabetes (OR, 9.097; 95% CI: 3.056-27.077; p < 0.001), irregular shape (OR, 3.603; 95% CI: 1.594-8.142; p = 0.002), lower non-enhanced CT value (≤ 21 HU) (OR, 7.576; 95% CI: 3.720-15.431; p < 0.001), and non-moderate enhancement patterns (OR, 50.065; 95% CI: 20.293-123.517; p < 0.001) were independent predictors of granulomas. The sensitivity, specificity, and area under the curve of this model were 88.7%, 83.8%, and 0.941 (95% CI: 0.919-0.962) (p < 0.001), respectively.

Conclusions: In younger (≤ 63 years) patients with diabetes, an irregular SN displaying lower density (≤ 21 HU) in non-enhanced CT and a non-moderate enhancement pattern should first be considered as a granuloma.

Clinical relevance statement: Distinguishing atypical granulomas from PLCs can be effectively achieved by evaluating the patient's age, underlying diseases, and the lesion's shape, non-enhanced CT value, and enhancement pattern. This integrated clinical-CT diagnostic approach could provide crucial insights for guiding subsequent clinical management.

Key points: Atypical granulomas and PLCs exhibit high morphological similarity. Enhancement patterns of lesions are crucial for differentiating atypical granulomas and PLCs. Atypical granulomas typically display irregular shape, lower non-enhanced CT value, and non-moderate enhancement pattern. Younger age and a history of diabetes are key clinical indicators of granulomas.

求助全文
通过发布文献求助,成功后即可免费获取论文全文。 去求助
来源期刊
Insights into Imaging
Insights into Imaging Medicine-Radiology, Nuclear Medicine and Imaging
CiteScore
7.30
自引率
4.30%
发文量
182
审稿时长
13 weeks
期刊介绍: Insights into Imaging (I³) is a peer-reviewed open access journal published under the brand SpringerOpen. All content published in the journal is freely available online to anyone, anywhere! I³ continuously updates scientific knowledge and progress in best-practice standards in radiology through the publication of original articles and state-of-the-art reviews and opinions, along with recommendations and statements from the leading radiological societies in Europe. Founded by the European Society of Radiology (ESR), I³ creates a platform for educational material, guidelines and recommendations, and a forum for topics of controversy. A balanced combination of review articles, original papers, short communications from European radiological congresses and information on society matters makes I³ an indispensable source for current information in this field. I³ is owned by the ESR, however authors retain copyright to their article according to the Creative Commons Attribution License (see Copyright and License Agreement). All articles can be read, redistributed and reused for free, as long as the author of the original work is cited properly. The open access fees (article-processing charges) for this journal are kindly sponsored by ESR for all Members. The journal went open access in 2012, which means that all articles published since then are freely available online.
×
引用
GB/T 7714-2015
复制
MLA
复制
APA
复制
导出至
BibTeX EndNote RefMan NoteFirst NoteExpress
×
提示
您的信息不完整,为了账户安全,请先补充。
现在去补充
×
提示
您因"违规操作"
具体请查看互助需知
我知道了
×
提示
确定
请完成安全验证×
copy
已复制链接
快去分享给好友吧!
我知道了
右上角分享
点击右上角分享
0
联系我们:info@booksci.cn Book学术提供免费学术资源搜索服务,方便国内外学者检索中英文文献。致力于提供最便捷和优质的服务体验。 Copyright © 2023 布克学术 All rights reserved.
京ICP备2023020795号-1
ghs 京公网安备 11010802042870号
Book学术文献互助
Book学术文献互助群
群 号:604180095
Book学术官方微信