一项多中心研究表明,接受双相半关节置换术的老年患者术中骨折风险更高,损伤后延迟手术住院时间更长。

IF 3.8 Q2 ORTHOPEDICS
JBJS Open Access Pub Date : 2025-07-17 eCollection Date: 2025-07-01 DOI:10.2106/JBJS.OA.25.00014
Hirotaka Kawakami, Hiromi Sasaki, Junichi Kamizono, Hiroaki Sawazono, Yoshitaka Yamashita, Yusuke Fujimoto, Noboru Taniguchi
{"title":"一项多中心研究表明,接受双相半关节置换术的老年患者术中骨折风险更高,损伤后延迟手术住院时间更长。","authors":"Hirotaka Kawakami, Hiromi Sasaki, Junichi Kamizono, Hiroaki Sawazono, Yoshitaka Yamashita, Yusuke Fujimoto, Noboru Taniguchi","doi":"10.2106/JBJS.OA.25.00014","DOIUrl":null,"url":null,"abstract":"<p><strong>Background: </strong>Intraoperative fractures are a significant complication of bipolar hemiarthroplasty for hip fractures in older patients. Femoral geometry classified as Dorr C is associated with a high risk of intraoperative fractures when a cementless stem is used. However, the impact of the duration from injury to surgery on the risk of intraoperative fractures remains unclear. We hypothesized that a prolonged duration from injury to surgery increases the likelihood of intraoperative fractures. The aim of this study was to evaluate the relationship between the duration from injury to surgery and the occurrence of intraoperative fractures.</p><p><strong>Methods: </strong>This case-control study analyzed 548 patients who underwent bipolar hemiarthroplasty for hip fractures at 2 hospitals between April 2017 and March 2024. The patients were categorized into 2 groups based on the occurrence of intraoperative fractures: the \"intraoperative fracture (+) group\" and \"intraoperative fracture (-) group.\" The relationship between intraoperative fractures and the duration from injury to surgery was assessed.</p><p><strong>Results: </strong>Intraoperative fractures occurred in 37 of 548 cases. The duration from injury to surgery was 6.05 and 3.56 days in the intraoperative fracture (+) and (-) groups, respectively (p = 0.002). The canal flare index (CFI) was 3.30 and 3.73 in the intraoperative fracture (+) and (-) groups, respectively (p < 0.001). Logistic regression analysis revealed that the regression coefficient for the duration from injury to surgery was 0.04 (p = 0.04), and for CFI -1.09 (p < 0.001), both associated with an increased risk of intraoperative fracture. In patients with intraoperative fractures, an investigation into delays in surgery beyond 48 hours showed that more than half of these delays were due to hospital-related concerns.</p><p><strong>Conclusions: </strong>Intraoperative fractures increase with the CFI and duration from injury to surgery. In some cases, medical facilities may be able to reduce this duration. To minimize the risk of intraoperative fractures in bipolar hemiarthroplasty for older patients, reduction of the duration from injury to surgery is essential.</p><p><strong>Level of evidence: </strong>Level III, Case-control study. See Instructions for Authors for a complete description of levels of evidence.</p>","PeriodicalId":36492,"journal":{"name":"JBJS Open Access","volume":"10 3","pages":""},"PeriodicalIF":3.8000,"publicationDate":"2025-07-17","publicationTypes":"Journal Article","fieldsOfStudy":null,"isOpenAccess":false,"openAccessPdf":"https://www.ncbi.nlm.nih.gov/pmc/articles/PMC12262978/pdf/","citationCount":"0","resultStr":"{\"title\":\"Older Patients Undergoing Bipolar Hemiarthroplasty Face a Higher Risk of Intraoperative Fractures and Longer Hospital Stays on Delayed Surgery After Injury: A Multicenter Study.\",\"authors\":\"Hirotaka Kawakami, Hiromi Sasaki, Junichi Kamizono, Hiroaki Sawazono, Yoshitaka Yamashita, Yusuke Fujimoto, Noboru Taniguchi\",\"doi\":\"10.2106/JBJS.OA.25.00014\",\"DOIUrl\":null,\"url\":null,\"abstract\":\"<p><strong>Background: </strong>Intraoperative fractures are a significant complication of bipolar hemiarthroplasty for hip fractures in older patients. Femoral geometry classified as Dorr C is associated with a high risk of intraoperative fractures when a cementless stem is used. However, the impact of the duration from injury to surgery on the risk of intraoperative fractures remains unclear. We hypothesized that a prolonged duration from injury to surgery increases the likelihood of intraoperative fractures. The aim of this study was to evaluate the relationship between the duration from injury to surgery and the occurrence of intraoperative fractures.</p><p><strong>Methods: </strong>This case-control study analyzed 548 patients who underwent bipolar hemiarthroplasty for hip fractures at 2 hospitals between April 2017 and March 2024. The patients were categorized into 2 groups based on the occurrence of intraoperative fractures: the \\\"intraoperative fracture (+) group\\\" and \\\"intraoperative fracture (-) group.\\\" The relationship between intraoperative fractures and the duration from injury to surgery was assessed.</p><p><strong>Results: </strong>Intraoperative fractures occurred in 37 of 548 cases. The duration from injury to surgery was 6.05 and 3.56 days in the intraoperative fracture (+) and (-) groups, respectively (p = 0.002). The canal flare index (CFI) was 3.30 and 3.73 in the intraoperative fracture (+) and (-) groups, respectively (p < 0.001). Logistic regression analysis revealed that the regression coefficient for the duration from injury to surgery was 0.04 (p = 0.04), and for CFI -1.09 (p < 0.001), both associated with an increased risk of intraoperative fracture. In patients with intraoperative fractures, an investigation into delays in surgery beyond 48 hours showed that more than half of these delays were due to hospital-related concerns.</p><p><strong>Conclusions: </strong>Intraoperative fractures increase with the CFI and duration from injury to surgery. In some cases, medical facilities may be able to reduce this duration. To minimize the risk of intraoperative fractures in bipolar hemiarthroplasty for older patients, reduction of the duration from injury to surgery is essential.</p><p><strong>Level of evidence: </strong>Level III, Case-control study. See Instructions for Authors for a complete description of levels of evidence.</p>\",\"PeriodicalId\":36492,\"journal\":{\"name\":\"JBJS Open Access\",\"volume\":\"10 3\",\"pages\":\"\"},\"PeriodicalIF\":3.8000,\"publicationDate\":\"2025-07-17\",\"publicationTypes\":\"Journal Article\",\"fieldsOfStudy\":null,\"isOpenAccess\":false,\"openAccessPdf\":\"https://www.ncbi.nlm.nih.gov/pmc/articles/PMC12262978/pdf/\",\"citationCount\":\"0\",\"resultStr\":null,\"platform\":\"Semanticscholar\",\"paperid\":null,\"PeriodicalName\":\"JBJS Open Access\",\"FirstCategoryId\":\"1085\",\"ListUrlMain\":\"https://doi.org/10.2106/JBJS.OA.25.00014\",\"RegionNum\":0,\"RegionCategory\":null,\"ArticlePicture\":[],\"TitleCN\":null,\"AbstractTextCN\":null,\"PMCID\":null,\"EPubDate\":\"2025/7/1 0:00:00\",\"PubModel\":\"eCollection\",\"JCR\":\"Q2\",\"JCRName\":\"ORTHOPEDICS\",\"Score\":null,\"Total\":0}","platform":"Semanticscholar","paperid":null,"PeriodicalName":"JBJS Open Access","FirstCategoryId":"1085","ListUrlMain":"https://doi.org/10.2106/JBJS.OA.25.00014","RegionNum":0,"RegionCategory":null,"ArticlePicture":[],"TitleCN":null,"AbstractTextCN":null,"PMCID":null,"EPubDate":"2025/7/1 0:00:00","PubModel":"eCollection","JCR":"Q2","JCRName":"ORTHOPEDICS","Score":null,"Total":0}
引用次数: 0

摘要

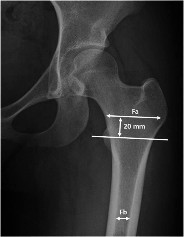
背景:术中骨折是老年髋部骨折双相半关节置换术的重要并发症。股骨几何形状为Dorr C与术中骨折的高风险相关。然而,从受伤到手术的持续时间对术中骨折风险的影响尚不清楚。我们假设从受伤到手术的时间延长会增加术中骨折的可能性。本研究的目的是评估从损伤到手术的时间与术中骨折的发生之间的关系。方法:本病例对照研究分析了2017年4月至2024年3月在2家医院接受双相半关节置换术治疗髋部骨折的548例患者。根据术中骨折的发生情况将患者分为“术中骨折(+)组”和“术中骨折(-)组”。评估术中骨折与损伤至手术时间的关系。结果:548例患者中37例发生术中骨折。术中骨折(+)组和(-)组损伤至手术时间分别为6.05天和3.56天(p = 0.002)。术中骨折(+)组和(-)组的椎管闪耀指数(CFI)分别为3.30和3.73 (p < 0.001)。Logistic回归分析显示,损伤至手术时间的回归系数为0.04 (p = 0.04), CFI的回归系数为-1.09 (p < 0.001),均与术中骨折风险增加相关。在术中骨折患者中,一项对手术延误超过48小时的调查显示,这些延误中有一半以上是由于医院相关的问题。结论:术中骨折随CFI和损伤至手术时间的延长而增加。在某些情况下,医疗设施可能能够缩短这一持续时间。为了尽量减少老年患者双相半关节置换术中骨折的风险,减少从损伤到手术的持续时间至关重要。证据等级:III级,病例对照研究。有关证据水平的完整描述,请参见作者说明。
本文章由计算机程序翻译,如有差异,请以英文原文为准。

Older Patients Undergoing Bipolar Hemiarthroplasty Face a Higher Risk of Intraoperative Fractures and Longer Hospital Stays on Delayed Surgery After Injury: A Multicenter Study.

Older Patients Undergoing Bipolar Hemiarthroplasty Face a Higher Risk of Intraoperative Fractures and Longer Hospital Stays on Delayed Surgery After Injury: A Multicenter Study.

Older Patients Undergoing Bipolar Hemiarthroplasty Face a Higher Risk of Intraoperative Fractures and Longer Hospital Stays on Delayed Surgery After Injury: A Multicenter Study.

Older Patients Undergoing Bipolar Hemiarthroplasty Face a Higher Risk of Intraoperative Fractures and Longer Hospital Stays on Delayed Surgery After Injury: A Multicenter Study.

Background: Intraoperative fractures are a significant complication of bipolar hemiarthroplasty for hip fractures in older patients. Femoral geometry classified as Dorr C is associated with a high risk of intraoperative fractures when a cementless stem is used. However, the impact of the duration from injury to surgery on the risk of intraoperative fractures remains unclear. We hypothesized that a prolonged duration from injury to surgery increases the likelihood of intraoperative fractures. The aim of this study was to evaluate the relationship between the duration from injury to surgery and the occurrence of intraoperative fractures.

Methods: This case-control study analyzed 548 patients who underwent bipolar hemiarthroplasty for hip fractures at 2 hospitals between April 2017 and March 2024. The patients were categorized into 2 groups based on the occurrence of intraoperative fractures: the "intraoperative fracture (+) group" and "intraoperative fracture (-) group." The relationship between intraoperative fractures and the duration from injury to surgery was assessed.

Results: Intraoperative fractures occurred in 37 of 548 cases. The duration from injury to surgery was 6.05 and 3.56 days in the intraoperative fracture (+) and (-) groups, respectively (p = 0.002). The canal flare index (CFI) was 3.30 and 3.73 in the intraoperative fracture (+) and (-) groups, respectively (p < 0.001). Logistic regression analysis revealed that the regression coefficient for the duration from injury to surgery was 0.04 (p = 0.04), and for CFI -1.09 (p < 0.001), both associated with an increased risk of intraoperative fracture. In patients with intraoperative fractures, an investigation into delays in surgery beyond 48 hours showed that more than half of these delays were due to hospital-related concerns.

Conclusions: Intraoperative fractures increase with the CFI and duration from injury to surgery. In some cases, medical facilities may be able to reduce this duration. To minimize the risk of intraoperative fractures in bipolar hemiarthroplasty for older patients, reduction of the duration from injury to surgery is essential.

Level of evidence: Level III, Case-control study. See Instructions for Authors for a complete description of levels of evidence.

求助全文
通过发布文献求助,成功后即可免费获取论文全文。 去求助
来源期刊
JBJS Open Access
JBJS Open Access Medicine-Surgery
CiteScore
5.00
自引率
0.00%
发文量
77
审稿时长
6 weeks
×
引用
GB/T 7714-2015
复制
MLA
复制
APA
复制
导出至
BibTeX EndNote RefMan NoteFirst NoteExpress
×
提示
您的信息不完整,为了账户安全,请先补充。
现在去补充
×
提示
您因"违规操作"
具体请查看互助需知
我知道了
×
提示
确定
请完成安全验证×
copy
已复制链接
快去分享给好友吧!
我知道了
右上角分享
点击右上角分享
0
联系我们:info@booksci.cn Book学术提供免费学术资源搜索服务,方便国内外学者检索中英文文献。致力于提供最便捷和优质的服务体验。 Copyright © 2023 布克学术 All rights reserved.
京ICP备2023020795号-1
ghs 京公网安备 11010802042870号
Book学术文献互助
Book学术文献互助群
群 号:604180095
Book学术官方微信