肝阻塞到高流量肝内动脉门静脉瘘需要联合介入治疗。

IF 0.5 Q4 RADIOLOGY, NUCLEAR MEDICINE & MEDICAL IMAGING
BJR Case Reports Pub Date : 2025-07-04 eCollection Date: 2025-07-01 DOI:10.1093/bjrcr/uaaf034
Michele Citone, Antonluca Annese, Giacomo Gabbani, Francesco Pindozzi, Gianmarco Falcone, Emanuele Casamassima, Antonella Santolupo, Silvia Aspite, Lucia Ragozzino, Margherita Falcini, Filippo Biagi, Martina Rosi, Valentina Adotti, Gabriele Dragoni, Davide Roccarina, Tommaso Innocenti, Luca Messerini, Stefano Gitto, Francesco Mondaini, Fabio Marra, Fabrizio Fanelli, Francesco Vizzutti
{"title":"肝阻塞到高流量肝内动脉门静脉瘘需要联合介入治疗。","authors":"Michele Citone, Antonluca Annese, Giacomo Gabbani, Francesco Pindozzi, Gianmarco Falcone, Emanuele Casamassima, Antonella Santolupo, Silvia Aspite, Lucia Ragozzino, Margherita Falcini, Filippo Biagi, Martina Rosi, Valentina Adotti, Gabriele Dragoni, Davide Roccarina, Tommaso Innocenti, Luca Messerini, Stefano Gitto, Francesco Mondaini, Fabio Marra, Fabrizio Fanelli, Francesco Vizzutti","doi":"10.1093/bjrcr/uaaf034","DOIUrl":null,"url":null,"abstract":"<p><p>Transjugular intra-hepatic porto-systemic shunt (TIPS) is a proven strategy for the management of portal hypertension (PH) complications. Here, we report on a complex case of haemorrhagic shock due to the rupture of gastro-oesophageal varices in the context of PH originally sustained by idiopathic, likely congenital, high-flow intrahepatic arterioportal fistulas (IAPFs) preceded by extensive bowel ischaemia. While the occlusion of the IAPFs potentially controlled the steal of arterial splanchnic blood into the portal circulation, it failed to manage PH related bleeding, necessitating the placement of a salvage TIPS. Porta-caval pressure gradient persisted markedly increased after IAPFs occlusion, indicating an independent intra-hepatic component causing PH. Moreover, hepatic histology demonstrated a pre-sinusoidal/sinusoidal barrage response of the hepatic parenchyma secondary to long-standing IAPFs, causing the onset of an intra-hepatic component of PH. For these reasons, the combined interventional approach led to resolution of the refractory portal hypertensive bleeding, avoiding fatal evolution of diffuse bowel infarction.</p>","PeriodicalId":45216,"journal":{"name":"BJR Case Reports","volume":"11 4","pages":"uaaf034"},"PeriodicalIF":0.5000,"publicationDate":"2025-07-04","publicationTypes":"Journal Article","fieldsOfStudy":null,"isOpenAccess":false,"openAccessPdf":"https://www.ncbi.nlm.nih.gov/pmc/articles/PMC12270259/pdf/","citationCount":"0","resultStr":"{\"title\":\"Hepatic barrage to high-flow, intra-hepatic arteroportal fistulas requiring combined interventional approach.\",\"authors\":\"Michele Citone, Antonluca Annese, Giacomo Gabbani, Francesco Pindozzi, Gianmarco Falcone, Emanuele Casamassima, Antonella Santolupo, Silvia Aspite, Lucia Ragozzino, Margherita Falcini, Filippo Biagi, Martina Rosi, Valentina Adotti, Gabriele Dragoni, Davide Roccarina, Tommaso Innocenti, Luca Messerini, Stefano Gitto, Francesco Mondaini, Fabio Marra, Fabrizio Fanelli, Francesco Vizzutti\",\"doi\":\"10.1093/bjrcr/uaaf034\",\"DOIUrl\":null,\"url\":null,\"abstract\":\"<p><p>Transjugular intra-hepatic porto-systemic shunt (TIPS) is a proven strategy for the management of portal hypertension (PH) complications. Here, we report on a complex case of haemorrhagic shock due to the rupture of gastro-oesophageal varices in the context of PH originally sustained by idiopathic, likely congenital, high-flow intrahepatic arterioportal fistulas (IAPFs) preceded by extensive bowel ischaemia. While the occlusion of the IAPFs potentially controlled the steal of arterial splanchnic blood into the portal circulation, it failed to manage PH related bleeding, necessitating the placement of a salvage TIPS. Porta-caval pressure gradient persisted markedly increased after IAPFs occlusion, indicating an independent intra-hepatic component causing PH. Moreover, hepatic histology demonstrated a pre-sinusoidal/sinusoidal barrage response of the hepatic parenchyma secondary to long-standing IAPFs, causing the onset of an intra-hepatic component of PH. For these reasons, the combined interventional approach led to resolution of the refractory portal hypertensive bleeding, avoiding fatal evolution of diffuse bowel infarction.</p>\",\"PeriodicalId\":45216,\"journal\":{\"name\":\"BJR Case Reports\",\"volume\":\"11 4\",\"pages\":\"uaaf034\"},\"PeriodicalIF\":0.5000,\"publicationDate\":\"2025-07-04\",\"publicationTypes\":\"Journal Article\",\"fieldsOfStudy\":null,\"isOpenAccess\":false,\"openAccessPdf\":\"https://www.ncbi.nlm.nih.gov/pmc/articles/PMC12270259/pdf/\",\"citationCount\":\"0\",\"resultStr\":null,\"platform\":\"Semanticscholar\",\"paperid\":null,\"PeriodicalName\":\"BJR Case Reports\",\"FirstCategoryId\":\"1085\",\"ListUrlMain\":\"https://doi.org/10.1093/bjrcr/uaaf034\",\"RegionNum\":0,\"RegionCategory\":null,\"ArticlePicture\":[],\"TitleCN\":null,\"AbstractTextCN\":null,\"PMCID\":null,\"EPubDate\":\"2025/7/1 0:00:00\",\"PubModel\":\"eCollection\",\"JCR\":\"Q4\",\"JCRName\":\"RADIOLOGY, NUCLEAR MEDICINE & MEDICAL IMAGING\",\"Score\":null,\"Total\":0}","platform":"Semanticscholar","paperid":null,"PeriodicalName":"BJR Case Reports","FirstCategoryId":"1085","ListUrlMain":"https://doi.org/10.1093/bjrcr/uaaf034","RegionNum":0,"RegionCategory":null,"ArticlePicture":[],"TitleCN":null,"AbstractTextCN":null,"PMCID":null,"EPubDate":"2025/7/1 0:00:00","PubModel":"eCollection","JCR":"Q4","JCRName":"RADIOLOGY, NUCLEAR MEDICINE & MEDICAL IMAGING","Score":null,"Total":0}
引用次数: 0

摘要

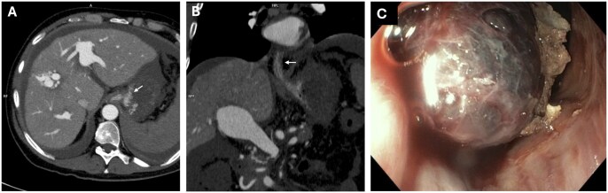
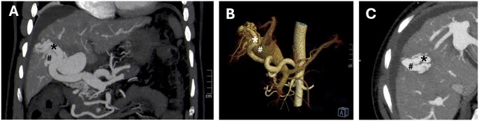
经颈静脉肝内门静脉-全身分流术(TIPS)是治疗门静脉高压(PH)并发症的有效方法。在这里,我们报告了一个复杂的病例,由于胃食管静脉曲张破裂引起的出血性休克,在PH的背景下,最初是由特发性的,可能是先天性的,高流量肝内动脉门静脉瘘(IAPFs)持续,然后是广泛的肠缺血。虽然iapf的闭塞有可能控制内脏动脉血液进入门静脉循环,但它无法控制PH相关出血,因此需要放置补补性TIPS。门静脉压力梯度在IAPFs闭塞后持续显著增加,表明独立的肝内成分导致ph。此外,肝脏组织学显示,长期IAPFs继发于肝实质的窦前/窦前阻塞反应,导致肝内ph的发作。基于这些原因,联合介入方法导致了难愈的门静脉高压出血的解决。避免弥漫性肠梗死的致命性发展。
本文章由计算机程序翻译,如有差异,请以英文原文为准。

Hepatic barrage to high-flow, intra-hepatic arteroportal fistulas requiring combined interventional approach.

Hepatic barrage to high-flow, intra-hepatic arteroportal fistulas requiring combined interventional approach.

Hepatic barrage to high-flow, intra-hepatic arteroportal fistulas requiring combined interventional approach.

Hepatic barrage to high-flow, intra-hepatic arteroportal fistulas requiring combined interventional approach.

Transjugular intra-hepatic porto-systemic shunt (TIPS) is a proven strategy for the management of portal hypertension (PH) complications. Here, we report on a complex case of haemorrhagic shock due to the rupture of gastro-oesophageal varices in the context of PH originally sustained by idiopathic, likely congenital, high-flow intrahepatic arterioportal fistulas (IAPFs) preceded by extensive bowel ischaemia. While the occlusion of the IAPFs potentially controlled the steal of arterial splanchnic blood into the portal circulation, it failed to manage PH related bleeding, necessitating the placement of a salvage TIPS. Porta-caval pressure gradient persisted markedly increased after IAPFs occlusion, indicating an independent intra-hepatic component causing PH. Moreover, hepatic histology demonstrated a pre-sinusoidal/sinusoidal barrage response of the hepatic parenchyma secondary to long-standing IAPFs, causing the onset of an intra-hepatic component of PH. For these reasons, the combined interventional approach led to resolution of the refractory portal hypertensive bleeding, avoiding fatal evolution of diffuse bowel infarction.

求助全文
通过发布文献求助,成功后即可免费获取论文全文。 去求助
来源期刊
BJR Case Reports
BJR Case Reports RADIOLOGY, NUCLEAR MEDICINE & MEDICAL IMAGING-
自引率
0.00%
发文量
77
审稿时长
11 weeks
×
引用
GB/T 7714-2015
复制
MLA
复制
APA
复制
导出至
BibTeX EndNote RefMan NoteFirst NoteExpress
×
提示
您的信息不完整,为了账户安全,请先补充。
现在去补充
×
提示
您因"违规操作"
具体请查看互助需知
我知道了
×
提示
确定
请完成安全验证×
copy
已复制链接
快去分享给好友吧!
我知道了
右上角分享
点击右上角分享
0
联系我们:info@booksci.cn Book学术提供免费学术资源搜索服务,方便国内外学者检索中英文文献。致力于提供最便捷和优质的服务体验。 Copyright © 2023 布克学术 All rights reserved.
京ICP备2023020795号-1
ghs 京公网安备 11010802042870号
Book学术文献互助
Book学术文献互助群
群 号:604180095
Book学术官方微信