股骨柱保留干(CFP)是一种骨骺稳定假体吗?705例长期单中心系列随访。

IF 2.1 2区 医学 Q2 ORTHOPEDICS
Orthopaedic Surgery Pub Date : 2025-08-01 Epub Date: 2025-07-18 DOI:10.1111/os.70109
Yansong Liu, Yongbo Ma, Xuzhuang Ding, Jiangqi Chang, Mengnan Li, Tao Wu
{"title":"股骨柱保留干(CFP)是一种骨骺稳定假体吗?705例长期单中心系列随访。","authors":"Yansong Liu, Yongbo Ma, Xuzhuang Ding, Jiangqi Chang, Mengnan Li, Tao Wu","doi":"10.1111/os.70109","DOIUrl":null,"url":null,"abstract":"<p><strong>Background: </strong>The global increase in total hip arthroplasty (THA) has led to widespread use of cementless femoral stems. The Collum Femoris Preserving (CFP) stem, initially designed as an epiphyseal-stabilized prosthesis, aims to preserve proximal bone and reduce stress shielding. However, long-term observations have revealed unexpected proximal bone resorption and distal sclerosis, challenging this classification. This study aims to reassess the fixation pattern and long-term complications of CFP stems to inform clinical decision-making.</p><p><strong>Methods: </strong>Between 2006 and 2012, 497 patients (705 hips) were included. The primary outcomes included prosthesis survival, periprosthetic bone remodeling, and clinical outcomes, assessed using the Harris Hip Score (HHS). Kaplan-Meier survival analysis was performed, with endpoints of prosthesis loosening and reoperation. Radiographic data were analyzed to evaluate periprosthetic bone remodeling.</p><p><strong>Results: </strong>A total of 497 patients (705 hips) with a mean follow-up of 10.4 years were included. The long-term survival rate of the CFP stem was 95.32%, with a 97.2% survival rate for aseptic loosening and 95.5% for reoperation. Complications included 2.84% aseptic loosening, 0.99% infection, 0.99% periprosthetic fractures, 0.57% dislocation, and 1.42% heterotopic ossification. The CFP stem, which has not shown signs of aseptic loosening, exhibits radiographic features characteristic of a distal-stabilized prosthesis.</p><p><strong>Conclusion: </strong>The long-term survival rate of the CFP prosthesis was 95.32%. Radiographic findings indicate that the CFP prosthesis should be considered a distal-stabilized prosthesis rather than the traditionally regarded epiphyseal-stabilized prosthesis.</p>","PeriodicalId":19566,"journal":{"name":"Orthopaedic Surgery","volume":" ","pages":"2385-2396"},"PeriodicalIF":2.1000,"publicationDate":"2025-08-01","publicationTypes":"Journal Article","fieldsOfStudy":null,"isOpenAccess":false,"openAccessPdf":"https://www.ncbi.nlm.nih.gov/pmc/articles/PMC12318693/pdf/","citationCount":"0","resultStr":"{\"title\":\"Is Collum Femoris Preserving Stem (CFP) an Epiphyseal-Stabilized Prosthesis? A Long-Term Single-Center Series Follow Up of 705 Cases.\",\"authors\":\"Yansong Liu, Yongbo Ma, Xuzhuang Ding, Jiangqi Chang, Mengnan Li, Tao Wu\",\"doi\":\"10.1111/os.70109\",\"DOIUrl\":null,\"url\":null,\"abstract\":\"<p><strong>Background: </strong>The global increase in total hip arthroplasty (THA) has led to widespread use of cementless femoral stems. The Collum Femoris Preserving (CFP) stem, initially designed as an epiphyseal-stabilized prosthesis, aims to preserve proximal bone and reduce stress shielding. However, long-term observations have revealed unexpected proximal bone resorption and distal sclerosis, challenging this classification. This study aims to reassess the fixation pattern and long-term complications of CFP stems to inform clinical decision-making.</p><p><strong>Methods: </strong>Between 2006 and 2012, 497 patients (705 hips) were included. The primary outcomes included prosthesis survival, periprosthetic bone remodeling, and clinical outcomes, assessed using the Harris Hip Score (HHS). Kaplan-Meier survival analysis was performed, with endpoints of prosthesis loosening and reoperation. Radiographic data were analyzed to evaluate periprosthetic bone remodeling.</p><p><strong>Results: </strong>A total of 497 patients (705 hips) with a mean follow-up of 10.4 years were included. The long-term survival rate of the CFP stem was 95.32%, with a 97.2% survival rate for aseptic loosening and 95.5% for reoperation. Complications included 2.84% aseptic loosening, 0.99% infection, 0.99% periprosthetic fractures, 0.57% dislocation, and 1.42% heterotopic ossification. The CFP stem, which has not shown signs of aseptic loosening, exhibits radiographic features characteristic of a distal-stabilized prosthesis.</p><p><strong>Conclusion: </strong>The long-term survival rate of the CFP prosthesis was 95.32%. Radiographic findings indicate that the CFP prosthesis should be considered a distal-stabilized prosthesis rather than the traditionally regarded epiphyseal-stabilized prosthesis.</p>\",\"PeriodicalId\":19566,\"journal\":{\"name\":\"Orthopaedic Surgery\",\"volume\":\" \",\"pages\":\"2385-2396\"},\"PeriodicalIF\":2.1000,\"publicationDate\":\"2025-08-01\",\"publicationTypes\":\"Journal Article\",\"fieldsOfStudy\":null,\"isOpenAccess\":false,\"openAccessPdf\":\"https://www.ncbi.nlm.nih.gov/pmc/articles/PMC12318693/pdf/\",\"citationCount\":\"0\",\"resultStr\":null,\"platform\":\"Semanticscholar\",\"paperid\":null,\"PeriodicalName\":\"Orthopaedic Surgery\",\"FirstCategoryId\":\"3\",\"ListUrlMain\":\"https://doi.org/10.1111/os.70109\",\"RegionNum\":2,\"RegionCategory\":\"医学\",\"ArticlePicture\":[],\"TitleCN\":null,\"AbstractTextCN\":null,\"PMCID\":null,\"EPubDate\":\"2025/7/18 0:00:00\",\"PubModel\":\"Epub\",\"JCR\":\"Q2\",\"JCRName\":\"ORTHOPEDICS\",\"Score\":null,\"Total\":0}","platform":"Semanticscholar","paperid":null,"PeriodicalName":"Orthopaedic Surgery","FirstCategoryId":"3","ListUrlMain":"https://doi.org/10.1111/os.70109","RegionNum":2,"RegionCategory":"医学","ArticlePicture":[],"TitleCN":null,"AbstractTextCN":null,"PMCID":null,"EPubDate":"2025/7/18 0:00:00","PubModel":"Epub","JCR":"Q2","JCRName":"ORTHOPEDICS","Score":null,"Total":0}
引用次数: 0

摘要

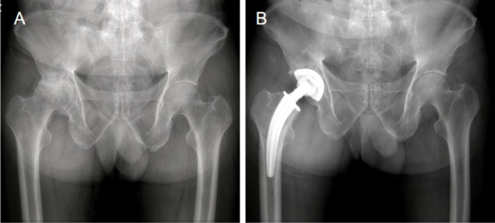
背景:全球全髋关节置换术(THA)的增加导致无水泥股骨干的广泛使用。colum Femoris Preserving (CFP)柄最初被设计为一种骨骺稳定假体,旨在保护近端骨并减少应力屏蔽。然而,长期观察显示意想不到的近端骨吸收和远端硬化,挑战了这种分类。本研究旨在重新评估CFP系统的固定模式和长期并发症,为临床决策提供依据。方法:2006年至2012年,纳入497例患者(705髋)。主要结果包括假体存活、假体周围骨重塑和临床结果,采用Harris髋关节评分(HHS)进行评估。Kaplan-Meier生存分析以假体松动和再手术为终点。影像学资料分析评估假体周围骨重塑。结果:共纳入497例患者(705髋),平均随访10.4年。CFP茎的长期生存率为95.32%,无菌性松动生存率为97.2%,再手术生存率为95.5%。并发症包括2.84%无菌性松动,0.99%感染,0.99%假体周围骨折,0.57%脱位,1.42%异位骨化。CFP假体没有无菌性松动的迹象,显示出远端稳定假体的影像学特征。结论:CFP假体的长期存活率为95.32%。影像学结果表明,CFP假体应被视为远端稳定假体,而不是传统意义上的骨骺稳定假体。
本文章由计算机程序翻译,如有差异,请以英文原文为准。

Is Collum Femoris Preserving Stem (CFP) an Epiphyseal-Stabilized Prosthesis? A Long-Term Single-Center Series Follow Up of 705 Cases.

Is Collum Femoris Preserving Stem (CFP) an Epiphyseal-Stabilized Prosthesis? A Long-Term Single-Center Series Follow Up of 705 Cases.

Is Collum Femoris Preserving Stem (CFP) an Epiphyseal-Stabilized Prosthesis? A Long-Term Single-Center Series Follow Up of 705 Cases.

Is Collum Femoris Preserving Stem (CFP) an Epiphyseal-Stabilized Prosthesis? A Long-Term Single-Center Series Follow Up of 705 Cases.

Background: The global increase in total hip arthroplasty (THA) has led to widespread use of cementless femoral stems. The Collum Femoris Preserving (CFP) stem, initially designed as an epiphyseal-stabilized prosthesis, aims to preserve proximal bone and reduce stress shielding. However, long-term observations have revealed unexpected proximal bone resorption and distal sclerosis, challenging this classification. This study aims to reassess the fixation pattern and long-term complications of CFP stems to inform clinical decision-making.

Methods: Between 2006 and 2012, 497 patients (705 hips) were included. The primary outcomes included prosthesis survival, periprosthetic bone remodeling, and clinical outcomes, assessed using the Harris Hip Score (HHS). Kaplan-Meier survival analysis was performed, with endpoints of prosthesis loosening and reoperation. Radiographic data were analyzed to evaluate periprosthetic bone remodeling.

Results: A total of 497 patients (705 hips) with a mean follow-up of 10.4 years were included. The long-term survival rate of the CFP stem was 95.32%, with a 97.2% survival rate for aseptic loosening and 95.5% for reoperation. Complications included 2.84% aseptic loosening, 0.99% infection, 0.99% periprosthetic fractures, 0.57% dislocation, and 1.42% heterotopic ossification. The CFP stem, which has not shown signs of aseptic loosening, exhibits radiographic features characteristic of a distal-stabilized prosthesis.

Conclusion: The long-term survival rate of the CFP prosthesis was 95.32%. Radiographic findings indicate that the CFP prosthesis should be considered a distal-stabilized prosthesis rather than the traditionally regarded epiphyseal-stabilized prosthesis.

求助全文
通过发布文献求助,成功后即可免费获取论文全文。 去求助
来源期刊
Orthopaedic Surgery
Orthopaedic Surgery ORTHOPEDICS-
CiteScore
3.40
自引率
14.30%
发文量
374
审稿时长
20 weeks
期刊介绍: Orthopaedic Surgery (OS) is the official journal of the Chinese Orthopaedic Association, focusing on all aspects of orthopaedic technique and surgery. The journal publishes peer-reviewed articles in the following categories: Original Articles, Clinical Articles, Review Articles, Guidelines, Editorials, Commentaries, Surgical Techniques, Case Reports and Meeting Reports.
×
引用
GB/T 7714-2015
复制
MLA
复制
APA
复制
导出至
BibTeX EndNote RefMan NoteFirst NoteExpress
×
提示
您的信息不完整,为了账户安全,请先补充。
现在去补充
×
提示
您因"违规操作"
具体请查看互助需知
我知道了
×
提示
确定
请完成安全验证×
copy
已复制链接
快去分享给好友吧!
我知道了
右上角分享
点击右上角分享
0
联系我们:info@booksci.cn Book学术提供免费学术资源搜索服务,方便国内外学者检索中英文文献。致力于提供最便捷和优质的服务体验。 Copyright © 2023 布克学术 All rights reserved.
京ICP备2023020795号-1
ghs 京公网安备 11010802042870号
Book学术文献互助
Book学术文献互助群
群 号:604180095
Book学术官方微信