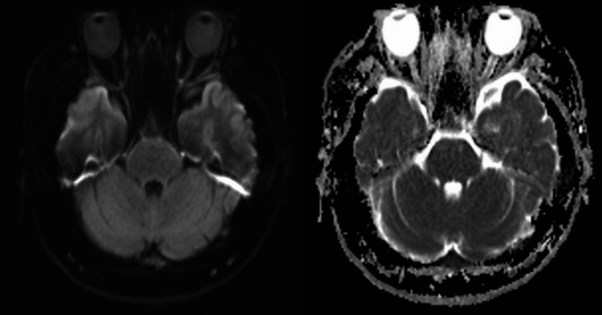
急性单侧视力丧失是混合表型急性白血病的首要表现。

IF 2 Q2 EMERGENCY MEDICINE
Chelsea Tse Woon Ong, Huiling Huang, Choon Peng Jeremy Wee
{"title":"急性单侧视力丧失是混合表型急性白血病的首要表现。","authors":"Chelsea Tse Woon Ong, Huiling Huang, Choon Peng Jeremy Wee","doi":"10.1186/s12245-025-00938-9","DOIUrl":null,"url":null,"abstract":"<p><p>Central retinal artery occlusion is typically a thromboembolic phenomenon associated with atherosclerotic disease. This case presentation describes a rare case of CRAO in a young male secondary to hyperviscosity syndrome as a first symptom ofMixed Phenotype Acute Leukaemia. It is imperative for emergency physicians to recognise an atypical presentation of painless vision loss and evaluate such patients thoroughly, ensuring timely and vision sparing interventions.</p>","PeriodicalId":13967,"journal":{"name":"International Journal of Emergency Medicine","volume":"18 1","pages":"133"},"PeriodicalIF":2.0000,"publicationDate":"2025-07-17","publicationTypes":"Journal Article","fieldsOfStudy":null,"isOpenAccess":false,"openAccessPdf":"https://www.ncbi.nlm.nih.gov/pmc/articles/PMC12273469/pdf/","citationCount":"0","resultStr":"{\"title\":\"Acute unilateral visual loss as a first presentation of mixed phenotype acute leukaemia.\",\"authors\":\"Chelsea Tse Woon Ong, Huiling Huang, Choon Peng Jeremy Wee\",\"doi\":\"10.1186/s12245-025-00938-9\",\"DOIUrl\":null,\"url\":null,\"abstract\":\"<p><p>Central retinal artery occlusion is typically a thromboembolic phenomenon associated with atherosclerotic disease. This case presentation describes a rare case of CRAO in a young male secondary to hyperviscosity syndrome as a first symptom ofMixed Phenotype Acute Leukaemia. It is imperative for emergency physicians to recognise an atypical presentation of painless vision loss and evaluate such patients thoroughly, ensuring timely and vision sparing interventions.</p>\",\"PeriodicalId\":13967,\"journal\":{\"name\":\"International Journal of Emergency Medicine\",\"volume\":\"18 1\",\"pages\":\"133\"},\"PeriodicalIF\":2.0000,\"publicationDate\":\"2025-07-17\",\"publicationTypes\":\"Journal Article\",\"fieldsOfStudy\":null,\"isOpenAccess\":false,\"openAccessPdf\":\"https://www.ncbi.nlm.nih.gov/pmc/articles/PMC12273469/pdf/\",\"citationCount\":\"0\",\"resultStr\":null,\"platform\":\"Semanticscholar\",\"paperid\":null,\"PeriodicalName\":\"International Journal of Emergency Medicine\",\"FirstCategoryId\":\"1085\",\"ListUrlMain\":\"https://doi.org/10.1186/s12245-025-00938-9\",\"RegionNum\":0,\"RegionCategory\":null,\"ArticlePicture\":[],\"TitleCN\":null,\"AbstractTextCN\":null,\"PMCID\":null,\"EPubDate\":\"\",\"PubModel\":\"\",\"JCR\":\"Q2\",\"JCRName\":\"EMERGENCY MEDICINE\",\"Score\":null,\"Total\":0}","platform":"Semanticscholar","paperid":null,"PeriodicalName":"International Journal of Emergency Medicine","FirstCategoryId":"1085","ListUrlMain":"https://doi.org/10.1186/s12245-025-00938-9","RegionNum":0,"RegionCategory":null,"ArticlePicture":[],"TitleCN":null,"AbstractTextCN":null,"PMCID":null,"EPubDate":"","PubModel":"","JCR":"Q2","JCRName":"EMERGENCY MEDICINE","Score":null,"Total":0}
引用次数: 0

摘要

视网膜中央动脉闭塞是典型的与动脉粥样硬化性疾病相关的血栓栓塞现象。本病例报告描述了一例罕见的CRAO病例,年轻男性继发于高粘度综合征,作为混合表型急性白血病的第一症状。急诊医生必须认识到非典型的无痛性视力丧失的表现,并彻底评估这类患者,确保及时和视力保护干预。
本文章由计算机程序翻译,如有差异,请以英文原文为准。

Acute unilateral visual loss as a first presentation of mixed phenotype acute leukaemia.

Acute unilateral visual loss as a first presentation of mixed phenotype acute leukaemia.

Acute unilateral visual loss as a first presentation of mixed phenotype acute leukaemia.

Acute unilateral visual loss as a first presentation of mixed phenotype acute leukaemia.

Central retinal artery occlusion is typically a thromboembolic phenomenon associated with atherosclerotic disease. This case presentation describes a rare case of CRAO in a young male secondary to hyperviscosity syndrome as a first symptom ofMixed Phenotype Acute Leukaemia. It is imperative for emergency physicians to recognise an atypical presentation of painless vision loss and evaluate such patients thoroughly, ensuring timely and vision sparing interventions.

求助全文
通过发布文献求助,成功后即可免费获取论文全文。 去求助
来源期刊
CiteScore
4.60
自引率
0.00%
发文量
63
审稿时长
13 weeks
期刊介绍: The aim of the journal is to bring to light the various clinical advancements and research developments attained over the world and thus help the specialty forge ahead. It is directed towards physicians and medical personnel undergoing training or working within the field of Emergency Medicine. Medical students who are interested in pursuing a career in Emergency Medicine will also benefit from the journal. This is particularly useful for trainees in countries where the specialty is still in its infancy. Disciplines covered will include interesting clinical cases, the latest evidence-based practice and research developments in Emergency medicine including emergency pediatrics.
×
引用
GB/T 7714-2015
复制
MLA
复制
APA
复制
导出至
BibTeX EndNote RefMan NoteFirst NoteExpress
×
提示
您的信息不完整,为了账户安全,请先补充。
现在去补充
×
提示
您因"违规操作"
具体请查看互助需知
我知道了
×
提示
确定
请完成安全验证×
copy
已复制链接
快去分享给好友吧!
我知道了
右上角分享
点击右上角分享
0
联系我们:info@booksci.cn Book学术提供免费学术资源搜索服务,方便国内外学者检索中英文文献。致力于提供最便捷和优质的服务体验。 Copyright © 2023 布克学术 All rights reserved.
京ICP备2023020795号-1
ghs 京公网安备 11010802042870号
Book学术文献互助
Book学术文献互助群
群 号:604180095
Book学术官方微信