白细胞介素-11促进肺腺癌肿瘤发生和免疫逃逸

IF 6.8 1区 医学 Q1 MEDICINE, RESEARCH & EXPERIMENTAL
Cristina Cirauqui, Laura Ojeda, Itziar Otano, Irene Pazos, Alba Santos, Eva M. Garrido-Martín, Patricia Yagüe, Javier Ramos-Paradas, Sonia Molina-Pinelo, Giovanna Roncador, José Luis Solórzano, M. Teresa Muñoz, Patricia Cozar, Patricia Plaza, Rocío Suárez, Marta Jiménez, Roberto Moreno, Arantxa Rosado, Pablo Gámez, Ricardo García-Luján, Jon Zugazagoitia, E. Alejandro Sweet-Cordero, Mariano Barbacid, Amancio Carnero, Irene Ferrer, Luis Paz-Ares
{"title":"白细胞介素-11促进肺腺癌肿瘤发生和免疫逃逸","authors":"Cristina Cirauqui,&nbsp;Laura Ojeda,&nbsp;Itziar Otano,&nbsp;Irene Pazos,&nbsp;Alba Santos,&nbsp;Eva M. Garrido-Martín,&nbsp;Patricia Yagüe,&nbsp;Javier Ramos-Paradas,&nbsp;Sonia Molina-Pinelo,&nbsp;Giovanna Roncador,&nbsp;José Luis Solórzano,&nbsp;M. Teresa Muñoz,&nbsp;Patricia Cozar,&nbsp;Patricia Plaza,&nbsp;Rocío Suárez,&nbsp;Marta Jiménez,&nbsp;Roberto Moreno,&nbsp;Arantxa Rosado,&nbsp;Pablo Gámez,&nbsp;Ricardo García-Luján,&nbsp;Jon Zugazagoitia,&nbsp;E. Alejandro Sweet-Cordero,&nbsp;Mariano Barbacid,&nbsp;Amancio Carnero,&nbsp;Irene Ferrer,&nbsp;Luis Paz-Ares","doi":"10.1002/ctm2.70374","DOIUrl":null,"url":null,"abstract":"<div>\n \n \n <section>\n \n <h3> Rationale</h3>\n \n <p>Interleukin-11 (IL-11) has emerged as a significant player in tumourigenesis, with implications across various cancer types. However, its specific role in driving tumour progression in lung adenocarcinoma (LUAD) remains elusive. IL-11's multifaceted impact on both tumour cells and the tumour microenvironment underscores its potential as a therapeutic target in LUAD. This study aims to unravel the involvement of IL-11 in LUAD progression and its influence on the tumour microenvironment.</p>\n </section>\n \n <section>\n \n <h3> Methods</h3>\n \n <p>Here, we used transcriptomic and digital spatial profiling analyses together with clinic data from two retrospective LUAD patient cohorts. LUAD cell lines genetically engineered to overexpress or to silence IL-11 or its receptor (IL-11RA) were used for in vitro functional analysis and for in vivo experiments. Additionally, we used three different in vivo models: patient-derived xenografts (PDXs), tobacco-exposed mice and genetically engineered mouse models. A neutralising monoclonal antibody against IL-11RA was produced and tested.</p>\n </section>\n \n <section>\n \n <h3> Results</h3>\n \n <p>Our findings revealed a pivotal role for IL-11 in driving tumourigenesis across various mouse models, highlighting its capacity to modulate tumour immunity towards an immunosuppressive microenvironment. Moreover, we observed a correlation between IL-11 expression and poorer patient outcomes in LUAD. Notably, therapeutic targeting of IL-11RA with a neutralising antibody demonstrated significant anti-tumour efficacy in a PDX model.</p>\n </section>\n \n <section>\n \n <h3> Conclusion</h3>\n \n <p>The IL-11/IL-11RA axis emerges as a critical driver of LUAD tumourigenesis, exerting its effects through enhanced tumour cell proliferation and remodelling of the tumour microenvironment. Our study highlights the therapeutic potential of disrupting this axis, suggesting that patients exhibiting elevated IL-11 levels may benefit from therapies targeting the IL-11/IL-11RA pathway.</p>\n </section>\n </div>","PeriodicalId":10189,"journal":{"name":"Clinical and Translational Medicine","volume":"15 7","pages":""},"PeriodicalIF":6.8000,"publicationDate":"2025-07-17","publicationTypes":"Journal Article","fieldsOfStudy":null,"isOpenAccess":false,"openAccessPdf":"https://onlinelibrary.wiley.com/doi/epdf/10.1002/ctm2.70374","citationCount":"0","resultStr":"{\"title\":\"Interleukin-11 promotes lung adenocarcinoma tumourigenesis and immune evasion\",\"authors\":\"Cristina Cirauqui,&nbsp;Laura Ojeda,&nbsp;Itziar Otano,&nbsp;Irene Pazos,&nbsp;Alba Santos,&nbsp;Eva M. Garrido-Martín,&nbsp;Patricia Yagüe,&nbsp;Javier Ramos-Paradas,&nbsp;Sonia Molina-Pinelo,&nbsp;Giovanna Roncador,&nbsp;José Luis Solórzano,&nbsp;M. Teresa Muñoz,&nbsp;Patricia Cozar,&nbsp;Patricia Plaza,&nbsp;Rocío Suárez,&nbsp;Marta Jiménez,&nbsp;Roberto Moreno,&nbsp;Arantxa Rosado,&nbsp;Pablo Gámez,&nbsp;Ricardo García-Luján,&nbsp;Jon Zugazagoitia,&nbsp;E. Alejandro Sweet-Cordero,&nbsp;Mariano Barbacid,&nbsp;Amancio Carnero,&nbsp;Irene Ferrer,&nbsp;Luis Paz-Ares\",\"doi\":\"10.1002/ctm2.70374\",\"DOIUrl\":null,\"url\":null,\"abstract\":\"<div>\\n \\n \\n <section>\\n \\n <h3> Rationale</h3>\\n \\n <p>Interleukin-11 (IL-11) has emerged as a significant player in tumourigenesis, with implications across various cancer types. However, its specific role in driving tumour progression in lung adenocarcinoma (LUAD) remains elusive. IL-11's multifaceted impact on both tumour cells and the tumour microenvironment underscores its potential as a therapeutic target in LUAD. This study aims to unravel the involvement of IL-11 in LUAD progression and its influence on the tumour microenvironment.</p>\\n </section>\\n \\n <section>\\n \\n <h3> Methods</h3>\\n \\n <p>Here, we used transcriptomic and digital spatial profiling analyses together with clinic data from two retrospective LUAD patient cohorts. LUAD cell lines genetically engineered to overexpress or to silence IL-11 or its receptor (IL-11RA) were used for in vitro functional analysis and for in vivo experiments. Additionally, we used three different in vivo models: patient-derived xenografts (PDXs), tobacco-exposed mice and genetically engineered mouse models. A neutralising monoclonal antibody against IL-11RA was produced and tested.</p>\\n </section>\\n \\n <section>\\n \\n <h3> Results</h3>\\n \\n <p>Our findings revealed a pivotal role for IL-11 in driving tumourigenesis across various mouse models, highlighting its capacity to modulate tumour immunity towards an immunosuppressive microenvironment. Moreover, we observed a correlation between IL-11 expression and poorer patient outcomes in LUAD. Notably, therapeutic targeting of IL-11RA with a neutralising antibody demonstrated significant anti-tumour efficacy in a PDX model.</p>\\n </section>\\n \\n <section>\\n \\n <h3> Conclusion</h3>\\n \\n <p>The IL-11/IL-11RA axis emerges as a critical driver of LUAD tumourigenesis, exerting its effects through enhanced tumour cell proliferation and remodelling of the tumour microenvironment. Our study highlights the therapeutic potential of disrupting this axis, suggesting that patients exhibiting elevated IL-11 levels may benefit from therapies targeting the IL-11/IL-11RA pathway.</p>\\n </section>\\n </div>\",\"PeriodicalId\":10189,\"journal\":{\"name\":\"Clinical and Translational Medicine\",\"volume\":\"15 7\",\"pages\":\"\"},\"PeriodicalIF\":6.8000,\"publicationDate\":\"2025-07-17\",\"publicationTypes\":\"Journal Article\",\"fieldsOfStudy\":null,\"isOpenAccess\":false,\"openAccessPdf\":\"https://onlinelibrary.wiley.com/doi/epdf/10.1002/ctm2.70374\",\"citationCount\":\"0\",\"resultStr\":null,\"platform\":\"Semanticscholar\",\"paperid\":null,\"PeriodicalName\":\"Clinical and Translational Medicine\",\"FirstCategoryId\":\"3\",\"ListUrlMain\":\"https://onlinelibrary.wiley.com/doi/10.1002/ctm2.70374\",\"RegionNum\":1,\"RegionCategory\":\"医学\",\"ArticlePicture\":[],\"TitleCN\":null,\"AbstractTextCN\":null,\"PMCID\":null,\"EPubDate\":\"\",\"PubModel\":\"\",\"JCR\":\"Q1\",\"JCRName\":\"MEDICINE, RESEARCH & EXPERIMENTAL\",\"Score\":null,\"Total\":0}","platform":"Semanticscholar","paperid":null,"PeriodicalName":"Clinical and Translational Medicine","FirstCategoryId":"3","ListUrlMain":"https://onlinelibrary.wiley.com/doi/10.1002/ctm2.70374","RegionNum":1,"RegionCategory":"医学","ArticlePicture":[],"TitleCN":null,"AbstractTextCN":null,"PMCID":null,"EPubDate":"","PubModel":"","JCR":"Q1","JCRName":"MEDICINE, RESEARCH & EXPERIMENTAL","Score":null,"Total":0}
引用次数: 0

摘要

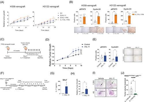
白介素-11 (IL-11)在肿瘤发生中起着重要作用,对各种类型的癌症都有影响。然而,其在肺腺癌(LUAD)中驱动肿瘤进展的具体作用尚不清楚。IL-11对肿瘤细胞和肿瘤微环境的多方面影响强调了其作为LUAD治疗靶点的潜力。本研究旨在揭示IL-11在LUAD进展中的参与及其对肿瘤微环境的影响。方法在这里,我们使用转录组学和数字空间分析,并结合两个回顾性LUAD患者队列的临床数据。通过基因工程使IL-11或其受体(IL-11RA)过表达或沉默的LUAD细胞系用于体外功能分析和体内实验。此外,我们使用了三种不同的体内模型:患者来源的异种移植物(PDXs),烟草暴露小鼠和基因工程小鼠模型。制备并检测了抗IL-11RA的中和性单克隆抗体。我们的研究结果揭示了IL-11在多种小鼠模型中驱动肿瘤发生的关键作用,突出了其向免疫抑制微环境调节肿瘤免疫的能力。此外,我们观察到IL-11表达与LUAD患者预后较差之间的相关性。值得注意的是,在PDX模型中,用中和抗体靶向治疗IL-11RA显示出显著的抗肿瘤功效。结论IL-11/IL-11RA轴是LUAD肿瘤发生的关键驱动因子,通过增强肿瘤细胞增殖和重塑肿瘤微环境发挥作用。我们的研究强调了破坏这一轴的治疗潜力,表明IL-11水平升高的患者可能受益于针对IL-11/IL-11RA途径的治疗。
本文章由计算机程序翻译,如有差异,请以英文原文为准。

Interleukin-11 promotes lung adenocarcinoma tumourigenesis and immune evasion

Interleukin-11 promotes lung adenocarcinoma tumourigenesis and immune evasion

Rationale

Interleukin-11 (IL-11) has emerged as a significant player in tumourigenesis, with implications across various cancer types. However, its specific role in driving tumour progression in lung adenocarcinoma (LUAD) remains elusive. IL-11's multifaceted impact on both tumour cells and the tumour microenvironment underscores its potential as a therapeutic target in LUAD. This study aims to unravel the involvement of IL-11 in LUAD progression and its influence on the tumour microenvironment.

Methods

Here, we used transcriptomic and digital spatial profiling analyses together with clinic data from two retrospective LUAD patient cohorts. LUAD cell lines genetically engineered to overexpress or to silence IL-11 or its receptor (IL-11RA) were used for in vitro functional analysis and for in vivo experiments. Additionally, we used three different in vivo models: patient-derived xenografts (PDXs), tobacco-exposed mice and genetically engineered mouse models. A neutralising monoclonal antibody against IL-11RA was produced and tested.

Results

Our findings revealed a pivotal role for IL-11 in driving tumourigenesis across various mouse models, highlighting its capacity to modulate tumour immunity towards an immunosuppressive microenvironment. Moreover, we observed a correlation between IL-11 expression and poorer patient outcomes in LUAD. Notably, therapeutic targeting of IL-11RA with a neutralising antibody demonstrated significant anti-tumour efficacy in a PDX model.

Conclusion

The IL-11/IL-11RA axis emerges as a critical driver of LUAD tumourigenesis, exerting its effects through enhanced tumour cell proliferation and remodelling of the tumour microenvironment. Our study highlights the therapeutic potential of disrupting this axis, suggesting that patients exhibiting elevated IL-11 levels may benefit from therapies targeting the IL-11/IL-11RA pathway.

求助全文
通过发布文献求助,成功后即可免费获取论文全文。 去求助
来源期刊
CiteScore
15.90
自引率
1.90%
发文量
450
审稿时长
4 weeks
期刊介绍: Clinical and Translational Medicine (CTM) is an international, peer-reviewed, open-access journal dedicated to accelerating the translation of preclinical research into clinical applications and fostering communication between basic and clinical scientists. It highlights the clinical potential and application of various fields including biotechnologies, biomaterials, bioengineering, biomarkers, molecular medicine, omics science, bioinformatics, immunology, molecular imaging, drug discovery, regulation, and health policy. With a focus on the bench-to-bedside approach, CTM prioritizes studies and clinical observations that generate hypotheses relevant to patients and diseases, guiding investigations in cellular and molecular medicine. The journal encourages submissions from clinicians, researchers, policymakers, and industry professionals.
×
引用
GB/T 7714-2015
复制
MLA
复制
APA
复制
导出至
BibTeX EndNote RefMan NoteFirst NoteExpress
×
提示
您的信息不完整,为了账户安全,请先补充。
现在去补充
×
提示
您因"违规操作"
具体请查看互助需知
我知道了
×
提示
确定
请完成安全验证×
copy
已复制链接
快去分享给好友吧!
我知道了
右上角分享
点击右上角分享
0
联系我们:info@booksci.cn Book学术提供免费学术资源搜索服务,方便国内外学者检索中英文文献。致力于提供最便捷和优质的服务体验。 Copyright © 2023 布克学术 All rights reserved.
京ICP备2023020795号-1
ghs 京公网安备 11010802042870号
Book学术文献互助
Book学术文献互助群
群 号:604180095
Book学术官方微信