术前转移性胸腺癌患者同时使用派姆单抗和放疗后的完全病理反应:1例报告。

Mediastinum (Hong Kong, China) Pub Date : 2025-06-25 eCollection Date: 2025-01-01 DOI:10.21037/med-25-16
Paolo Mendogni, Riccardo Orlandi, Gilbert Spizzo, Domenico Damiani, Martin Maffei, Giorgio Alberto Croci, Davide Tosi
{"title":"术前转移性胸腺癌患者同时使用派姆单抗和放疗后的完全病理反应:1例报告。","authors":"Paolo Mendogni, Riccardo Orlandi, Gilbert Spizzo, Domenico Damiani, Martin Maffei, Giorgio Alberto Croci, Davide Tosi","doi":"10.21037/med-25-16","DOIUrl":null,"url":null,"abstract":"<p><strong>Background: </strong>Thymic carcinoma (TC) is a rare and aggressive malignancy, accounting for approximately 6% of thymic neoplasms. Due to its frequent late-stage diagnosis and poor prognosis, standard treatment typically involves multimodal therapy, including platinum-based chemotherapy, radiotherapy, and surgery. However, effective treatment options remain limited, with response rates being unsatisfactory. Recent studies have highlighted the potential of immune checkpoint inhibitors (ICIs) in treating thymic epithelial tumors, particularly in tumors with high programmed cell death ligand 1 (PD-L1) expression. Despite this, the role of ICIs in TC is still under investigation, and further research is needed to assess their efficacy and safety in clinical practice.</p><p><strong>Case description: </strong>We present the case of a 31-year-old male diagnosed with stage IVA squamous TC. Following disease progression after first-line chemotherapy with paclitaxel, carboplatin, and ramucirumab as part of the RELEVENT phase II trial, PD-L1 assessment revealed an 85% expression, leading to the initiation of off-label pembrolizumab (200 mg every 3 weeks). The patient subsequently developed oligoprogression with local sternal infiltration, prompting the addition of radiotherapy (10×3 Gy) alongside continued pembrolizumab. Over the following months, imaging demonstrated progressive response to treatment, culminating in a near-complete metabolic response. A residual mediastinal lesion was later surgically resected, revealing no viable tumor cells, indicative of a complete pathological response. Nine months after surgery, the patient is disease-free, with no reported immune-related adverse events.</p><p><strong>Conclusions: </strong>This case highlights the potential of immune checkpoint inhibition combined with radiotherapy and surgery in the management of advanced TC. The patient's complete pathologic remission underscores the importance of a multidisciplinary approach. Further studies are warranted to establish ICIs as a standard treatment and optimize patient selection while mitigating immune-related toxicities.</p>","PeriodicalId":74139,"journal":{"name":"Mediastinum (Hong Kong, China)","volume":"9 ","pages":"21"},"PeriodicalIF":0.0000,"publicationDate":"2025-06-25","publicationTypes":"Journal Article","fieldsOfStudy":null,"isOpenAccess":false,"openAccessPdf":"https://www.ncbi.nlm.nih.gov/pmc/articles/PMC12260952/pdf/","citationCount":"0","resultStr":"{\"title\":\"Complete pathologic response after concomitant pembrolizumab and radiotherapy in a patient with pretreated metastatic thymic carcinoma: a case report.\",\"authors\":\"Paolo Mendogni, Riccardo Orlandi, Gilbert Spizzo, Domenico Damiani, Martin Maffei, Giorgio Alberto Croci, Davide Tosi\",\"doi\":\"10.21037/med-25-16\",\"DOIUrl\":null,\"url\":null,\"abstract\":\"<p><strong>Background: </strong>Thymic carcinoma (TC) is a rare and aggressive malignancy, accounting for approximately 6% of thymic neoplasms. Due to its frequent late-stage diagnosis and poor prognosis, standard treatment typically involves multimodal therapy, including platinum-based chemotherapy, radiotherapy, and surgery. However, effective treatment options remain limited, with response rates being unsatisfactory. Recent studies have highlighted the potential of immune checkpoint inhibitors (ICIs) in treating thymic epithelial tumors, particularly in tumors with high programmed cell death ligand 1 (PD-L1) expression. Despite this, the role of ICIs in TC is still under investigation, and further research is needed to assess their efficacy and safety in clinical practice.</p><p><strong>Case description: </strong>We present the case of a 31-year-old male diagnosed with stage IVA squamous TC. Following disease progression after first-line chemotherapy with paclitaxel, carboplatin, and ramucirumab as part of the RELEVENT phase II trial, PD-L1 assessment revealed an 85% expression, leading to the initiation of off-label pembrolizumab (200 mg every 3 weeks). The patient subsequently developed oligoprogression with local sternal infiltration, prompting the addition of radiotherapy (10×3 Gy) alongside continued pembrolizumab. Over the following months, imaging demonstrated progressive response to treatment, culminating in a near-complete metabolic response. A residual mediastinal lesion was later surgically resected, revealing no viable tumor cells, indicative of a complete pathological response. Nine months after surgery, the patient is disease-free, with no reported immune-related adverse events.</p><p><strong>Conclusions: </strong>This case highlights the potential of immune checkpoint inhibition combined with radiotherapy and surgery in the management of advanced TC. The patient's complete pathologic remission underscores the importance of a multidisciplinary approach. Further studies are warranted to establish ICIs as a standard treatment and optimize patient selection while mitigating immune-related toxicities.</p>\",\"PeriodicalId\":74139,\"journal\":{\"name\":\"Mediastinum (Hong Kong, China)\",\"volume\":\"9 \",\"pages\":\"21\"},\"PeriodicalIF\":0.0000,\"publicationDate\":\"2025-06-25\",\"publicationTypes\":\"Journal Article\",\"fieldsOfStudy\":null,\"isOpenAccess\":false,\"openAccessPdf\":\"https://www.ncbi.nlm.nih.gov/pmc/articles/PMC12260952/pdf/\",\"citationCount\":\"0\",\"resultStr\":null,\"platform\":\"Semanticscholar\",\"paperid\":null,\"PeriodicalName\":\"Mediastinum (Hong Kong, China)\",\"FirstCategoryId\":\"1085\",\"ListUrlMain\":\"https://doi.org/10.21037/med-25-16\",\"RegionNum\":0,\"RegionCategory\":null,\"ArticlePicture\":[],\"TitleCN\":null,\"AbstractTextCN\":null,\"PMCID\":null,\"EPubDate\":\"2025/1/1 0:00:00\",\"PubModel\":\"eCollection\",\"JCR\":\"\",\"JCRName\":\"\",\"Score\":null,\"Total\":0}","platform":"Semanticscholar","paperid":null,"PeriodicalName":"Mediastinum (Hong Kong, China)","FirstCategoryId":"1085","ListUrlMain":"https://doi.org/10.21037/med-25-16","RegionNum":0,"RegionCategory":null,"ArticlePicture":[],"TitleCN":null,"AbstractTextCN":null,"PMCID":null,"EPubDate":"2025/1/1 0:00:00","PubModel":"eCollection","JCR":"","JCRName":"","Score":null,"Total":0}
引用次数: 0

摘要

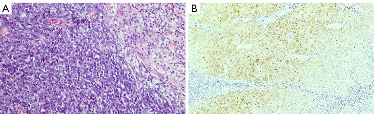
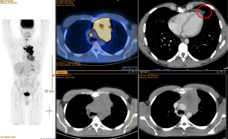
背景:胸腺癌是一种罕见的侵袭性恶性肿瘤,约占胸腺肿瘤的6%。由于其多为晚期诊断和预后差,标准治疗通常涉及多模式治疗,包括铂基化疗、放疗和手术。然而,有效的治疗选择仍然有限,反应率令人不满意。最近的研究强调了免疫检查点抑制剂(ICIs)治疗胸腺上皮肿瘤的潜力,特别是在程序性细胞死亡配体1 (PD-L1)高表达的肿瘤中。尽管如此,ICIs在TC中的作用仍在研究中,需要进一步的研究来评估其在临床实践中的有效性和安全性。病例描述:我们报告一例31岁男性诊断为IVA期鳞状TC。作为RELEVENT II期试验的一部分,在紫杉醇、卡铂和ramucirumab的一线化疗后,疾病进展,PD-L1评估显示85%的表达,导致开始使用标签外派姆单抗(200mg / 3周)。随后,患者出现少量进展,伴有局部胸骨浸润,促使在继续使用派姆单抗的同时增加放疗(10×3 Gy)。在接下来的几个月里,影像学显示对治疗的逐渐反应,最终达到接近完全的代谢反应。残留的纵隔病变后来手术切除,发现没有活的肿瘤细胞,表明完全的病理反应。手术后9个月,患者无疾病,无免疫相关不良事件报告。结论:该病例强调了免疫检查点抑制联合放疗和手术治疗晚期TC的潜力。患者的完全病理缓解强调了多学科方法的重要性。进一步的研究需要将ici作为一种标准治疗方法,优化患者选择,同时减轻免疫相关的毒性。
本文章由计算机程序翻译,如有差异,请以英文原文为准。

Complete pathologic response after concomitant pembrolizumab and radiotherapy in a patient with pretreated metastatic thymic carcinoma: a case report.

Complete pathologic response after concomitant pembrolizumab and radiotherapy in a patient with pretreated metastatic thymic carcinoma: a case report.

Complete pathologic response after concomitant pembrolizumab and radiotherapy in a patient with pretreated metastatic thymic carcinoma: a case report.

Complete pathologic response after concomitant pembrolizumab and radiotherapy in a patient with pretreated metastatic thymic carcinoma: a case report.

Background: Thymic carcinoma (TC) is a rare and aggressive malignancy, accounting for approximately 6% of thymic neoplasms. Due to its frequent late-stage diagnosis and poor prognosis, standard treatment typically involves multimodal therapy, including platinum-based chemotherapy, radiotherapy, and surgery. However, effective treatment options remain limited, with response rates being unsatisfactory. Recent studies have highlighted the potential of immune checkpoint inhibitors (ICIs) in treating thymic epithelial tumors, particularly in tumors with high programmed cell death ligand 1 (PD-L1) expression. Despite this, the role of ICIs in TC is still under investigation, and further research is needed to assess their efficacy and safety in clinical practice.

Case description: We present the case of a 31-year-old male diagnosed with stage IVA squamous TC. Following disease progression after first-line chemotherapy with paclitaxel, carboplatin, and ramucirumab as part of the RELEVENT phase II trial, PD-L1 assessment revealed an 85% expression, leading to the initiation of off-label pembrolizumab (200 mg every 3 weeks). The patient subsequently developed oligoprogression with local sternal infiltration, prompting the addition of radiotherapy (10×3 Gy) alongside continued pembrolizumab. Over the following months, imaging demonstrated progressive response to treatment, culminating in a near-complete metabolic response. A residual mediastinal lesion was later surgically resected, revealing no viable tumor cells, indicative of a complete pathological response. Nine months after surgery, the patient is disease-free, with no reported immune-related adverse events.

Conclusions: This case highlights the potential of immune checkpoint inhibition combined with radiotherapy and surgery in the management of advanced TC. The patient's complete pathologic remission underscores the importance of a multidisciplinary approach. Further studies are warranted to establish ICIs as a standard treatment and optimize patient selection while mitigating immune-related toxicities.

求助全文
通过发布文献求助,成功后即可免费获取论文全文。 去求助
来源期刊
CiteScore
1.20
自引率
0.00%
发文量
0
×
引用
GB/T 7714-2015
复制
MLA
复制
APA
复制
导出至
BibTeX EndNote RefMan NoteFirst NoteExpress
×
提示
您的信息不完整,为了账户安全,请先补充。
现在去补充
×
提示
您因"违规操作"
具体请查看互助需知
我知道了
×
提示
确定
请完成安全验证×
copy
已复制链接
快去分享给好友吧!
我知道了
右上角分享
点击右上角分享
0
联系我们:info@booksci.cn Book学术提供免费学术资源搜索服务,方便国内外学者检索中英文文献。致力于提供最便捷和优质的服务体验。 Copyright © 2023 布克学术 All rights reserved.
京ICP备2023020795号-1
ghs 京公网安备 11010802042870号
Book学术文献互助
Book学术文献互助群
群 号:604180095
Book学术官方微信