复杂三尖瓣和肺动脉类癌心脏病的及时手术修复。

IF 0.9 4区 医学
Texas Heart Institute Journal Pub Date : 2025-07-09 eCollection Date: 2025-07-01 DOI:10.14503/THIJ-25-8599
John Hollowed, Hawkin Woo, Solomon Hamburg, Abbas Ardehali
{"title":"复杂三尖瓣和肺动脉类癌心脏病的及时手术修复。","authors":"John Hollowed, Hawkin Woo, Solomon Hamburg, Abbas Ardehali","doi":"10.14503/THIJ-25-8599","DOIUrl":null,"url":null,"abstract":"<p><p>A 63-year-old man with a history of hypertension, prediabetes, and sleep apnea presented with pedal edema, weight loss, and flushing. Laboratory work revealed elevated B-type natriuretic peptide and normocytic anemia. Echocardiography showed right ventricular enlargement, severe tricuspid valve regurgitation, and thickened tricuspid valve leaflets, raising suspicion for carcinoid heart disease. Further testing confirmed a neuroendocrine tumor with liver metastasis. Despite somatostatin therapy, the patient's symptoms were refractory to diuretics. Surgical intervention with tricuspid and pulmonary valve replacement was undertaken. Postoperatively, the patient demonstrated substantial improvement in functional tolerance and quality of life. This case highlights the importance of surgical intervention in advanced carcinoid heart disease.</p>","PeriodicalId":48680,"journal":{"name":"Texas Heart Institute Journal","volume":"52 2","pages":"e258599"},"PeriodicalIF":0.9000,"publicationDate":"2025-07-09","publicationTypes":"Journal Article","fieldsOfStudy":null,"isOpenAccess":false,"openAccessPdf":"https://www.ncbi.nlm.nih.gov/pmc/articles/PMC12256652/pdf/","citationCount":"0","resultStr":"{\"title\":\"Complex Tricuspid and Pulmonic Carcinoid Heart Disease With Timely Surgical Repair.\",\"authors\":\"John Hollowed, Hawkin Woo, Solomon Hamburg, Abbas Ardehali\",\"doi\":\"10.14503/THIJ-25-8599\",\"DOIUrl\":null,\"url\":null,\"abstract\":\"<p><p>A 63-year-old man with a history of hypertension, prediabetes, and sleep apnea presented with pedal edema, weight loss, and flushing. Laboratory work revealed elevated B-type natriuretic peptide and normocytic anemia. Echocardiography showed right ventricular enlargement, severe tricuspid valve regurgitation, and thickened tricuspid valve leaflets, raising suspicion for carcinoid heart disease. Further testing confirmed a neuroendocrine tumor with liver metastasis. Despite somatostatin therapy, the patient's symptoms were refractory to diuretics. Surgical intervention with tricuspid and pulmonary valve replacement was undertaken. Postoperatively, the patient demonstrated substantial improvement in functional tolerance and quality of life. This case highlights the importance of surgical intervention in advanced carcinoid heart disease.</p>\",\"PeriodicalId\":48680,\"journal\":{\"name\":\"Texas Heart Institute Journal\",\"volume\":\"52 2\",\"pages\":\"e258599\"},\"PeriodicalIF\":0.9000,\"publicationDate\":\"2025-07-09\",\"publicationTypes\":\"Journal Article\",\"fieldsOfStudy\":null,\"isOpenAccess\":false,\"openAccessPdf\":\"https://www.ncbi.nlm.nih.gov/pmc/articles/PMC12256652/pdf/\",\"citationCount\":\"0\",\"resultStr\":null,\"platform\":\"Semanticscholar\",\"paperid\":null,\"PeriodicalName\":\"Texas Heart Institute Journal\",\"FirstCategoryId\":\"3\",\"ListUrlMain\":\"https://doi.org/10.14503/THIJ-25-8599\",\"RegionNum\":4,\"RegionCategory\":\"医学\",\"ArticlePicture\":[],\"TitleCN\":null,\"AbstractTextCN\":null,\"PMCID\":null,\"EPubDate\":\"2025/7/1 0:00:00\",\"PubModel\":\"eCollection\",\"JCR\":\"\",\"JCRName\":\"\",\"Score\":null,\"Total\":0}","platform":"Semanticscholar","paperid":null,"PeriodicalName":"Texas Heart Institute Journal","FirstCategoryId":"3","ListUrlMain":"https://doi.org/10.14503/THIJ-25-8599","RegionNum":4,"RegionCategory":"医学","ArticlePicture":[],"TitleCN":null,"AbstractTextCN":null,"PMCID":null,"EPubDate":"2025/7/1 0:00:00","PubModel":"eCollection","JCR":"","JCRName":"","Score":null,"Total":0}
引用次数: 0

摘要

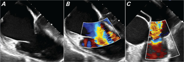
一名63岁男性,有高血压、前驱糖尿病和睡眠呼吸暂停病史,表现为足部水肿、体重减轻和潮红。实验室检查显示b型利钠肽升高和正红细胞性贫血。超声心动图显示右心室增大,三尖瓣返流严重,三尖瓣小叶增厚,怀疑为类癌性心脏病。进一步检查证实为神经内分泌肿瘤伴肝转移。尽管接受了生长抑素治疗,但患者的症状对利尿剂仍难治。手术干预包括三尖瓣和肺动脉瓣置换术。术后,患者表现出功能耐受性和生活质量的显著改善。本病例强调了手术治疗晚期类癌性心脏病的重要性。
本文章由计算机程序翻译,如有差异,请以英文原文为准。

Complex Tricuspid and Pulmonic Carcinoid Heart Disease With Timely Surgical Repair.

Complex Tricuspid and Pulmonic Carcinoid Heart Disease With Timely Surgical Repair.

Complex Tricuspid and Pulmonic Carcinoid Heart Disease With Timely Surgical Repair.

Complex Tricuspid and Pulmonic Carcinoid Heart Disease With Timely Surgical Repair.

A 63-year-old man with a history of hypertension, prediabetes, and sleep apnea presented with pedal edema, weight loss, and flushing. Laboratory work revealed elevated B-type natriuretic peptide and normocytic anemia. Echocardiography showed right ventricular enlargement, severe tricuspid valve regurgitation, and thickened tricuspid valve leaflets, raising suspicion for carcinoid heart disease. Further testing confirmed a neuroendocrine tumor with liver metastasis. Despite somatostatin therapy, the patient's symptoms were refractory to diuretics. Surgical intervention with tricuspid and pulmonary valve replacement was undertaken. Postoperatively, the patient demonstrated substantial improvement in functional tolerance and quality of life. This case highlights the importance of surgical intervention in advanced carcinoid heart disease.

求助全文
通过发布文献求助,成功后即可免费获取论文全文。 去求助
来源期刊
Texas Heart Institute Journal
Texas Heart Institute Journal CARDIAC & CARDIOVASCULAR SYSTEMS-
自引率
11.10%
发文量
131
期刊介绍: For more than 45 years, the Texas Heart Institute Journal has been published by the Texas Heart Institute as part of its medical education program. Our bimonthly peer-reviewed journal enjoys a global audience of physicians, scientists, and healthcare professionals who are contributing to the prevention, diagnosis, and treatment of cardiovascular disease. The Journal was printed under the name of Cardiovascular Diseases from 1974 through 1981 (ISSN 0093-3546). The name was changed to Texas Heart Institute Journal in 1982 and was printed through 2013 (ISSN 0730-2347). In 2014, the Journal moved to online-only publication. It is indexed by Index Medicus/MEDLINE and by other indexing and abstracting services worldwide. Our full archive is available at PubMed Central. The Journal invites authors to submit these article types for review: -Clinical Investigations- Laboratory Investigations- Reviews- Techniques- Coronary Anomalies- History of Medicine- Case Reports/Case Series (Submission Fee: $70.00 USD)- Images in Cardiovascular Medicine (Submission Fee: $35.00 USD)- Guest Editorials- Peabody’s Corner- Letters to the Editor
×
引用
GB/T 7714-2015
复制
MLA
复制
APA
复制
导出至
BibTeX EndNote RefMan NoteFirst NoteExpress
×
提示
您的信息不完整,为了账户安全,请先补充。
现在去补充
×
提示
您因"违规操作"
具体请查看互助需知
我知道了
×
提示
确定
请完成安全验证×
copy
已复制链接
快去分享给好友吧!
我知道了
右上角分享
点击右上角分享
0
联系我们:info@booksci.cn Book学术提供免费学术资源搜索服务,方便国内外学者检索中英文文献。致力于提供最便捷和优质的服务体验。 Copyright © 2023 布克学术 All rights reserved.
京ICP备2023020795号-1
ghs 京公网安备 11010802042870号
Book学术文献互助
Book学术文献互助群
群 号:604180095
Book学术官方微信