COVID感染后缺血性结肠炎的“团块形成”变体:病例报告和回顾

IF 2 Q2 EMERGENCY MEDICINE
Jiuyu Shi, Linghua Cong, Qi Lin
{"title":"COVID感染后缺血性结肠炎的“团块形成”变体:病例报告和回顾","authors":"Jiuyu Shi, Linghua Cong, Qi Lin","doi":"10.1186/s12245-025-00936-x","DOIUrl":null,"url":null,"abstract":"<p><p>Ischemic bowel disease is a common disease of bleeding in the lower digestive tract. There are many risk factors for ischemic bowel disease. Abdominal pain, bloody stool and diarrhea were often the triad of clinical manifestations. The endoscopic appearance included colonic mucosal edema and erosion; submucosal hemorrhage, mucosal necrosis, mucosal shedding, ulcer formation et al. But in rare cases its manifestations are highly variable, which makes clinical diagnosis challenging. Colonoscopy and pathology are the keys to diagnosis. We present a case of \"mass-forming\" variant of ischemic colitis following COVID infection.</p>","PeriodicalId":13967,"journal":{"name":"International Journal of Emergency Medicine","volume":"18 1","pages":"130"},"PeriodicalIF":2.0000,"publicationDate":"2025-07-15","publicationTypes":"Journal Article","fieldsOfStudy":null,"isOpenAccess":false,"openAccessPdf":"https://www.ncbi.nlm.nih.gov/pmc/articles/PMC12261680/pdf/","citationCount":"0","resultStr":"{\"title\":\"A \\\"mass-forming\\\" variant of ischemic colitis following COVID infection: a case report and review.\",\"authors\":\"Jiuyu Shi, Linghua Cong, Qi Lin\",\"doi\":\"10.1186/s12245-025-00936-x\",\"DOIUrl\":null,\"url\":null,\"abstract\":\"<p><p>Ischemic bowel disease is a common disease of bleeding in the lower digestive tract. There are many risk factors for ischemic bowel disease. Abdominal pain, bloody stool and diarrhea were often the triad of clinical manifestations. The endoscopic appearance included colonic mucosal edema and erosion; submucosal hemorrhage, mucosal necrosis, mucosal shedding, ulcer formation et al. But in rare cases its manifestations are highly variable, which makes clinical diagnosis challenging. Colonoscopy and pathology are the keys to diagnosis. We present a case of \\\"mass-forming\\\" variant of ischemic colitis following COVID infection.</p>\",\"PeriodicalId\":13967,\"journal\":{\"name\":\"International Journal of Emergency Medicine\",\"volume\":\"18 1\",\"pages\":\"130\"},\"PeriodicalIF\":2.0000,\"publicationDate\":\"2025-07-15\",\"publicationTypes\":\"Journal Article\",\"fieldsOfStudy\":null,\"isOpenAccess\":false,\"openAccessPdf\":\"https://www.ncbi.nlm.nih.gov/pmc/articles/PMC12261680/pdf/\",\"citationCount\":\"0\",\"resultStr\":null,\"platform\":\"Semanticscholar\",\"paperid\":null,\"PeriodicalName\":\"International Journal of Emergency Medicine\",\"FirstCategoryId\":\"1085\",\"ListUrlMain\":\"https://doi.org/10.1186/s12245-025-00936-x\",\"RegionNum\":0,\"RegionCategory\":null,\"ArticlePicture\":[],\"TitleCN\":null,\"AbstractTextCN\":null,\"PMCID\":null,\"EPubDate\":\"\",\"PubModel\":\"\",\"JCR\":\"Q2\",\"JCRName\":\"EMERGENCY MEDICINE\",\"Score\":null,\"Total\":0}","platform":"Semanticscholar","paperid":null,"PeriodicalName":"International Journal of Emergency Medicine","FirstCategoryId":"1085","ListUrlMain":"https://doi.org/10.1186/s12245-025-00936-x","RegionNum":0,"RegionCategory":null,"ArticlePicture":[],"TitleCN":null,"AbstractTextCN":null,"PMCID":null,"EPubDate":"","PubModel":"","JCR":"Q2","JCRName":"EMERGENCY MEDICINE","Score":null,"Total":0}
引用次数: 0

摘要

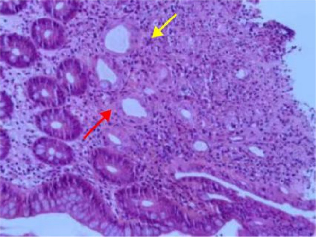
缺血性肠病是一种常见的下消化道出血疾病。缺血性肠病有许多危险因素。腹痛、便血、腹泻常为临床三联征。内镜下表现为结肠粘膜水肿和糜烂;粘膜下出血、粘膜坏死、粘膜脱落、溃疡形成等。但在极少数情况下,其表现是高度可变的,这使得临床诊断具有挑战性。结肠镜检查和病理检查是诊断的关键。我们报告一例“团块形成”变异的缺血性结肠炎后COVID感染。
本文章由计算机程序翻译,如有差异,请以英文原文为准。

A "mass-forming" variant of ischemic colitis following COVID infection: a case report and review.

A "mass-forming" variant of ischemic colitis following COVID infection: a case report and review.

A "mass-forming" variant of ischemic colitis following COVID infection: a case report and review.

A "mass-forming" variant of ischemic colitis following COVID infection: a case report and review.

Ischemic bowel disease is a common disease of bleeding in the lower digestive tract. There are many risk factors for ischemic bowel disease. Abdominal pain, bloody stool and diarrhea were often the triad of clinical manifestations. The endoscopic appearance included colonic mucosal edema and erosion; submucosal hemorrhage, mucosal necrosis, mucosal shedding, ulcer formation et al. But in rare cases its manifestations are highly variable, which makes clinical diagnosis challenging. Colonoscopy and pathology are the keys to diagnosis. We present a case of "mass-forming" variant of ischemic colitis following COVID infection.

求助全文
通过发布文献求助,成功后即可免费获取论文全文。 去求助
来源期刊
CiteScore
4.60
自引率
0.00%
发文量
63
审稿时长
13 weeks
期刊介绍: The aim of the journal is to bring to light the various clinical advancements and research developments attained over the world and thus help the specialty forge ahead. It is directed towards physicians and medical personnel undergoing training or working within the field of Emergency Medicine. Medical students who are interested in pursuing a career in Emergency Medicine will also benefit from the journal. This is particularly useful for trainees in countries where the specialty is still in its infancy. Disciplines covered will include interesting clinical cases, the latest evidence-based practice and research developments in Emergency medicine including emergency pediatrics.
×
引用
GB/T 7714-2015
复制
MLA
复制
APA
复制
导出至
BibTeX EndNote RefMan NoteFirst NoteExpress
×
提示
您的信息不完整,为了账户安全,请先补充。
现在去补充
×
提示
您因"违规操作"
具体请查看互助需知
我知道了
×
提示
确定
请完成安全验证×
copy
已复制链接
快去分享给好友吧!
我知道了
右上角分享
点击右上角分享
0
联系我们:info@booksci.cn Book学术提供免费学术资源搜索服务,方便国内外学者检索中英文文献。致力于提供最便捷和优质的服务体验。 Copyright © 2023 布克学术 All rights reserved.
京ICP备2023020795号-1
ghs 京公网安备 11010802042870号
Book学术文献互助
Book学术文献互助群
群 号:604180095
Book学术官方微信