阿托伐他汀揭露原发性胆道胆管炎和自身免疫性肝炎重叠综合征在老年人:一个病例报告。

Q3 Nursing
Malaysian Family Physician Pub Date : 2025-06-13 eCollection Date: 2025-01-01 DOI:10.51866/cr.853
Hashim Khadijat-Ul-Kurba, Hamzah Zuhra, Osman Ummul Afilah, Rosli Nurwahyuna
{"title":"阿托伐他汀揭露原发性胆道胆管炎和自身免疫性肝炎重叠综合征在老年人:一个病例报告。","authors":"Hashim Khadijat-Ul-Kurba, Hamzah Zuhra, Osman Ummul Afilah, Rosli Nurwahyuna","doi":"10.51866/cr.853","DOIUrl":null,"url":null,"abstract":"<p><p>Although statins are generally well-tolerated, recent reports have linked their use to autoimmune liver disease. We present the case of a 70-year-old woman who developed hepatocellular injury 4 months after switching from simvastatin to high-intensity atorvastatin. Discontinuation of atorvastatin led to a gradual improvement in liver function over 3 months; however, her rising LDL(low-density lipoprotein) levels prompted a rechallenge with simvastatin, resulting in recurrent liver function derangement. Despite cessation, the liver enzyme levels continued to rise. Positive autoantibodies, including antinuclear antibodies, anti-mitochondrial M2 and immunoglobulins (i.e. IgA and IgG), along with a liver biopsy, confirmed an overlapping syndrome of primary biliary cholangitis and autoimmune hepatitis. Treatment with prednisolone led to normalisation of liver function, and the patient remained stable on azathioprine and ursodeoxycholic acid. This case underscores the importance of vigilant liver function monitoring, caution when rechallenging statins and the potential for statin therapy to unmask underlying autoimmune liver disease.</p>","PeriodicalId":40017,"journal":{"name":"Malaysian Family Physician","volume":"20 ","pages":"34"},"PeriodicalIF":0.0000,"publicationDate":"2025-06-13","publicationTypes":"Journal Article","fieldsOfStudy":null,"isOpenAccess":false,"openAccessPdf":"https://www.ncbi.nlm.nih.gov/pmc/articles/PMC12258511/pdf/","citationCount":"0","resultStr":"{\"title\":\"Atorvastatin unveiling primary biliary cholangitis and autoimmune hepatitis overlap syndrome in an older adult: A case report.\",\"authors\":\"Hashim Khadijat-Ul-Kurba, Hamzah Zuhra, Osman Ummul Afilah, Rosli Nurwahyuna\",\"doi\":\"10.51866/cr.853\",\"DOIUrl\":null,\"url\":null,\"abstract\":\"<p><p>Although statins are generally well-tolerated, recent reports have linked their use to autoimmune liver disease. We present the case of a 70-year-old woman who developed hepatocellular injury 4 months after switching from simvastatin to high-intensity atorvastatin. Discontinuation of atorvastatin led to a gradual improvement in liver function over 3 months; however, her rising LDL(low-density lipoprotein) levels prompted a rechallenge with simvastatin, resulting in recurrent liver function derangement. Despite cessation, the liver enzyme levels continued to rise. Positive autoantibodies, including antinuclear antibodies, anti-mitochondrial M2 and immunoglobulins (i.e. IgA and IgG), along with a liver biopsy, confirmed an overlapping syndrome of primary biliary cholangitis and autoimmune hepatitis. Treatment with prednisolone led to normalisation of liver function, and the patient remained stable on azathioprine and ursodeoxycholic acid. This case underscores the importance of vigilant liver function monitoring, caution when rechallenging statins and the potential for statin therapy to unmask underlying autoimmune liver disease.</p>\",\"PeriodicalId\":40017,\"journal\":{\"name\":\"Malaysian Family Physician\",\"volume\":\"20 \",\"pages\":\"34\"},\"PeriodicalIF\":0.0000,\"publicationDate\":\"2025-06-13\",\"publicationTypes\":\"Journal Article\",\"fieldsOfStudy\":null,\"isOpenAccess\":false,\"openAccessPdf\":\"https://www.ncbi.nlm.nih.gov/pmc/articles/PMC12258511/pdf/\",\"citationCount\":\"0\",\"resultStr\":null,\"platform\":\"Semanticscholar\",\"paperid\":null,\"PeriodicalName\":\"Malaysian Family Physician\",\"FirstCategoryId\":\"1085\",\"ListUrlMain\":\"https://doi.org/10.51866/cr.853\",\"RegionNum\":0,\"RegionCategory\":null,\"ArticlePicture\":[],\"TitleCN\":null,\"AbstractTextCN\":null,\"PMCID\":null,\"EPubDate\":\"2025/1/1 0:00:00\",\"PubModel\":\"eCollection\",\"JCR\":\"Q3\",\"JCRName\":\"Nursing\",\"Score\":null,\"Total\":0}","platform":"Semanticscholar","paperid":null,"PeriodicalName":"Malaysian Family Physician","FirstCategoryId":"1085","ListUrlMain":"https://doi.org/10.51866/cr.853","RegionNum":0,"RegionCategory":null,"ArticlePicture":[],"TitleCN":null,"AbstractTextCN":null,"PMCID":null,"EPubDate":"2025/1/1 0:00:00","PubModel":"eCollection","JCR":"Q3","JCRName":"Nursing","Score":null,"Total":0}
引用次数: 0

摘要

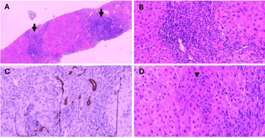
尽管他汀类药物通常耐受性良好,但最近的报道将其与自身免疫性肝病联系起来。我们报告了一位70岁的女性,在从辛伐他汀转向高强度阿托伐他汀4个月后发生肝细胞损伤。停用阿托伐他汀导致肝功能在3个月内逐渐改善;然而,她的LDL(低密度脂蛋白)水平升高促使她再次使用辛伐他汀,导致肝功能紊乱复发。尽管停止,肝酶水平继续上升。自身抗体阳性,包括抗核抗体、抗线粒体M2和免疫球蛋白(即IgA和IgG),以及肝脏活检,证实原发性胆管炎和自身免疫性肝炎重叠综合征。强的松龙治疗导致肝功能正常化,患者在硫唑嘌呤和熊去氧胆酸治疗下保持稳定。该病例强调了警惕肝功能监测的重要性,重新挑战他汀类药物时要谨慎,以及他汀类药物治疗潜在的自身免疫性肝病的潜力。
本文章由计算机程序翻译,如有差异,请以英文原文为准。

Atorvastatin unveiling primary biliary cholangitis and autoimmune hepatitis overlap syndrome in an older adult: A case report.

Atorvastatin unveiling primary biliary cholangitis and autoimmune hepatitis overlap syndrome in an older adult: A case report.

Atorvastatin unveiling primary biliary cholangitis and autoimmune hepatitis overlap syndrome in an older adult: A case report.

Although statins are generally well-tolerated, recent reports have linked their use to autoimmune liver disease. We present the case of a 70-year-old woman who developed hepatocellular injury 4 months after switching from simvastatin to high-intensity atorvastatin. Discontinuation of atorvastatin led to a gradual improvement in liver function over 3 months; however, her rising LDL(low-density lipoprotein) levels prompted a rechallenge with simvastatin, resulting in recurrent liver function derangement. Despite cessation, the liver enzyme levels continued to rise. Positive autoantibodies, including antinuclear antibodies, anti-mitochondrial M2 and immunoglobulins (i.e. IgA and IgG), along with a liver biopsy, confirmed an overlapping syndrome of primary biliary cholangitis and autoimmune hepatitis. Treatment with prednisolone led to normalisation of liver function, and the patient remained stable on azathioprine and ursodeoxycholic acid. This case underscores the importance of vigilant liver function monitoring, caution when rechallenging statins and the potential for statin therapy to unmask underlying autoimmune liver disease.

求助全文
通过发布文献求助,成功后即可免费获取论文全文。 去求助
来源期刊
Malaysian Family Physician
Malaysian Family Physician Medicine-Family Practice
CiteScore
1.20
自引率
0.00%
发文量
41
审稿时长
24 weeks
期刊介绍: The Malaysian Family Physician is the official journal of the Academy of Family Physicians of Malaysia. It is published three times a year. Circulation: The journal is distributed free of charge to all members of the Academy of Family Physicians of Malaysia. Complimentary copies are also sent to other organizations that are members of the World Organization of Family Doctors (WONCA).
×
引用
GB/T 7714-2015
复制
MLA
复制
APA
复制
导出至
BibTeX EndNote RefMan NoteFirst NoteExpress
×
提示
您的信息不完整,为了账户安全,请先补充。
现在去补充
×
提示
您因"违规操作"
具体请查看互助需知
我知道了
×
提示
确定
请完成安全验证×
copy
已复制链接
快去分享给好友吧!
我知道了
右上角分享
点击右上角分享
0
联系我们:info@booksci.cn Book学术提供免费学术资源搜索服务,方便国内外学者检索中英文文献。致力于提供最便捷和优质的服务体验。 Copyright © 2023 布克学术 All rights reserved.
京ICP备2023020795号-1
ghs 京公网安备 11010802042870号
Book学术文献互助
Book学术文献互助群
群 号:604180095
Book学术官方微信