3型桥小脑发育不全伴两种新型PCLO基因突变1例。

IF 0.5 Q4 PEDIATRICS
Case Reports in Pediatrics Pub Date : 2025-07-07 eCollection Date: 2025-01-01 DOI:10.1155/crpe/1955363
Sethapong Lertsakulbunlue, Panithi Piyachon, Pitchaya Pichantianchai, Thanapat Chivaruangrot, Piradee Suwanpakdee, Boonchai Boonyawat
{"title":"3型桥小脑发育不全伴两种新型PCLO基因突变1例。","authors":"Sethapong Lertsakulbunlue, Panithi Piyachon, Pitchaya Pichantianchai, Thanapat Chivaruangrot, Piradee Suwanpakdee, Boonchai Boonyawat","doi":"10.1155/crpe/1955363","DOIUrl":null,"url":null,"abstract":"<p><p>Pontocerebellar hypoplasia Type III (PCH3) is a rare, autosomal recessive neurodegenerative disorder linked to mutations in the <i>PCLO</i> gene, previously reported only in Omani populations. It presents with progressive microcephaly, intractable epilepsy, optic atrophy, and severe developmental delay. Here, we report the first documented case of PCH3 in an 8-year-old Thai girl with two novel <i>PCLO</i> truncation mutations. The patient presented with intractable epilepsy from 2 months of age and severe global developmental delay. Whole exome sequencing identified compound heterozygous mutations in the <i>PCLO</i> gene: c.9018_9037del (p.Tyr3007Ter) and c.8456del (p.Ala2819GlufsTer2), both of which were inherited from heterozygous parents. These mutations are predicted to result in a loss of Piccolo protein function. This case expands the mutational spectrum of <i>PCLO</i>-related PCH3 and highlights the importance of advanced molecular diagnostics in understanding and managing this rare neurodegenerative disorder. Given the lack of curative therapies, early genetic diagnosis is crucial in guiding patient care and genetic counseling.</p>","PeriodicalId":9623,"journal":{"name":"Case Reports in Pediatrics","volume":"2025 ","pages":"1955363"},"PeriodicalIF":0.5000,"publicationDate":"2025-07-07","publicationTypes":"Journal Article","fieldsOfStudy":null,"isOpenAccess":false,"openAccessPdf":"https://www.ncbi.nlm.nih.gov/pmc/articles/PMC12259299/pdf/","citationCount":"0","resultStr":"{\"title\":\"Pontocerebellar Hypoplasia Type 3 With Two Novel <i>PCLO</i> Gene Mutations: A Case Report.\",\"authors\":\"Sethapong Lertsakulbunlue, Panithi Piyachon, Pitchaya Pichantianchai, Thanapat Chivaruangrot, Piradee Suwanpakdee, Boonchai Boonyawat\",\"doi\":\"10.1155/crpe/1955363\",\"DOIUrl\":null,\"url\":null,\"abstract\":\"<p><p>Pontocerebellar hypoplasia Type III (PCH3) is a rare, autosomal recessive neurodegenerative disorder linked to mutations in the <i>PCLO</i> gene, previously reported only in Omani populations. It presents with progressive microcephaly, intractable epilepsy, optic atrophy, and severe developmental delay. Here, we report the first documented case of PCH3 in an 8-year-old Thai girl with two novel <i>PCLO</i> truncation mutations. The patient presented with intractable epilepsy from 2 months of age and severe global developmental delay. Whole exome sequencing identified compound heterozygous mutations in the <i>PCLO</i> gene: c.9018_9037del (p.Tyr3007Ter) and c.8456del (p.Ala2819GlufsTer2), both of which were inherited from heterozygous parents. These mutations are predicted to result in a loss of Piccolo protein function. This case expands the mutational spectrum of <i>PCLO</i>-related PCH3 and highlights the importance of advanced molecular diagnostics in understanding and managing this rare neurodegenerative disorder. Given the lack of curative therapies, early genetic diagnosis is crucial in guiding patient care and genetic counseling.</p>\",\"PeriodicalId\":9623,\"journal\":{\"name\":\"Case Reports in Pediatrics\",\"volume\":\"2025 \",\"pages\":\"1955363\"},\"PeriodicalIF\":0.5000,\"publicationDate\":\"2025-07-07\",\"publicationTypes\":\"Journal Article\",\"fieldsOfStudy\":null,\"isOpenAccess\":false,\"openAccessPdf\":\"https://www.ncbi.nlm.nih.gov/pmc/articles/PMC12259299/pdf/\",\"citationCount\":\"0\",\"resultStr\":null,\"platform\":\"Semanticscholar\",\"paperid\":null,\"PeriodicalName\":\"Case Reports in Pediatrics\",\"FirstCategoryId\":\"1085\",\"ListUrlMain\":\"https://doi.org/10.1155/crpe/1955363\",\"RegionNum\":0,\"RegionCategory\":null,\"ArticlePicture\":[],\"TitleCN\":null,\"AbstractTextCN\":null,\"PMCID\":null,\"EPubDate\":\"2025/1/1 0:00:00\",\"PubModel\":\"eCollection\",\"JCR\":\"Q4\",\"JCRName\":\"PEDIATRICS\",\"Score\":null,\"Total\":0}","platform":"Semanticscholar","paperid":null,"PeriodicalName":"Case Reports in Pediatrics","FirstCategoryId":"1085","ListUrlMain":"https://doi.org/10.1155/crpe/1955363","RegionNum":0,"RegionCategory":null,"ArticlePicture":[],"TitleCN":null,"AbstractTextCN":null,"PMCID":null,"EPubDate":"2025/1/1 0:00:00","PubModel":"eCollection","JCR":"Q4","JCRName":"PEDIATRICS","Score":null,"Total":0}
引用次数: 0

摘要

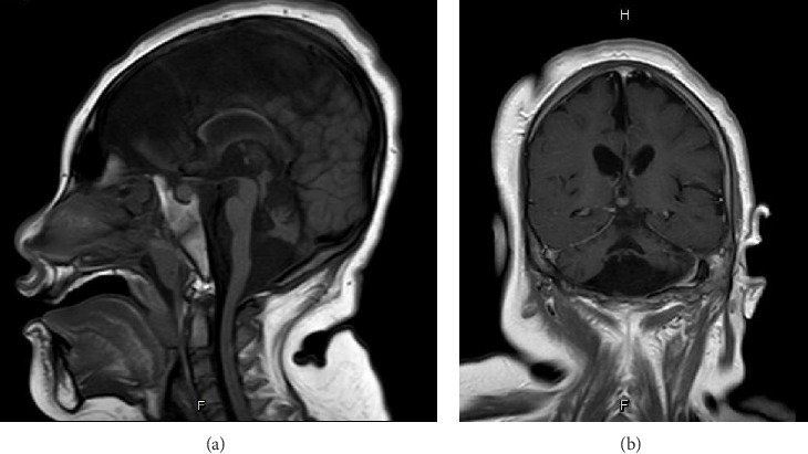
III型桥小脑发育不全(PCH3)是一种罕见的常染色体隐性神经退行性疾病,与PCLO基因突变有关,以前仅在阿曼人群中报道过。它表现为进行性小头畸形、顽固性癫痫、视神经萎缩和严重的发育迟缓。在这里,我们报告了首例记录在案的PCH3病例,一名8岁的泰国女孩患有两种新颖的PCLO截断突变。患者从2个月大开始出现顽固性癫痫和严重的整体发育迟缓。全外显子组测序发现PCLO基因存在复合杂合突变:c.9018_9037del (p.Tyr3007Ter)和c.8456del (p.Ala2819GlufsTer2),这两个突变均来自杂合亲本。这些突变预计会导致短笛蛋白功能的丧失。该病例扩展了pclo相关PCH3的突变谱,并强调了先进分子诊断在理解和治疗这种罕见的神经退行性疾病中的重要性。由于缺乏治疗方法,早期遗传诊断对于指导患者护理和遗传咨询至关重要。
本文章由计算机程序翻译,如有差异,请以英文原文为准。

Pontocerebellar Hypoplasia Type 3 With Two Novel <i>PCLO</i> Gene Mutations: A Case Report.

Pontocerebellar Hypoplasia Type 3 With Two Novel <i>PCLO</i> Gene Mutations: A Case Report.

Pontocerebellar Hypoplasia Type 3 With Two Novel PCLO Gene Mutations: A Case Report.

Pontocerebellar hypoplasia Type III (PCH3) is a rare, autosomal recessive neurodegenerative disorder linked to mutations in the PCLO gene, previously reported only in Omani populations. It presents with progressive microcephaly, intractable epilepsy, optic atrophy, and severe developmental delay. Here, we report the first documented case of PCH3 in an 8-year-old Thai girl with two novel PCLO truncation mutations. The patient presented with intractable epilepsy from 2 months of age and severe global developmental delay. Whole exome sequencing identified compound heterozygous mutations in the PCLO gene: c.9018_9037del (p.Tyr3007Ter) and c.8456del (p.Ala2819GlufsTer2), both of which were inherited from heterozygous parents. These mutations are predicted to result in a loss of Piccolo protein function. This case expands the mutational spectrum of PCLO-related PCH3 and highlights the importance of advanced molecular diagnostics in understanding and managing this rare neurodegenerative disorder. Given the lack of curative therapies, early genetic diagnosis is crucial in guiding patient care and genetic counseling.

求助全文
通过发布文献求助,成功后即可免费获取论文全文。 去求助
来源期刊
自引率
11.10%
发文量
48
审稿时长
13 weeks
×
引用
GB/T 7714-2015
复制
MLA
复制
APA
复制
导出至
BibTeX EndNote RefMan NoteFirst NoteExpress
×
提示
您的信息不完整,为了账户安全,请先补充。
现在去补充
×
提示
您因"违规操作"
具体请查看互助需知
我知道了
×
提示
确定
请完成安全验证×
copy
已复制链接
快去分享给好友吧!
我知道了
右上角分享
点击右上角分享
0
联系我们:info@booksci.cn Book学术提供免费学术资源搜索服务,方便国内外学者检索中英文文献。致力于提供最便捷和优质的服务体验。 Copyright © 2023 布克学术 All rights reserved.
京ICP备2023020795号-1
ghs 京公网安备 11010802042870号
Book学术文献互助
Book学术文献互助群
群 号:604180095
Book学术官方微信