肘关节继发于神经节囊肿的尺侧压迫神经病1例报告。

JNMA; journal of the Nepal Medical Association Pub Date : 2024-11-01 Epub Date: 2024-11-30 DOI:10.31729/jnma.8810
Suman Kumar Basel, Prakash Shrestha, Gaurav Bir Bajracharya
{"title":"肘关节继发于神经节囊肿的尺侧压迫神经病1例报告。","authors":"Suman Kumar Basel, Prakash Shrestha, Gaurav Bir Bajracharya","doi":"10.31729/jnma.8810","DOIUrl":null,"url":null,"abstract":"<p><p>Ulnar neuropathy is a common peripheral neuropathy, with cubital tunnel compression being the second most frequent upper extremity compression syndrome. Ganglion cysts, though rare, can contribute to ulnar nerve compression in the cubital tunnel. Here, we present a case of a 62-year-old farmer with longstanding diabetes and dyslipidemia who experienced progressive pain and numbness in his medial fingers, exacerbated by elbow flexion. Initially misdiagnosed and treated for Hansen's disease. Clinico-radiological evaluation revealed a multiloculated cystic lesion in the posteromedial aspect of his left elbow, compressing the ulnar nerve. Surgical excision of the ganglion cyst alleviated symptoms, though residual motor deficits persisted postoperatively. This case underscores the importance of considering ganglion cysts in the differential diagnosis of cubital tunnel syndrome, highlighting the diagnostic challenges and therapeutic considerations in managing this rare etiology.</p>","PeriodicalId":520657,"journal":{"name":"JNMA; journal of the Nepal Medical Association","volume":"62 279","pages":"774-776"},"PeriodicalIF":0.0000,"publicationDate":"2024-11-01","publicationTypes":"Journal Article","fieldsOfStudy":null,"isOpenAccess":false,"openAccessPdf":"https://www.ncbi.nlm.nih.gov/pmc/articles/PMC11931334/pdf/","citationCount":"0","resultStr":"{\"title\":\"Ulnar Compression Neuropathy Secondary to Ganglion Cyst at the Elbow Joint: A Case Report.\",\"authors\":\"Suman Kumar Basel, Prakash Shrestha, Gaurav Bir Bajracharya\",\"doi\":\"10.31729/jnma.8810\",\"DOIUrl\":null,\"url\":null,\"abstract\":\"<p><p>Ulnar neuropathy is a common peripheral neuropathy, with cubital tunnel compression being the second most frequent upper extremity compression syndrome. Ganglion cysts, though rare, can contribute to ulnar nerve compression in the cubital tunnel. Here, we present a case of a 62-year-old farmer with longstanding diabetes and dyslipidemia who experienced progressive pain and numbness in his medial fingers, exacerbated by elbow flexion. Initially misdiagnosed and treated for Hansen's disease. Clinico-radiological evaluation revealed a multiloculated cystic lesion in the posteromedial aspect of his left elbow, compressing the ulnar nerve. Surgical excision of the ganglion cyst alleviated symptoms, though residual motor deficits persisted postoperatively. This case underscores the importance of considering ganglion cysts in the differential diagnosis of cubital tunnel syndrome, highlighting the diagnostic challenges and therapeutic considerations in managing this rare etiology.</p>\",\"PeriodicalId\":520657,\"journal\":{\"name\":\"JNMA; journal of the Nepal Medical Association\",\"volume\":\"62 279\",\"pages\":\"774-776\"},\"PeriodicalIF\":0.0000,\"publicationDate\":\"2024-11-01\",\"publicationTypes\":\"Journal Article\",\"fieldsOfStudy\":null,\"isOpenAccess\":false,\"openAccessPdf\":\"https://www.ncbi.nlm.nih.gov/pmc/articles/PMC11931334/pdf/\",\"citationCount\":\"0\",\"resultStr\":null,\"platform\":\"Semanticscholar\",\"paperid\":null,\"PeriodicalName\":\"JNMA; journal of the Nepal Medical Association\",\"FirstCategoryId\":\"1085\",\"ListUrlMain\":\"https://doi.org/10.31729/jnma.8810\",\"RegionNum\":0,\"RegionCategory\":null,\"ArticlePicture\":[],\"TitleCN\":null,\"AbstractTextCN\":null,\"PMCID\":null,\"EPubDate\":\"2024/11/30 0:00:00\",\"PubModel\":\"Epub\",\"JCR\":\"\",\"JCRName\":\"\",\"Score\":null,\"Total\":0}","platform":"Semanticscholar","paperid":null,"PeriodicalName":"JNMA; journal of the Nepal Medical Association","FirstCategoryId":"1085","ListUrlMain":"https://doi.org/10.31729/jnma.8810","RegionNum":0,"RegionCategory":null,"ArticlePicture":[],"TitleCN":null,"AbstractTextCN":null,"PMCID":null,"EPubDate":"2024/11/30 0:00:00","PubModel":"Epub","JCR":"","JCRName":"","Score":null,"Total":0}
引用次数: 0

摘要

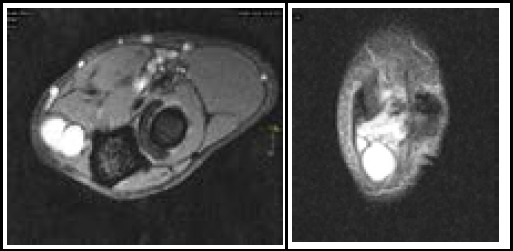
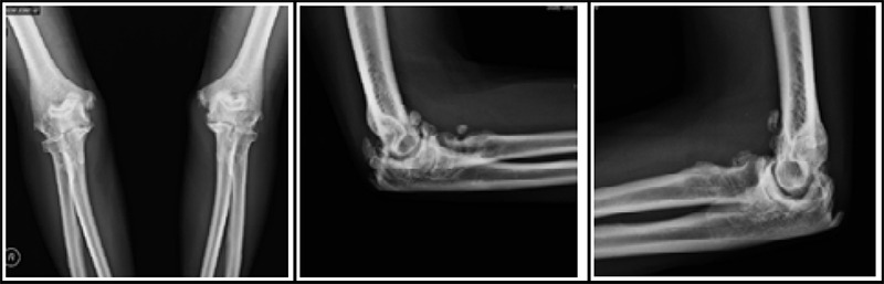
尺神经病变是一种常见的周围神经病变,肘管压迫是第二常见的上肢压迫综合征。神经节囊肿虽然罕见,但可导致肘管尺神经受压。在这里,我们提出了一个62岁的农民,长期患有糖尿病和血脂异常,他的内侧手指出现进行性疼痛和麻木,肘部屈曲加剧了这种情况。最初因汉森氏病被误诊并接受治疗。临床放射学评估显示左肘后内侧有多室囊性病变,压迫尺神经。手术切除神经节囊肿可减轻症状,但术后仍存在残余的运动缺陷。本病例强调了在肘管综合征鉴别诊断中考虑神经节囊肿的重要性,强调了在处理这种罕见病因时的诊断挑战和治疗考虑。
本文章由计算机程序翻译,如有差异,请以英文原文为准。

Ulnar Compression Neuropathy Secondary to Ganglion Cyst at the Elbow Joint: A Case Report.

Ulnar Compression Neuropathy Secondary to Ganglion Cyst at the Elbow Joint: A Case Report.

Ulnar Compression Neuropathy Secondary to Ganglion Cyst at the Elbow Joint: A Case Report.

Ulnar Compression Neuropathy Secondary to Ganglion Cyst at the Elbow Joint: A Case Report.

Ulnar neuropathy is a common peripheral neuropathy, with cubital tunnel compression being the second most frequent upper extremity compression syndrome. Ganglion cysts, though rare, can contribute to ulnar nerve compression in the cubital tunnel. Here, we present a case of a 62-year-old farmer with longstanding diabetes and dyslipidemia who experienced progressive pain and numbness in his medial fingers, exacerbated by elbow flexion. Initially misdiagnosed and treated for Hansen's disease. Clinico-radiological evaluation revealed a multiloculated cystic lesion in the posteromedial aspect of his left elbow, compressing the ulnar nerve. Surgical excision of the ganglion cyst alleviated symptoms, though residual motor deficits persisted postoperatively. This case underscores the importance of considering ganglion cysts in the differential diagnosis of cubital tunnel syndrome, highlighting the diagnostic challenges and therapeutic considerations in managing this rare etiology.

求助全文
通过发布文献求助,成功后即可免费获取论文全文。 去求助
来源期刊
自引率
0.00%
发文量
0
×
引用
GB/T 7714-2015
复制
MLA
复制
APA
复制
导出至
BibTeX EndNote RefMan NoteFirst NoteExpress
×
提示
您的信息不完整,为了账户安全,请先补充。
现在去补充
×
提示
您因"违规操作"
具体请查看互助需知
我知道了
×
提示
确定
请完成安全验证×
copy
已复制链接
快去分享给好友吧!
我知道了
右上角分享
点击右上角分享
0
联系我们:info@booksci.cn Book学术提供免费学术资源搜索服务,方便国内外学者检索中英文文献。致力于提供最便捷和优质的服务体验。 Copyright © 2023 布克学术 All rights reserved.
京ICP备2023020795号-1
ghs 京公网安备 11010802042870号
Book学术文献互助
Book学术文献互助群
群 号:604180095
Book学术官方微信