年轻男性平山病1例报告。

JNMA; journal of the Nepal Medical Association Pub Date : 2024-11-01 Epub Date: 2024-11-30 DOI:10.31729/jnma.8804
Suman Paudel, Prerana Singh Rokaha, Pratik Singh Rokaha, Lalit Karki, Paras Thapa
{"title":"年轻男性平山病1例报告。","authors":"Suman Paudel, Prerana Singh Rokaha, Pratik Singh Rokaha, Lalit Karki, Paras Thapa","doi":"10.31729/jnma.8804","DOIUrl":null,"url":null,"abstract":"<p><p>Hirayama disease is a rare benign neurological disease that affects the anterior horn of the spinal cord at C5 to T1, mainly at C7 and C8 due to imbalance growth between the vertebral column and the dura mater leading to microcirculatory disturbances in the anterior portion of the spinal cord due to overstretched cord, especially during flexion of the neck causing unilateral or rarely asymmetrically bilateral upper limb weakness and muscle wasting. It is a case of a 21-year-old boy presented with weaknesses in his left hand and forearm for 2 years which aggravates during cold weather and flexion of the neck. A plain x-ray of the neck and MRI of the cervical spine were conducted which show the features of Hirayama disease.</p>","PeriodicalId":520657,"journal":{"name":"JNMA; journal of the Nepal Medical Association","volume":"62 279","pages":"770-773"},"PeriodicalIF":0.0000,"publicationDate":"2024-11-01","publicationTypes":"Journal Article","fieldsOfStudy":null,"isOpenAccess":false,"openAccessPdf":"https://www.ncbi.nlm.nih.gov/pmc/articles/PMC11931337/pdf/","citationCount":"0","resultStr":"{\"title\":\"Hirayama Disease in a Young Male: A Case Report.\",\"authors\":\"Suman Paudel, Prerana Singh Rokaha, Pratik Singh Rokaha, Lalit Karki, Paras Thapa\",\"doi\":\"10.31729/jnma.8804\",\"DOIUrl\":null,\"url\":null,\"abstract\":\"<p><p>Hirayama disease is a rare benign neurological disease that affects the anterior horn of the spinal cord at C5 to T1, mainly at C7 and C8 due to imbalance growth between the vertebral column and the dura mater leading to microcirculatory disturbances in the anterior portion of the spinal cord due to overstretched cord, especially during flexion of the neck causing unilateral or rarely asymmetrically bilateral upper limb weakness and muscle wasting. It is a case of a 21-year-old boy presented with weaknesses in his left hand and forearm for 2 years which aggravates during cold weather and flexion of the neck. A plain x-ray of the neck and MRI of the cervical spine were conducted which show the features of Hirayama disease.</p>\",\"PeriodicalId\":520657,\"journal\":{\"name\":\"JNMA; journal of the Nepal Medical Association\",\"volume\":\"62 279\",\"pages\":\"770-773\"},\"PeriodicalIF\":0.0000,\"publicationDate\":\"2024-11-01\",\"publicationTypes\":\"Journal Article\",\"fieldsOfStudy\":null,\"isOpenAccess\":false,\"openAccessPdf\":\"https://www.ncbi.nlm.nih.gov/pmc/articles/PMC11931337/pdf/\",\"citationCount\":\"0\",\"resultStr\":null,\"platform\":\"Semanticscholar\",\"paperid\":null,\"PeriodicalName\":\"JNMA; journal of the Nepal Medical Association\",\"FirstCategoryId\":\"1085\",\"ListUrlMain\":\"https://doi.org/10.31729/jnma.8804\",\"RegionNum\":0,\"RegionCategory\":null,\"ArticlePicture\":[],\"TitleCN\":null,\"AbstractTextCN\":null,\"PMCID\":null,\"EPubDate\":\"2024/11/30 0:00:00\",\"PubModel\":\"Epub\",\"JCR\":\"\",\"JCRName\":\"\",\"Score\":null,\"Total\":0}","platform":"Semanticscholar","paperid":null,"PeriodicalName":"JNMA; journal of the Nepal Medical Association","FirstCategoryId":"1085","ListUrlMain":"https://doi.org/10.31729/jnma.8804","RegionNum":0,"RegionCategory":null,"ArticlePicture":[],"TitleCN":null,"AbstractTextCN":null,"PMCID":null,"EPubDate":"2024/11/30 0:00:00","PubModel":"Epub","JCR":"","JCRName":"","Score":null,"Total":0}
引用次数: 0

摘要

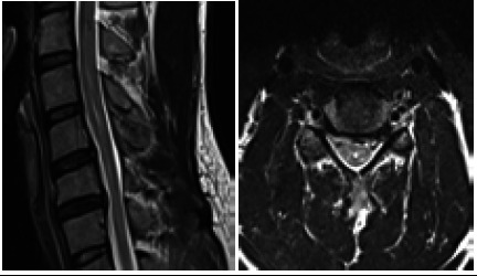
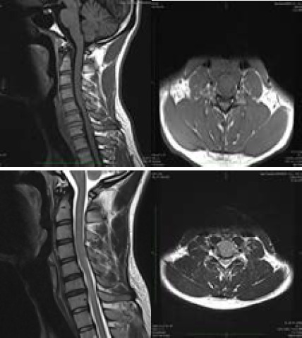
平山病是一种罕见的良性神经系统疾病,主要累及C5至T1脊髓前角,主要累及C7和C8。平山病是由于脊髓过度拉伸导致脊柱与硬脑膜之间生长不平衡,导致脊髓前部微循环紊乱,尤其是颈部屈曲时,引起单侧或很少不对称的双侧上肢无力和肌肉萎缩。这是一个21岁的男孩,他的左手和前臂虚弱了2年,在寒冷的天气和颈部弯曲时加重。颈部x线平片和颈椎MRI显示平山病的特征。
本文章由计算机程序翻译,如有差异,请以英文原文为准。

Hirayama Disease in a Young Male: A Case Report.

Hirayama Disease in a Young Male: A Case Report.

Hirayama Disease in a Young Male: A Case Report.

Hirayama Disease in a Young Male: A Case Report.

Hirayama disease is a rare benign neurological disease that affects the anterior horn of the spinal cord at C5 to T1, mainly at C7 and C8 due to imbalance growth between the vertebral column and the dura mater leading to microcirculatory disturbances in the anterior portion of the spinal cord due to overstretched cord, especially during flexion of the neck causing unilateral or rarely asymmetrically bilateral upper limb weakness and muscle wasting. It is a case of a 21-year-old boy presented with weaknesses in his left hand and forearm for 2 years which aggravates during cold weather and flexion of the neck. A plain x-ray of the neck and MRI of the cervical spine were conducted which show the features of Hirayama disease.

求助全文
通过发布文献求助,成功后即可免费获取论文全文。 去求助
来源期刊
自引率
0.00%
发文量
0
×
引用
GB/T 7714-2015
复制
MLA
复制
APA
复制
导出至
BibTeX EndNote RefMan NoteFirst NoteExpress
×
提示
您的信息不完整,为了账户安全,请先补充。
现在去补充
×
提示
您因"违规操作"
具体请查看互助需知
我知道了
×
提示
确定
请完成安全验证×
copy
已复制链接
快去分享给好友吧!
我知道了
右上角分享
点击右上角分享
0
联系我们:info@booksci.cn Book学术提供免费学术资源搜索服务,方便国内外学者检索中英文文献。致力于提供最便捷和优质的服务体验。 Copyright © 2023 布克学术 All rights reserved.
京ICP备2023020795号-1
ghs 京公网安备 11010802042870号
Book学术文献互助
Book学术文献互助群
群 号:604180095
Book学术官方微信