一名3岁儿童巨大肾母细胞瘤伴心内和下腔静脉血栓扩展的手术和诊断管理挑战:来自资源有限的机构,涉及全球和当地儿科外科团队的罕见病例。

IF 0.7 Q4 SURGERY
Mathayo Shadrack, Bernard Philip Magoda, Novath Ngowi, Victor Ngotta, Zaituni Bokhary, Martin Thomas Corbally
{"title":"一名3岁儿童巨大肾母细胞瘤伴心内和下腔静脉血栓扩展的手术和诊断管理挑战:来自资源有限的机构,涉及全球和当地儿科外科团队的罕见病例。","authors":"Mathayo Shadrack, Bernard Philip Magoda, Novath Ngowi, Victor Ngotta, Zaituni Bokhary, Martin Thomas Corbally","doi":"10.1016/j.ijscr.2025.111611","DOIUrl":null,"url":null,"abstract":"<p><strong>Background: </strong>Wilms tumor (nephroblastoma) is the most common renal malignancy in pediatric population, typically diagnosed before the age of 5. Vascular extension into the inferior vena cava (IVC) is seen in approximately 4-10 % of cases, but intracardiac extension, particularly into the right atrium, is exceedingly rare. Managing such advanced tumors in resource-limited settings presents major diagnostic and surgical challenges.</p><p><strong>Case presentation: </strong>Herein a rare case of a 3-year-old boy presenting with a giant Wilms tumor exhibiting extensive intravascular spread. Preoperative CT scans of the chest and abdomen revealed significant invasion into the IVC with thrombus extending into the right atrium. The patient underwent neoadjuvant chemotherapy, which led to marked tumor and thrombus reduction. Intraoperatively, the tumor was found adherent to the colon and left common iliac artery but was dissected without arterial injury. A massive intravascular thrombus was identified, forming a wandering thrombus, with evidence of collateral venous drainage indicating longstanding IVC obstruction. Cavotomy was performed, and the IVC was completely transected without hemodynamic compromise due to collateralization. The surgery was uneventful, and the patient recovered in the Pediatric Intensive Care Unit (PICU).</p><p><strong>Discussion: </strong>This case highlights the complexity of managing extensive Wilms tumor thrombus with intracardiac involvement in a low-resource environment. It underscores the role of neoadjuvant chemotherapy and surgical planning in achieving curative resection.</p><p><strong>Conclusion: </strong>Multidisciplinary coordination, preoperative chemotherapy, and understanding of collateral circulation allowed successful management of this rare and complex Wilms tumor case in a resource-constrained setting.</p>","PeriodicalId":48113,"journal":{"name":"International Journal of Surgery Case Reports","volume":"133 ","pages":"111611"},"PeriodicalIF":0.7000,"publicationDate":"2025-08-01","publicationTypes":"Journal Article","fieldsOfStudy":null,"isOpenAccess":false,"openAccessPdf":"https://www.ncbi.nlm.nih.gov/pmc/articles/PMC12275882/pdf/","citationCount":"0","resultStr":"{\"title\":\"Surgical and diagnostic management challenges of giant Wilms tumor with intracardial and IVC thrombus extension in a 3-year-old: A rare case from a resource-limited facility involving global and local pediatric surgical teams.\",\"authors\":\"Mathayo Shadrack, Bernard Philip Magoda, Novath Ngowi, Victor Ngotta, Zaituni Bokhary, Martin Thomas Corbally\",\"doi\":\"10.1016/j.ijscr.2025.111611\",\"DOIUrl\":null,\"url\":null,\"abstract\":\"<p><strong>Background: </strong>Wilms tumor (nephroblastoma) is the most common renal malignancy in pediatric population, typically diagnosed before the age of 5. Vascular extension into the inferior vena cava (IVC) is seen in approximately 4-10 % of cases, but intracardiac extension, particularly into the right atrium, is exceedingly rare. Managing such advanced tumors in resource-limited settings presents major diagnostic and surgical challenges.</p><p><strong>Case presentation: </strong>Herein a rare case of a 3-year-old boy presenting with a giant Wilms tumor exhibiting extensive intravascular spread. Preoperative CT scans of the chest and abdomen revealed significant invasion into the IVC with thrombus extending into the right atrium. The patient underwent neoadjuvant chemotherapy, which led to marked tumor and thrombus reduction. Intraoperatively, the tumor was found adherent to the colon and left common iliac artery but was dissected without arterial injury. A massive intravascular thrombus was identified, forming a wandering thrombus, with evidence of collateral venous drainage indicating longstanding IVC obstruction. Cavotomy was performed, and the IVC was completely transected without hemodynamic compromise due to collateralization. The surgery was uneventful, and the patient recovered in the Pediatric Intensive Care Unit (PICU).</p><p><strong>Discussion: </strong>This case highlights the complexity of managing extensive Wilms tumor thrombus with intracardiac involvement in a low-resource environment. It underscores the role of neoadjuvant chemotherapy and surgical planning in achieving curative resection.</p><p><strong>Conclusion: </strong>Multidisciplinary coordination, preoperative chemotherapy, and understanding of collateral circulation allowed successful management of this rare and complex Wilms tumor case in a resource-constrained setting.</p>\",\"PeriodicalId\":48113,\"journal\":{\"name\":\"International Journal of Surgery Case Reports\",\"volume\":\"133 \",\"pages\":\"111611\"},\"PeriodicalIF\":0.7000,\"publicationDate\":\"2025-08-01\",\"publicationTypes\":\"Journal Article\",\"fieldsOfStudy\":null,\"isOpenAccess\":false,\"openAccessPdf\":\"https://www.ncbi.nlm.nih.gov/pmc/articles/PMC12275882/pdf/\",\"citationCount\":\"0\",\"resultStr\":null,\"platform\":\"Semanticscholar\",\"paperid\":null,\"PeriodicalName\":\"International Journal of Surgery Case Reports\",\"FirstCategoryId\":\"1085\",\"ListUrlMain\":\"https://doi.org/10.1016/j.ijscr.2025.111611\",\"RegionNum\":0,\"RegionCategory\":null,\"ArticlePicture\":[],\"TitleCN\":null,\"AbstractTextCN\":null,\"PMCID\":null,\"EPubDate\":\"2025/7/5 0:00:00\",\"PubModel\":\"Epub\",\"JCR\":\"Q4\",\"JCRName\":\"SURGERY\",\"Score\":null,\"Total\":0}","platform":"Semanticscholar","paperid":null,"PeriodicalName":"International Journal of Surgery Case Reports","FirstCategoryId":"1085","ListUrlMain":"https://doi.org/10.1016/j.ijscr.2025.111611","RegionNum":0,"RegionCategory":null,"ArticlePicture":[],"TitleCN":null,"AbstractTextCN":null,"PMCID":null,"EPubDate":"2025/7/5 0:00:00","PubModel":"Epub","JCR":"Q4","JCRName":"SURGERY","Score":null,"Total":0}
引用次数: 0

摘要

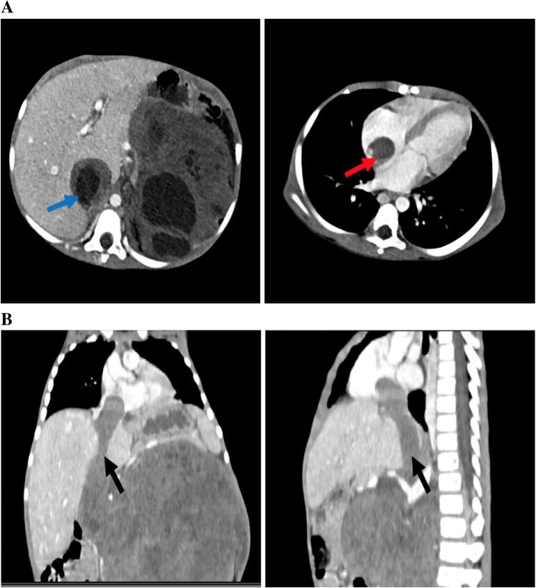
背景:肾母细胞瘤是儿童最常见的肾脏恶性肿瘤,通常在5岁前被诊断出来。血管延伸至下腔静脉(IVC)在大约4- 10%的病例中可见,但心内延伸,特别是进入右心房是非常罕见的。在资源有限的环境中管理这种晚期肿瘤提出了主要的诊断和手术挑战。病例介绍:这是一个罕见的3岁男孩的病例,表现为巨大的肾母细胞瘤,表现为广泛的血管内扩散。术前胸部和腹部CT扫描显示明显侵犯下腔静脉,血栓延伸至右心房。患者接受了新辅助化疗,肿瘤和血栓明显减少。术中发现肿瘤附着于结肠和左髂总动脉,但被切除,动脉未损伤。发现大量血管内血栓,形成游离血栓,伴侧静脉引流,提示长期内腔梗阻。行腔切开术,完全横切下腔静脉,没有因侧支而损害血流动力学。手术很顺利,患者在儿科重症监护病房(PICU)康复。讨论:本病例强调了在低资源环境下处理广泛Wilms肿瘤血栓并累及心内的复杂性。它强调了新辅助化疗和手术计划在实现治愈性切除中的作用。结论:在资源有限的情况下,多学科协调、术前化疗和对侧支循环的了解使这一罕见而复杂的肾母细胞瘤病例得到了成功的治疗。
本文章由计算机程序翻译,如有差异,请以英文原文为准。

Surgical and diagnostic management challenges of giant Wilms tumor with intracardial and IVC thrombus extension in a 3-year-old: A rare case from a resource-limited facility involving global and local pediatric surgical teams.

Surgical and diagnostic management challenges of giant Wilms tumor with intracardial and IVC thrombus extension in a 3-year-old: A rare case from a resource-limited facility involving global and local pediatric surgical teams.

Surgical and diagnostic management challenges of giant Wilms tumor with intracardial and IVC thrombus extension in a 3-year-old: A rare case from a resource-limited facility involving global and local pediatric surgical teams.

Surgical and diagnostic management challenges of giant Wilms tumor with intracardial and IVC thrombus extension in a 3-year-old: A rare case from a resource-limited facility involving global and local pediatric surgical teams.

Background: Wilms tumor (nephroblastoma) is the most common renal malignancy in pediatric population, typically diagnosed before the age of 5. Vascular extension into the inferior vena cava (IVC) is seen in approximately 4-10 % of cases, but intracardiac extension, particularly into the right atrium, is exceedingly rare. Managing such advanced tumors in resource-limited settings presents major diagnostic and surgical challenges.

Case presentation: Herein a rare case of a 3-year-old boy presenting with a giant Wilms tumor exhibiting extensive intravascular spread. Preoperative CT scans of the chest and abdomen revealed significant invasion into the IVC with thrombus extending into the right atrium. The patient underwent neoadjuvant chemotherapy, which led to marked tumor and thrombus reduction. Intraoperatively, the tumor was found adherent to the colon and left common iliac artery but was dissected without arterial injury. A massive intravascular thrombus was identified, forming a wandering thrombus, with evidence of collateral venous drainage indicating longstanding IVC obstruction. Cavotomy was performed, and the IVC was completely transected without hemodynamic compromise due to collateralization. The surgery was uneventful, and the patient recovered in the Pediatric Intensive Care Unit (PICU).

Discussion: This case highlights the complexity of managing extensive Wilms tumor thrombus with intracardiac involvement in a low-resource environment. It underscores the role of neoadjuvant chemotherapy and surgical planning in achieving curative resection.

Conclusion: Multidisciplinary coordination, preoperative chemotherapy, and understanding of collateral circulation allowed successful management of this rare and complex Wilms tumor case in a resource-constrained setting.

求助全文
通过发布文献求助,成功后即可免费获取论文全文。 去求助
来源期刊
CiteScore
1.10
自引率
0.00%
发文量
1116
审稿时长
46 days
×
引用
GB/T 7714-2015
复制
MLA
复制
APA
复制
导出至
BibTeX EndNote RefMan NoteFirst NoteExpress
×
提示
您的信息不完整,为了账户安全,请先补充。
现在去补充
×
提示
您因"违规操作"
具体请查看互助需知
我知道了
×
提示
确定
请完成安全验证×
copy
已复制链接
快去分享给好友吧!
我知道了
右上角分享
点击右上角分享
0
联系我们:info@booksci.cn Book学术提供免费学术资源搜索服务,方便国内外学者检索中英文文献。致力于提供最便捷和优质的服务体验。 Copyright © 2023 布克学术 All rights reserved.
京ICP备2023020795号-1
ghs 京公网安备 11010802042870号
Book学术文献互助
Book学术文献互助群
群 号:604180095
Book学术官方微信