小儿肝移植中动脉血栓形成:阿替普酶的初步经验- 1例报告。

IF 0.7 Q4 SURGERY
Tri Thanh Tran, Kiet Tuan Phan, Duy Phi Ho, Vi Nguyen Ha Trinh, Thuan Nguyen An Luu, Trung Hai Bui
{"title":"小儿肝移植中动脉血栓形成:阿替普酶的初步经验- 1例报告。","authors":"Tri Thanh Tran, Kiet Tuan Phan, Duy Phi Ho, Vi Nguyen Ha Trinh, Thuan Nguyen An Luu, Trung Hai Bui","doi":"10.1016/j.ijscr.2025.111638","DOIUrl":null,"url":null,"abstract":"<p><strong>Introduction and importance: </strong>Early hepatic artery thrombosis is a serious complication following pediatric liver transplantation, often associated with high morbidity and mortality. While surgical revascularization and retransplantation are the standard treatments, thrombolytic therapy has emerged as a potential alternative. However, clinical reports remain limited and standardized protocols are lacking.</p><p><strong>Presentation of case: </strong>A 13-month-old infant with biliary atresia post-Kasai procedure underwent living donor liver transplantation. On postoperative day 9, Doppler ultrasound detected signs of impending hepatic artery thrombosis, which was confirmed by computed tomography angiography. The patient was treated with intravenous alteplase at a dose of 0.3 mg/kg/h. After 3.5 hours of infusion, Doppler ultrasound showed improved hepatic artery flow. The infusion was stopped early due to intra-abdominal bleeding, which was managed conservatively. The patient stabilized without surgical intervention and was discharged on postoperative day 32 with stable hepatic artery flow. At six-month follow-up, the hepatic artery remained patent, and the patient was clinically stable.</p><p><strong>Clinical discussion: </strong>This case supports the effectiveness of alteplase administration in treating incomplete hepatic artery thrombosis, despite its bleeding risk. We recommend lower dose regimens to reduce hemorrhagic complications. However, further studies are needed to optimize the alteplase dosage.</p><p><strong>Conclusion: </strong>Thrombolytic therapy with alteplase is a possible and effective alternative in managing eHAT, particularly where conventional options are not indicated or limited.</p>","PeriodicalId":48113,"journal":{"name":"International Journal of Surgery Case Reports","volume":"133 ","pages":"111638"},"PeriodicalIF":0.7000,"publicationDate":"2025-08-01","publicationTypes":"Journal Article","fieldsOfStudy":null,"isOpenAccess":false,"openAccessPdf":"https://www.ncbi.nlm.nih.gov/pmc/articles/PMC12275143/pdf/","citationCount":"0","resultStr":"{\"title\":\"Impending arterial thrombosis in pediatric liver transplantation: Initial experience with alteplase - A case report.\",\"authors\":\"Tri Thanh Tran, Kiet Tuan Phan, Duy Phi Ho, Vi Nguyen Ha Trinh, Thuan Nguyen An Luu, Trung Hai Bui\",\"doi\":\"10.1016/j.ijscr.2025.111638\",\"DOIUrl\":null,\"url\":null,\"abstract\":\"<p><strong>Introduction and importance: </strong>Early hepatic artery thrombosis is a serious complication following pediatric liver transplantation, often associated with high morbidity and mortality. While surgical revascularization and retransplantation are the standard treatments, thrombolytic therapy has emerged as a potential alternative. However, clinical reports remain limited and standardized protocols are lacking.</p><p><strong>Presentation of case: </strong>A 13-month-old infant with biliary atresia post-Kasai procedure underwent living donor liver transplantation. On postoperative day 9, Doppler ultrasound detected signs of impending hepatic artery thrombosis, which was confirmed by computed tomography angiography. The patient was treated with intravenous alteplase at a dose of 0.3 mg/kg/h. After 3.5 hours of infusion, Doppler ultrasound showed improved hepatic artery flow. The infusion was stopped early due to intra-abdominal bleeding, which was managed conservatively. The patient stabilized without surgical intervention and was discharged on postoperative day 32 with stable hepatic artery flow. At six-month follow-up, the hepatic artery remained patent, and the patient was clinically stable.</p><p><strong>Clinical discussion: </strong>This case supports the effectiveness of alteplase administration in treating incomplete hepatic artery thrombosis, despite its bleeding risk. We recommend lower dose regimens to reduce hemorrhagic complications. However, further studies are needed to optimize the alteplase dosage.</p><p><strong>Conclusion: </strong>Thrombolytic therapy with alteplase is a possible and effective alternative in managing eHAT, particularly where conventional options are not indicated or limited.</p>\",\"PeriodicalId\":48113,\"journal\":{\"name\":\"International Journal of Surgery Case Reports\",\"volume\":\"133 \",\"pages\":\"111638\"},\"PeriodicalIF\":0.7000,\"publicationDate\":\"2025-08-01\",\"publicationTypes\":\"Journal Article\",\"fieldsOfStudy\":null,\"isOpenAccess\":false,\"openAccessPdf\":\"https://www.ncbi.nlm.nih.gov/pmc/articles/PMC12275143/pdf/\",\"citationCount\":\"0\",\"resultStr\":null,\"platform\":\"Semanticscholar\",\"paperid\":null,\"PeriodicalName\":\"International Journal of Surgery Case Reports\",\"FirstCategoryId\":\"1085\",\"ListUrlMain\":\"https://doi.org/10.1016/j.ijscr.2025.111638\",\"RegionNum\":0,\"RegionCategory\":null,\"ArticlePicture\":[],\"TitleCN\":null,\"AbstractTextCN\":null,\"PMCID\":null,\"EPubDate\":\"2025/7/9 0:00:00\",\"PubModel\":\"Epub\",\"JCR\":\"Q4\",\"JCRName\":\"SURGERY\",\"Score\":null,\"Total\":0}","platform":"Semanticscholar","paperid":null,"PeriodicalName":"International Journal of Surgery Case Reports","FirstCategoryId":"1085","ListUrlMain":"https://doi.org/10.1016/j.ijscr.2025.111638","RegionNum":0,"RegionCategory":null,"ArticlePicture":[],"TitleCN":null,"AbstractTextCN":null,"PMCID":null,"EPubDate":"2025/7/9 0:00:00","PubModel":"Epub","JCR":"Q4","JCRName":"SURGERY","Score":null,"Total":0}
引用次数: 0

摘要

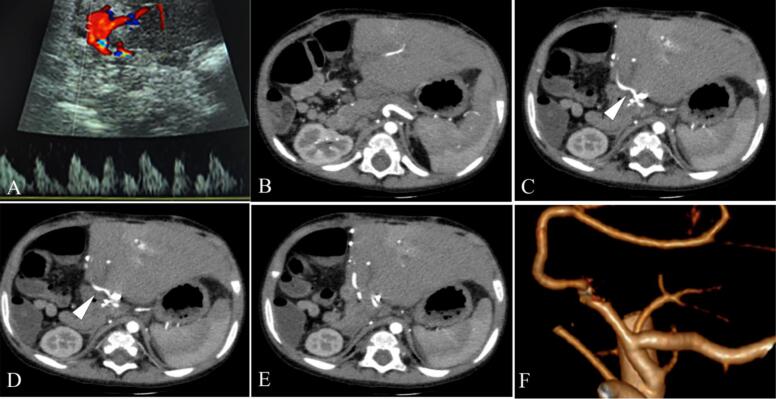
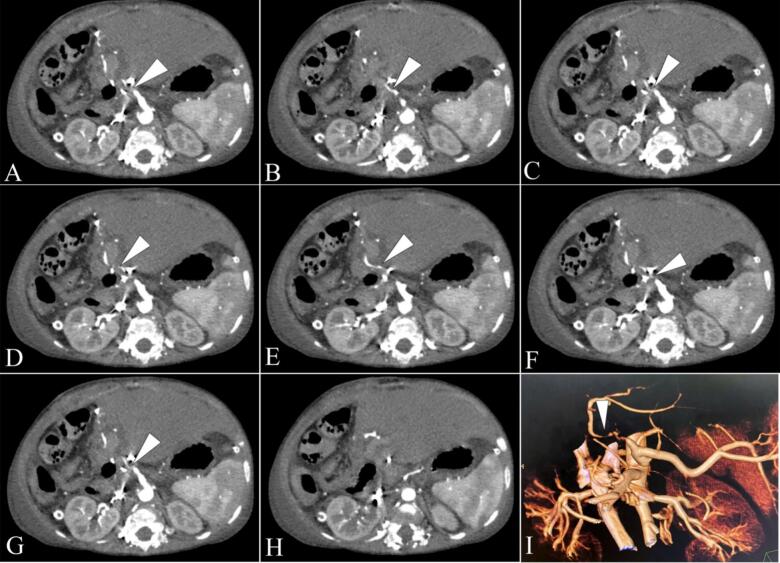
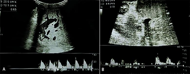
简介及重要性:早期肝动脉血栓形成是儿童肝移植术后的严重并发症,通常与高发病率和死亡率相关。虽然外科血管重建术和再移植是标准的治疗方法,但溶栓治疗已成为一种潜在的替代方法。然而,临床报告仍然有限,缺乏标准化的方案。病例介绍:一名13个月大的婴儿在kasai手术后胆道闭锁接受活体肝移植。术后第9天,多普勒超声检测到肝动脉血栓的迹象,并通过计算机断层血管造影证实。患者静脉注射阿替普酶,剂量为0.3 mg/kg/h。输注3.5小时后,多普勒超声显示肝动脉血流改善。由于腹腔内出血,早期停止输注,并予以保守处理。患者病情稳定,无需手术干预,术后第32天出院,肝动脉血流稳定。随访6个月,肝动脉通畅,患者临床稳定。临床讨论:本病例支持阿替普酶治疗不完全性肝动脉血栓形成的有效性,尽管存在出血风险。我们推荐低剂量方案以减少出血性并发症。然而,优化阿替普酶的剂量还需要进一步的研究。结论:阿替普酶溶栓治疗是治疗eHAT的一种可能且有效的替代方法,特别是在常规方法不适用或有限的情况下。
本文章由计算机程序翻译,如有差异,请以英文原文为准。

Impending arterial thrombosis in pediatric liver transplantation: Initial experience with alteplase - A case report.

Impending arterial thrombosis in pediatric liver transplantation: Initial experience with alteplase - A case report.

Impending arterial thrombosis in pediatric liver transplantation: Initial experience with alteplase - A case report.

Impending arterial thrombosis in pediatric liver transplantation: Initial experience with alteplase - A case report.

Introduction and importance: Early hepatic artery thrombosis is a serious complication following pediatric liver transplantation, often associated with high morbidity and mortality. While surgical revascularization and retransplantation are the standard treatments, thrombolytic therapy has emerged as a potential alternative. However, clinical reports remain limited and standardized protocols are lacking.

Presentation of case: A 13-month-old infant with biliary atresia post-Kasai procedure underwent living donor liver transplantation. On postoperative day 9, Doppler ultrasound detected signs of impending hepatic artery thrombosis, which was confirmed by computed tomography angiography. The patient was treated with intravenous alteplase at a dose of 0.3 mg/kg/h. After 3.5 hours of infusion, Doppler ultrasound showed improved hepatic artery flow. The infusion was stopped early due to intra-abdominal bleeding, which was managed conservatively. The patient stabilized without surgical intervention and was discharged on postoperative day 32 with stable hepatic artery flow. At six-month follow-up, the hepatic artery remained patent, and the patient was clinically stable.

Clinical discussion: This case supports the effectiveness of alteplase administration in treating incomplete hepatic artery thrombosis, despite its bleeding risk. We recommend lower dose regimens to reduce hemorrhagic complications. However, further studies are needed to optimize the alteplase dosage.

Conclusion: Thrombolytic therapy with alteplase is a possible and effective alternative in managing eHAT, particularly where conventional options are not indicated or limited.

求助全文
通过发布文献求助,成功后即可免费获取论文全文。 去求助
来源期刊
CiteScore
1.10
自引率
0.00%
发文量
1116
审稿时长
46 days
×
引用
GB/T 7714-2015
复制
MLA
复制
APA
复制
导出至
BibTeX EndNote RefMan NoteFirst NoteExpress
×
提示
您的信息不完整,为了账户安全,请先补充。
现在去补充
×
提示
您因"违规操作"
具体请查看互助需知
我知道了
×
提示
确定
请完成安全验证×
copy
已复制链接
快去分享给好友吧!
我知道了
右上角分享
点击右上角分享
0
联系我们:info@booksci.cn Book学术提供免费学术资源搜索服务,方便国内外学者检索中英文文献。致力于提供最便捷和优质的服务体验。 Copyright © 2023 布克学术 All rights reserved.
京ICP备2023020795号-1
ghs 京公网安备 11010802042870号
Book学术文献互助
Book学术文献互助群
群 号:604180095
Book学术官方微信