高危妊娠合并颅咽管瘤:在体外受精后妊娠期间视力损害和肿瘤切除的背景下的诊断。

IF 0.7 Q4 ENDOCRINOLOGY & METABOLISM
Yuki Tsujimoto, Kenji Yamashiro, Yui Watanabe, Haruna Okubo, Akihiro Hasegawa, Ryosuke Mori, Osamu Samura, Yudo Ishii, Rimei Nishimura
{"title":"高危妊娠合并颅咽管瘤:在体外受精后妊娠期间视力损害和肿瘤切除的背景下的诊断。","authors":"Yuki Tsujimoto, Kenji Yamashiro, Yui Watanabe, Haruna Okubo, Akihiro Hasegawa, Ryosuke Mori, Osamu Samura, Yudo Ishii, Rimei Nishimura","doi":"10.1530/EDM-25-0028","DOIUrl":null,"url":null,"abstract":"<p><strong>Summary: </strong>This report describes the case of a 37-year-old woman diagnosed with a craniopharyngioma during pregnancy. The patient initially presented with visual impairment at 15 weeks of gestation, and MRI revealed a cystic suprasellar tumor. Endocrine evaluation indicated central hypothyroidism, and central adrenal insufficiency could not be definitively ruled out based on a basal 08:00 h cortisol, as the patient was pregnant and treatment with hydrocortisone was initiated empirically. Hydrocortisone 10 mg/day and levothyroxine 25 µg/day were initiated, but rapid visual deterioration and polyuria by 21 weeks necessitated surgical intervention. She underwent successful treatment with endoscopic transsphenoidal surgery during the second trimester. Adrenal function was assessed on postoperative day 7 based on baseline values, but hydrocortisone was maintained given the risk during pregnancy. At 6 weeks after surgery, pituitary hormones were reassessed, and hydrocortisone, levothyroxine, and desmopressin were continued. Arginine vasopressin deficiency was diagnosed based on polyuria, hypotonic urine, and response to desmopressin, as formal testing was high risk both before and after surgery. Postoperatively, endocrine status was monitored, and pregnancy progressed uneventfully. She underwent an elective cesarean section at 38 weeks of gestation. At 6 months postpartum, MRI revealed residual tumor along the pituitary stalk extending from the right optic chiasm. At 9 months postpartum, the patient had persistent central hypothyroidism, hypogonadism, and newly diagnosed adult GH deficiency. Normal adrenal function allowed discontinuation of hydrocortisone. GH therapy was planned pending tumor assessment. This case underscores the importance of a multidisciplinary approach involving obstetrics, neurosurgery, and endocrinology in managing craniopharyngiomas during pregnancy.</p><p><strong>Learning points: </strong>Regardless of pregnancy planning, central hypogonadism should always be investigated with a brain MRI to determine its etiology, including the potential presence of a craniopharyngioma or other sellar/parasellar lesions. If a craniopharyngioma enlarges during pregnancy and causes visual impairment, surgical intervention can be performed through multidisciplinary collaboration. The mode of delivery in patients with panhypopituitarism should be carefully determined through multidisciplinary consultation between obstetricians and endocrinologists, with consideration of planned cesarean section as a potential option.</p>","PeriodicalId":37467,"journal":{"name":"Endocrinology, Diabetes and Metabolism Case Reports","volume":"2025 3","pages":""},"PeriodicalIF":0.7000,"publicationDate":"2025-07-10","publicationTypes":"Journal Article","fieldsOfStudy":null,"isOpenAccess":false,"openAccessPdf":"https://www.ncbi.nlm.nih.gov/pmc/articles/PMC12260149/pdf/","citationCount":"0","resultStr":"{\"title\":\"High-risk pregnancy complicated by craniopharyngioma: diagnosis in the context of visual impairment and tumor resection during pregnancy following IVF.\",\"authors\":\"Yuki Tsujimoto, Kenji Yamashiro, Yui Watanabe, Haruna Okubo, Akihiro Hasegawa, Ryosuke Mori, Osamu Samura, Yudo Ishii, Rimei Nishimura\",\"doi\":\"10.1530/EDM-25-0028\",\"DOIUrl\":null,\"url\":null,\"abstract\":\"<p><strong>Summary: </strong>This report describes the case of a 37-year-old woman diagnosed with a craniopharyngioma during pregnancy. The patient initially presented with visual impairment at 15 weeks of gestation, and MRI revealed a cystic suprasellar tumor. Endocrine evaluation indicated central hypothyroidism, and central adrenal insufficiency could not be definitively ruled out based on a basal 08:00 h cortisol, as the patient was pregnant and treatment with hydrocortisone was initiated empirically. Hydrocortisone 10 mg/day and levothyroxine 25 µg/day were initiated, but rapid visual deterioration and polyuria by 21 weeks necessitated surgical intervention. She underwent successful treatment with endoscopic transsphenoidal surgery during the second trimester. Adrenal function was assessed on postoperative day 7 based on baseline values, but hydrocortisone was maintained given the risk during pregnancy. At 6 weeks after surgery, pituitary hormones were reassessed, and hydrocortisone, levothyroxine, and desmopressin were continued. Arginine vasopressin deficiency was diagnosed based on polyuria, hypotonic urine, and response to desmopressin, as formal testing was high risk both before and after surgery. Postoperatively, endocrine status was monitored, and pregnancy progressed uneventfully. She underwent an elective cesarean section at 38 weeks of gestation. At 6 months postpartum, MRI revealed residual tumor along the pituitary stalk extending from the right optic chiasm. At 9 months postpartum, the patient had persistent central hypothyroidism, hypogonadism, and newly diagnosed adult GH deficiency. Normal adrenal function allowed discontinuation of hydrocortisone. GH therapy was planned pending tumor assessment. This case underscores the importance of a multidisciplinary approach involving obstetrics, neurosurgery, and endocrinology in managing craniopharyngiomas during pregnancy.</p><p><strong>Learning points: </strong>Regardless of pregnancy planning, central hypogonadism should always be investigated with a brain MRI to determine its etiology, including the potential presence of a craniopharyngioma or other sellar/parasellar lesions. If a craniopharyngioma enlarges during pregnancy and causes visual impairment, surgical intervention can be performed through multidisciplinary collaboration. The mode of delivery in patients with panhypopituitarism should be carefully determined through multidisciplinary consultation between obstetricians and endocrinologists, with consideration of planned cesarean section as a potential option.</p>\",\"PeriodicalId\":37467,\"journal\":{\"name\":\"Endocrinology, Diabetes and Metabolism Case Reports\",\"volume\":\"2025 3\",\"pages\":\"\"},\"PeriodicalIF\":0.7000,\"publicationDate\":\"2025-07-10\",\"publicationTypes\":\"Journal Article\",\"fieldsOfStudy\":null,\"isOpenAccess\":false,\"openAccessPdf\":\"https://www.ncbi.nlm.nih.gov/pmc/articles/PMC12260149/pdf/\",\"citationCount\":\"0\",\"resultStr\":null,\"platform\":\"Semanticscholar\",\"paperid\":null,\"PeriodicalName\":\"Endocrinology, Diabetes and Metabolism Case Reports\",\"FirstCategoryId\":\"1085\",\"ListUrlMain\":\"https://doi.org/10.1530/EDM-25-0028\",\"RegionNum\":0,\"RegionCategory\":null,\"ArticlePicture\":[],\"TitleCN\":null,\"AbstractTextCN\":null,\"PMCID\":null,\"EPubDate\":\"2025/7/1 0:00:00\",\"PubModel\":\"Print\",\"JCR\":\"Q4\",\"JCRName\":\"ENDOCRINOLOGY & METABOLISM\",\"Score\":null,\"Total\":0}","platform":"Semanticscholar","paperid":null,"PeriodicalName":"Endocrinology, Diabetes and Metabolism Case Reports","FirstCategoryId":"1085","ListUrlMain":"https://doi.org/10.1530/EDM-25-0028","RegionNum":0,"RegionCategory":null,"ArticlePicture":[],"TitleCN":null,"AbstractTextCN":null,"PMCID":null,"EPubDate":"2025/7/1 0:00:00","PubModel":"Print","JCR":"Q4","JCRName":"ENDOCRINOLOGY & METABOLISM","Score":null,"Total":0}
引用次数: 0

摘要

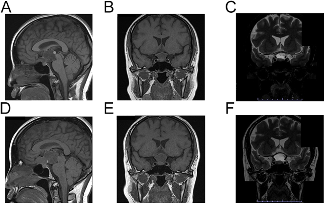
摘要:本报告描述了一个37岁的妇女在怀孕期间被诊断为颅咽管瘤的病例。患者最初在妊娠15周出现视力障碍,MRI显示囊性鞍上肿瘤。内分泌评价提示中枢性甲状腺功能减退,08:00 h基础皮质醇不能明确排除中枢性肾上腺功能不全,因为患者已怀孕且开始使用氢化可的松治疗。开始使用氢化可的松10 mg/天,左旋甲状腺素25µg/天,但21周时视力迅速恶化和多尿需要手术干预。在妊娠中期,她成功地接受了经蝶腔手术治疗。术后第7天根据基线值评估肾上腺功能,但考虑到妊娠期间的风险,维持氢化可的松。术后6周,重新评估垂体激素,继续使用氢化可的松、左甲状腺素和去氨加压素。精氨酸抗利尿素缺乏症的诊断是基于多尿、低张力尿和对去氨加压素的反应,因为术前和术后的正式检测都是高风险的。术后监测内分泌状况,妊娠进展顺利。她在怀孕38周时接受了选择性剖宫产手术。产后6个月,MRI显示残留肿瘤沿垂体柄向右视交叉延伸。产后9个月,患者出现持续性中枢性甲状腺功能减退、性腺功能减退和新诊断的成人生长激素缺乏症。正常的肾上腺功能允许停止氢化可的松。生长激素治疗计划等待肿瘤评估。本病例强调了多学科治疗妊娠期颅咽管瘤的重要性,包括产科、神经外科和内分泌学。学习要点:无论是否有妊娠计划,中枢性性腺功能减退都应该通过脑MRI检查来确定其病因,包括颅咽管瘤或其他鞍区/鞍旁病变的潜在存在。如果颅咽管瘤在怀孕期间扩大并导致视力损害,可以通过多学科合作进行手术干预。全垂体功能低下患者的分娩方式应通过产科医生和内分泌学家的多学科咨询仔细确定,并考虑计划剖宫产作为一种潜在的选择。
本文章由计算机程序翻译,如有差异,请以英文原文为准。

High-risk pregnancy complicated by craniopharyngioma: diagnosis in the context of visual impairment and tumor resection during pregnancy following IVF.

High-risk pregnancy complicated by craniopharyngioma: diagnosis in the context of visual impairment and tumor resection during pregnancy following IVF.

High-risk pregnancy complicated by craniopharyngioma: diagnosis in the context of visual impairment and tumor resection during pregnancy following IVF.

High-risk pregnancy complicated by craniopharyngioma: diagnosis in the context of visual impairment and tumor resection during pregnancy following IVF.

Summary: This report describes the case of a 37-year-old woman diagnosed with a craniopharyngioma during pregnancy. The patient initially presented with visual impairment at 15 weeks of gestation, and MRI revealed a cystic suprasellar tumor. Endocrine evaluation indicated central hypothyroidism, and central adrenal insufficiency could not be definitively ruled out based on a basal 08:00 h cortisol, as the patient was pregnant and treatment with hydrocortisone was initiated empirically. Hydrocortisone 10 mg/day and levothyroxine 25 µg/day were initiated, but rapid visual deterioration and polyuria by 21 weeks necessitated surgical intervention. She underwent successful treatment with endoscopic transsphenoidal surgery during the second trimester. Adrenal function was assessed on postoperative day 7 based on baseline values, but hydrocortisone was maintained given the risk during pregnancy. At 6 weeks after surgery, pituitary hormones were reassessed, and hydrocortisone, levothyroxine, and desmopressin were continued. Arginine vasopressin deficiency was diagnosed based on polyuria, hypotonic urine, and response to desmopressin, as formal testing was high risk both before and after surgery. Postoperatively, endocrine status was monitored, and pregnancy progressed uneventfully. She underwent an elective cesarean section at 38 weeks of gestation. At 6 months postpartum, MRI revealed residual tumor along the pituitary stalk extending from the right optic chiasm. At 9 months postpartum, the patient had persistent central hypothyroidism, hypogonadism, and newly diagnosed adult GH deficiency. Normal adrenal function allowed discontinuation of hydrocortisone. GH therapy was planned pending tumor assessment. This case underscores the importance of a multidisciplinary approach involving obstetrics, neurosurgery, and endocrinology in managing craniopharyngiomas during pregnancy.

Learning points: Regardless of pregnancy planning, central hypogonadism should always be investigated with a brain MRI to determine its etiology, including the potential presence of a craniopharyngioma or other sellar/parasellar lesions. If a craniopharyngioma enlarges during pregnancy and causes visual impairment, surgical intervention can be performed through multidisciplinary collaboration. The mode of delivery in patients with panhypopituitarism should be carefully determined through multidisciplinary consultation between obstetricians and endocrinologists, with consideration of planned cesarean section as a potential option.

求助全文
通过发布文献求助,成功后即可免费获取论文全文。 去求助
来源期刊
CiteScore
1.50
自引率
0.00%
发文量
142
审稿时长
9 weeks
期刊介绍: Endocrinology, Diabetes & Metabolism Case Reports publishes case reports on common and rare conditions in all areas of clinical endocrinology, diabetes and metabolism. Articles should include clear learning points which readers can use to inform medical education or clinical practice. The types of cases of interest to Endocrinology, Diabetes & Metabolism Case Reports include: -Insight into disease pathogenesis or mechanism of therapy - Novel diagnostic procedure - Novel treatment - Unique/unexpected symptoms or presentations of a disease - New disease or syndrome: presentations/diagnosis/management - Unusual effects of medical treatment - Error in diagnosis/pitfalls and caveats
×
引用
GB/T 7714-2015
复制
MLA
复制
APA
复制
导出至
BibTeX EndNote RefMan NoteFirst NoteExpress
×
提示
您的信息不完整,为了账户安全,请先补充。
现在去补充
×
提示
您因"违规操作"
具体请查看互助需知
我知道了
×
提示
确定
请完成安全验证×
copy
已复制链接
快去分享给好友吧!
我知道了
右上角分享
点击右上角分享
0
联系我们:info@booksci.cn Book学术提供免费学术资源搜索服务,方便国内外学者检索中英文文献。致力于提供最便捷和优质的服务体验。 Copyright © 2023 布克学术 All rights reserved.
京ICP备2023020795号-1
ghs 京公网安备 11010802042870号
Book学术文献互助
Book学术文献互助群
群 号:604180095
Book学术官方微信