肿瘤骨病变中携带t(4;11;14;12)的新型FRMD6::PTH嵌合体(q35;p15;q22;q13)。

IF 2.3 4区 医学 Q3 ONCOLOGY
Pathology & Oncology Research Pub Date : 2025-06-26 eCollection Date: 2025-01-01 DOI:10.3389/pore.2025.1612096
Ioannis Panagopoulos, Kristin Andersen, Isabel Lloret, Ludmila Gorunova, Ingvild Lobmaier
{"title":"肿瘤骨病变中携带t(4;11;14;12)的新型FRMD6::PTH嵌合体(q35;p15;q22;q13)。","authors":"Ioannis Panagopoulos, Kristin Andersen, Isabel Lloret, Ludmila Gorunova, Ingvild Lobmaier","doi":"10.3389/pore.2025.1612096","DOIUrl":null,"url":null,"abstract":"<p><strong>Background: </strong>Benign fibro-osseous lesions are characterized by the replacement of normal bone with cellular fibrous connective tissue with new bone formation. The published cytogenetic information on these tumors is limited to only few cases. Here, we report the cytogenetic and molecular genetic findings of a fibro-osseous tumor.</p><p><strong>Methods: </strong>A fibro-osseous lesion was investigated for genetic abnormalities using banding cytogenetics, fluorescence <i>in situ</i> hybridization (FISH), RNA sequencing, and direct cycle Sanger sequencing.</p><p><strong>Results: </strong>The karyotype was 46,XX,t(4;11;14;12)(q35;p15;q22;q13)[7]/46,XX [3], with no rearrangement of <i>HMGA2</i>. RNA sequencing revealed two <i>FRMD6::PTH</i> chimeric transcripts, originating from the fusion point 14q22;11p15 of the t(4;11;14;12). In these transcripts, exon 1 of <i>FRMD6</i> fused to either exon 1 or exon 2 of <i>PTH</i>. Direct cycle sequencing confirmed the presence of these <i>FRMD6::PTH</i> chimeric transcripts.</p><p><strong>Conclusion: </strong>This study reports, for the first time, the presence of the <i>FRMD6::PTH</i> chimera in fibro-osseous tumor. In this chimera the expression of the entire coding region of <i>PTH</i> is regulated by the ubiquitously expressed <i>FRMD6</i> gene promoter. Dysregulation of <i>PTH</i> expression may have significant implications for processes regulated by PTH protein.</p>","PeriodicalId":19981,"journal":{"name":"Pathology & Oncology Research","volume":"31 ","pages":"1612096"},"PeriodicalIF":2.3000,"publicationDate":"2025-06-26","publicationTypes":"Journal Article","fieldsOfStudy":null,"isOpenAccess":false,"openAccessPdf":"https://www.ncbi.nlm.nih.gov/pmc/articles/PMC12240868/pdf/","citationCount":"0","resultStr":"{\"title\":\"Novel <i>FRMD6::PTH</i> chimera in tumorous bone lesion carrying a t(4;11;14;12)(q35;p15;q22;q13).\",\"authors\":\"Ioannis Panagopoulos, Kristin Andersen, Isabel Lloret, Ludmila Gorunova, Ingvild Lobmaier\",\"doi\":\"10.3389/pore.2025.1612096\",\"DOIUrl\":null,\"url\":null,\"abstract\":\"<p><strong>Background: </strong>Benign fibro-osseous lesions are characterized by the replacement of normal bone with cellular fibrous connective tissue with new bone formation. The published cytogenetic information on these tumors is limited to only few cases. Here, we report the cytogenetic and molecular genetic findings of a fibro-osseous tumor.</p><p><strong>Methods: </strong>A fibro-osseous lesion was investigated for genetic abnormalities using banding cytogenetics, fluorescence <i>in situ</i> hybridization (FISH), RNA sequencing, and direct cycle Sanger sequencing.</p><p><strong>Results: </strong>The karyotype was 46,XX,t(4;11;14;12)(q35;p15;q22;q13)[7]/46,XX [3], with no rearrangement of <i>HMGA2</i>. RNA sequencing revealed two <i>FRMD6::PTH</i> chimeric transcripts, originating from the fusion point 14q22;11p15 of the t(4;11;14;12). In these transcripts, exon 1 of <i>FRMD6</i> fused to either exon 1 or exon 2 of <i>PTH</i>. Direct cycle sequencing confirmed the presence of these <i>FRMD6::PTH</i> chimeric transcripts.</p><p><strong>Conclusion: </strong>This study reports, for the first time, the presence of the <i>FRMD6::PTH</i> chimera in fibro-osseous tumor. In this chimera the expression of the entire coding region of <i>PTH</i> is regulated by the ubiquitously expressed <i>FRMD6</i> gene promoter. Dysregulation of <i>PTH</i> expression may have significant implications for processes regulated by PTH protein.</p>\",\"PeriodicalId\":19981,\"journal\":{\"name\":\"Pathology & Oncology Research\",\"volume\":\"31 \",\"pages\":\"1612096\"},\"PeriodicalIF\":2.3000,\"publicationDate\":\"2025-06-26\",\"publicationTypes\":\"Journal Article\",\"fieldsOfStudy\":null,\"isOpenAccess\":false,\"openAccessPdf\":\"https://www.ncbi.nlm.nih.gov/pmc/articles/PMC12240868/pdf/\",\"citationCount\":\"0\",\"resultStr\":null,\"platform\":\"Semanticscholar\",\"paperid\":null,\"PeriodicalName\":\"Pathology & Oncology Research\",\"FirstCategoryId\":\"3\",\"ListUrlMain\":\"https://doi.org/10.3389/pore.2025.1612096\",\"RegionNum\":4,\"RegionCategory\":\"医学\",\"ArticlePicture\":[],\"TitleCN\":null,\"AbstractTextCN\":null,\"PMCID\":null,\"EPubDate\":\"2025/1/1 0:00:00\",\"PubModel\":\"eCollection\",\"JCR\":\"Q3\",\"JCRName\":\"ONCOLOGY\",\"Score\":null,\"Total\":0}","platform":"Semanticscholar","paperid":null,"PeriodicalName":"Pathology & Oncology Research","FirstCategoryId":"3","ListUrlMain":"https://doi.org/10.3389/pore.2025.1612096","RegionNum":4,"RegionCategory":"医学","ArticlePicture":[],"TitleCN":null,"AbstractTextCN":null,"PMCID":null,"EPubDate":"2025/1/1 0:00:00","PubModel":"eCollection","JCR":"Q3","JCRName":"ONCOLOGY","Score":null,"Total":0}
引用次数: 0

摘要

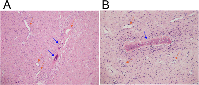
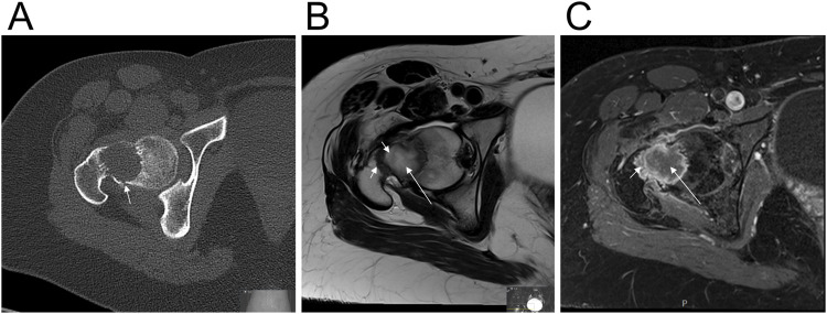
背景:良性纤维骨性病变的特征是正常骨被细胞纤维结缔组织取代,形成新的骨。已发表的关于这些肿瘤的细胞遗传学信息仅限于少数病例。在此,我们报告一个纤维骨肿瘤的细胞遗传学和分子遗传学的发现。方法:采用条带细胞遗传学、荧光原位杂交(FISH)、RNA测序和直接循环Sanger测序对纤维骨性病变进行遗传异常研究。结果:核型为46、XX、t(4;11;14;12)(q35;p15;q22;q13)[7]/46、XX [3], HMGA2无重排。RNA测序显示两个FRMD6::PTH嵌合转录物,起源于t的融合点14q22;11p15(4;11;14;12)。在这些转录本中,FRMD6的外显子1与PTH的外显子1或外显子2融合。直接循环测序证实了这些FRMD6::PTH嵌合转录物的存在。结论:本研究首次报道了FRMD6::PTH嵌合体在纤维骨性肿瘤中的存在。在该嵌合体中,PTH整个编码区的表达受无处不在表达的FRMD6基因启动子的调控。PTH表达失调可能对PTH蛋白调控的过程有重要影响。
本文章由计算机程序翻译,如有差异,请以英文原文为准。

Novel <i>FRMD6::PTH</i> chimera in tumorous bone lesion carrying a t(4;11;14;12)(q35;p15;q22;q13).

Novel <i>FRMD6::PTH</i> chimera in tumorous bone lesion carrying a t(4;11;14;12)(q35;p15;q22;q13).

Novel <i>FRMD6::PTH</i> chimera in tumorous bone lesion carrying a t(4;11;14;12)(q35;p15;q22;q13).

Novel FRMD6::PTH chimera in tumorous bone lesion carrying a t(4;11;14;12)(q35;p15;q22;q13).

Background: Benign fibro-osseous lesions are characterized by the replacement of normal bone with cellular fibrous connective tissue with new bone formation. The published cytogenetic information on these tumors is limited to only few cases. Here, we report the cytogenetic and molecular genetic findings of a fibro-osseous tumor.

Methods: A fibro-osseous lesion was investigated for genetic abnormalities using banding cytogenetics, fluorescence in situ hybridization (FISH), RNA sequencing, and direct cycle Sanger sequencing.

Results: The karyotype was 46,XX,t(4;11;14;12)(q35;p15;q22;q13)[7]/46,XX [3], with no rearrangement of HMGA2. RNA sequencing revealed two FRMD6::PTH chimeric transcripts, originating from the fusion point 14q22;11p15 of the t(4;11;14;12). In these transcripts, exon 1 of FRMD6 fused to either exon 1 or exon 2 of PTH. Direct cycle sequencing confirmed the presence of these FRMD6::PTH chimeric transcripts.

Conclusion: This study reports, for the first time, the presence of the FRMD6::PTH chimera in fibro-osseous tumor. In this chimera the expression of the entire coding region of PTH is regulated by the ubiquitously expressed FRMD6 gene promoter. Dysregulation of PTH expression may have significant implications for processes regulated by PTH protein.

求助全文
通过发布文献求助,成功后即可免费获取论文全文。 去求助
来源期刊
CiteScore
6.30
自引率
0.00%
发文量
134
审稿时长
4-8 weeks
期刊介绍: Pathology & Oncology Research (POR) is an interdisciplinary Journal at the interface of pathology and oncology including the preclinical and translational research, diagnostics and therapy. Furthermore, POR is an international forum for the rapid communication of reviews, original research, critical and topical reports with excellence and novelty. Published quarterly, POR is dedicated to keeping scientists informed of developments on the selected biomedical fields bridging the gap between basic research and clinical medicine. It is a special aim for POR to promote pathological and oncological publishing activity of colleagues in the Central and East European region. The journal will be of interest to pathologists, and a broad range of experimental and clinical oncologists, and related experts. POR is supported by an acknowledged international advisory board and the Arányi Fundation for modern pathology.
×
引用
GB/T 7714-2015
复制
MLA
复制
APA
复制
导出至
BibTeX EndNote RefMan NoteFirst NoteExpress
×
提示
您的信息不完整,为了账户安全,请先补充。
现在去补充
×
提示
您因"违规操作"
具体请查看互助需知
我知道了
×
提示
确定
请完成安全验证×
copy
已复制链接
快去分享给好友吧!
我知道了
右上角分享
点击右上角分享
0
联系我们:info@booksci.cn Book学术提供免费学术资源搜索服务,方便国内外学者检索中英文文献。致力于提供最便捷和优质的服务体验。 Copyright © 2023 布克学术 All rights reserved.
京ICP备2023020795号-1
ghs 京公网安备 11010802042870号
Book学术文献互助
Book学术文献互助群
群 号:604180095
Book学术官方微信