轻度儿童期Canavan病,临床表现和MRI脑特征不典型

IF 1.8 Q2 Biochemistry, Genetics and Molecular Biology
JIMD reports Pub Date : 2025-07-11 DOI:10.1002/jmd2.70031
Preeya Rehsi, Ata Siddiqui, Rahul Singh, Obioma Ihezue, Rebecca Halligan
{"title":"轻度儿童期Canavan病,临床表现和MRI脑特征不典型","authors":"Preeya Rehsi,&nbsp;Ata Siddiqui,&nbsp;Rahul Singh,&nbsp;Obioma Ihezue,&nbsp;Rebecca Halligan","doi":"10.1002/jmd2.70031","DOIUrl":null,"url":null,"abstract":"<p>This case report highlights an atypical presentation of Canavan disease (CD) in a 13-year-old female with intention tremor and fine motor difficulties. Neuroimaging revealed symmetrical changes in various brain regions initially suggesting a neurometabolic or mitochondrial disorder. However, further investigations, including biochemical analysis and whole genome sequencing, confirmed a diagnosis of CD. Unlike classical presentations, this case exhibited milder symptoms and unusual MRI findings, contributing to the expanding clinical and radiological spectrum of CD. The importance of recognizing such atypical presentations is emphasized for accurate diagnosis and management of CD.</p>","PeriodicalId":14930,"journal":{"name":"JIMD reports","volume":"66 4","pages":""},"PeriodicalIF":1.8000,"publicationDate":"2025-07-11","publicationTypes":"Journal Article","fieldsOfStudy":null,"isOpenAccess":false,"openAccessPdf":"https://onlinelibrary.wiley.com/doi/epdf/10.1002/jmd2.70031","citationCount":"0","resultStr":"{\"title\":\"A Mild Juvenile Onset Canavan Disease With Atypical Clinical Presentation and MRI Brain Features\",\"authors\":\"Preeya Rehsi,&nbsp;Ata Siddiqui,&nbsp;Rahul Singh,&nbsp;Obioma Ihezue,&nbsp;Rebecca Halligan\",\"doi\":\"10.1002/jmd2.70031\",\"DOIUrl\":null,\"url\":null,\"abstract\":\"<p>This case report highlights an atypical presentation of Canavan disease (CD) in a 13-year-old female with intention tremor and fine motor difficulties. Neuroimaging revealed symmetrical changes in various brain regions initially suggesting a neurometabolic or mitochondrial disorder. However, further investigations, including biochemical analysis and whole genome sequencing, confirmed a diagnosis of CD. Unlike classical presentations, this case exhibited milder symptoms and unusual MRI findings, contributing to the expanding clinical and radiological spectrum of CD. The importance of recognizing such atypical presentations is emphasized for accurate diagnosis and management of CD.</p>\",\"PeriodicalId\":14930,\"journal\":{\"name\":\"JIMD reports\",\"volume\":\"66 4\",\"pages\":\"\"},\"PeriodicalIF\":1.8000,\"publicationDate\":\"2025-07-11\",\"publicationTypes\":\"Journal Article\",\"fieldsOfStudy\":null,\"isOpenAccess\":false,\"openAccessPdf\":\"https://onlinelibrary.wiley.com/doi/epdf/10.1002/jmd2.70031\",\"citationCount\":\"0\",\"resultStr\":null,\"platform\":\"Semanticscholar\",\"paperid\":null,\"PeriodicalName\":\"JIMD reports\",\"FirstCategoryId\":\"1085\",\"ListUrlMain\":\"https://onlinelibrary.wiley.com/doi/10.1002/jmd2.70031\",\"RegionNum\":0,\"RegionCategory\":null,\"ArticlePicture\":[],\"TitleCN\":null,\"AbstractTextCN\":null,\"PMCID\":null,\"EPubDate\":\"\",\"PubModel\":\"\",\"JCR\":\"Q2\",\"JCRName\":\"Biochemistry, Genetics and Molecular Biology\",\"Score\":null,\"Total\":0}","platform":"Semanticscholar","paperid":null,"PeriodicalName":"JIMD reports","FirstCategoryId":"1085","ListUrlMain":"https://onlinelibrary.wiley.com/doi/10.1002/jmd2.70031","RegionNum":0,"RegionCategory":null,"ArticlePicture":[],"TitleCN":null,"AbstractTextCN":null,"PMCID":null,"EPubDate":"","PubModel":"","JCR":"Q2","JCRName":"Biochemistry, Genetics and Molecular Biology","Score":null,"Total":0}
引用次数: 0

摘要

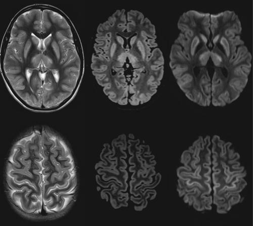
本病例报告强调了一个不典型的Canavan病(CD)的表现,在13岁的女性有意震颤和精细运动困难。神经影像学显示大脑各区域的对称变化,初步提示神经代谢或线粒体紊乱。然而,进一步的研究,包括生化分析和全基因组测序,证实了CD的诊断。与经典表现不同,本病例表现出较轻的症状和不寻常的MRI表现,有助于扩大CD的临床和放射谱。强调识别这种非典型表现对于CD的准确诊断和治疗的重要性。
本文章由计算机程序翻译,如有差异,请以英文原文为准。

A Mild Juvenile Onset Canavan Disease With Atypical Clinical Presentation and MRI Brain Features

A Mild Juvenile Onset Canavan Disease With Atypical Clinical Presentation and MRI Brain Features

This case report highlights an atypical presentation of Canavan disease (CD) in a 13-year-old female with intention tremor and fine motor difficulties. Neuroimaging revealed symmetrical changes in various brain regions initially suggesting a neurometabolic or mitochondrial disorder. However, further investigations, including biochemical analysis and whole genome sequencing, confirmed a diagnosis of CD. Unlike classical presentations, this case exhibited milder symptoms and unusual MRI findings, contributing to the expanding clinical and radiological spectrum of CD. The importance of recognizing such atypical presentations is emphasized for accurate diagnosis and management of CD.

求助全文
通过发布文献求助,成功后即可免费获取论文全文。 去求助
来源期刊
JIMD reports
JIMD reports Biochemistry, Genetics and Molecular Biology-Biochemistry, Genetics and Molecular Biology (miscellaneous)
CiteScore
3.30
自引率
0.00%
发文量
84
审稿时长
12 weeks
×
引用
GB/T 7714-2015
复制
MLA
复制
APA
复制
导出至
BibTeX EndNote RefMan NoteFirst NoteExpress
×
提示
您的信息不完整,为了账户安全,请先补充。
现在去补充
×
提示
您因"违规操作"
具体请查看互助需知
我知道了
×
提示
确定
请完成安全验证×
copy
已复制链接
快去分享给好友吧!
我知道了
右上角分享
点击右上角分享
0
联系我们:info@booksci.cn Book学术提供免费学术资源搜索服务,方便国内外学者检索中英文文献。致力于提供最便捷和优质的服务体验。 Copyright © 2023 布克学术 All rights reserved.
京ICP备2023020795号-1
ghs 京公网安备 11010802042870号
Book学术文献互助
Book学术文献互助群
群 号:604180095
Book学术官方微信