脑后动脉远端动脉瘤破裂并发镰窦硬脑膜动静脉瘘颅内出血1例。

Akira Tempaku
{"title":"脑后动脉远端动脉瘤破裂并发镰窦硬脑膜动静脉瘘颅内出血1例。","authors":"Akira Tempaku","doi":"10.2185/jrm.2024-044","DOIUrl":null,"url":null,"abstract":"<p><strong>Objective: </strong>This report describes a rare case of a dural arteriovenous fistula of the falcine sinus associated with a flow-related aneurysm.</p><p><strong>Patient and methods: </strong>A 68-year-old man presented with severe headache secondary to an intracranial hemorrhage. The bleeding was caused by a dural arteriovenous fistula (dAVF) of the falcine sinus with a flow-related aneurysm of the dural branch of the right posterior cerebral artery.</p><p><strong>Results: </strong>Trans arterial obliteration of the aneurysm and its feeder using glue and trans venous embolization of the draining portions using a coil were successfully performed.</p><p><strong>Conclusion: </strong>The unusual coexistence of a flow-related aneurysm on the feeder of the dAVF resulted in a unique hemorrhage.</p>","PeriodicalId":73939,"journal":{"name":"Journal of rural medicine : JRM","volume":"20 3","pages":"241-246"},"PeriodicalIF":0.0000,"publicationDate":"2025-07-01","publicationTypes":"Journal Article","fieldsOfStudy":null,"isOpenAccess":false,"openAccessPdf":"https://www.ncbi.nlm.nih.gov/pmc/articles/PMC12237574/pdf/","citationCount":"0","resultStr":"{\"title\":\"A case of intracranial hemorrhage due to rupture of aneurysm of the distal posterior cerebral artery associated with dural arteriovenous fistulas of the falcine sinus.\",\"authors\":\"Akira Tempaku\",\"doi\":\"10.2185/jrm.2024-044\",\"DOIUrl\":null,\"url\":null,\"abstract\":\"<p><strong>Objective: </strong>This report describes a rare case of a dural arteriovenous fistula of the falcine sinus associated with a flow-related aneurysm.</p><p><strong>Patient and methods: </strong>A 68-year-old man presented with severe headache secondary to an intracranial hemorrhage. The bleeding was caused by a dural arteriovenous fistula (dAVF) of the falcine sinus with a flow-related aneurysm of the dural branch of the right posterior cerebral artery.</p><p><strong>Results: </strong>Trans arterial obliteration of the aneurysm and its feeder using glue and trans venous embolization of the draining portions using a coil were successfully performed.</p><p><strong>Conclusion: </strong>The unusual coexistence of a flow-related aneurysm on the feeder of the dAVF resulted in a unique hemorrhage.</p>\",\"PeriodicalId\":73939,\"journal\":{\"name\":\"Journal of rural medicine : JRM\",\"volume\":\"20 3\",\"pages\":\"241-246\"},\"PeriodicalIF\":0.0000,\"publicationDate\":\"2025-07-01\",\"publicationTypes\":\"Journal Article\",\"fieldsOfStudy\":null,\"isOpenAccess\":false,\"openAccessPdf\":\"https://www.ncbi.nlm.nih.gov/pmc/articles/PMC12237574/pdf/\",\"citationCount\":\"0\",\"resultStr\":null,\"platform\":\"Semanticscholar\",\"paperid\":null,\"PeriodicalName\":\"Journal of rural medicine : JRM\",\"FirstCategoryId\":\"1085\",\"ListUrlMain\":\"https://doi.org/10.2185/jrm.2024-044\",\"RegionNum\":0,\"RegionCategory\":null,\"ArticlePicture\":[],\"TitleCN\":null,\"AbstractTextCN\":null,\"PMCID\":null,\"EPubDate\":\"\",\"PubModel\":\"\",\"JCR\":\"\",\"JCRName\":\"\",\"Score\":null,\"Total\":0}","platform":"Semanticscholar","paperid":null,"PeriodicalName":"Journal of rural medicine : JRM","FirstCategoryId":"1085","ListUrlMain":"https://doi.org/10.2185/jrm.2024-044","RegionNum":0,"RegionCategory":null,"ArticlePicture":[],"TitleCN":null,"AbstractTextCN":null,"PMCID":null,"EPubDate":"","PubModel":"","JCR":"","JCRName":"","Score":null,"Total":0}
引用次数: 0

摘要

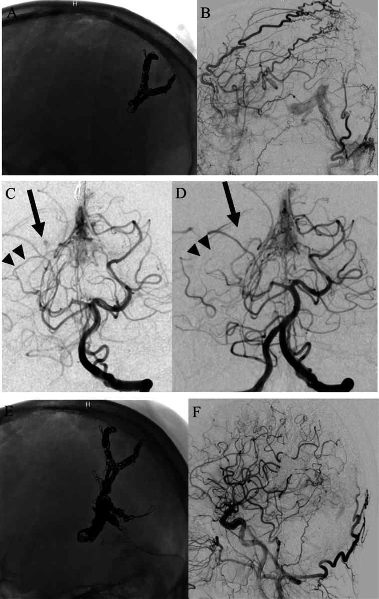
目的:本文报告一例罕见的镰状窦硬脑膜动静脉瘘合并血流相关动脉瘤。患者和方法:一名68岁男性,以颅内出血继发的严重头痛为主因。出血是由镰窦硬脑膜动静脉瘘(dAVF)引起的,并伴有大脑右后动脉硬脑膜分支的血流相关动脉瘤。结果:经动脉用胶水封堵动脉瘤及其喂养器,经静脉用线圈栓塞引流部分均成功。结论:血流相关动脉瘤罕见地共存于dAVF馈线上,导致了一次独特的出血。
本文章由计算机程序翻译,如有差异,请以英文原文为准。

A case of intracranial hemorrhage due to rupture of aneurysm of the distal posterior cerebral artery associated with dural arteriovenous fistulas of the falcine sinus.

A case of intracranial hemorrhage due to rupture of aneurysm of the distal posterior cerebral artery associated with dural arteriovenous fistulas of the falcine sinus.

A case of intracranial hemorrhage due to rupture of aneurysm of the distal posterior cerebral artery associated with dural arteriovenous fistulas of the falcine sinus.

A case of intracranial hemorrhage due to rupture of aneurysm of the distal posterior cerebral artery associated with dural arteriovenous fistulas of the falcine sinus.

Objective: This report describes a rare case of a dural arteriovenous fistula of the falcine sinus associated with a flow-related aneurysm.

Patient and methods: A 68-year-old man presented with severe headache secondary to an intracranial hemorrhage. The bleeding was caused by a dural arteriovenous fistula (dAVF) of the falcine sinus with a flow-related aneurysm of the dural branch of the right posterior cerebral artery.

Results: Trans arterial obliteration of the aneurysm and its feeder using glue and trans venous embolization of the draining portions using a coil were successfully performed.

Conclusion: The unusual coexistence of a flow-related aneurysm on the feeder of the dAVF resulted in a unique hemorrhage.

求助全文
通过发布文献求助,成功后即可免费获取论文全文。 去求助
来源期刊
自引率
0.00%
发文量
0
×
引用
GB/T 7714-2015
复制
MLA
复制
APA
复制
导出至
BibTeX EndNote RefMan NoteFirst NoteExpress
×
提示
您的信息不完整,为了账户安全,请先补充。
现在去补充
×
提示
您因"违规操作"
具体请查看互助需知
我知道了
×
提示
确定
请完成安全验证×
copy
已复制链接
快去分享给好友吧!
我知道了
右上角分享
点击右上角分享
0
联系我们:info@booksci.cn Book学术提供免费学术资源搜索服务,方便国内外学者检索中英文文献。致力于提供最便捷和优质的服务体验。 Copyright © 2023 布克学术 All rights reserved.
京ICP备2023020795号-1
ghs 京公网安备 11010802042870号
Book学术文献互助
Book学术文献互助群
群 号:604180095
Book学术官方微信