单核细胞增生李斯特菌血症伴腿部皮肤损伤。

Shohei Takano, Rika Nohara, Akira Machida, Yoshihiro Moriyama, Kazuhito Saito, Norihiko Terada, Shigemi Hitomi
{"title":"单核细胞增生李斯特菌血症伴腿部皮肤损伤。","authors":"Shohei Takano, Rika Nohara, Akira Machida, Yoshihiro Moriyama, Kazuhito Saito, Norihiko Terada, Shigemi Hitomi","doi":"10.2185/jrm.2025-003","DOIUrl":null,"url":null,"abstract":"<p><strong>Objective: </strong>We report a case of <i>L. monocytogenes</i> bacteremia accompanied by skin lesions, a rare manifestation of adult listeriosis.</p><p><strong>Patient: </strong>A Japanese woman in her 80s was hospitalized due to pain in the left leg and difficulty walking. Physical examination revealed diffuse erythema, warmth, swelling, and tenderness in the left thigh and lower leg.</p><p><strong>Results: </strong>Administration of cefazolin was initiated based on a clinical diagnosis of cellulitis. However, similar erythema appeared on the opposite thigh the following day. Blood cultures obtained on admission yielded <i>L. monocytogenes,</i> prompting a change in antibiotic therapy to meropenem on day 4, followed by ampicillin on day 6. The symptoms in both legs subsequently improved and had nearly resolved by approximately 2 weeks after admission. Antibiotic treatment was continued until day 26. Although the patient died of hepatic dysfunction due to intrahepatic portosystemic venous shunts on day 31, the skin manifestations did not recur during hospitalization.</p><p><strong>Conclusion: </strong>Even in cases of cellulitis, <i>L. monocytogenes</i> should be considered when blood cultures from older adults yield Gram-positive bacilli, as cephalosporins, often used for the treatment of cellulitis, are inactive against this organism.</p>","PeriodicalId":73939,"journal":{"name":"Journal of rural medicine : JRM","volume":"20 3","pages":"247-252"},"PeriodicalIF":0.0000,"publicationDate":"2025-07-01","publicationTypes":"Journal Article","fieldsOfStudy":null,"isOpenAccess":false,"openAccessPdf":"https://www.ncbi.nlm.nih.gov/pmc/articles/PMC12237571/pdf/","citationCount":"0","resultStr":"{\"title\":\"<i>Listeria monocytogenes</i> bacteremia accompanied by skin lesions on the legs.\",\"authors\":\"Shohei Takano, Rika Nohara, Akira Machida, Yoshihiro Moriyama, Kazuhito Saito, Norihiko Terada, Shigemi Hitomi\",\"doi\":\"10.2185/jrm.2025-003\",\"DOIUrl\":null,\"url\":null,\"abstract\":\"<p><strong>Objective: </strong>We report a case of <i>L. monocytogenes</i> bacteremia accompanied by skin lesions, a rare manifestation of adult listeriosis.</p><p><strong>Patient: </strong>A Japanese woman in her 80s was hospitalized due to pain in the left leg and difficulty walking. Physical examination revealed diffuse erythema, warmth, swelling, and tenderness in the left thigh and lower leg.</p><p><strong>Results: </strong>Administration of cefazolin was initiated based on a clinical diagnosis of cellulitis. However, similar erythema appeared on the opposite thigh the following day. Blood cultures obtained on admission yielded <i>L. monocytogenes,</i> prompting a change in antibiotic therapy to meropenem on day 4, followed by ampicillin on day 6. The symptoms in both legs subsequently improved and had nearly resolved by approximately 2 weeks after admission. Antibiotic treatment was continued until day 26. Although the patient died of hepatic dysfunction due to intrahepatic portosystemic venous shunts on day 31, the skin manifestations did not recur during hospitalization.</p><p><strong>Conclusion: </strong>Even in cases of cellulitis, <i>L. monocytogenes</i> should be considered when blood cultures from older adults yield Gram-positive bacilli, as cephalosporins, often used for the treatment of cellulitis, are inactive against this organism.</p>\",\"PeriodicalId\":73939,\"journal\":{\"name\":\"Journal of rural medicine : JRM\",\"volume\":\"20 3\",\"pages\":\"247-252\"},\"PeriodicalIF\":0.0000,\"publicationDate\":\"2025-07-01\",\"publicationTypes\":\"Journal Article\",\"fieldsOfStudy\":null,\"isOpenAccess\":false,\"openAccessPdf\":\"https://www.ncbi.nlm.nih.gov/pmc/articles/PMC12237571/pdf/\",\"citationCount\":\"0\",\"resultStr\":null,\"platform\":\"Semanticscholar\",\"paperid\":null,\"PeriodicalName\":\"Journal of rural medicine : JRM\",\"FirstCategoryId\":\"1085\",\"ListUrlMain\":\"https://doi.org/10.2185/jrm.2025-003\",\"RegionNum\":0,\"RegionCategory\":null,\"ArticlePicture\":[],\"TitleCN\":null,\"AbstractTextCN\":null,\"PMCID\":null,\"EPubDate\":\"\",\"PubModel\":\"\",\"JCR\":\"\",\"JCRName\":\"\",\"Score\":null,\"Total\":0}","platform":"Semanticscholar","paperid":null,"PeriodicalName":"Journal of rural medicine : JRM","FirstCategoryId":"1085","ListUrlMain":"https://doi.org/10.2185/jrm.2025-003","RegionNum":0,"RegionCategory":null,"ArticlePicture":[],"TitleCN":null,"AbstractTextCN":null,"PMCID":null,"EPubDate":"","PubModel":"","JCR":"","JCRName":"","Score":null,"Total":0}
引用次数: 0

摘要

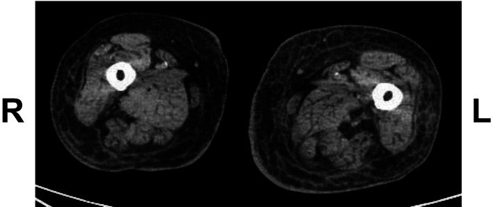
目的:报告一例成人李斯特菌病罕见的单增李斯特菌血症伴皮肤病变的病例。病人:一位80多岁的日本妇女因左腿疼痛和行走困难而住院。体格检查显示左大腿及小腿弥漫性红斑、发热、肿胀及压痛。结果:头孢唑林是根据蜂窝织炎的临床诊断开始使用的。然而,第二天在另一侧大腿出现了类似的红斑。入院时的血液培养产生单核细胞增生乳杆菌,促使第4天改用美罗培南,第6天改用氨苄西林。两腿的症状随后得到改善,并在入院后约2周几乎消失。抗生素治疗持续至第26天。患者于第31天死于肝内门静脉分流引起的肝功能障碍,住院期间皮肤症状未复发。结论:即使在蜂窝织炎的病例中,当老年人的血液培养产生革兰氏阳性杆菌时,也应考虑单核细胞增生乳杆菌,因为通常用于治疗蜂窝织炎的头孢菌素对这种细菌无活性。
本文章由计算机程序翻译,如有差异,请以英文原文为准。

<i>Listeria monocytogenes</i> bacteremia accompanied by skin lesions on the legs.

<i>Listeria monocytogenes</i> bacteremia accompanied by skin lesions on the legs.

Listeria monocytogenes bacteremia accompanied by skin lesions on the legs.

Objective: We report a case of L. monocytogenes bacteremia accompanied by skin lesions, a rare manifestation of adult listeriosis.

Patient: A Japanese woman in her 80s was hospitalized due to pain in the left leg and difficulty walking. Physical examination revealed diffuse erythema, warmth, swelling, and tenderness in the left thigh and lower leg.

Results: Administration of cefazolin was initiated based on a clinical diagnosis of cellulitis. However, similar erythema appeared on the opposite thigh the following day. Blood cultures obtained on admission yielded L. monocytogenes, prompting a change in antibiotic therapy to meropenem on day 4, followed by ampicillin on day 6. The symptoms in both legs subsequently improved and had nearly resolved by approximately 2 weeks after admission. Antibiotic treatment was continued until day 26. Although the patient died of hepatic dysfunction due to intrahepatic portosystemic venous shunts on day 31, the skin manifestations did not recur during hospitalization.

Conclusion: Even in cases of cellulitis, L. monocytogenes should be considered when blood cultures from older adults yield Gram-positive bacilli, as cephalosporins, often used for the treatment of cellulitis, are inactive against this organism.

求助全文
通过发布文献求助,成功后即可免费获取论文全文。 去求助
来源期刊
自引率
0.00%
发文量
0
×
引用
GB/T 7714-2015
复制
MLA
复制
APA
复制
导出至
BibTeX EndNote RefMan NoteFirst NoteExpress
×
提示
您的信息不完整,为了账户安全,请先补充。
现在去补充
×
提示
您因"违规操作"
具体请查看互助需知
我知道了
×
提示
确定
请完成安全验证×
copy
已复制链接
快去分享给好友吧!
我知道了
右上角分享
点击右上角分享
0
联系我们:info@booksci.cn Book学术提供免费学术资源搜索服务,方便国内外学者检索中英文文献。致力于提供最便捷和优质的服务体验。 Copyright © 2023 布克学术 All rights reserved.
京ICP备2023020795号-1
ghs 京公网安备 11010802042870号
Book学术文献互助
Book学术文献互助群
群 号:604180095
Book学术官方微信