红曲米补充剂诱导范可尼综合征。

Tadashi Oshita, Shinichi Higuchi, Takashi Kanayama, Motoki Inoue, Yuka Tadanawa, Yuki Tanaka, Atsuki Ohashi
{"title":"红曲米补充剂诱导范可尼综合征。","authors":"Tadashi Oshita, Shinichi Higuchi, Takashi Kanayama, Motoki Inoue, Yuka Tadanawa, Yuki Tanaka, Atsuki Ohashi","doi":"10.2185/jrm.2024-057","DOIUrl":null,"url":null,"abstract":"<p><p>Fanconi syndrome is a disorder of the proximal renal tubules characterized by metabolic acidosis, renal glycosuria, and aminoaciduria. Recently, Fanconi syndrome caused by red yeast rice supplements has been reported. We encountered a 60-year-old woman with acute kidney injury and Fanconi syndrome caused by a red yeast rice supplement. The patient discontinued the supplements, leading to an improvement in her serum creatinine and urinary protein levels. Early detection and discontinuation of the suspected drugs are important for the treatment of drug-induced Fanconi syndrome.</p>","PeriodicalId":73939,"journal":{"name":"Journal of rural medicine : JRM","volume":"20 3","pages":"238-240"},"PeriodicalIF":0.0000,"publicationDate":"2025-07-01","publicationTypes":"Journal Article","fieldsOfStudy":null,"isOpenAccess":false,"openAccessPdf":"https://www.ncbi.nlm.nih.gov/pmc/articles/PMC12237577/pdf/","citationCount":"0","resultStr":"{\"title\":\"Fanconi syndrome induced by red yeast rice supplement.\",\"authors\":\"Tadashi Oshita, Shinichi Higuchi, Takashi Kanayama, Motoki Inoue, Yuka Tadanawa, Yuki Tanaka, Atsuki Ohashi\",\"doi\":\"10.2185/jrm.2024-057\",\"DOIUrl\":null,\"url\":null,\"abstract\":\"<p><p>Fanconi syndrome is a disorder of the proximal renal tubules characterized by metabolic acidosis, renal glycosuria, and aminoaciduria. Recently, Fanconi syndrome caused by red yeast rice supplements has been reported. We encountered a 60-year-old woman with acute kidney injury and Fanconi syndrome caused by a red yeast rice supplement. The patient discontinued the supplements, leading to an improvement in her serum creatinine and urinary protein levels. Early detection and discontinuation of the suspected drugs are important for the treatment of drug-induced Fanconi syndrome.</p>\",\"PeriodicalId\":73939,\"journal\":{\"name\":\"Journal of rural medicine : JRM\",\"volume\":\"20 3\",\"pages\":\"238-240\"},\"PeriodicalIF\":0.0000,\"publicationDate\":\"2025-07-01\",\"publicationTypes\":\"Journal Article\",\"fieldsOfStudy\":null,\"isOpenAccess\":false,\"openAccessPdf\":\"https://www.ncbi.nlm.nih.gov/pmc/articles/PMC12237577/pdf/\",\"citationCount\":\"0\",\"resultStr\":null,\"platform\":\"Semanticscholar\",\"paperid\":null,\"PeriodicalName\":\"Journal of rural medicine : JRM\",\"FirstCategoryId\":\"1085\",\"ListUrlMain\":\"https://doi.org/10.2185/jrm.2024-057\",\"RegionNum\":0,\"RegionCategory\":null,\"ArticlePicture\":[],\"TitleCN\":null,\"AbstractTextCN\":null,\"PMCID\":null,\"EPubDate\":\"\",\"PubModel\":\"\",\"JCR\":\"\",\"JCRName\":\"\",\"Score\":null,\"Total\":0}","platform":"Semanticscholar","paperid":null,"PeriodicalName":"Journal of rural medicine : JRM","FirstCategoryId":"1085","ListUrlMain":"https://doi.org/10.2185/jrm.2024-057","RegionNum":0,"RegionCategory":null,"ArticlePicture":[],"TitleCN":null,"AbstractTextCN":null,"PMCID":null,"EPubDate":"","PubModel":"","JCR":"","JCRName":"","Score":null,"Total":0}
引用次数: 0

摘要

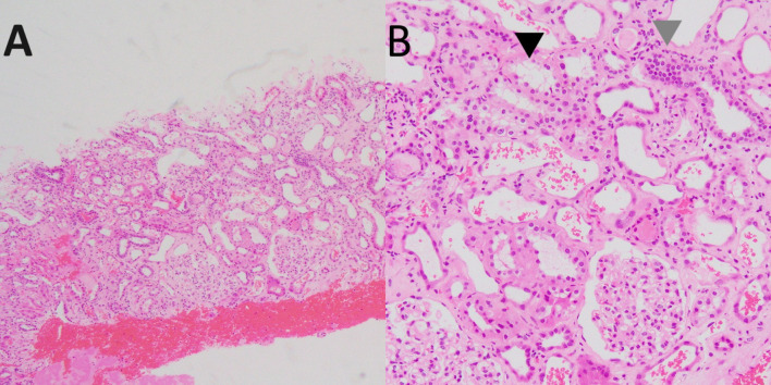
Fanconi综合征是一种以代谢性酸中毒、肾糖尿和氨基酸尿为特征的近端肾小管疾病。最近,红曲米补充剂引起的范可尼综合征也有报道。我们遇到了一位60岁的妇女,她患有急性肾损伤和范可尼综合征,这是由红曲米补充剂引起的。患者停止了补充,导致她的血清肌酐和尿蛋白水平的改善。早期发现和停药对药物性范可尼综合征的治疗至关重要。
本文章由计算机程序翻译,如有差异,请以英文原文为准。

Fanconi syndrome induced by red yeast rice supplement.

Fanconi syndrome induced by red yeast rice supplement.

Fanconi syndrome induced by red yeast rice supplement.

Fanconi syndrome induced by red yeast rice supplement.

Fanconi syndrome is a disorder of the proximal renal tubules characterized by metabolic acidosis, renal glycosuria, and aminoaciduria. Recently, Fanconi syndrome caused by red yeast rice supplements has been reported. We encountered a 60-year-old woman with acute kidney injury and Fanconi syndrome caused by a red yeast rice supplement. The patient discontinued the supplements, leading to an improvement in her serum creatinine and urinary protein levels. Early detection and discontinuation of the suspected drugs are important for the treatment of drug-induced Fanconi syndrome.

求助全文
通过发布文献求助,成功后即可免费获取论文全文。 去求助
来源期刊
自引率
0.00%
发文量
0
×
引用
GB/T 7714-2015
复制
MLA
复制
APA
复制
导出至
BibTeX EndNote RefMan NoteFirst NoteExpress
×
提示
您的信息不完整,为了账户安全,请先补充。
现在去补充
×
提示
您因"违规操作"
具体请查看互助需知
我知道了
×
提示
确定
请完成安全验证×
copy
已复制链接
快去分享给好友吧!
我知道了
右上角分享
点击右上角分享
0
联系我们:info@booksci.cn Book学术提供免费学术资源搜索服务,方便国内外学者检索中英文文献。致力于提供最便捷和优质的服务体验。 Copyright © 2023 布克学术 All rights reserved.
京ICP备2023020795号-1
ghs 京公网安备 11010802042870号
Book学术文献互助
Book学术文献互助群
群 号:604180095
Book学术官方微信