重症急性胰腺炎早期灌注计算机断层扫描:预测坏死和指导护理。

Q3 Medicine
Ritika Agarwal, Mukesh Kumar Agarwal, Ujjwal Gupta, Amit Gupta
{"title":"重症急性胰腺炎早期灌注计算机断层扫描:预测坏死和指导护理。","authors":"Ritika Agarwal, Mukesh Kumar Agarwal, Ujjwal Gupta, Amit Gupta","doi":"10.4103/ijciis.ijciis_9_25","DOIUrl":null,"url":null,"abstract":"<p><strong>Introduction: </strong>Early identification of pancreatic necrosis in severe acute pancreatitis (SAP) is essential for timely intervention and improved outcomes. While prior studies have established the diagnostic value of perfusion computed tomography (PCT), they often lacked early follow-up and clinical integration. This study aims to evaluate PCT not only as a predictive tool for early necrosis but also as a clinically actionable modality for risk stratification and management planning.</p><p><strong>Methods: </strong>A prospective cross-sectional study was conducted on 50 SAP patients who underwent PCT within 72 h of symptom onset. PCT was performed to assess pancreatic blood flow (PBF), pancreatic blood volume (PBV), mean transit time, and time to peak. Follow-up contrast-enhanced CT was performed at 2 weeks to confirm necrosis. Perfusion parameters were compared between necrosis and non-necrosis groups. Diagnostic performance metrics (sensitivity, specificity, positive predictive value [PPV], and negative predictive value [NPV]) were calculated.</p><p><strong>Results: </strong>Perfusion defects were identified in 21 patients, with 18 (85.7%) subsequently confirmed to have necrosis. The necrosis group had significantly lower PBF (35.49 ± 21.62 mL/100 mL/min) and PBV (11.16 ± 4.84 mL/100 mL) than the non-necrosis group (125.72 ± 50.37 and 17.67 ± 3.80, respectively, <i>P</i> < 0.05). PCT achieved 100% sensitivity, 90.6% specificity, 85.7% PPV, and 90.6% NPV. Optimal cutoff values were BF ≤57.87 and BV ≤14.90.</p><p><strong>Conclusion: </strong>PCT provides high diagnostic accuracy and valuable prognostic insight in SAP, allowing for early necrosis detection and patient stratification. Its integration into early assessment may improve outcomes and resource utilization.</p>","PeriodicalId":13938,"journal":{"name":"International Journal of Critical Illness and Injury Science","volume":"15 2","pages":"82-89"},"PeriodicalIF":0.0000,"publicationDate":"2025-04-01","publicationTypes":"Journal Article","fieldsOfStudy":null,"isOpenAccess":false,"openAccessPdf":"https://www.ncbi.nlm.nih.gov/pmc/articles/PMC12236397/pdf/","citationCount":"0","resultStr":"{\"title\":\"Early perfusion computed tomography in severe acute pancreatitis: Predicting necrosis and guiding care.\",\"authors\":\"Ritika Agarwal, Mukesh Kumar Agarwal, Ujjwal Gupta, Amit Gupta\",\"doi\":\"10.4103/ijciis.ijciis_9_25\",\"DOIUrl\":null,\"url\":null,\"abstract\":\"<p><strong>Introduction: </strong>Early identification of pancreatic necrosis in severe acute pancreatitis (SAP) is essential for timely intervention and improved outcomes. While prior studies have established the diagnostic value of perfusion computed tomography (PCT), they often lacked early follow-up and clinical integration. This study aims to evaluate PCT not only as a predictive tool for early necrosis but also as a clinically actionable modality for risk stratification and management planning.</p><p><strong>Methods: </strong>A prospective cross-sectional study was conducted on 50 SAP patients who underwent PCT within 72 h of symptom onset. PCT was performed to assess pancreatic blood flow (PBF), pancreatic blood volume (PBV), mean transit time, and time to peak. Follow-up contrast-enhanced CT was performed at 2 weeks to confirm necrosis. Perfusion parameters were compared between necrosis and non-necrosis groups. Diagnostic performance metrics (sensitivity, specificity, positive predictive value [PPV], and negative predictive value [NPV]) were calculated.</p><p><strong>Results: </strong>Perfusion defects were identified in 21 patients, with 18 (85.7%) subsequently confirmed to have necrosis. The necrosis group had significantly lower PBF (35.49 ± 21.62 mL/100 mL/min) and PBV (11.16 ± 4.84 mL/100 mL) than the non-necrosis group (125.72 ± 50.37 and 17.67 ± 3.80, respectively, <i>P</i> < 0.05). PCT achieved 100% sensitivity, 90.6% specificity, 85.7% PPV, and 90.6% NPV. Optimal cutoff values were BF ≤57.87 and BV ≤14.90.</p><p><strong>Conclusion: </strong>PCT provides high diagnostic accuracy and valuable prognostic insight in SAP, allowing for early necrosis detection and patient stratification. Its integration into early assessment may improve outcomes and resource utilization.</p>\",\"PeriodicalId\":13938,\"journal\":{\"name\":\"International Journal of Critical Illness and Injury Science\",\"volume\":\"15 2\",\"pages\":\"82-89\"},\"PeriodicalIF\":0.0000,\"publicationDate\":\"2025-04-01\",\"publicationTypes\":\"Journal Article\",\"fieldsOfStudy\":null,\"isOpenAccess\":false,\"openAccessPdf\":\"https://www.ncbi.nlm.nih.gov/pmc/articles/PMC12236397/pdf/\",\"citationCount\":\"0\",\"resultStr\":null,\"platform\":\"Semanticscholar\",\"paperid\":null,\"PeriodicalName\":\"International Journal of Critical Illness and Injury Science\",\"FirstCategoryId\":\"1085\",\"ListUrlMain\":\"https://doi.org/10.4103/ijciis.ijciis_9_25\",\"RegionNum\":0,\"RegionCategory\":null,\"ArticlePicture\":[],\"TitleCN\":null,\"AbstractTextCN\":null,\"PMCID\":null,\"EPubDate\":\"2025/6/23 0:00:00\",\"PubModel\":\"Epub\",\"JCR\":\"Q3\",\"JCRName\":\"Medicine\",\"Score\":null,\"Total\":0}","platform":"Semanticscholar","paperid":null,"PeriodicalName":"International Journal of Critical Illness and Injury Science","FirstCategoryId":"1085","ListUrlMain":"https://doi.org/10.4103/ijciis.ijciis_9_25","RegionNum":0,"RegionCategory":null,"ArticlePicture":[],"TitleCN":null,"AbstractTextCN":null,"PMCID":null,"EPubDate":"2025/6/23 0:00:00","PubModel":"Epub","JCR":"Q3","JCRName":"Medicine","Score":null,"Total":0}
引用次数: 0

摘要

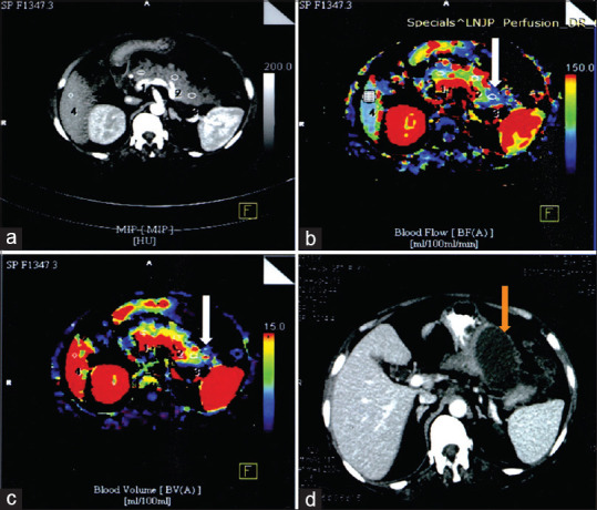
早期识别重症急性胰腺炎(SAP)的胰腺坏死对于及时干预和改善预后至关重要。虽然先前的研究已经建立了灌注计算机断层扫描(PCT)的诊断价值,但它们往往缺乏早期随访和临床整合。本研究旨在评估PCT不仅作为早期坏死的预测工具,而且作为风险分层和管理计划的临床可操作模式。方法:对50例SAP患者进行前瞻性横断面研究,这些患者在症状出现72小时内接受了PCT治疗。行PCT评估胰血流量(PBF)、胰血容量(PBV)、平均转运时间和峰值时间。随访2周后行CT增强扫描,确认坏死。比较坏死组和非坏死组的灌注参数。计算诊断性能指标(敏感性、特异性、阳性预测值[PPV]和阴性预测值[NPV])。结果:21例患者发现灌注缺损,其中18例(85.7%)随后确诊为坏死。坏死组PBF(35.49±21.62 mL/100 mL/min)、PBV(11.16±4.84 mL/100 mL)明显低于非坏死组(125.72±50.37、17.67±3.80,P < 0.05)。PCT的敏感性为100%,特异性为90.6%,PPV为85.7%,NPV为90.6%。最佳临界值为BF≤57.87,BV≤14.90。结论:PCT对SAP具有较高的诊断准确性和有价值的预后洞察,可实现早期坏死检测和患者分层。将其纳入早期评估可以改善结果和资源利用。
本文章由计算机程序翻译,如有差异,请以英文原文为准。

Early perfusion computed tomography in severe acute pancreatitis: Predicting necrosis and guiding care.

Early perfusion computed tomography in severe acute pancreatitis: Predicting necrosis and guiding care.

Early perfusion computed tomography in severe acute pancreatitis: Predicting necrosis and guiding care.

Early perfusion computed tomography in severe acute pancreatitis: Predicting necrosis and guiding care.

Introduction: Early identification of pancreatic necrosis in severe acute pancreatitis (SAP) is essential for timely intervention and improved outcomes. While prior studies have established the diagnostic value of perfusion computed tomography (PCT), they often lacked early follow-up and clinical integration. This study aims to evaluate PCT not only as a predictive tool for early necrosis but also as a clinically actionable modality for risk stratification and management planning.

Methods: A prospective cross-sectional study was conducted on 50 SAP patients who underwent PCT within 72 h of symptom onset. PCT was performed to assess pancreatic blood flow (PBF), pancreatic blood volume (PBV), mean transit time, and time to peak. Follow-up contrast-enhanced CT was performed at 2 weeks to confirm necrosis. Perfusion parameters were compared between necrosis and non-necrosis groups. Diagnostic performance metrics (sensitivity, specificity, positive predictive value [PPV], and negative predictive value [NPV]) were calculated.

Results: Perfusion defects were identified in 21 patients, with 18 (85.7%) subsequently confirmed to have necrosis. The necrosis group had significantly lower PBF (35.49 ± 21.62 mL/100 mL/min) and PBV (11.16 ± 4.84 mL/100 mL) than the non-necrosis group (125.72 ± 50.37 and 17.67 ± 3.80, respectively, P < 0.05). PCT achieved 100% sensitivity, 90.6% specificity, 85.7% PPV, and 90.6% NPV. Optimal cutoff values were BF ≤57.87 and BV ≤14.90.

Conclusion: PCT provides high diagnostic accuracy and valuable prognostic insight in SAP, allowing for early necrosis detection and patient stratification. Its integration into early assessment may improve outcomes and resource utilization.

求助全文
通过发布文献求助,成功后即可免费获取论文全文。 去求助
来源期刊
CiteScore
1.40
自引率
0.00%
发文量
37
期刊介绍: IJCIIS encourages research, education and dissemination of knowledge in the field of Critical Illness and Injury Science across the world thus promoting translational research by striking a synergy between basic science, clinical medicine and public health. The Journal intends to bring together scientists and academicians in the emergency intensive care and promote translational synergy between Laboratory Science, Clinical Medicine and Public Health. The Journal invites Original Articles, Clinical Investigations, Epidemiological Analysis, Data Protocols, Case Reports, Clinical Photographs, review articles and special commentaries. Students, Residents, Academicians, Public Health experts and scientists are all encouraged to be a part of this initiative by contributing, reviewing and promoting scientific works and science.
×
引用
GB/T 7714-2015
复制
MLA
复制
APA
复制
导出至
BibTeX EndNote RefMan NoteFirst NoteExpress
×
提示
您的信息不完整,为了账户安全,请先补充。
现在去补充
×
提示
您因"违规操作"
具体请查看互助需知
我知道了
×
提示
确定
请完成安全验证×
copy
已复制链接
快去分享给好友吧!
我知道了
右上角分享
点击右上角分享
0
联系我们:info@booksci.cn Book学术提供免费学术资源搜索服务,方便国内外学者检索中英文文献。致力于提供最便捷和优质的服务体验。 Copyright © 2023 布克学术 All rights reserved.
京ICP备2023020795号-1
ghs 京公网安备 11010802042870号
Book学术文献互助
Book学术文献互助群
群 号:604180095
Book学术官方微信