mPFC中表达nnos的神经元通过pPVT-mPFC投射介导小鼠抑郁相关行为。

IF 6.6 1区 医学 Q1 NEUROSCIENCES
Hai-Ying Liang, Zhi-Bin Zhao, Zhen Liu, James Samsom, Kai-Hong Chen, Ying Chen, Li-Ling Chen, Cheng-Yun Cai, Fang Liu
{"title":"mPFC中表达nnos的神经元通过pPVT-mPFC投射介导小鼠抑郁相关行为。","authors":"Hai-Ying Liang, Zhi-Bin Zhao, Zhen Liu, James Samsom, Kai-Hong Chen, Ying Chen, Li-Ling Chen, Cheng-Yun Cai, Fang Liu","doi":"10.1038/s41386-025-02163-7","DOIUrl":null,"url":null,"abstract":"Depression is one of the most common mental disorders, but its etiology remains poorly understood. Neuronal nitric oxide synthase (nNOS) has been implicated in depression, but the role of nNOS-expressing neurons is still unknown. We used chemogenetic strategies to show that nNOS-expressing neurons in the medial prefrontal cortex (mPFC) are essential for depression-related behaviors. Using electrophysiology, we determined that mPFC nNOS-expressing neurons receive projections from the posterior subregion of the paraventricular thalamic nucleus (pPVT). We show that excitatory projections from the pPVT onto mPFC nNOS-expressing neurons regulate depression-related behaviors. We further explore a mechanism in which activation of mPFC nNOS-expressing neurons leads to the subsequent release of nitric oxide (NO), which enhances the nitrosylation of cyclin-dependent kinase 5 (CDK5). Our data suggest a mechanism for depression involving excitatory pPVT projections onto nNOS-expressing neurons in the mPFC that represents a potential target for future treatments.","PeriodicalId":19143,"journal":{"name":"Neuropsychopharmacology","volume":"50 10","pages":"1583-1594"},"PeriodicalIF":6.6000,"publicationDate":"2025-07-08","publicationTypes":"Journal Article","fieldsOfStudy":null,"isOpenAccess":false,"openAccessPdf":"https://www.nature.comhttps://www.nature.com/articles/s41386-025-02163-7.pdf","citationCount":"0","resultStr":"{\"title\":\"nNOS-expressing neurons in the mPFC mediate depression-related behaviors in mice through pPVT-mPFC projections\",\"authors\":\"Hai-Ying Liang, Zhi-Bin Zhao, Zhen Liu, James Samsom, Kai-Hong Chen, Ying Chen, Li-Ling Chen, Cheng-Yun Cai, Fang Liu\",\"doi\":\"10.1038/s41386-025-02163-7\",\"DOIUrl\":null,\"url\":null,\"abstract\":\"Depression is one of the most common mental disorders, but its etiology remains poorly understood. Neuronal nitric oxide synthase (nNOS) has been implicated in depression, but the role of nNOS-expressing neurons is still unknown. We used chemogenetic strategies to show that nNOS-expressing neurons in the medial prefrontal cortex (mPFC) are essential for depression-related behaviors. Using electrophysiology, we determined that mPFC nNOS-expressing neurons receive projections from the posterior subregion of the paraventricular thalamic nucleus (pPVT). We show that excitatory projections from the pPVT onto mPFC nNOS-expressing neurons regulate depression-related behaviors. We further explore a mechanism in which activation of mPFC nNOS-expressing neurons leads to the subsequent release of nitric oxide (NO), which enhances the nitrosylation of cyclin-dependent kinase 5 (CDK5). Our data suggest a mechanism for depression involving excitatory pPVT projections onto nNOS-expressing neurons in the mPFC that represents a potential target for future treatments.\",\"PeriodicalId\":19143,\"journal\":{\"name\":\"Neuropsychopharmacology\",\"volume\":\"50 10\",\"pages\":\"1583-1594\"},\"PeriodicalIF\":6.6000,\"publicationDate\":\"2025-07-08\",\"publicationTypes\":\"Journal Article\",\"fieldsOfStudy\":null,\"isOpenAccess\":false,\"openAccessPdf\":\"https://www.nature.comhttps://www.nature.com/articles/s41386-025-02163-7.pdf\",\"citationCount\":\"0\",\"resultStr\":null,\"platform\":\"Semanticscholar\",\"paperid\":null,\"PeriodicalName\":\"Neuropsychopharmacology\",\"FirstCategoryId\":\"3\",\"ListUrlMain\":\"https://www.nature.com/articles/s41386-025-02163-7\",\"RegionNum\":1,\"RegionCategory\":\"医学\",\"ArticlePicture\":[],\"TitleCN\":null,\"AbstractTextCN\":null,\"PMCID\":null,\"EPubDate\":\"\",\"PubModel\":\"\",\"JCR\":\"Q1\",\"JCRName\":\"NEUROSCIENCES\",\"Score\":null,\"Total\":0}","platform":"Semanticscholar","paperid":null,"PeriodicalName":"Neuropsychopharmacology","FirstCategoryId":"3","ListUrlMain":"https://www.nature.com/articles/s41386-025-02163-7","RegionNum":1,"RegionCategory":"医学","ArticlePicture":[],"TitleCN":null,"AbstractTextCN":null,"PMCID":null,"EPubDate":"","PubModel":"","JCR":"Q1","JCRName":"NEUROSCIENCES","Score":null,"Total":0}
引用次数: 0

摘要

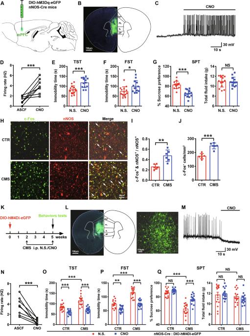
抑郁症是最常见的精神障碍之一,但其病因仍知之甚少。神经元一氧化氮合酶(nNOS)与抑郁症有关,但表达nNOS的神经元的作用尚不清楚。我们使用化学发生策略来证明内侧前额叶皮层(mPFC)中表达nnos的神经元对抑郁相关行为至关重要。通过电生理学,我们确定mPFC表达nnos的神经元接受来自室旁丘脑核(pPVT)后亚区的投射。我们发现从pPVT到mPFC表达nnos的神经元的兴奋性投射调节抑郁相关行为。我们进一步探索了表达nnos的mPFC神经元的激活导致随后一氧化氮(NO)的释放的机制,一氧化氮(NO)增强了细胞周期蛋白依赖性激酶5 (CDK5)的亚硝基化。我们的数据表明,抑郁症的机制涉及兴奋性pPVT投射到mPFC中表达nnos的神经元上,这代表了未来治疗的潜在目标。
本文章由计算机程序翻译,如有差异,请以英文原文为准。

nNOS-expressing neurons in the mPFC mediate depression-related behaviors in mice through pPVT-mPFC projections

nNOS-expressing neurons in the mPFC mediate depression-related behaviors in mice through pPVT-mPFC projections
Depression is one of the most common mental disorders, but its etiology remains poorly understood. Neuronal nitric oxide synthase (nNOS) has been implicated in depression, but the role of nNOS-expressing neurons is still unknown. We used chemogenetic strategies to show that nNOS-expressing neurons in the medial prefrontal cortex (mPFC) are essential for depression-related behaviors. Using electrophysiology, we determined that mPFC nNOS-expressing neurons receive projections from the posterior subregion of the paraventricular thalamic nucleus (pPVT). We show that excitatory projections from the pPVT onto mPFC nNOS-expressing neurons regulate depression-related behaviors. We further explore a mechanism in which activation of mPFC nNOS-expressing neurons leads to the subsequent release of nitric oxide (NO), which enhances the nitrosylation of cyclin-dependent kinase 5 (CDK5). Our data suggest a mechanism for depression involving excitatory pPVT projections onto nNOS-expressing neurons in the mPFC that represents a potential target for future treatments.
求助全文
通过发布文献求助,成功后即可免费获取论文全文。 去求助
来源期刊
Neuropsychopharmacology
Neuropsychopharmacology 医学-精神病学
CiteScore
15.00
自引率
2.60%
发文量
240
审稿时长
2 months
期刊介绍: Neuropsychopharmacology is a reputable international scientific journal that serves as the official publication of the American College of Neuropsychopharmacology (ACNP). The journal's primary focus is on research that enhances our knowledge of the brain and behavior, with a particular emphasis on the molecular, cellular, physiological, and psychological aspects of substances that affect the central nervous system (CNS). It also aims to identify new molecular targets for the development of future drugs. The journal prioritizes original research reports, but it also welcomes mini-reviews and perspectives, which are often solicited by the editorial office. These types of articles provide valuable insights and syntheses of current research trends and future directions in the field of neuroscience and pharmacology.
×
引用
GB/T 7714-2015
复制
MLA
复制
APA
复制
导出至
BibTeX EndNote RefMan NoteFirst NoteExpress
×
提示
您的信息不完整,为了账户安全,请先补充。
现在去补充
×
提示
您因"违规操作"
具体请查看互助需知
我知道了
×
提示
确定
请完成安全验证×
copy
已复制链接
快去分享给好友吧!
我知道了
右上角分享
点击右上角分享
0
联系我们:info@booksci.cn Book学术提供免费学术资源搜索服务,方便国内外学者检索中英文文献。致力于提供最便捷和优质的服务体验。 Copyright © 2023 布克学术 All rights reserved.
京ICP备2023020795号-1
ghs 京公网安备 11010802042870号
Book学术文献互助
Book学术文献互助群
群 号:604180095
Book学术官方微信