急性阑尾炎伴和不伴阑尾结石的CT评分和实验室参数的评价。

IF 1
Tuğberk Baştürk, Mehmet Duran, Seda Baştürk
{"title":"急性阑尾炎伴和不伴阑尾结石的CT评分和实验室参数的评价。","authors":"Tuğberk Baştürk, Mehmet Duran, Seda Baştürk","doi":"10.14744/tjtes.2005.75502","DOIUrl":null,"url":null,"abstract":"<p><strong>Background: </strong>With the growing interest in the non-operative management of acute appendicitis (AA), accurate diagnosis has become increasingly important. This study aimed to evaluate the computed tomography appendicitis score (CTAS), complete blood count (CBC), C-reactive protein (CRP), and systemic immune-inflammation index (SII) in patients diagnosed with AA with and without computed tomography-detected (CT-detected) appendicoliths. Additionally, the study compared these findings between patients with perforated and non-perforated appendicitis.</p><p><strong>Methods: </strong>Between January 2020 and January 2023, 294 patients diagnosed with AA were retrospectively analyzed. Of these, 140 (47.6%) had appendicoliths (Group 1), and 154 (52.4%) did not (Group 2). CT findings of AA and CTAS were evaluated. CBC parameters, CRP levels, and SII scores were compared between the groups, and the presence of appendix perforation was analyzed.</p><p><strong>Results: </strong>The mean diameter and wall thickness of the appendix, presence of intra-abdominal fluid, and severity of periappendi-ceal fat stranding were higher in Group 1 (p<0.001, p=0.024, p=0.009, p<0.001, respectively). The CTAS was also higher in Group 1 (7.51±2.35) compared to Group 2 (6.38±2.41; p<0.001). There was a positive correlation between the diameter of the appendicolith and CTAS (rho=0.450, p<0.001). In Group 1, CTAS was higher in patients with more than one appendicolith (p=0.003). Perforation was observed in 15 patients (10.7%) in Group 1 and five patients (3.2%) in Group 2, with a higher incidence in Group 1 (p=0.011). Among Group 1 patients, the perforation rate was higher in those with more than one appendicolith (p=0.019). The mean CTAS was higher in patients with appendiceal perforation (10±1.13) compared to those without perforation (7.22±2.29) (p<0.001). Monocyte (MONO) counts were also higher in Group 1 (p=0.002). Other CBC parameters, CRP levels, and SII scores did not differ significantly between Groups 1 and 2 (p>0.05). However, CRP levels and MONO counts were elevated in patients with perforated appendicitis (p<0.001 and p=0.026, respectively).</p><p><strong>Conclusion: </strong>Acute appendicitis with appendicoliths is associated with more pronounced inflammation and a higher rate of perforation. CTAS, CRP, and MONO levels tended to be elevated in cases of appendiceal perforation. A comprehensive evaluation incorporating the presence of appendicoliths, CTAS, and laboratory parameters may provide valuable insights into the severity of inflammation in AA.</p>","PeriodicalId":94263,"journal":{"name":"Ulusal travma ve acil cerrahi dergisi = Turkish journal of trauma & emergency surgery : TJTES","volume":"31 7","pages":"651-660"},"PeriodicalIF":1.0000,"publicationDate":"2025-07-01","publicationTypes":"Journal Article","fieldsOfStudy":null,"isOpenAccess":false,"openAccessPdf":"https://www.ncbi.nlm.nih.gov/pmc/articles/PMC12256970/pdf/","citationCount":"0","resultStr":"{\"title\":\"Evaluation of computed tomography (CT) appendicitis score and laboratory parameters in acute appendicitis with and without CT-detected appendicolith.\",\"authors\":\"Tuğberk Baştürk, Mehmet Duran, Seda Baştürk\",\"doi\":\"10.14744/tjtes.2005.75502\",\"DOIUrl\":null,\"url\":null,\"abstract\":\"<p><strong>Background: </strong>With the growing interest in the non-operative management of acute appendicitis (AA), accurate diagnosis has become increasingly important. This study aimed to evaluate the computed tomography appendicitis score (CTAS), complete blood count (CBC), C-reactive protein (CRP), and systemic immune-inflammation index (SII) in patients diagnosed with AA with and without computed tomography-detected (CT-detected) appendicoliths. Additionally, the study compared these findings between patients with perforated and non-perforated appendicitis.</p><p><strong>Methods: </strong>Between January 2020 and January 2023, 294 patients diagnosed with AA were retrospectively analyzed. Of these, 140 (47.6%) had appendicoliths (Group 1), and 154 (52.4%) did not (Group 2). CT findings of AA and CTAS were evaluated. CBC parameters, CRP levels, and SII scores were compared between the groups, and the presence of appendix perforation was analyzed.</p><p><strong>Results: </strong>The mean diameter and wall thickness of the appendix, presence of intra-abdominal fluid, and severity of periappendi-ceal fat stranding were higher in Group 1 (p<0.001, p=0.024, p=0.009, p<0.001, respectively). The CTAS was also higher in Group 1 (7.51±2.35) compared to Group 2 (6.38±2.41; p<0.001). There was a positive correlation between the diameter of the appendicolith and CTAS (rho=0.450, p<0.001). In Group 1, CTAS was higher in patients with more than one appendicolith (p=0.003). Perforation was observed in 15 patients (10.7%) in Group 1 and five patients (3.2%) in Group 2, with a higher incidence in Group 1 (p=0.011). Among Group 1 patients, the perforation rate was higher in those with more than one appendicolith (p=0.019). The mean CTAS was higher in patients with appendiceal perforation (10±1.13) compared to those without perforation (7.22±2.29) (p<0.001). Monocyte (MONO) counts were also higher in Group 1 (p=0.002). Other CBC parameters, CRP levels, and SII scores did not differ significantly between Groups 1 and 2 (p>0.05). However, CRP levels and MONO counts were elevated in patients with perforated appendicitis (p<0.001 and p=0.026, respectively).</p><p><strong>Conclusion: </strong>Acute appendicitis with appendicoliths is associated with more pronounced inflammation and a higher rate of perforation. CTAS, CRP, and MONO levels tended to be elevated in cases of appendiceal perforation. A comprehensive evaluation incorporating the presence of appendicoliths, CTAS, and laboratory parameters may provide valuable insights into the severity of inflammation in AA.</p>\",\"PeriodicalId\":94263,\"journal\":{\"name\":\"Ulusal travma ve acil cerrahi dergisi = Turkish journal of trauma & emergency surgery : TJTES\",\"volume\":\"31 7\",\"pages\":\"651-660\"},\"PeriodicalIF\":1.0000,\"publicationDate\":\"2025-07-01\",\"publicationTypes\":\"Journal Article\",\"fieldsOfStudy\":null,\"isOpenAccess\":false,\"openAccessPdf\":\"https://www.ncbi.nlm.nih.gov/pmc/articles/PMC12256970/pdf/\",\"citationCount\":\"0\",\"resultStr\":null,\"platform\":\"Semanticscholar\",\"paperid\":null,\"PeriodicalName\":\"Ulusal travma ve acil cerrahi dergisi = Turkish journal of trauma & emergency surgery : TJTES\",\"FirstCategoryId\":\"1085\",\"ListUrlMain\":\"https://doi.org/10.14744/tjtes.2005.75502\",\"RegionNum\":0,\"RegionCategory\":null,\"ArticlePicture\":[],\"TitleCN\":null,\"AbstractTextCN\":null,\"PMCID\":null,\"EPubDate\":\"\",\"PubModel\":\"\",\"JCR\":\"\",\"JCRName\":\"\",\"Score\":null,\"Total\":0}","platform":"Semanticscholar","paperid":null,"PeriodicalName":"Ulusal travma ve acil cerrahi dergisi = Turkish journal of trauma & emergency surgery : TJTES","FirstCategoryId":"1085","ListUrlMain":"https://doi.org/10.14744/tjtes.2005.75502","RegionNum":0,"RegionCategory":null,"ArticlePicture":[],"TitleCN":null,"AbstractTextCN":null,"PMCID":null,"EPubDate":"","PubModel":"","JCR":"","JCRName":"","Score":null,"Total":0}
引用次数: 0

摘要

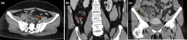
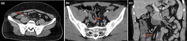
背景:随着人们对急性阑尾炎(AA)非手术治疗的兴趣日益浓厚,准确的诊断变得越来越重要。本研究旨在评估诊断为AA患者伴或不伴ct检测阑尾炎的ct阑尾炎评分(CTAS)、全血细胞计数(CBC)、c反应蛋白(CRP)和全身免疫炎症指数(SII)。此外,该研究比较了穿孔和非穿孔阑尾炎患者的这些结果。方法:对2020年1月至2023年1月294例AA患者进行回顾性分析。其中140例(47.6%)有阑尾结石(第一组),154例(52.4%)无阑尾结石(第二组)。评估AA和CTAS的CT表现。比较两组患者的CBC参数、CRP水平和SII评分,并分析是否存在阑尾穿孔。结果:1组阑尾平均直径、壁厚、腹内积液、阑尾周围脂肪搁浅严重程度均高于对照组(p0.05)。然而,穿孔性阑尾炎患者CRP水平和MONO计数升高(结论:急性阑尾炎伴阑尾结石与更明显的炎症和更高的穿孔率相关)。阑尾穿孔患者CTAS、CRP和MONO水平趋于升高。结合阑尾结石、CTAS和实验室参数的综合评估可能为AA炎症的严重程度提供有价值的见解。
本文章由计算机程序翻译,如有差异,请以英文原文为准。

Evaluation of computed tomography (CT) appendicitis score and laboratory parameters in acute appendicitis with and without CT-detected appendicolith.

Evaluation of computed tomography (CT) appendicitis score and laboratory parameters in acute appendicitis with and without CT-detected appendicolith.

Evaluation of computed tomography (CT) appendicitis score and laboratory parameters in acute appendicitis with and without CT-detected appendicolith.

Evaluation of computed tomography (CT) appendicitis score and laboratory parameters in acute appendicitis with and without CT-detected appendicolith.

Background: With the growing interest in the non-operative management of acute appendicitis (AA), accurate diagnosis has become increasingly important. This study aimed to evaluate the computed tomography appendicitis score (CTAS), complete blood count (CBC), C-reactive protein (CRP), and systemic immune-inflammation index (SII) in patients diagnosed with AA with and without computed tomography-detected (CT-detected) appendicoliths. Additionally, the study compared these findings between patients with perforated and non-perforated appendicitis.

Methods: Between January 2020 and January 2023, 294 patients diagnosed with AA were retrospectively analyzed. Of these, 140 (47.6%) had appendicoliths (Group 1), and 154 (52.4%) did not (Group 2). CT findings of AA and CTAS were evaluated. CBC parameters, CRP levels, and SII scores were compared between the groups, and the presence of appendix perforation was analyzed.

Results: The mean diameter and wall thickness of the appendix, presence of intra-abdominal fluid, and severity of periappendi-ceal fat stranding were higher in Group 1 (p<0.001, p=0.024, p=0.009, p<0.001, respectively). The CTAS was also higher in Group 1 (7.51±2.35) compared to Group 2 (6.38±2.41; p<0.001). There was a positive correlation between the diameter of the appendicolith and CTAS (rho=0.450, p<0.001). In Group 1, CTAS was higher in patients with more than one appendicolith (p=0.003). Perforation was observed in 15 patients (10.7%) in Group 1 and five patients (3.2%) in Group 2, with a higher incidence in Group 1 (p=0.011). Among Group 1 patients, the perforation rate was higher in those with more than one appendicolith (p=0.019). The mean CTAS was higher in patients with appendiceal perforation (10±1.13) compared to those without perforation (7.22±2.29) (p<0.001). Monocyte (MONO) counts were also higher in Group 1 (p=0.002). Other CBC parameters, CRP levels, and SII scores did not differ significantly between Groups 1 and 2 (p>0.05). However, CRP levels and MONO counts were elevated in patients with perforated appendicitis (p<0.001 and p=0.026, respectively).

Conclusion: Acute appendicitis with appendicoliths is associated with more pronounced inflammation and a higher rate of perforation. CTAS, CRP, and MONO levels tended to be elevated in cases of appendiceal perforation. A comprehensive evaluation incorporating the presence of appendicoliths, CTAS, and laboratory parameters may provide valuable insights into the severity of inflammation in AA.

求助全文
通过发布文献求助,成功后即可免费获取论文全文。 去求助
来源期刊
自引率
0.00%
发文量
0
×
引用
GB/T 7714-2015
复制
MLA
复制
APA
复制
导出至
BibTeX EndNote RefMan NoteFirst NoteExpress
×
提示
您的信息不完整,为了账户安全,请先补充。
现在去补充
×
提示
您因"违规操作"
具体请查看互助需知
我知道了
×
提示
确定
请完成安全验证×
copy
已复制链接
快去分享给好友吧!
我知道了
右上角分享
点击右上角分享
0
联系我们:info@booksci.cn Book学术提供免费学术资源搜索服务,方便国内外学者检索中英文文献。致力于提供最便捷和优质的服务体验。 Copyright © 2023 布克学术 All rights reserved.
京ICP备2023020795号-1
ghs 京公网安备 11010802042870号
Book学术文献互助
Book学术文献互助群
群 号:604180095
Book学术官方微信