高钠血症和高渗性高血糖状态中胼胝体渗透性脱髓鞘综合征前的细胞毒性病变:1例报告。

Q3 Medicine
Electrolyte and Blood Pressure Pub Date : 2025-06-01 Epub Date: 2025-06-23 DOI:10.5049/EBP.2025.23.e3
Hye Jin Park, Su Hyun Song, Sang Heon Suh, Hong Sang Choi, Eun Hui Bae, Seong Kwon Ma, Soo Wan Kim, Chang Seong Kim
{"title":"高钠血症和高渗性高血糖状态中胼胝体渗透性脱髓鞘综合征前的细胞毒性病变:1例报告。","authors":"Hye Jin Park, Su Hyun Song, Sang Heon Suh, Hong Sang Choi, Eun Hui Bae, Seong Kwon Ma, Soo Wan Kim, Chang Seong Kim","doi":"10.5049/EBP.2025.23.e3","DOIUrl":null,"url":null,"abstract":"<p><p>Osmotic demyelination syndrome (ODS) is a rare neurological disorder associated with osmotic imbalances. Traditionally, ODS has been known to occur following the rapid correction of hyponatremia; however, ODS has also been reported concerning hypernatremia and hyperglycemia. Cytotoxic lesions of the corpus callosum (CLOCC), identified using transient magnetic resonance imaging, can arise from various causes, including drugs, vascular diseases, infections, and metabolic disturbances such as electrolyte imbalances and dysglycemia. The simultaneous occurrence of ODS and CLOCC is extremely rare. Here, we report a case whereby a 57-year-old male initially developed CLOCC via severe hypernatremia and hyperosmolar hyperglycemic state (HHS) was also subsequently identified with ODS. Physicians should know CLOCC may be an early radiologic finding in ODS associated with severe hypernatremia and HHS. Therefore, proactive brain imaging should be considered in these patients to facilitate the early detection of neurological complications.</p>","PeriodicalId":35352,"journal":{"name":"Electrolyte and Blood Pressure","volume":"23 1","pages":"11-16"},"PeriodicalIF":0.0000,"publicationDate":"2025-06-01","publicationTypes":"Journal Article","fieldsOfStudy":null,"isOpenAccess":false,"openAccessPdf":"https://www.ncbi.nlm.nih.gov/pmc/articles/PMC12230272/pdf/","citationCount":"0","resultStr":"{\"title\":\"Cytotoxic Lesions of the Corpus Callosum Preceding Osmotic Demyelination Syndrome in Hypernatremia and Hyperosmolar Hyperglycemic State: A Case Report.\",\"authors\":\"Hye Jin Park, Su Hyun Song, Sang Heon Suh, Hong Sang Choi, Eun Hui Bae, Seong Kwon Ma, Soo Wan Kim, Chang Seong Kim\",\"doi\":\"10.5049/EBP.2025.23.e3\",\"DOIUrl\":null,\"url\":null,\"abstract\":\"<p><p>Osmotic demyelination syndrome (ODS) is a rare neurological disorder associated with osmotic imbalances. Traditionally, ODS has been known to occur following the rapid correction of hyponatremia; however, ODS has also been reported concerning hypernatremia and hyperglycemia. Cytotoxic lesions of the corpus callosum (CLOCC), identified using transient magnetic resonance imaging, can arise from various causes, including drugs, vascular diseases, infections, and metabolic disturbances such as electrolyte imbalances and dysglycemia. The simultaneous occurrence of ODS and CLOCC is extremely rare. Here, we report a case whereby a 57-year-old male initially developed CLOCC via severe hypernatremia and hyperosmolar hyperglycemic state (HHS) was also subsequently identified with ODS. Physicians should know CLOCC may be an early radiologic finding in ODS associated with severe hypernatremia and HHS. Therefore, proactive brain imaging should be considered in these patients to facilitate the early detection of neurological complications.</p>\",\"PeriodicalId\":35352,\"journal\":{\"name\":\"Electrolyte and Blood Pressure\",\"volume\":\"23 1\",\"pages\":\"11-16\"},\"PeriodicalIF\":0.0000,\"publicationDate\":\"2025-06-01\",\"publicationTypes\":\"Journal Article\",\"fieldsOfStudy\":null,\"isOpenAccess\":false,\"openAccessPdf\":\"https://www.ncbi.nlm.nih.gov/pmc/articles/PMC12230272/pdf/\",\"citationCount\":\"0\",\"resultStr\":null,\"platform\":\"Semanticscholar\",\"paperid\":null,\"PeriodicalName\":\"Electrolyte and Blood Pressure\",\"FirstCategoryId\":\"1085\",\"ListUrlMain\":\"https://doi.org/10.5049/EBP.2025.23.e3\",\"RegionNum\":0,\"RegionCategory\":null,\"ArticlePicture\":[],\"TitleCN\":null,\"AbstractTextCN\":null,\"PMCID\":null,\"EPubDate\":\"2025/6/23 0:00:00\",\"PubModel\":\"Epub\",\"JCR\":\"Q3\",\"JCRName\":\"Medicine\",\"Score\":null,\"Total\":0}","platform":"Semanticscholar","paperid":null,"PeriodicalName":"Electrolyte and Blood Pressure","FirstCategoryId":"1085","ListUrlMain":"https://doi.org/10.5049/EBP.2025.23.e3","RegionNum":0,"RegionCategory":null,"ArticlePicture":[],"TitleCN":null,"AbstractTextCN":null,"PMCID":null,"EPubDate":"2025/6/23 0:00:00","PubModel":"Epub","JCR":"Q3","JCRName":"Medicine","Score":null,"Total":0}
引用次数: 0

摘要

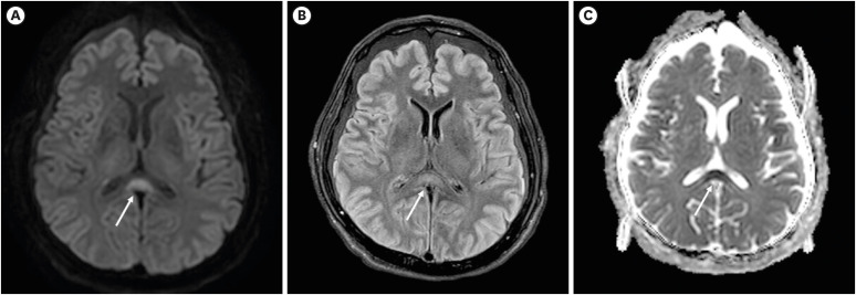
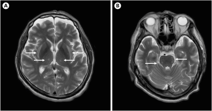
渗透性脱髓鞘综合征(ODS)是一种罕见的神经系统疾病与渗透失衡。传统上,已知ODS发生在低钠血症快速纠正之后;然而,ODS也被报道与高钠血症和高血糖有关。胼胝体细胞毒性病变(CLOCC)可由多种原因引起,包括药物、血管疾病、感染和代谢紊乱,如电解质失衡和血糖异常。ODS和CLOCC同时发生的情况极为罕见。在这里,我们报告了一例57岁男性,最初通过严重高钠血症和高渗性高血糖状态(HHS)发展为CLOCC,随后也被确定为ODS。医生应该知道CLOCC可能是与严重高钠血症和HHS相关的ODS的早期放射学发现。因此,在这些患者中应考虑积极的脑成像,以促进早期发现神经系统并发症。
本文章由计算机程序翻译,如有差异,请以英文原文为准。

Cytotoxic Lesions of the Corpus Callosum Preceding Osmotic Demyelination Syndrome in Hypernatremia and Hyperosmolar Hyperglycemic State: A Case Report.

Cytotoxic Lesions of the Corpus Callosum Preceding Osmotic Demyelination Syndrome in Hypernatremia and Hyperosmolar Hyperglycemic State: A Case Report.

Cytotoxic Lesions of the Corpus Callosum Preceding Osmotic Demyelination Syndrome in Hypernatremia and Hyperosmolar Hyperglycemic State: A Case Report.

Cytotoxic Lesions of the Corpus Callosum Preceding Osmotic Demyelination Syndrome in Hypernatremia and Hyperosmolar Hyperglycemic State: A Case Report.

Osmotic demyelination syndrome (ODS) is a rare neurological disorder associated with osmotic imbalances. Traditionally, ODS has been known to occur following the rapid correction of hyponatremia; however, ODS has also been reported concerning hypernatremia and hyperglycemia. Cytotoxic lesions of the corpus callosum (CLOCC), identified using transient magnetic resonance imaging, can arise from various causes, including drugs, vascular diseases, infections, and metabolic disturbances such as electrolyte imbalances and dysglycemia. The simultaneous occurrence of ODS and CLOCC is extremely rare. Here, we report a case whereby a 57-year-old male initially developed CLOCC via severe hypernatremia and hyperosmolar hyperglycemic state (HHS) was also subsequently identified with ODS. Physicians should know CLOCC may be an early radiologic finding in ODS associated with severe hypernatremia and HHS. Therefore, proactive brain imaging should be considered in these patients to facilitate the early detection of neurological complications.

求助全文
通过发布文献求助,成功后即可免费获取论文全文。 去求助
来源期刊
Electrolyte and Blood Pressure
Electrolyte and Blood Pressure Medicine-Internal Medicine
CiteScore
2.10
自引率
0.00%
发文量
0
×
引用
GB/T 7714-2015
复制
MLA
复制
APA
复制
导出至
BibTeX EndNote RefMan NoteFirst NoteExpress
×
提示
您的信息不完整,为了账户安全,请先补充。
现在去补充
×
提示
您因"违规操作"
具体请查看互助需知
我知道了
×
提示
确定
请完成安全验证×
copy
已复制链接
快去分享给好友吧!
我知道了
右上角分享
点击右上角分享
0
联系我们:info@booksci.cn Book学术提供免费学术资源搜索服务,方便国内外学者检索中英文文献。致力于提供最便捷和优质的服务体验。 Copyright © 2023 布克学术 All rights reserved.
京ICP备2023020795号-1
ghs 京公网安备 11010802042870号
Book学术文献互助
Book学术文献互助群
群 号:604180095
Book学术官方微信