慢性髓系白血病合并重度地中海贫血:罕见的表现。

IF 3.1 3区 医学 Q2 HEMATOLOGY
Therapeutic Advances in Hematology Pub Date : 2025-07-07 eCollection Date: 2025-01-01 DOI:10.1177/20406207251353194
Alyna Hafeez, Muhammad Usman Shaikh, Abdul Hadi Mallick, Nouman Nathani, Junaid Alam
{"title":"慢性髓系白血病合并重度地中海贫血:罕见的表现。","authors":"Alyna Hafeez, Muhammad Usman Shaikh, Abdul Hadi Mallick, Nouman Nathani, Junaid Alam","doi":"10.1177/20406207251353194","DOIUrl":null,"url":null,"abstract":"<p><p>Chronic myeloid leukemia (CML) in patients with β-thalassemia major is a rare and concerning occurrence. The longer life expectancy of thalassemia patients, resulting from improved treatment options and better healthcare facilities, has led to the emergence of various health-related issues and complications. We present the case of a 24-year-old female diagnosed with β-thalassemia major at six months of age, who presented with weakness and lethargy in clinic. Investigations, including a bone marrow biopsy, confirmed CML in the chronic phase. Initial management with imatinib resulted in severe thrombocytopenia and failure to achieve a molecular response. The treatment was then switched to Ponatinib, leading to a favorable outcome with early molecular response. This case report highlights the increased risk of hematological malignancies in thalassemia patients and underscores the importance of vigilant monitoring in them. Furthermore, it emphasizes the role and effectiveness of third-generation tyrosine kinase inhibitors in the management of such cases.</p>","PeriodicalId":23048,"journal":{"name":"Therapeutic Advances in Hematology","volume":"16 ","pages":"20406207251353194"},"PeriodicalIF":3.1000,"publicationDate":"2025-07-07","publicationTypes":"Journal Article","fieldsOfStudy":null,"isOpenAccess":false,"openAccessPdf":"https://www.ncbi.nlm.nih.gov/pmc/articles/PMC12235109/pdf/","citationCount":"0","resultStr":"{\"title\":\"Chronic myeloid leukemia in a patient with beta thalassemia major: a rare presentation.\",\"authors\":\"Alyna Hafeez, Muhammad Usman Shaikh, Abdul Hadi Mallick, Nouman Nathani, Junaid Alam\",\"doi\":\"10.1177/20406207251353194\",\"DOIUrl\":null,\"url\":null,\"abstract\":\"<p><p>Chronic myeloid leukemia (CML) in patients with β-thalassemia major is a rare and concerning occurrence. The longer life expectancy of thalassemia patients, resulting from improved treatment options and better healthcare facilities, has led to the emergence of various health-related issues and complications. We present the case of a 24-year-old female diagnosed with β-thalassemia major at six months of age, who presented with weakness and lethargy in clinic. Investigations, including a bone marrow biopsy, confirmed CML in the chronic phase. Initial management with imatinib resulted in severe thrombocytopenia and failure to achieve a molecular response. The treatment was then switched to Ponatinib, leading to a favorable outcome with early molecular response. This case report highlights the increased risk of hematological malignancies in thalassemia patients and underscores the importance of vigilant monitoring in them. Furthermore, it emphasizes the role and effectiveness of third-generation tyrosine kinase inhibitors in the management of such cases.</p>\",\"PeriodicalId\":23048,\"journal\":{\"name\":\"Therapeutic Advances in Hematology\",\"volume\":\"16 \",\"pages\":\"20406207251353194\"},\"PeriodicalIF\":3.1000,\"publicationDate\":\"2025-07-07\",\"publicationTypes\":\"Journal Article\",\"fieldsOfStudy\":null,\"isOpenAccess\":false,\"openAccessPdf\":\"https://www.ncbi.nlm.nih.gov/pmc/articles/PMC12235109/pdf/\",\"citationCount\":\"0\",\"resultStr\":null,\"platform\":\"Semanticscholar\",\"paperid\":null,\"PeriodicalName\":\"Therapeutic Advances in Hematology\",\"FirstCategoryId\":\"3\",\"ListUrlMain\":\"https://doi.org/10.1177/20406207251353194\",\"RegionNum\":3,\"RegionCategory\":\"医学\",\"ArticlePicture\":[],\"TitleCN\":null,\"AbstractTextCN\":null,\"PMCID\":null,\"EPubDate\":\"2025/1/1 0:00:00\",\"PubModel\":\"eCollection\",\"JCR\":\"Q2\",\"JCRName\":\"HEMATOLOGY\",\"Score\":null,\"Total\":0}","platform":"Semanticscholar","paperid":null,"PeriodicalName":"Therapeutic Advances in Hematology","FirstCategoryId":"3","ListUrlMain":"https://doi.org/10.1177/20406207251353194","RegionNum":3,"RegionCategory":"医学","ArticlePicture":[],"TitleCN":null,"AbstractTextCN":null,"PMCID":null,"EPubDate":"2025/1/1 0:00:00","PubModel":"eCollection","JCR":"Q2","JCRName":"HEMATOLOGY","Score":null,"Total":0}
引用次数: 0

摘要

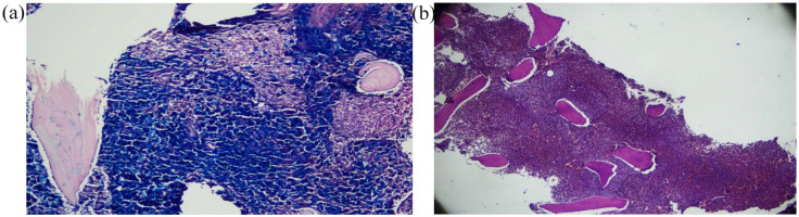
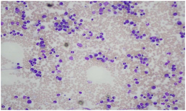
慢性髓性白血病(CML)在β-地中海贫血患者中是一种罕见且令人担忧的发生。由于治疗方案的改进和保健设施的改善,地中海贫血患者的预期寿命延长,导致出现各种与健康有关的问题和并发症。我们提出的情况下,24岁的女性诊断为β-地中海贫血在6个月大,谁在临床表现虚弱和嗜睡。检查,包括骨髓活检,证实慢性粒细胞白血病在慢性期。最初使用伊马替尼治疗导致严重的血小板减少症和未能达到分子反应。随后切换到Ponatinib治疗,导致早期分子反应的有利结果。本病例报告强调了地中海贫血患者血液系统恶性肿瘤的风险增加,并强调了对其进行警惕监测的重要性。此外,它强调了第三代酪氨酸激酶抑制剂在此类病例管理中的作用和有效性。
本文章由计算机程序翻译,如有差异,请以英文原文为准。

Chronic myeloid leukemia in a patient with beta thalassemia major: a rare presentation.

Chronic myeloid leukemia in a patient with beta thalassemia major: a rare presentation.

Chronic myeloid leukemia in a patient with beta thalassemia major: a rare presentation.

Chronic myeloid leukemia in a patient with beta thalassemia major: a rare presentation.

Chronic myeloid leukemia (CML) in patients with β-thalassemia major is a rare and concerning occurrence. The longer life expectancy of thalassemia patients, resulting from improved treatment options and better healthcare facilities, has led to the emergence of various health-related issues and complications. We present the case of a 24-year-old female diagnosed with β-thalassemia major at six months of age, who presented with weakness and lethargy in clinic. Investigations, including a bone marrow biopsy, confirmed CML in the chronic phase. Initial management with imatinib resulted in severe thrombocytopenia and failure to achieve a molecular response. The treatment was then switched to Ponatinib, leading to a favorable outcome with early molecular response. This case report highlights the increased risk of hematological malignancies in thalassemia patients and underscores the importance of vigilant monitoring in them. Furthermore, it emphasizes the role and effectiveness of third-generation tyrosine kinase inhibitors in the management of such cases.

求助全文
通过发布文献求助,成功后即可免费获取论文全文。 去求助
来源期刊
CiteScore
4.30
自引率
0.00%
发文量
54
审稿时长
7 weeks
期刊介绍: Therapeutic Advances in Hematology delivers the highest quality peer-reviewed articles, reviews, and scholarly comment on pioneering efforts and innovative studies across all areas of hematology. The journal has a strong clinical and pharmacological focus and is aimed at clinicians and researchers in hematology, providing a forum in print and online for publishing the highest quality articles in this area.
×
引用
GB/T 7714-2015
复制
MLA
复制
APA
复制
导出至
BibTeX EndNote RefMan NoteFirst NoteExpress
×
提示
您的信息不完整,为了账户安全,请先补充。
现在去补充
×
提示
您因"违规操作"
具体请查看互助需知
我知道了
×
提示
确定
请完成安全验证×
copy
已复制链接
快去分享给好友吧!
我知道了
右上角分享
点击右上角分享
0
联系我们:info@booksci.cn Book学术提供免费学术资源搜索服务,方便国内外学者检索中英文文献。致力于提供最便捷和优质的服务体验。 Copyright © 2023 布克学术 All rights reserved.
京ICP备2023020795号-1
ghs 京公网安备 11010802042870号
Book学术文献互助
Book学术文献互助群
群 号:604180095
Book学术官方微信