桡骨远端骨折-桡骨远端骨折x线片中旋后低估了背侧倾斜:1例报告。

IF 1.3 Q3 RADIOLOGY, NUCLEAR MEDICINE & MEDICAL IMAGING
Emergency Radiology Pub Date : 2025-08-01 Epub Date: 2025-07-09 DOI:10.1007/s10140-025-02367-w
Sebastian P L Clark, Maria Ilsø, Jens C Werlinrud, Benjamin S Rasmussen, Janni Jensen
{"title":"桡骨远端骨折-桡骨远端骨折x线片中旋后低估了背侧倾斜:1例报告。","authors":"Sebastian P L Clark, Maria Ilsø, Jens C Werlinrud, Benjamin S Rasmussen, Janni Jensen","doi":"10.1007/s10140-025-02367-w","DOIUrl":null,"url":null,"abstract":"<p><p>Distal radius fractures are one of the most prevalent fracture types. Dorsal tilt of the articular surface of the distal radius as assessed on the lateral radiograph is often used in determining the correct treatment method. This report seeks to highlight the importance of correct forearm positioning when obtaining distal radius radiographs, and the effects of pronation and supination on dorsal tilt measurements of the radius. It presents a case of a 35-year-old male with a malaligned left-sided distal radius fracture sustained during a sports-related fall.</p>","PeriodicalId":11623,"journal":{"name":"Emergency Radiology","volume":" ","pages":"663-668"},"PeriodicalIF":1.3000,"publicationDate":"2025-08-01","publicationTypes":"Journal Article","fieldsOfStudy":null,"isOpenAccess":false,"openAccessPdf":"https://www.ncbi.nlm.nih.gov/pmc/articles/PMC12328503/pdf/","citationCount":"0","resultStr":"{\"title\":\"Distal radius fracture - Supination underestimates dorsal tilt in distal radius fracture radiographs: a case report.\",\"authors\":\"Sebastian P L Clark, Maria Ilsø, Jens C Werlinrud, Benjamin S Rasmussen, Janni Jensen\",\"doi\":\"10.1007/s10140-025-02367-w\",\"DOIUrl\":null,\"url\":null,\"abstract\":\"<p><p>Distal radius fractures are one of the most prevalent fracture types. Dorsal tilt of the articular surface of the distal radius as assessed on the lateral radiograph is often used in determining the correct treatment method. This report seeks to highlight the importance of correct forearm positioning when obtaining distal radius radiographs, and the effects of pronation and supination on dorsal tilt measurements of the radius. It presents a case of a 35-year-old male with a malaligned left-sided distal radius fracture sustained during a sports-related fall.</p>\",\"PeriodicalId\":11623,\"journal\":{\"name\":\"Emergency Radiology\",\"volume\":\" \",\"pages\":\"663-668\"},\"PeriodicalIF\":1.3000,\"publicationDate\":\"2025-08-01\",\"publicationTypes\":\"Journal Article\",\"fieldsOfStudy\":null,\"isOpenAccess\":false,\"openAccessPdf\":\"https://www.ncbi.nlm.nih.gov/pmc/articles/PMC12328503/pdf/\",\"citationCount\":\"0\",\"resultStr\":null,\"platform\":\"Semanticscholar\",\"paperid\":null,\"PeriodicalName\":\"Emergency Radiology\",\"FirstCategoryId\":\"1085\",\"ListUrlMain\":\"https://doi.org/10.1007/s10140-025-02367-w\",\"RegionNum\":0,\"RegionCategory\":null,\"ArticlePicture\":[],\"TitleCN\":null,\"AbstractTextCN\":null,\"PMCID\":null,\"EPubDate\":\"2025/7/9 0:00:00\",\"PubModel\":\"Epub\",\"JCR\":\"Q3\",\"JCRName\":\"RADIOLOGY, NUCLEAR MEDICINE & MEDICAL IMAGING\",\"Score\":null,\"Total\":0}","platform":"Semanticscholar","paperid":null,"PeriodicalName":"Emergency Radiology","FirstCategoryId":"1085","ListUrlMain":"https://doi.org/10.1007/s10140-025-02367-w","RegionNum":0,"RegionCategory":null,"ArticlePicture":[],"TitleCN":null,"AbstractTextCN":null,"PMCID":null,"EPubDate":"2025/7/9 0:00:00","PubModel":"Epub","JCR":"Q3","JCRName":"RADIOLOGY, NUCLEAR MEDICINE & MEDICAL IMAGING","Score":null,"Total":0}
引用次数: 0

摘要

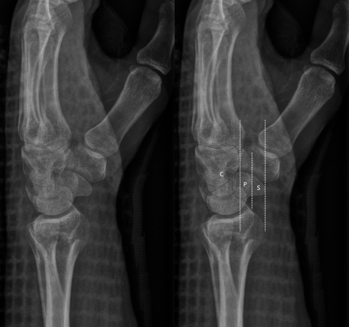
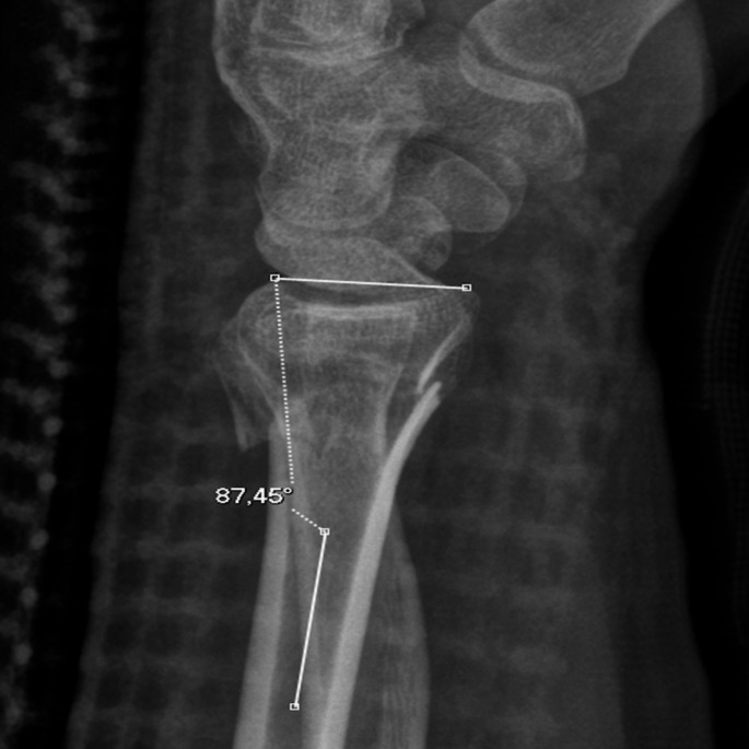
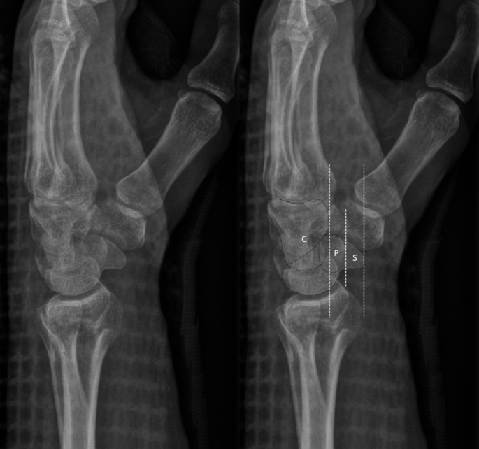
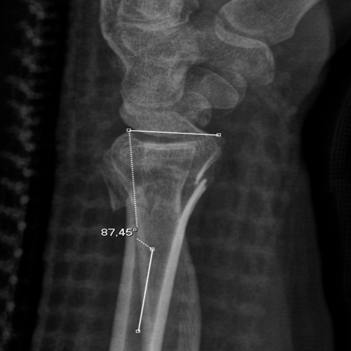
桡骨远端骨折是最常见的骨折类型之一。侧位x线片评估的桡骨远端关节面背侧倾斜常用于确定正确的治疗方法。本报告旨在强调在获得桡骨远端x线片时正确前臂定位的重要性,以及旋前和旋后对桡骨背侧倾斜测量的影响。它提出了一个病例35岁的男性与运动相关的跌倒期间持续的左侧桡骨远端骨折错位。
本文章由计算机程序翻译,如有差异,请以英文原文为准。

Distal radius fracture - Supination underestimates dorsal tilt in distal radius fracture radiographs: a case report.

Distal radius fracture - Supination underestimates dorsal tilt in distal radius fracture radiographs: a case report.

Distal radius fracture - Supination underestimates dorsal tilt in distal radius fracture radiographs: a case report.

Distal radius fracture - Supination underestimates dorsal tilt in distal radius fracture radiographs: a case report.

Distal radius fracture - Supination underestimates dorsal tilt in distal radius fracture radiographs: a case report.

Distal radius fracture - Supination underestimates dorsal tilt in distal radius fracture radiographs: a case report.

Distal radius fracture - Supination underestimates dorsal tilt in distal radius fracture radiographs: a case report.

Distal radius fractures are one of the most prevalent fracture types. Dorsal tilt of the articular surface of the distal radius as assessed on the lateral radiograph is often used in determining the correct treatment method. This report seeks to highlight the importance of correct forearm positioning when obtaining distal radius radiographs, and the effects of pronation and supination on dorsal tilt measurements of the radius. It presents a case of a 35-year-old male with a malaligned left-sided distal radius fracture sustained during a sports-related fall.

求助全文
通过发布文献求助,成功后即可免费获取论文全文。 去求助
来源期刊
Emergency Radiology
Emergency Radiology RADIOLOGY, NUCLEAR MEDICINE & MEDICAL IMAGING-
CiteScore
4.60
自引率
4.50%
发文量
98
期刊介绍: To advance and improve the radiologic aspects of emergency careTo establish Emergency Radiology as an area of special interest in the field of diagnostic imagingTo improve methods of education in Emergency RadiologyTo provide, through formal meetings, a mechanism for presentation of scientific papers on various aspects of Emergency Radiology and continuing educationTo promote research in Emergency Radiology by clinical and basic science investigators, including residents and other traineesTo act as the resource body on Emergency Radiology for those interested in emergency patient care Members of the American Society of Emergency Radiology (ASER) receive the Emergency Radiology journal as a benefit of membership!
×
引用
GB/T 7714-2015
复制
MLA
复制
APA
复制
导出至
BibTeX EndNote RefMan NoteFirst NoteExpress
×
提示
您的信息不完整,为了账户安全,请先补充。
现在去补充
×
提示
您因"违规操作"
具体请查看互助需知
我知道了
×
提示
确定
请完成安全验证×
copy
已复制链接
快去分享给好友吧!
我知道了
右上角分享
点击右上角分享
0
联系我们:info@booksci.cn Book学术提供免费学术资源搜索服务,方便国内外学者检索中英文文献。致力于提供最便捷和优质的服务体验。 Copyright © 2023 布克学术 All rights reserved.
京ICP备2023020795号-1
ghs 京公网安备 11010802042870号
Book学术文献互助
Book学术文献互助群
群 号:604180095
Book学术官方微信