豆蔻的茎皮煎液。天蚕科植物对Wistar大鼠有抗子宫平滑肌瘤作用。

IF 3.4 Q2 REPRODUCTIVE BIOLOGY
Reproduction & fertility Pub Date : 2025-07-26 Print Date: 2025-07-01 DOI:10.1530/RAF-25-0037
Sylvin Benjamin Ateba, Lauriane Francoise Chantal Engome Mbella, Judith Caroline Ngo Nyobe, Charline Florence Awounfack, Chelsa Jolivette Nanfah Voutsop, Perpetue Mbede Atsama, Christine Benderli Nana, Gisèle Etame-Loé, Alain Bertrand Dongmo, Dieudonné Njamen
{"title":"豆蔻的茎皮煎液。天蚕科植物对Wistar大鼠有抗子宫平滑肌瘤作用。","authors":"Sylvin Benjamin Ateba, Lauriane Francoise Chantal Engome Mbella, Judith Caroline Ngo Nyobe, Charline Florence Awounfack, Chelsa Jolivette Nanfah Voutsop, Perpetue Mbede Atsama, Christine Benderli Nana, Gisèle Etame-Loé, Alain Bertrand Dongmo, Dieudonné Njamen","doi":"10.1530/RAF-25-0037","DOIUrl":null,"url":null,"abstract":"<p><strong>Graphical abstract: </strong></p><p><strong>Abstract: </strong>Over the past 30 years, the number of new cases of uterine leiomyomas (UL) in women of reproductive age has increased by 67.14% worldwide. The limitations of the current therapeutic options have led to the search for alternatives. Myrianthus arboreus P. Beauv., used for infertility and tumors, has never been tested for UL. In the present study, the decoction of its stem bark was evaluated in a model of UL induced in female Wistar rats. Animals were treated once daily by gavage for 30 days. Normal control and model groups received distilled water, positive groups received mifepristone (5.2 mg/kg) and the remaining three groups were treated with 50, 100, and 200 mg/kg M. arboreus extract, respectively. Compared to the model group, the extract at 50 and 100 mg/kg reduced the E2B- and progesterone-induced uterine horn asymmetry and thickening, and the relative uterine weight and diameter; myometrial thickness; and collagen density (at 100 and 200 mg/kg). Regarding cytokines, the extract decreased the uterine levels of TGF-β1 and VEGF (at 100 and 200 mg/kg) and TNF-α (at all doses tested). It also decreased the serum levels of estradiol (at 100 and 200 mg/kg). Despite positive trend in reducing oxidative damage (decreased MDA at 50 mg/kg, increased catalase activity at all tested doses, and increased GSH at 100 mg/kg), the level of oxidative stress is still elevated. By attenuating key cellular events involved in the growth and development of UL, such as inflammation, fibrosis and angiogenesis, Myrianthus arboreus may be a promising option for UL treatment and management.</p><p><strong>Lay summary: </strong>Uterine fibroids are non-cancerous tumors that originate from the smooth muscular wall of the uterus. They may cause severe symptoms, such as chronic pelvic pain, heavy menstrual bleeding, painful intercourse, frequent urination, back pain and obstetric complications (embryo implantation failure, fetal growth restriction, miscarriages, preterm delivery, and fertility impairment). The exact cause is not known, but hormonal changes may play an important role. Treatment options depend on the symptoms and desire to preserve the uterus, and may include medication, minimally invasive procedures and surgery. Their associated risks and limitations fuel searching for conservative alternatives. This study investigates the anti-uterine fibroid potential of the giant yellow mulberry (Myrianthus arboreus P. Beauv.) in rat. Consuming boiled M. arboreus stem bark in water reduced uterine wall thickness, inflammation, and collagen deposition, and increased the ability of the uterus to fight cell damage. Thus, this extract may prevent or shrink uterine fibroids by reducing uterine swelling, fibrosis and excessive cell growth.</p>","PeriodicalId":101312,"journal":{"name":"Reproduction & fertility","volume":" ","pages":""},"PeriodicalIF":3.4000,"publicationDate":"2025-07-26","publicationTypes":"Journal Article","fieldsOfStudy":null,"isOpenAccess":false,"openAccessPdf":"https://www.ncbi.nlm.nih.gov/pmc/articles/PMC12308640/pdf/","citationCount":"0","resultStr":"{\"title\":\"The stem bark decoction of Myrianthus arboreus P. Beauv. (Cecropiaceae) shows anti-uterine leiomyoma effects in Wistar rat.\",\"authors\":\"Sylvin Benjamin Ateba, Lauriane Francoise Chantal Engome Mbella, Judith Caroline Ngo Nyobe, Charline Florence Awounfack, Chelsa Jolivette Nanfah Voutsop, Perpetue Mbede Atsama, Christine Benderli Nana, Gisèle Etame-Loé, Alain Bertrand Dongmo, Dieudonné Njamen\",\"doi\":\"10.1530/RAF-25-0037\",\"DOIUrl\":null,\"url\":null,\"abstract\":\"<p><strong>Graphical abstract: </strong></p><p><strong>Abstract: </strong>Over the past 30 years, the number of new cases of uterine leiomyomas (UL) in women of reproductive age has increased by 67.14% worldwide. The limitations of the current therapeutic options have led to the search for alternatives. Myrianthus arboreus P. Beauv., used for infertility and tumors, has never been tested for UL. In the present study, the decoction of its stem bark was evaluated in a model of UL induced in female Wistar rats. Animals were treated once daily by gavage for 30 days. Normal control and model groups received distilled water, positive groups received mifepristone (5.2 mg/kg) and the remaining three groups were treated with 50, 100, and 200 mg/kg M. arboreus extract, respectively. Compared to the model group, the extract at 50 and 100 mg/kg reduced the E2B- and progesterone-induced uterine horn asymmetry and thickening, and the relative uterine weight and diameter; myometrial thickness; and collagen density (at 100 and 200 mg/kg). Regarding cytokines, the extract decreased the uterine levels of TGF-β1 and VEGF (at 100 and 200 mg/kg) and TNF-α (at all doses tested). It also decreased the serum levels of estradiol (at 100 and 200 mg/kg). Despite positive trend in reducing oxidative damage (decreased MDA at 50 mg/kg, increased catalase activity at all tested doses, and increased GSH at 100 mg/kg), the level of oxidative stress is still elevated. By attenuating key cellular events involved in the growth and development of UL, such as inflammation, fibrosis and angiogenesis, Myrianthus arboreus may be a promising option for UL treatment and management.</p><p><strong>Lay summary: </strong>Uterine fibroids are non-cancerous tumors that originate from the smooth muscular wall of the uterus. They may cause severe symptoms, such as chronic pelvic pain, heavy menstrual bleeding, painful intercourse, frequent urination, back pain and obstetric complications (embryo implantation failure, fetal growth restriction, miscarriages, preterm delivery, and fertility impairment). The exact cause is not known, but hormonal changes may play an important role. Treatment options depend on the symptoms and desire to preserve the uterus, and may include medication, minimally invasive procedures and surgery. Their associated risks and limitations fuel searching for conservative alternatives. This study investigates the anti-uterine fibroid potential of the giant yellow mulberry (Myrianthus arboreus P. Beauv.) in rat. Consuming boiled M. arboreus stem bark in water reduced uterine wall thickness, inflammation, and collagen deposition, and increased the ability of the uterus to fight cell damage. Thus, this extract may prevent or shrink uterine fibroids by reducing uterine swelling, fibrosis and excessive cell growth.</p>\",\"PeriodicalId\":101312,\"journal\":{\"name\":\"Reproduction & fertility\",\"volume\":\" \",\"pages\":\"\"},\"PeriodicalIF\":3.4000,\"publicationDate\":\"2025-07-26\",\"publicationTypes\":\"Journal Article\",\"fieldsOfStudy\":null,\"isOpenAccess\":false,\"openAccessPdf\":\"https://www.ncbi.nlm.nih.gov/pmc/articles/PMC12308640/pdf/\",\"citationCount\":\"0\",\"resultStr\":null,\"platform\":\"Semanticscholar\",\"paperid\":null,\"PeriodicalName\":\"Reproduction & fertility\",\"FirstCategoryId\":\"1085\",\"ListUrlMain\":\"https://doi.org/10.1530/RAF-25-0037\",\"RegionNum\":0,\"RegionCategory\":null,\"ArticlePicture\":[],\"TitleCN\":null,\"AbstractTextCN\":null,\"PMCID\":null,\"EPubDate\":\"2025/7/1 0:00:00\",\"PubModel\":\"Print\",\"JCR\":\"Q2\",\"JCRName\":\"REPRODUCTIVE BIOLOGY\",\"Score\":null,\"Total\":0}","platform":"Semanticscholar","paperid":null,"PeriodicalName":"Reproduction & fertility","FirstCategoryId":"1085","ListUrlMain":"https://doi.org/10.1530/RAF-25-0037","RegionNum":0,"RegionCategory":null,"ArticlePicture":[],"TitleCN":null,"AbstractTextCN":null,"PMCID":null,"EPubDate":"2025/7/1 0:00:00","PubModel":"Print","JCR":"Q2","JCRName":"REPRODUCTIVE BIOLOGY","Score":null,"Total":0}
引用次数: 0

摘要

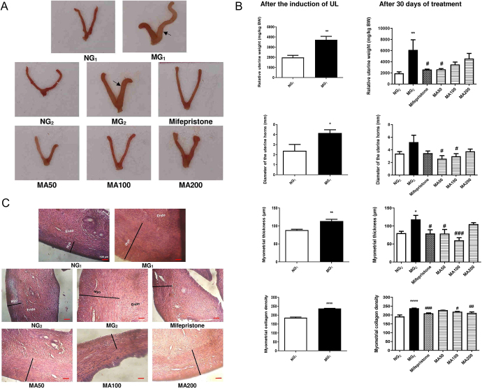
摘要:在过去的30年里,全世界育龄妇女子宫平滑肌瘤(UL)的新病例数增加了67.14%。当前治疗方案的局限性促使人们寻找替代方案。百合花。这种药物用于治疗不孕症和肿瘤,但从未进行过UL检测。本研究采用雌性Wistar大鼠UL模型,对其茎皮煎剂进行评价。每天1次灌胃治疗,连续30天。正常对照组和模型组灌胃蒸馏水,阳性组灌胃米非司酮(5.2 mg/kg),其余3组分别灌胃50、100、200 mg/kg木香提取物。与模型组比较,50和100 mg/kg提取物可减轻E2B-和黄体酮诱导的大鼠子宫角不对称和增厚,降低子宫相对重量、直径、肌层厚度;胶原蛋白密度(100和200 mg/kg)。在细胞因子方面,提取物降低子宫TGF-β1和VEGF(100和200 mg/kg)和TNF-α(所有试验剂量)的水平。它还降低了血清雌二醇水平(100和200 mg/kg)。尽管在减少氧化损伤方面有积极的趋势(在50 mg/kg剂量下MDA降低,在所有试验剂量下过氧化氢酶活性增加,在100 mg/kg剂量下谷胱甘肽活性增加),但氧化应激水平仍然升高。通过减弱参与UL生长和发展的关键细胞事件,如炎症、纤维化和血管生成,豆蔻树可能是UL治疗和管理的一个有希望的选择。概要:子宫肌瘤是起源于子宫平滑肌壁的非癌性肿瘤。它们可能引起严重的症状,如慢性盆腔疼痛、月经大出血、性交疼痛、尿频、背痛和产科并发症(胚胎植入失败、胎儿生长受限、流产、早产、生育能力受损)。确切的原因尚不清楚,但荷尔蒙的变化可能起着重要作用。治疗方案取决于症状和保留子宫的愿望,可能包括药物治疗、微创手术和手术。它们相关的风险和局限性促使人们寻找保守的替代方案。本研究探讨巨黄桑(Myrianthus arboreus P. Beauv.)对大鼠子宫肌瘤的抑制作用。在水中食用煮熟的木参茎皮可以减少子宫壁厚度、炎症、胶原沉积,并增加子宫抵抗细胞损伤的能力。因此,这种提取物可以通过减少子宫肿胀、纤维化和过度的细胞生长来预防或缩小子宫肌瘤。
本文章由计算机程序翻译,如有差异,请以英文原文为准。

The stem bark decoction of Myrianthus arboreus P. Beauv. (Cecropiaceae) shows anti-uterine leiomyoma effects in Wistar rat.

The stem bark decoction of Myrianthus arboreus P. Beauv. (Cecropiaceae) shows anti-uterine leiomyoma effects in Wistar rat.

The stem bark decoction of Myrianthus arboreus P. Beauv. (Cecropiaceae) shows anti-uterine leiomyoma effects in Wistar rat.

The stem bark decoction of Myrianthus arboreus P. Beauv. (Cecropiaceae) shows anti-uterine leiomyoma effects in Wistar rat.

Graphical abstract:

Abstract: Over the past 30 years, the number of new cases of uterine leiomyomas (UL) in women of reproductive age has increased by 67.14% worldwide. The limitations of the current therapeutic options have led to the search for alternatives. Myrianthus arboreus P. Beauv., used for infertility and tumors, has never been tested for UL. In the present study, the decoction of its stem bark was evaluated in a model of UL induced in female Wistar rats. Animals were treated once daily by gavage for 30 days. Normal control and model groups received distilled water, positive groups received mifepristone (5.2 mg/kg) and the remaining three groups were treated with 50, 100, and 200 mg/kg M. arboreus extract, respectively. Compared to the model group, the extract at 50 and 100 mg/kg reduced the E2B- and progesterone-induced uterine horn asymmetry and thickening, and the relative uterine weight and diameter; myometrial thickness; and collagen density (at 100 and 200 mg/kg). Regarding cytokines, the extract decreased the uterine levels of TGF-β1 and VEGF (at 100 and 200 mg/kg) and TNF-α (at all doses tested). It also decreased the serum levels of estradiol (at 100 and 200 mg/kg). Despite positive trend in reducing oxidative damage (decreased MDA at 50 mg/kg, increased catalase activity at all tested doses, and increased GSH at 100 mg/kg), the level of oxidative stress is still elevated. By attenuating key cellular events involved in the growth and development of UL, such as inflammation, fibrosis and angiogenesis, Myrianthus arboreus may be a promising option for UL treatment and management.

Lay summary: Uterine fibroids are non-cancerous tumors that originate from the smooth muscular wall of the uterus. They may cause severe symptoms, such as chronic pelvic pain, heavy menstrual bleeding, painful intercourse, frequent urination, back pain and obstetric complications (embryo implantation failure, fetal growth restriction, miscarriages, preterm delivery, and fertility impairment). The exact cause is not known, but hormonal changes may play an important role. Treatment options depend on the symptoms and desire to preserve the uterus, and may include medication, minimally invasive procedures and surgery. Their associated risks and limitations fuel searching for conservative alternatives. This study investigates the anti-uterine fibroid potential of the giant yellow mulberry (Myrianthus arboreus P. Beauv.) in rat. Consuming boiled M. arboreus stem bark in water reduced uterine wall thickness, inflammation, and collagen deposition, and increased the ability of the uterus to fight cell damage. Thus, this extract may prevent or shrink uterine fibroids by reducing uterine swelling, fibrosis and excessive cell growth.

求助全文
通过发布文献求助,成功后即可免费获取论文全文。 去求助
来源期刊
CiteScore
2.80
自引率
0.00%
发文量
0
×
引用
GB/T 7714-2015
复制
MLA
复制
APA
复制
导出至
BibTeX EndNote RefMan NoteFirst NoteExpress
×
提示
您的信息不完整,为了账户安全,请先补充。
现在去补充
×
提示
您因"违规操作"
具体请查看互助需知
我知道了
×
提示
确定
请完成安全验证×
copy
已复制链接
快去分享给好友吧!
我知道了
右上角分享
点击右上角分享
0
联系我们:info@booksci.cn Book学术提供免费学术资源搜索服务,方便国内外学者检索中英文文献。致力于提供最便捷和优质的服务体验。 Copyright © 2023 布克学术 All rights reserved.
京ICP备2023020795号-1
ghs 京公网安备 11010802042870号
Book学术文献互助
Book学术文献互助群
群 号:604180095
Book学术官方微信