结节性多动脉炎累及睾丸:罕见病例报告,强调核影像及血管造影在诊断中的作用。

IF 0.5 Q4 RADIOLOGY, NUCLEAR MEDICINE & MEDICAL IMAGING
Jacob Owens, Gunnar Whealy, Harvey Sekhon, Rustain Morgan, Craig Johnson, Lei Yu
{"title":"结节性多动脉炎累及睾丸:罕见病例报告,强调核影像及血管造影在诊断中的作用。","authors":"Jacob Owens, Gunnar Whealy, Harvey Sekhon, Rustain Morgan, Craig Johnson, Lei Yu","doi":"10.1093/bjrcr/uaaf032","DOIUrl":null,"url":null,"abstract":"<p><p>Polyarteritis nodosa (PAN) is a systemic small to medium vessel vasculitis. It is often associated with hepatitis B infection and classically presents with cutaneous, gastrointestinal, or nervous system involvement. We present a case of a 56-year-old male who presented with a chief complaint of painful scrotal swelling. Initial ultrasound demonstrated concern for epididymitis, and the patient was started on appropriate antibiotics without improvement of symptoms, resulting in admission. Due to continued scrotal pain, fevers, and negative infectious work-up, F-18 fluorodeoxyglucose (FDG) PET/CT was obtained, revealing diffuse hypermetabolic activity throughout the medium to small arterial vasculature, concerning for vasculitis. Abdominopelvic angiography confirmed the diagnosis, and the patient was started on steroids with plans to initiate cyclophosphamide. Clinical testicular involvement is a rare presentation of PAN, although it is often seen at autopsy. Previously reported cases have presented with similar scrotal pain and tenderness in addition to constitutional symptoms, as well as treatment with steroids and immunosuppressive agents. While biopsy with histopathology or angiography often serves as the gold standard for the diagnosis of PAN, this case also demonstrates the diagnostic utility of nuclear medicine with F-18 FDG PET/CT. Polyarteritis nodosa typically demonstrates hypermetabolic activity of the small- to medium-sized vasculature on F-18 FDG PET/CT, most often in the lower extremities. With similar findings, this case contributes to reports that show the utility of nuclear imaging in diagnosing vasculitides.</p>","PeriodicalId":45216,"journal":{"name":"BJR Case Reports","volume":"11 4","pages":"uaaf032"},"PeriodicalIF":0.5000,"publicationDate":"2025-07-01","publicationTypes":"Journal Article","fieldsOfStudy":null,"isOpenAccess":false,"openAccessPdf":"https://www.ncbi.nlm.nih.gov/pmc/articles/PMC12228961/pdf/","citationCount":"0","resultStr":"{\"title\":\"Polyarteritis nodosa with testicular involvement: a rare case report highlighting the role of nuclear imaging and angiography in diagnosis.\",\"authors\":\"Jacob Owens, Gunnar Whealy, Harvey Sekhon, Rustain Morgan, Craig Johnson, Lei Yu\",\"doi\":\"10.1093/bjrcr/uaaf032\",\"DOIUrl\":null,\"url\":null,\"abstract\":\"<p><p>Polyarteritis nodosa (PAN) is a systemic small to medium vessel vasculitis. It is often associated with hepatitis B infection and classically presents with cutaneous, gastrointestinal, or nervous system involvement. We present a case of a 56-year-old male who presented with a chief complaint of painful scrotal swelling. Initial ultrasound demonstrated concern for epididymitis, and the patient was started on appropriate antibiotics without improvement of symptoms, resulting in admission. Due to continued scrotal pain, fevers, and negative infectious work-up, F-18 fluorodeoxyglucose (FDG) PET/CT was obtained, revealing diffuse hypermetabolic activity throughout the medium to small arterial vasculature, concerning for vasculitis. Abdominopelvic angiography confirmed the diagnosis, and the patient was started on steroids with plans to initiate cyclophosphamide. Clinical testicular involvement is a rare presentation of PAN, although it is often seen at autopsy. Previously reported cases have presented with similar scrotal pain and tenderness in addition to constitutional symptoms, as well as treatment with steroids and immunosuppressive agents. While biopsy with histopathology or angiography often serves as the gold standard for the diagnosis of PAN, this case also demonstrates the diagnostic utility of nuclear medicine with F-18 FDG PET/CT. Polyarteritis nodosa typically demonstrates hypermetabolic activity of the small- to medium-sized vasculature on F-18 FDG PET/CT, most often in the lower extremities. With similar findings, this case contributes to reports that show the utility of nuclear imaging in diagnosing vasculitides.</p>\",\"PeriodicalId\":45216,\"journal\":{\"name\":\"BJR Case Reports\",\"volume\":\"11 4\",\"pages\":\"uaaf032\"},\"PeriodicalIF\":0.5000,\"publicationDate\":\"2025-07-01\",\"publicationTypes\":\"Journal Article\",\"fieldsOfStudy\":null,\"isOpenAccess\":false,\"openAccessPdf\":\"https://www.ncbi.nlm.nih.gov/pmc/articles/PMC12228961/pdf/\",\"citationCount\":\"0\",\"resultStr\":null,\"platform\":\"Semanticscholar\",\"paperid\":null,\"PeriodicalName\":\"BJR Case Reports\",\"FirstCategoryId\":\"1085\",\"ListUrlMain\":\"https://doi.org/10.1093/bjrcr/uaaf032\",\"RegionNum\":0,\"RegionCategory\":null,\"ArticlePicture\":[],\"TitleCN\":null,\"AbstractTextCN\":null,\"PMCID\":null,\"EPubDate\":\"\",\"PubModel\":\"\",\"JCR\":\"Q4\",\"JCRName\":\"RADIOLOGY, NUCLEAR MEDICINE & MEDICAL IMAGING\",\"Score\":null,\"Total\":0}","platform":"Semanticscholar","paperid":null,"PeriodicalName":"BJR Case Reports","FirstCategoryId":"1085","ListUrlMain":"https://doi.org/10.1093/bjrcr/uaaf032","RegionNum":0,"RegionCategory":null,"ArticlePicture":[],"TitleCN":null,"AbstractTextCN":null,"PMCID":null,"EPubDate":"","PubModel":"","JCR":"Q4","JCRName":"RADIOLOGY, NUCLEAR MEDICINE & MEDICAL IMAGING","Score":null,"Total":0}
引用次数: 0

摘要

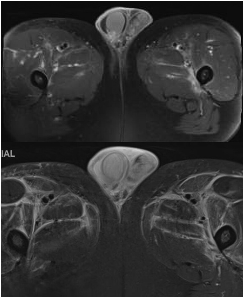
结节性多动脉炎(PAN)是一种全身性中小血管炎。它通常与乙型肝炎感染有关,典型表现为皮肤、胃肠道或神经系统受累。我们提出了一个病例56岁的男性谁提出了一个主诉的痛苦阴囊肿胀。最初的超声检查显示有附睾炎,患者开始使用适当的抗生素,但症状没有改善,因此入院。由于持续的阴囊疼痛、发烧和阴性的感染检查,F-18氟脱氧葡萄糖(FDG) PET/CT显示弥漫的高代谢活动贯穿中至小动脉血管,涉及血管炎。盆腔血管造影证实了诊断,患者开始使用类固醇并计划使用环磷酰胺。临床睾丸受累是一种罕见的PAN表现,尽管它经常在尸检中看到。以前报告的病例除了体质症状外,还表现出类似的阴囊疼痛和压痛,并使用类固醇和免疫抑制剂治疗。虽然组织病理学活检或血管造影通常是诊断PAN的金标准,但本病例也证明了F-18 FDG PET/CT在核医学诊断中的应用。结节性多动脉炎在F-18 FDG PET/CT上典型表现为中小血管的高代谢活动,最常见于下肢。由于类似的发现,本病例有助于报道核成像在诊断血管增生中的应用。
本文章由计算机程序翻译,如有差异,请以英文原文为准。

Polyarteritis nodosa with testicular involvement: a rare case report highlighting the role of nuclear imaging and angiography in diagnosis.

Polyarteritis nodosa with testicular involvement: a rare case report highlighting the role of nuclear imaging and angiography in diagnosis.

Polyarteritis nodosa with testicular involvement: a rare case report highlighting the role of nuclear imaging and angiography in diagnosis.

Polyarteritis nodosa with testicular involvement: a rare case report highlighting the role of nuclear imaging and angiography in diagnosis.

Polyarteritis nodosa (PAN) is a systemic small to medium vessel vasculitis. It is often associated with hepatitis B infection and classically presents with cutaneous, gastrointestinal, or nervous system involvement. We present a case of a 56-year-old male who presented with a chief complaint of painful scrotal swelling. Initial ultrasound demonstrated concern for epididymitis, and the patient was started on appropriate antibiotics without improvement of symptoms, resulting in admission. Due to continued scrotal pain, fevers, and negative infectious work-up, F-18 fluorodeoxyglucose (FDG) PET/CT was obtained, revealing diffuse hypermetabolic activity throughout the medium to small arterial vasculature, concerning for vasculitis. Abdominopelvic angiography confirmed the diagnosis, and the patient was started on steroids with plans to initiate cyclophosphamide. Clinical testicular involvement is a rare presentation of PAN, although it is often seen at autopsy. Previously reported cases have presented with similar scrotal pain and tenderness in addition to constitutional symptoms, as well as treatment with steroids and immunosuppressive agents. While biopsy with histopathology or angiography often serves as the gold standard for the diagnosis of PAN, this case also demonstrates the diagnostic utility of nuclear medicine with F-18 FDG PET/CT. Polyarteritis nodosa typically demonstrates hypermetabolic activity of the small- to medium-sized vasculature on F-18 FDG PET/CT, most often in the lower extremities. With similar findings, this case contributes to reports that show the utility of nuclear imaging in diagnosing vasculitides.

求助全文
通过发布文献求助,成功后即可免费获取论文全文。 去求助
来源期刊
BJR Case Reports
BJR Case Reports RADIOLOGY, NUCLEAR MEDICINE & MEDICAL IMAGING-
自引率
0.00%
发文量
77
审稿时长
11 weeks
×
引用
GB/T 7714-2015
复制
MLA
复制
APA
复制
导出至
BibTeX EndNote RefMan NoteFirst NoteExpress
×
提示
您的信息不完整,为了账户安全,请先补充。
现在去补充
×
提示
您因"违规操作"
具体请查看互助需知
我知道了
×
提示
确定
请完成安全验证×
copy
已复制链接
快去分享给好友吧!
我知道了
右上角分享
点击右上角分享
0
联系我们:info@booksci.cn Book学术提供免费学术资源搜索服务,方便国内外学者检索中英文文献。致力于提供最便捷和优质的服务体验。 Copyright © 2023 布克学术 All rights reserved.
京ICP备2023020795号-1
ghs 京公网安备 11010802042870号
Book学术文献互助
Book学术文献互助群
群 号:604180095
Book学术官方微信