与生长和骨骼异常相关的ARCN1胎儿新生剪接变异的鉴定

IF 1.7
Wencong He, Zejun Yang, Jianjian Cui, Ruilin Ma, Hui Tao, Yanan Li, Yin Zhao
{"title":"与生长和骨骼异常相关的ARCN1胎儿新生剪接变异的鉴定","authors":"Wencong He, Zejun Yang, Jianjian Cui, Ruilin Ma, Hui Tao, Yanan Li, Yin Zhao","doi":"10.1097/FM9.0000000000000263","DOIUrl":null,"url":null,"abstract":"<p><strong>Objective: </strong>To report a fetus with <i>ARCN1</i>-related syndrome caused by a novel <i>de novo</i> heterozygous variant, highlighting the importance of early genetic diagnosis in prenatal care.</p><p><strong>Methods: </strong>The clinical and genetic data of a fetus with a complex combination of clinical signs and a novel <i>de novo</i> heterozygous variant were collected and have been summarized in this study. The potential pathogenic variant was identified throughout the whole exome sequencing and the effects of candidate variants were further validated by a minigene splicing assay.</p><p><strong>Results: </strong>Prenatal systematic ultrasound detected fetal growth restriction. Genetic analysis identified a novel de novo heterozygous variant within the <i>ARCN1</i> gene-c.1241+5G>A-located in intron 8. <i>In vitro</i> minigene splicing assays demonstrated that the variant led to two abnormal transcripts. The longer transcript retained 189 base pairs of intron 8, resulting in a truncated protein of 414 amino acids (p.Ser415*). The shorter transcript involved exon 8 skippings, producing a truncated protein of 407 amino acids (p.Ile378Serfs*31).</p><p><strong>Conclusion: </strong>A novel <i>de novo</i> heterozygous variant of the <i>ARCN1</i> gene, namely NM_001655.5: c.1241+5G>A, was discovered and identified in a fetus with rhizomelic short stature, microretrognathia, and developmental delays.</p>","PeriodicalId":74121,"journal":{"name":"Maternal-fetal medicine (Wolters Kluwer Health, Inc.)","volume":"7 1","pages":"9-14"},"PeriodicalIF":1.7000,"publicationDate":"2025-01-01","publicationTypes":"Journal Article","fieldsOfStudy":null,"isOpenAccess":false,"openAccessPdf":"https://www.ncbi.nlm.nih.gov/pmc/articles/PMC12223002/pdf/","citationCount":"0","resultStr":"{\"title\":\"Identification of a Fetal De Novo Splice Variant in <i>ARCN1</i> Associated With Growth and Skeletal Abnormalities.\",\"authors\":\"Wencong He, Zejun Yang, Jianjian Cui, Ruilin Ma, Hui Tao, Yanan Li, Yin Zhao\",\"doi\":\"10.1097/FM9.0000000000000263\",\"DOIUrl\":null,\"url\":null,\"abstract\":\"<p><strong>Objective: </strong>To report a fetus with <i>ARCN1</i>-related syndrome caused by a novel <i>de novo</i> heterozygous variant, highlighting the importance of early genetic diagnosis in prenatal care.</p><p><strong>Methods: </strong>The clinical and genetic data of a fetus with a complex combination of clinical signs and a novel <i>de novo</i> heterozygous variant were collected and have been summarized in this study. The potential pathogenic variant was identified throughout the whole exome sequencing and the effects of candidate variants were further validated by a minigene splicing assay.</p><p><strong>Results: </strong>Prenatal systematic ultrasound detected fetal growth restriction. Genetic analysis identified a novel de novo heterozygous variant within the <i>ARCN1</i> gene-c.1241+5G>A-located in intron 8. <i>In vitro</i> minigene splicing assays demonstrated that the variant led to two abnormal transcripts. The longer transcript retained 189 base pairs of intron 8, resulting in a truncated protein of 414 amino acids (p.Ser415*). The shorter transcript involved exon 8 skippings, producing a truncated protein of 407 amino acids (p.Ile378Serfs*31).</p><p><strong>Conclusion: </strong>A novel <i>de novo</i> heterozygous variant of the <i>ARCN1</i> gene, namely NM_001655.5: c.1241+5G>A, was discovered and identified in a fetus with rhizomelic short stature, microretrognathia, and developmental delays.</p>\",\"PeriodicalId\":74121,\"journal\":{\"name\":\"Maternal-fetal medicine (Wolters Kluwer Health, Inc.)\",\"volume\":\"7 1\",\"pages\":\"9-14\"},\"PeriodicalIF\":1.7000,\"publicationDate\":\"2025-01-01\",\"publicationTypes\":\"Journal Article\",\"fieldsOfStudy\":null,\"isOpenAccess\":false,\"openAccessPdf\":\"https://www.ncbi.nlm.nih.gov/pmc/articles/PMC12223002/pdf/\",\"citationCount\":\"0\",\"resultStr\":null,\"platform\":\"Semanticscholar\",\"paperid\":null,\"PeriodicalName\":\"Maternal-fetal medicine (Wolters Kluwer Health, Inc.)\",\"FirstCategoryId\":\"1085\",\"ListUrlMain\":\"https://doi.org/10.1097/FM9.0000000000000263\",\"RegionNum\":0,\"RegionCategory\":null,\"ArticlePicture\":[],\"TitleCN\":null,\"AbstractTextCN\":null,\"PMCID\":null,\"EPubDate\":\"2024/12/17 0:00:00\",\"PubModel\":\"Epub\",\"JCR\":\"\",\"JCRName\":\"\",\"Score\":null,\"Total\":0}","platform":"Semanticscholar","paperid":null,"PeriodicalName":"Maternal-fetal medicine (Wolters Kluwer Health, Inc.)","FirstCategoryId":"1085","ListUrlMain":"https://doi.org/10.1097/FM9.0000000000000263","RegionNum":0,"RegionCategory":null,"ArticlePicture":[],"TitleCN":null,"AbstractTextCN":null,"PMCID":null,"EPubDate":"2024/12/17 0:00:00","PubModel":"Epub","JCR":"","JCRName":"","Score":null,"Total":0}
引用次数: 0

摘要

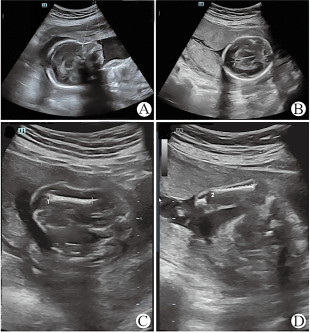
目的:报道一种新的新生杂合变异引起的arcn1相关综合征胎儿,强调早期遗传诊断在产前护理中的重要性。方法:收集1例临床症状复杂合并新发杂合变异体胎儿的临床和遗传学资料并进行总结。在整个外显子组测序中确定了潜在的致病变异,候选变异的影响通过迷你基因剪接试验进一步验证。结果:产前系统超声检查发现胎儿生长受限。遗传分析在ARCN1基因-c中发现了一种新的从头杂合变异。1241+5G> a,位于8号内含子。体外小基因剪接实验表明,该变异导致两个异常转录本。较长的转录本保留了189个碱基对的内含子8,导致截断了414个氨基酸的蛋白质(p.Ser415*)。较短的转录本涉及外显子8的跳过,产生407个氨基酸的截断蛋白(p.i ile378serfs *31)。结论:在1例根茎状身材矮小、小颈后缩、发育迟缓的胎儿中发现并鉴定了ARCN1基因的新杂合变异NM_001655.5: c.1241+5G>A。
本文章由计算机程序翻译,如有差异,请以英文原文为准。

Identification of a Fetal De Novo Splice Variant in <i>ARCN1</i> Associated With Growth and Skeletal Abnormalities.

Identification of a Fetal De Novo Splice Variant in <i>ARCN1</i> Associated With Growth and Skeletal Abnormalities.

Identification of a Fetal De Novo Splice Variant in <i>ARCN1</i> Associated With Growth and Skeletal Abnormalities.

Identification of a Fetal De Novo Splice Variant in ARCN1 Associated With Growth and Skeletal Abnormalities.

Objective: To report a fetus with ARCN1-related syndrome caused by a novel de novo heterozygous variant, highlighting the importance of early genetic diagnosis in prenatal care.

Methods: The clinical and genetic data of a fetus with a complex combination of clinical signs and a novel de novo heterozygous variant were collected and have been summarized in this study. The potential pathogenic variant was identified throughout the whole exome sequencing and the effects of candidate variants were further validated by a minigene splicing assay.

Results: Prenatal systematic ultrasound detected fetal growth restriction. Genetic analysis identified a novel de novo heterozygous variant within the ARCN1 gene-c.1241+5G>A-located in intron 8. In vitro minigene splicing assays demonstrated that the variant led to two abnormal transcripts. The longer transcript retained 189 base pairs of intron 8, resulting in a truncated protein of 414 amino acids (p.Ser415*). The shorter transcript involved exon 8 skippings, producing a truncated protein of 407 amino acids (p.Ile378Serfs*31).

Conclusion: A novel de novo heterozygous variant of the ARCN1 gene, namely NM_001655.5: c.1241+5G>A, was discovered and identified in a fetus with rhizomelic short stature, microretrognathia, and developmental delays.

求助全文
通过发布文献求助,成功后即可免费获取论文全文。 去求助
来源期刊
自引率
0.00%
发文量
0
×
引用
GB/T 7714-2015
复制
MLA
复制
APA
复制
导出至
BibTeX EndNote RefMan NoteFirst NoteExpress
×
提示
您的信息不完整,为了账户安全,请先补充。
现在去补充
×
提示
您因"违规操作"
具体请查看互助需知
我知道了
×
提示
确定
请完成安全验证×
copy
已复制链接
快去分享给好友吧!
我知道了
右上角分享
点击右上角分享
0
联系我们:info@booksci.cn Book学术提供免费学术资源搜索服务,方便国内外学者检索中英文文献。致力于提供最便捷和优质的服务体验。 Copyright © 2023 布克学术 All rights reserved.
京ICP备2023020795号-1
ghs 京公网安备 11010802042870号
Book学术文献互助
Book学术文献互助群
群 号:604180095
Book学术官方微信