罕见位置的罕见亚型:桡骨头实变动脉瘤性骨囊肿的多模态放射学和组织病理学评估。

IF 1.3 4区 医学 Q4 RADIOLOGY, NUCLEAR MEDICINE & MEDICAL IMAGING
Journal of the Belgian Society of Radiology Pub Date : 2025-07-04 eCollection Date: 2025-01-01 DOI:10.5334/jbsr.4012
Furkan Özdem, Gözde Elif Taşar Kapakli, Rasime Pelin Kavak
{"title":"罕见位置的罕见亚型:桡骨头实变动脉瘤性骨囊肿的多模态放射学和组织病理学评估。","authors":"Furkan Özdem, Gözde Elif Taşar Kapakli, Rasime Pelin Kavak","doi":"10.5334/jbsr.4012","DOIUrl":null,"url":null,"abstract":"<p><p>A 30-year-old male presented with pain and swelling in the left elbow. Multimodal radiologic evaluation revealed an expansile, lytic bone lesion with fluid-fluid levels and surrounding soft tissue edema, localized in the radial head. Histological examination confirmed the diagnosis of a solid variant of aneurysmal bone cyst (SVABC), an anatomically rare site for such lesions. The lesion was managed with curettage, leading to complete clinical resolution. <i>Teaching point:</i> integrating radiologic and histologic findings to an accurate diagnosis and effective management of SVABC, especially when occurring in atypical locations where they may mimic more aggressive neoplasms.</p>","PeriodicalId":55987,"journal":{"name":"Journal of the Belgian Society of Radiology","volume":"109 1","pages":"27"},"PeriodicalIF":1.3000,"publicationDate":"2025-07-04","publicationTypes":"Journal Article","fieldsOfStudy":null,"isOpenAccess":false,"openAccessPdf":"https://www.ncbi.nlm.nih.gov/pmc/articles/PMC12227084/pdf/","citationCount":"0","resultStr":"{\"title\":\"A Rare Subtype in an Uncommon Location: Multimodal Radiologic and Histopathologic Evaluation of a Solid Variant Aneurysmal Bone Cyst in the Radial Head.\",\"authors\":\"Furkan Özdem, Gözde Elif Taşar Kapakli, Rasime Pelin Kavak\",\"doi\":\"10.5334/jbsr.4012\",\"DOIUrl\":null,\"url\":null,\"abstract\":\"<p><p>A 30-year-old male presented with pain and swelling in the left elbow. Multimodal radiologic evaluation revealed an expansile, lytic bone lesion with fluid-fluid levels and surrounding soft tissue edema, localized in the radial head. Histological examination confirmed the diagnosis of a solid variant of aneurysmal bone cyst (SVABC), an anatomically rare site for such lesions. The lesion was managed with curettage, leading to complete clinical resolution. <i>Teaching point:</i> integrating radiologic and histologic findings to an accurate diagnosis and effective management of SVABC, especially when occurring in atypical locations where they may mimic more aggressive neoplasms.</p>\",\"PeriodicalId\":55987,\"journal\":{\"name\":\"Journal of the Belgian Society of Radiology\",\"volume\":\"109 1\",\"pages\":\"27\"},\"PeriodicalIF\":1.3000,\"publicationDate\":\"2025-07-04\",\"publicationTypes\":\"Journal Article\",\"fieldsOfStudy\":null,\"isOpenAccess\":false,\"openAccessPdf\":\"https://www.ncbi.nlm.nih.gov/pmc/articles/PMC12227084/pdf/\",\"citationCount\":\"0\",\"resultStr\":null,\"platform\":\"Semanticscholar\",\"paperid\":null,\"PeriodicalName\":\"Journal of the Belgian Society of Radiology\",\"FirstCategoryId\":\"3\",\"ListUrlMain\":\"https://doi.org/10.5334/jbsr.4012\",\"RegionNum\":4,\"RegionCategory\":\"医学\",\"ArticlePicture\":[],\"TitleCN\":null,\"AbstractTextCN\":null,\"PMCID\":null,\"EPubDate\":\"2025/1/1 0:00:00\",\"PubModel\":\"eCollection\",\"JCR\":\"Q4\",\"JCRName\":\"RADIOLOGY, NUCLEAR MEDICINE & MEDICAL IMAGING\",\"Score\":null,\"Total\":0}","platform":"Semanticscholar","paperid":null,"PeriodicalName":"Journal of the Belgian Society of Radiology","FirstCategoryId":"3","ListUrlMain":"https://doi.org/10.5334/jbsr.4012","RegionNum":4,"RegionCategory":"医学","ArticlePicture":[],"TitleCN":null,"AbstractTextCN":null,"PMCID":null,"EPubDate":"2025/1/1 0:00:00","PubModel":"eCollection","JCR":"Q4","JCRName":"RADIOLOGY, NUCLEAR MEDICINE & MEDICAL IMAGING","Score":null,"Total":0}
引用次数: 0

摘要

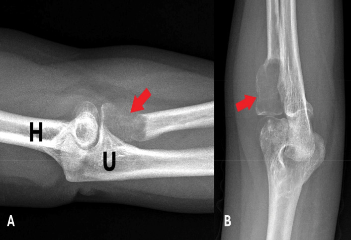
30岁男性左肘疼痛肿胀。多模态放射学评估显示一个扩张性溶解性骨病变,伴有液体-液体水平和周围软组织水肿,局限于桡骨头。组织学检查证实了动脉瘤性骨囊肿(SVABC)的实变,这是一种解剖学上罕见的病变。病变经过刮除处理,导致完全的临床解决。教学要点:结合影像学和组织学发现,准确诊断和有效治疗SVABC,特别是当发生在非典型部位时,它们可能模仿更侵袭性的肿瘤。
本文章由计算机程序翻译,如有差异,请以英文原文为准。

A Rare Subtype in an Uncommon Location: Multimodal Radiologic and Histopathologic Evaluation of a Solid Variant Aneurysmal Bone Cyst in the Radial Head.

A Rare Subtype in an Uncommon Location: Multimodal Radiologic and Histopathologic Evaluation of a Solid Variant Aneurysmal Bone Cyst in the Radial Head.

A Rare Subtype in an Uncommon Location: Multimodal Radiologic and Histopathologic Evaluation of a Solid Variant Aneurysmal Bone Cyst in the Radial Head.

A Rare Subtype in an Uncommon Location: Multimodal Radiologic and Histopathologic Evaluation of a Solid Variant Aneurysmal Bone Cyst in the Radial Head.

A 30-year-old male presented with pain and swelling in the left elbow. Multimodal radiologic evaluation revealed an expansile, lytic bone lesion with fluid-fluid levels and surrounding soft tissue edema, localized in the radial head. Histological examination confirmed the diagnosis of a solid variant of aneurysmal bone cyst (SVABC), an anatomically rare site for such lesions. The lesion was managed with curettage, leading to complete clinical resolution. Teaching point: integrating radiologic and histologic findings to an accurate diagnosis and effective management of SVABC, especially when occurring in atypical locations where they may mimic more aggressive neoplasms.

求助全文
通过发布文献求助,成功后即可免费获取论文全文。 去求助
来源期刊
Journal of the Belgian Society of Radiology
Journal of the Belgian Society of Radiology Medicine-Radiology, Nuclear Medicine and Imaging
CiteScore
0.70
自引率
5.00%
发文量
96
期刊介绍: The purpose of the Journal of the Belgian Society of Radiology is the publication of articles dealing with diagnostic and interventional radiology, related imaging techniques, allied sciences, and continuing education.
×
引用
GB/T 7714-2015
复制
MLA
复制
APA
复制
导出至
BibTeX EndNote RefMan NoteFirst NoteExpress
×
提示
您的信息不完整,为了账户安全,请先补充。
现在去补充
×
提示
您因"违规操作"
具体请查看互助需知
我知道了
×
提示
确定
请完成安全验证×
copy
已复制链接
快去分享给好友吧!
我知道了
右上角分享
点击右上角分享
0
联系我们:info@booksci.cn Book学术提供免费学术资源搜索服务,方便国内外学者检索中英文文献。致力于提供最便捷和优质的服务体验。 Copyright © 2023 布克学术 All rights reserved.
京ICP备2023020795号-1
ghs 京公网安备 11010802042870号
Book学术文献互助
Book学术文献互助群
群 号:604180095
Book学术官方微信